Lung ultrasound as a diagnostic tool for pulmonary consolidation and atelectasis after cardiac surgery
Highlight box
Key findings
• Lung ultrasound (LUS) exhibits higher diagnostic accuracy for pulmonary consolidation and atelectasis (PCA) compared to chest X-ray (CXR).
• Lung ultrasound score (LUSS) is associated with the severity of PCA and intensive care unit (ICU) stay, but not with the duration of mechanical ventilation or total hospital stay.
What is known and what is new?
• PCA is a common complication after cardiac surgery, especially with cardiopulmonary bypass, and can lead to severe issues like pneumonia and respiratory failure. There is insufficient evidence regarding the application of LUS in PCA.
• This study provides evidence that LUS is more accurate than CXR in diagnosing PCA after cardiac surgery, supporting its use as a reliable bedside diagnostic tool. The study introduces the use of three-dimensional Slicer software for quantitative analysis of lung ventilation parameters, offering a more objective assessment of lung injury and its correlation with LUSS.
What is the implication, and what should change now?
• LUS can be a valuable tool for early detection and monitoring of PCA in post-cardiac surgery patients, potentially improving patient outcomes through timely intervention.
• The correlation between LUSS and ICU stay suggests that LUS could help in risk stratification and management of patients in the ICU.
• LUS should be integrated into routine postoperative care for cardiac surgery patients, especially in the ICU, to facilitate early detection of PCA and guide treatment decisions.
• Future studies should focus on improving the specificity of LUS, particularly in specific patient populations, and explore the dynamic changes in LUSS over time to better predict patient outcomes.
Introduction
Pulmonary consolidation and atelectasis (PCA) are common complications following cardiac surgery, particularly in procedures involving cardiopulmonary bypass (1). These conditions impair gas exchange and alter respiratory mechanics, potentially progressing to severe postoperative complications such as pneumonia, respiratory failure, and adverse clinical outcomes (2,3). Early detection of PCA is therefore critical for timely intervention and effective management.
While chest computed tomography (CT) remains the gold standard for PCA diagnosis, its inability to be performed at the bedside limits its utility in the early postoperative period (4). About one-third of patients given narcotics in the first five minutes after entering the post-anesthesia care unit develop PCA (5). Bedside chest X-ray (CXR), despite its simplicity and cost-effectiveness, is the most commonly used diagnostic tool in the intensive care unit (ICU). However, its diagnostic accuracy for lung pathologies is notably limited (6-8). Delayed identification and treatment of PCA contribute to disease progression and increased healthcare costs, underscoring the need for a reliable, accessible, and reproducible point-of-care diagnostic method.
Lung ultrasound (LUS) has emerged as a promising bedside tool for detecting lung and pleural abnormalities, including pleural effusion, pneumothorax, and pulmonary edema (9-11). It is radiation-free, widely applicable, and can be performed in virtually any clinical setting (12). Despite its growing use, there is limited research on its diagnostic and prognostic value for PCA. This study aimed to evaluate the diagnostic accuracy of LUS for PCA, explore the relationship between the lung ultrasound score (LUSS) and quantitative respiratory function parameters, and assess its association with short-term clinical outcomes. We present this article in accordance with the STARD reporting checklist (available at https://jtd.amegroups.com/article/view/10.21037/jtd-2025-370/rc).
Methods
Study design
This prospective, observational, single-center study was conducted at the First Affiliated Hospital of Zhejiang University School of Medicine from February 1 to June 1, 2024. The study was conducted in accordance with the Declaration of Helsinki and its subsequent amendments. The study was approved by the Review Board of the First Affiliated Hospital, Zhejiang University School of Medicine (No. IIT20240376B) and informed consent was obtained from all individual participants. The single-center design ensured consistency in clinical management and diagnostic procedures, while the study period was selected based on anticipated case volumes and institutional resource availability.
Inclusion and exclusion criteria
Inclusion criteria
- Age ≥18 years;
- Anticipated ICU stay ≥48 hours;
- Confirmed diagnosis of PCA via CT scan within 24 hours post-surgery;
- Written informed consent obtained from the patient or a legally authorized representative.
Exclusion criteria
- Pre-existing or suspected pulmonary infection prior to surgery;
- Conditions preventing successful LUS examination, such as extensive dressing coverage, pneumothorax, or significant subcutaneous emphysema;
- Severe clinical conditions preventing safe transport for imaging or ultrasound examinations;
- Pregnancy or other contraindications to ultrasound.
Data collection
Data were extracted from electronic medical records, including demographic information [age, gender, body mass index (BMI)] and clinical details (surgical procedure, comorbidities, mechanical ventilation duration, ICU length of stay, and total hospital stay). All patients underwent postoperative CXR, LUS, and CT scans within 24 hours of surgery. CT served as the gold standard for PCA diagnosis, and diagnostic accuracy was assessed by comparing LUS and CXR results.
Ultrasound examination
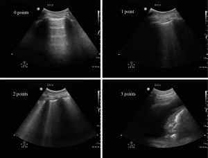
LUS was performed using a convex array 2–5 MHz transducer (Philips CX50) by two trained physicians following a standardized protocol. The thoracic area was divided into 12 quadrants based on the anterior and posterior axillary lines, with further subdivision using the nipple line as a reference for upper and lower segments (13). Each quadrant was independently scored on a scale of 0 to 3, where 0 indicated normal aeration and 3 indicated complete loss of lung aeration (Figure 1). The LUSS was calculated by summing the scores of all quadrants, with higher scores indicating greater lung aeration impairment. Discrepancies in scoring were resolved through discussion, with final interpretation provided by a senior physician with over ten years of clinical ultrasound experience.
Three-dimensional (3D) Slicer lung CT analysis
Chest CT images were analyzed using the 3D Slicer platform (version 4.10.2, https://www.slicer.org) with the “Lung CT Segmenter” and “Lung CT Analyzer” modules (14,15). The “Lung CT Segmenter” module was employed to delineate lung boundaries, ensuring precise segmentation of lung tissue. The volumes of lung regions were classified into four categories based on their radiological appearance: emphysema, inflated, infiltration, and collapse. These categories were subsequently analyzed using the “Lung CT Analyzer” module. The total CT score was calculated by multiplying the percentage of each volume category by its respective weight and summing the results. This scoring system provided an objective assessment of the severity and distribution of PCA the lung parenchyma.
Statistical analysis
Statistical analyses were conducted using SPSS software (version 20.0) and R software (version 3.3.2). The normality of continuous variables was evaluated using the Kolmogorov-Smirnov test. Variables following a normal distribution were expressed as mean ± standard deviation (SD), while non-normally distributed variables were reported as median values with interquartile range (IQR). Categorical variables were summarized as frequencies and percentages. The diagnostic performance of LUS was assessed by calculating the area under the receiver operating characteristic (ROC) curve, along with 95% confidence interval (CI), to estimate the test’s accuracy. Spearman’s rank correlation analysis was employed to examine the relationships between variables, with results interpreted based on the following scale: 0.0<r<0.2 (no correlation), 0.2≤r<0.4 (weak correlation), 0.4 ≤r<0.7 (moderate to good correlation), and 0.7≤r<1.0 (good to very good correlation). Statistical significance was defined as P<0.05.
Results
This study included 66 patients who underwent cardiac surgery with cardiopulmonary bypass. All patients were transferred to the ICU for postoperative care. Table 1 summarizes the patients’ baseline characteristics, surgical types, LUSS, mechanical ventilation time, ICU stay, and other relevant parameters.
Table 1
| Variables | Values |
|---|---|
| Men | 46.0 (69.7) |
| Age (years) | 62.5 [56.0–69.0] |
| BMI (kg/m2) | 24.0 [22.3–25.9] |
| Smoke | 10.0 (15.2) |
| Alcohol | 6.0 (9.1) |
| Hypertension | 27.0 (40.9) |
| Diabetes | 8.0 (12.1) |
| Post-cardiac surgery | 11.0 (16.7) |
| CRP (ng/mL) | 1.3 [0.6–3.2] |
| PCT (ng/mL) | 0.09 [0.05–0.18] |
| Hb (g/L) | 136 [129–150] |
| SCr (μmol/L) | 81 [71–97.7] |
| EF (%) | 61.5 [50.5–66.0] |
| Type of surgery | |
| CABG | 20 (30.3) |
| Valve surgery | 29 (43.9) |
| CABG and valve surgery | 4 (6.0) |
| Bentall surgery | 7 (10.6) |
| Other | 6 (9.2) |
| LUSS | 6 [4–9] |
| Cardiopulmonary bypass time (min) | 119 [91.5–150] |
| Ventilation duration (hours) | 24.7 [20.7–63.7] |
| ICU duration (day) | 5 [3–7] |
| Postoperative hospital duration (day) | 11 [9–15] |
Data are presented as n (%) or median [interquartile range]. BMI, body mass index; CABG, coronary artery bypass grafting; CRP, C-reactive protein; EF, ejection fraction; Hb, hemoglobin; ICU, intensive care unit; LUSS, lung ultrasound score; PCT, procalcitonin; SCr, serum creatinine.
Postoperative chest CT scans identified PCA in 60 out of 66 patients. LUS detected PCA in 59 patients, with 2 false positives and 3 false negatives, yielding a diagnostic sensitivity of 95% and specificity of 66.7%. In contrast, CXR identified PCA in 46 cases, with 3 false positives and 17 false negatives, resulting in a sensitivity of 71.6% and specificity of 50%. The diagnostic performance of LUS was superior to that of CXR, as evidenced by an area under the curve (AUC) of 0.808 (95% CI: 0.576–1.040), significantly higher than the AUC for CXR (0.608, 95% CI: 0.360–0.855; P=0.01) (Figure 2).
Chest CT scans were analyzed using the 3D Slicer software, which segmented the lungs into regions categorized as emphysema, inflated, infiltration, and collapse. A weighted CT score was calculated based on the volume of each category. These detailed segmentations were manually delineated and reconstructed in 3D, providing comprehensive visualizations of PCA (Figure 3).
LUSS showed a positive correlation with PCA (r=0.606, P<0.001). While LUSS also correlated with several other pulmonary parameters, these correlations were weaker. Specifically, LUSS demonstrated positive correlations with lung infiltration (r=0.398, P<0.001) and lung collapse (r=0.328, P=0.007). Conversely, LUSS was negatively correlated with lung inflated (r=−0.481, P<0.001), as illustrated in Figures 4A-4D. LUSS also showed a weak positive correlation with ICU stay (r=0.347, P=0.004), but no significant correlation with ventilation duration (r=0.159, P=0.20) or total hospital stay (r=0.144, P=0.25), additionally, we found that LUSS showed a positive correlation with CT score (r=0.401, P<0.001) (Figure 4E-4H).
The CT scores derived from the 3D Slicer analysis exhibited a moderate positive correlation with ICU stay (r=0.540, P<0.001). Weaker correlations were observed between CT scores and ventilation duration (r=0.383, P=0.001) and total hospital stay (r=0.326, P=0.008) (Figure 5A-5C).
Discussion
Our study evaluates the diagnostic efficacy of LUS and CXR in diagnosing PCA following cardiac surgery. The results demonstrated that LUS exhibited significantly superior diagnostic performance compared to CXR. These findings align with previously published studies (16-18), which indicate that LUS has higher sensitivity and specificity in detecting pulmonary complications, particularly in diagnosing pneumonia and atelectasis. For instance, in a recent study, LUS was performed on 120 patients with pulmonary consolidation identified by CXR within 24 hours, revealing pneumonia in 51 cases (42.5%). The sensitivity and specificity of color Doppler imaging were 90% and 68%, respectively (19). Further research supports the use of LUS as a viable alternative to bedside CXR. The meta-analysis revealed that LUS had an overall sensitivity of 92% and 91% for diagnosing consolidation and pleural effusion, respectively, with a pooled specificity of 92%. In contrast, CXR demonstrated pooled sensitivities of 53% and 42% for consolidation and pleural effusion, respectively, with specificities of 78% and 81% (20).
Compared to CT, LUS has demonstrated significant potential in diagnosing pulmonary complications. In a study comparing the diagnostic value of LUS and chest CT for peribronchial lesions in hemorrhagic fever with renal syndrome, LUS exhibited high sensitivity (92.19–100%) and negative predictive value (95.9–100%) for five pathological types, including lung consolidation and pleural effusion (21). LUS shows a high sensitivity for diagnosing PCA, but its specificity is relatively low (22,23). Our study also presents the same issue. This could be attributed to the limitations of ultrasound imaging, such as weaker signals in certain patients or difficulties in fully assessing all regions of the lung. Additionally, the results of LUS may be influenced by the patient’s body type, and the clinical condition. Therefore, future research should focus on strategies to improve the specificity of LUS, particularly in specific patient populations.
There is currently no quantitative evidence to support the accuracy of LUS in evaluating lung ventilation parameters, despite the fact that its involvement in doing so has been validated in a number of qualitative investigations (9,24,25). 3D Slicer provides powerful image processing, three-dimensional visualization, and quantitative analysis capabilities in the analysis of lung ventilation characteristics, enabling precise measurement of the volume of different lung regions and assessment of the extent of lesions (26,27). To our knowledge, this study is the first article to quantitatively assess pulmonary ventilation distribution using 3D Slicer and compare its correlation with LUS.
In this study, LUSS demonstrated a strong positive correlation with PCA, and weaker but significant positive correlations with lung infiltration and collapse, while showing a negative correlation with lung inflation. Our quantitative analysis indicates that LUSS serves as an effective tool for assessing both the severity and patterns of lung injury, particularly in diagnosing atelectasis and consolidation. The suboptimal performance of LUSS in evaluating overall pulmonary status may be attributed to operator variability, which shows some discrepancy with previous findings (28). We propose that implementing standardized ultrasound training protocols in future studies could potentially improve assessment accuracy.
Correlation analyses between LUSS and CT scores further validate the utility of LUS in evaluating PCA. LUSS has proven to be a valuable metric for monitoring and assessing the risk of pulmonary complications during hospitalization. Elevated LUSS values have been associated with increased requirements for ventilatory support and prolonged ICU stays (29,30). In our study, LUSS showed a positive correlation with ICU duration but no significant relationship with the duration of mechanical ventilation or total hospital stay. While this may initially appear contradictory, further analysis using 3D Slicer-enhanced CT imaging supported these findings. The proposed CT scoring system, which quantifies pulmonary complications, demonstrated moderate correlations with both LUSS and ICU duration but only weak correlations with ventilation duration and hospital stay. Given the superior resolution and diagnostic accuracy of CT compared to LUSS, the weaker correlation between LUSS and ICU duration is not unexpected.
Additionally, we believe several factors may further explain the limited impact of LUSS on patient outcomes in this study. First, LUSS was measured only within the first 24 hours post-surgery, without capturing dynamic changes over time. Previous studies have demonstrated that repeated LUS examinations are valuable for predicting ICU stay duration (31,32). Second, for PCA treatment, we implemented individualized interventions (e.g., bronchoscopy, vibration expectoration, lung recruitment) without a standardized protocol, which may account for the neutral outcomes. Additionally, unmeasured factors such as cardiac function may also significantly influence outcomes in cardiac surgery patients. Third, as an exploratory study, this research implemented stringent inclusion and exclusion criteria. However, the lack of prospective sample size calculation based on the estimated effect size may limit the generalizability of the findings.
Despite these limitations, our study confirms that LUS is an effective tool for detecting PCA and provides valuable insights into the overall lung condition of patients. We recommend repeated LUS examinations to better capture dynamic changes in lung status, which could enhance postoperative management and outcomes for cardiac surgery patients.
Conclusions
LUS can serve as a routine diagnostic method for PCA following cardiac surgery. LUSS is indicative of the severity of PCA in patients, and dynamic postoperative assessment of LUSS holds certain predictive value for short-term prognosis.
Acknowledgments
None.
Footnote
Reporting Checklist: The authors have completed the STARD reporting checklist. Available at https://jtd.amegroups.com/article/view/10.21037/jtd-2025-370/rc
Data Sharing Statement: Available at https://jtd.amegroups.com/article/view/10.21037/jtd-2025-370/dss
Peer Review File: Available at https://jtd.amegroups.com/article/view/10.21037/jtd-2025-370/prf
Funding: None.
Conflicts of Interest: All authors have completed the ICMJE uniform disclosure form (available at https://jtd.amegroups.com/article/view/10.21037/jtd-2025-370/coif). The authors have no conflicts of interest to declare.
Ethical Statement: The authors are accountable for all aspects of the work to ensure that issues related to the accuracy or integrity of any part of the work are appropriately investigated and resolved. The study was conducted in accordance with the Declaration of Helsinki and its subsequent amendments. The study was approved by the Review Board of the First Affiliated Hospital, Zhejiang University School of Medicine (No. IIT20240376B) and informed consent was obtained from all individual participants.
Open Access Statement: This is an Open Access article distributed in accordance with the Creative Commons Attribution-NonCommercial-NoDerivs 4.0 International License (CC BY-NC-ND 4.0), which permits the non-commercial replication and distribution of the article with the strict proviso that no changes or edits are made and the original work is properly cited (including links to both the formal publication through the relevant DOI and the license). See: https://creativecommons.org/licenses/by-nc-nd/4.0/.
References
- Cursino de Moura JF, Oliveira CB, Coelho Figueira Freire AP, et al. Preoperative respiratory muscle training reduces the risk of pulmonary complications and the length of hospital stay after cardiac surgery: a systematic review. J Physiother 2024;70:16-24. [Crossref] [PubMed]
- Zeng C, Lagier D, Lee JW, et al. Perioperative Pulmonary Atelectasis: Part I. Biology and Mechanisms. Anesthesiology 2022;136:181-205. [Crossref] [PubMed]
- Lagier D, Zeng C, Fernandez-Bustamante A, et al. Perioperative Pulmonary Atelectasis: Part II. Clinical Implications. Anesthesiology 2022;136:206-36. [Crossref] [PubMed]
- Konietzke P, Steentoft HH, Wagner WL, et al. Consolidated lung on contrast-enhanced chest CT: the use of spectral-detector computed tomography parameters in differentiating atelectasis and pneumonia. Heliyon 2021;7:e07066. [Crossref] [PubMed]
- Wu L, Yang Y, Yin Y, et al. Lung ultrasound for evaluating perioperative atelectasis and aeration in the post-anesthesia care unit. J Clin Monit Comput 2023;37:1295-302. [Crossref] [PubMed]
- Ibrahim D, Bizri AR, El Amine MA, et al. Chest computed tomography and chest X-ray in the diagnosis of community-acquired pneumonia: a retrospective observational study. J Int Med Res 2021;49:3000605211039791. [Crossref] [PubMed]
- Popa AE, Popescu SD, Tecuci A, et al. Current Trends in the Imaging Diagnosis of Neonatal Respiratory Distress Syndrome (NRDS): Chest X-ray Versus Lung Ultrasound. Cureus 2024;16:e69787. [Crossref] [PubMed]
- Marchi G, Cucchiara F, Gregori A, et al. Thoracic Ultrasound for Pre-Procedural Dynamic Assessment of Non-Expandable Lung: A Non-Invasive, Real-Time and Multifaceted Diagnostic Tool. J Clin Med 2025;14:2062. [Crossref] [PubMed]
- Mongodi S, De Luca D, Colombo A, et al. Quantitative Lung Ultrasound: Technical Aspects and Clinical Applications. Anesthesiology 2021;134:949-65. [Crossref] [PubMed]
- Dicker SA. Lung Ultrasound for Pulmonary Contusions. Vet Clin North Am Small Anim Pract 2021;51:1141-51. [Crossref] [PubMed]
- Abid I, Qureshi N, Lategan N, et al. Point-of-care lung ultrasound in detecting pneumonia: A systematic review. Can J Respir Ther 2024;60:37-48. [Crossref] [PubMed]
- Mojoli F, Bouhemad B, Mongodi S, et al. Lung Ultrasound for Critically Ill Patients. Am J Respir Crit Care Med 2019;199:701-14. [Crossref] [PubMed]
- Tung-Chen Y, Ossaba-Vélez S, Acosta Velásquez KS, et al. The Impact of Different Lung Ultrasound Protocols in the Assessment of Lung Lesions in COVID-19 Patients: Is There an Ideal Lung Ultrasound Protocol? J Ultrasound 2022;25:483-91. [Crossref] [PubMed]
- You Y, Niu Y, Sun F, et al. Three-dimensional printing and 3D slicer powerful tools in understanding and treating neurosurgical diseases. Front Surg 2022;9:1030081. [Crossref] [PubMed]
- Lasso A, Herz C, Nam H, et al. SlicerHeart: An open-source computing platform for cardiac image analysis and modeling. Front Cardiovasc Med 2022;9:886549. [Crossref] [PubMed]
- J Jakobson D. Ultrasonography can replace chest X-rays in the postoperative care of thoracic surgical patients. PLoS One 2022;17:e0276502. [Crossref] [PubMed]
- Sheng B, Tao L, Zhong C, et al. Comparing the Diagnostic Performance of Lung Ultrasonography and Chest Radiography for Detecting Pneumothorax in Patients with Trauma: A Meta-Analysis. Respiration 2025;104:161-75. [Crossref] [PubMed]
- Inglis AJ, Nalos M, Sue KH, et al. Bedside lung ultrasound, mobile radiography and physical examination: a comparative analysis of diagnostic tools in the critically ill. Crit Care Resusc 2016;18:124.
- Haaksma ME, Smit JM, Heldeweg MLA, et al. Extended Lung Ultrasound to Differentiate Between Pneumonia and Atelectasis in Critically Ill Patients: A Diagnostic Accuracy Study. Crit Care Med 2022;50:750-9. [Crossref] [PubMed]
- Hansell L, Milross M, Delaney A, et al. Lung ultrasound has greater accuracy than conventional respiratory assessment tools for the diagnosis of pleural effusion, lung consolidation and collapse: a systematic review. J Physiother 2021;67:41-8. [Crossref] [PubMed]
- Yang Y, Lian J, Zhao Y, et al. Lung ultrasonography versus chest CT for assessing peripheric pulmonary lesions in hemorrhagic fever with renal syndrome: a prospective comparative study in China. Eur Radiol 2023;33:4895-904. [Crossref] [PubMed]
- Allinovi M, Parise A, Giacalone M, et al. Lung Ultrasound May Support Diagnosis and Monitoring of COVID-19 Pneumonia. Ultrasound Med Biol 2020;46:2908-17. [Crossref] [PubMed]
- Chiumello D, Umbrello M, Sferrazza Papa GF, et al. Global and Regional Diagnostic Accuracy of Lung Ultrasound Compared to CT in Patients With Acute Respiratory Distress Syndrome. Crit Care Med 2019;47:1599-606. [Crossref] [PubMed]
- Mateos González M, García de Casasola Sánchez G, Muñoz FJT, et al. Comparison of Lung Ultrasound versus Chest X-ray for Detection of Pulmonary Infiltrates in COVID-19. Diagnostics (Basel) 2021;11:373. [Crossref] [PubMed]
- Schulz A, Erbuth A, Boyko M, et al. Comparison of Ultrasound Measurements for Diaphragmatic Mobility, Diaphragmatic Thickness, and Diaphragm Thickening Fraction with Each Other and with Lung Function in Patients with Chronic Obstructive Pulmonary Disease. Int J Chron Obstruct Pulmon Dis 2022;17:2217-27. [Crossref] [PubMed]
- Cheng X, Feng Z, Pan B, et al. Establishment and application of the BRP prognosis model for idiopathic pulmonary fibrosis. J Transl Med 2023;21:805. [Crossref] [PubMed]
- Lanza E, Muglia R, Bolengo I, et al. Quantitative chest CT analysis in COVID-19 to predict the need for oxygenation support and intubation. Eur Radiol 2020;30:6770-8. [Crossref] [PubMed]
- Huang P, Chen D, Liu X, et al. Diagnostic value of bedside lung ultrasound and 12-zone score in the 65 cases of neonatal respiratory distress syndrome and its severity. Biomed Eng Online 2024;23:29. [Crossref] [PubMed]
- Dransart-Rayé O, Roldi E, Zieleskiewicz L, et al. Lung ultrasound for early diagnosis of postoperative need for ventilatory support: a prospective observational study. Anaesthesia 2020;75:202-9. [Crossref] [PubMed]
- Cantinotti M, Giordano R, Scalese M, et al. Prognostic Value of a New Lung Ultrasound Score to Predict Intensive Care Unit Stay in Pediatric Cardiac Surgery. Ann Thorac Surg 2020;109:178-84. [Crossref] [PubMed]
- Spogis J, Fusco S, Hagen F, et al. Repeated Lung Ultrasound versus Chest X-ray-Which One Predicts Better Clinical Outcome in COVID-19? Tomography 2023;9:706-16. [Crossref] [PubMed]
- Sun Z, Zhang Z, Liu J, et al. Lung Ultrasound Score as a Predictor of Mortality in Patients With COVID-19. Front Cardiovasc Med 2021;8:633539. [Crossref] [PubMed]

