Synchronous percutaneous microwave ablation combined with percutaneous biopsy for highly suspected malignant pulmonary nodules: a retrospective study
Highlight box
Key findings
• The study found that synchronous microwave ablation (MWA) combined with percutaneous biopsy (PB) is a safe and effective strategy. MWA followed by PB could reduce the impact of intrapulmonary hemorrhage on ablation outcomes and is an alternative treatment for highly suspected malignant pulmonary nodules (PNs).
What is known and what is new?
• Synchronized MWA combined with PB has been successfully used in the treatment of highly suspected malignant PNs, saving surgical time, patient costs and reducing complication rates.
• There is still a lack of studies on the optimal sequence of treatment for MWA combined with PB in the treatment of highly suspected malignant PNs.
What is the implication, and what should change now?
• Synchronized MWA combined with PB has a good feasibility and safety profile. In clinical practice, performing MWA first reduces the impact of intrapulmonary hemorrhage on ablation outcomes and is an alternative treatment for highly suspected malignant PNs.
Introduction
With almost 2.5 million new cases and over 1.8 million deaths worldwide in 2022, lung cancer is the leading cause of cancer mortality (1). In China, the incidence of lung cancer is even more severe, with the number of lung cancer cases increasing to 1.06 million and the number of lung cancer deaths increasing to 733,000 in 2022 (2). In terms of the 5-year survival rate of lung cancer patients, the prognosis of lung cancer is different in different stages, with the 5-year survival rate of stage I lung cancer ranging from 77% to 92%, and the 5-year survival rate of stage IIIA–IVB lung cancer ranging from 0% to 36% (3,4). Therefore, the realization of early diagnosis and treatment of lung cancer is the key to increasing the 5-year survival rate of lung cancer and improving the prognosis of patients.
In recent years, more asymptomatic pulmonary nodules (PNs) have been detected with the widespread implementation of low-dose computed tomography (LDCT) screening programs (5). According to the American College of Chest Physicians’ lung cancer guidelines, percutaneous biopsy (PB) and surgical resection are the preferred treatment option for patients with highly suspected malignant PNs (6). However, microwave ablation (MWA) is a good choice for patients who are unwilling to undergo surgical resection or cannot tolerate surgical resection (7-9). MWA can completely cure PNs with a diameter of ≤3 cm. In addition, it has the advantages of being less invasive, safer and having less impact on lung function (10,11). In patients with highly suspected malignant PNs, MWA can be performed directly without pathological findings when medical imaging findings and tumor history are mutually consistent (10-12). However, PB is necessary when the clinical diagnosis is in doubt or when evidence of metastatic mutations is needed to adjust treatment further (12).
Traditionally, previous clinical studies have tended to perform PB first, followed by ablation after determining the pathologic findings (12). However, PB and ablation procedures performed in separate sessions have been associated with higher time, patient cost, and complication rates (12,13). To address these limitations, Schneider et al. (11) first proposed simultaneous PB and radiofrequency ablation (RFA) for highly suspicious malignant PNs. Synchronized treatment has been reported to have a lower complication rate and a higher rate of positive pathologic diagnosis than non-synchronized procedures (11-16). Currently, there are two modalities for this simultaneous diagnostic and therapeutic approach: one is to perform PB followed by immediate ablation; the other is to perform ablation followed by immediate PB. Both modalities are feasible and relatively safe (17-20).
However, there are still few studies exploring the sequential order of ablation and PB in simultaneous ablation and PB treatment at present (11-16). We hypothesized that synchronous treatment would have a higher rate of pathologically positive diagnosis and a lower complication rate for PNs compared with sequential PB and ablative treatment. Here, we conducted a systematic review of the clinical data of 91 patients with PNs highly suspected to be malignant who were treated with synchronous MWA combined with PB and analyzed the effects of the sequential order of MWA and PB on the technical success rate, the rate of positive pathologic diagnosis, and the complications. We present this article in accordance with the STROBE reporting checklist (available at https://jtd.amegroups.com/article/view/10.21037/jtd-2025-105/rc).
Methods
Patients
This retrospective study was conducted in accordance with the Declaration of Helsinki and its subsequent amendments. This study was approved by the Ethics Committee of Beijing Chest Hospital (No. LW-2025-003). Since this is a retrospective study, the requirement for informed consent was waived. The inclusion criteria were as follows: (I) age ≥18 years; (II) single PN ≤30 mm; (III) high suspicion of having malignant PN [(i) with typical malignant features: signs of malignancy such as the burr sign, the pleural depression sign, the ground-glass pattern, the vacuolar sign, and the vascular perforation; (ii) PNs diameter increased by more than 2 mm and the solid component increased during long-term follow-up]; (IV) platelet count of ≥50×109/L; (V) Eastern Cooperative Oncology Group (ECOG) physical status of 0–2; (VI) patients who were not suitable for surgery due to poor physical condition of the patient, or those who refused surgical intervention; and (VII) with complete follow-up data.
The exclusion criteria were as follows: (I) number of PNs ≥2; (II) patients with severe cardiopulmonary insufficiency; (III) platelet count <50×109/L, with coagulation abnormalities and bleeding tendency; (IV) incomplete data; (V) patients who underwent surgery due to excessive anxiety; (VI) patients lost during follow-up. The patient selection process is shown in Figure 1.
Procedure
The procedures of group A
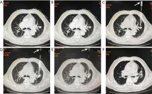
All procedures were performed by physicians with more than 5 years of experience in thermal ablation. Oxygen saturation, blood pressure, and heart rate were conducted during the procedure. The operation flow of the representative case of group A is shown in Figure 2.
- Step 1: a large-aperture spiral computed tomography (CT) was used as the interventional guidance device (GE Discovery 16 Slice CT, GE Healthcare, Chicago, USA), a low-dose scan was performed, and the PNs were reconstructed using a 1-mm thickness. Depending on the location of the lesion, it was decided that the patient would be placed in a flat, prone, or lateral position. After placing the localizer, a CT scan was performed to determine the optimal level of puncture, determine the angle of puncture and the depth of needle entry, and design the puncture route.
- Step 2: the selected puncture site was sterilized and prepared in a sterile manner. Local anesthesia with 2% lidocaine (5–10 mL) was administered at the selected puncture site.
- Step 3: a 17-G coaxial puncture needle (Canyon Medical Inc., Nanjing, China) was threaded to the proximal edge of the PNs after local anesthesia. After removing the needle, the 18-G MWA antenna (KY-2450B-T2/1.3 mm, Canyon Medical Inc.) was passed through the 17-G cannula (Canyon Medical Inc.) to penetrate the lesion. Another CT scan was performed to determine that the tip of the MWA antenna was located at the distal edge of the nodule. The ablation power was 35–40 W, and the ablation time was 4–8 min. Immediately after the end of the MWA, a CT scan of the chest was performed.
- Step 4: after the end of MWA, the ablation antenna was withdrawn, and an 18-G biopsy gun (Canyon Medical Inc.) was inserted through the cannula along the same needle pathway. Then sampling is performed, and the operator usually performs 1–3 samplings to obtain sufficient pathological specimens. The obtained tissue specimens are fixed in formalin solution and sent to the pathology department for pathological examination. A CT examination was routinely performed after PB to observe whether there were any immediate complications.
- Step 5: all specimens were sent to the pathology department to determine the final pathological diagnosis. Hematoxylin-eosin (H&E) staining, immunohistochemical staining and genetic testing were performed on biopsy specimens. The quality of genetic testing specimens was assessed, and the quality control criteria were ≥30 ng of total DNA extraction, ≥1,000× average sequencing depth, ≥95% of sequence replication/coverage, and ≥80% of base quality Q30 (immunostaining was added according to the judgment of the pathologist. Decide whether or not to perform genetic testing based on the pathologic results combined with the patient’s request).
- Step 6: after the end of ablation, gelatin sponge particles (1,400–2,000 µm) were pushed through the coaxial cannula with 2 mL of 50% dextrose injection mixture to seal the puncture channel to reduce the risk of pneumothorax in patients, and then the needle was removed.
- Step 7: after the end of treatment, perform a CT examination to observe the ablation range and observe whether the patient has pneumothorax, intrapulmonary hemorrhage, and other serious complications.
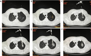
The procedures of group B
The preoperative preparation and PN localization procedures were identical to those in group A. The difference is that in group B, PB was performed first, followed by MMA immediately. The steps of tissue specimen extraction, specimen processing, ablation power, ablation time, and ablation range were the same as those in group A. The operation flow of the representative case of group B is shown in Figure 3.
Assessment and definition
Regardless of the pathologic diagnosis, all patients underwent CT plain and enhanced scans during the follow-up period, which was performed at 1, 3, 6, 9, and 12 months after combination therapy and every 6 months thereafter. The imaging characteristics of the lesion at postoperative month 1 were used as baseline information to determine the efficacy (12,14). Evaluation of efficacy after combination therapy required more than 3 months of follow-up. Technical success, positive pathologic diagnosis, complications, and efficacy were compared between the two groups.
Technical success was defined as the successful implementation of MWA combined with PB therapy [(I) adequate specimens were collected for pathologic evaluation; (II) CT scanning was performed immediately after the end of MWA, with the ablation area covering at least 5–10 mm of the target lesion and no enhancement of the ablation area on the first CT review (12,14)]. Progression was defined as an increase in the size of the lesion, an increase in the solid component with irregular enhancement, or a new localized lesion on subsequent CT follow-up (21,22). Tumor implantation was defined as the first appearance of a tumor lesion in the puncture path. Local control was defined as the absence of local progression or tumor implantation during follow-up. Complete ablation (CA) was defined as an imaging change manifested by the disappearance of the lesion on enhanced CT or the absence of contrast enhancement signs in residual lesions (fibrous scarring, cavities, lung atelectasis), and CA suggests optimal local control (21,22).
Treatment-related complications were defined as symptoms occurring within 30 days of treatment. According to the Common Terminology Criteria for Adverse Events (CTCAE v5.0) (23,24), treatment-related complications were graded as mild, moderate, and severe. Two interventional radiologists with more than 5 years of experience in chest CT imaging and MWA reviewed all preoperative, intraoperative, and postoperative CT images for consistency. The preoperative, intraoperative, and postoperative chest CT images were compared to determine the presence of associated complications such as pneumothorax and intrapulmonary hemorrhage.
The degree of pneumothorax was classified as mild (lung compression ≤20%), moderate (20%< lung compression ≤40%), and severe (lung compression >40%). In this study, we defined intrapulmonary hemorrhage as a solid area caused by the passage of the MWA puncture needle through the lung parenchyma, excluding the formation of ground-glass opacity (GGO) around the tumor during the MWA procedure (25,26). The degree of intrapulmonary hemorrhage was classified as mild (intrapulmonary hemorrhage confined to the puncture path or around the lesion), moderate (diffuse hemorrhage of lung segments), and severe (diffuse hemorrhage in the lobes of the lungs and/or combined heart and lung failure) (25,26). The degree of hemoptysis was classified as mild (hemoptysis ≤10 mL), moderate (10 mL < hemoptysis ≤100 mL), and severe (hemoptysis >100 mL).
Statistical analysis
All data were analyzed using SPSS 26.0 statistical analysis software (SPSS Inc., Chicago, IL, USA). Continuous variables were expressed as mean ± standard deviation (SD), and continuous variables were compared by the t-test. Categorical variables were expressed as frequency or percentage, and categorical variables were compared by the χ2 test. All tests were two-sided. The differences were considered statistically significant at P<0.05.
Results
Baseline characteristics
Clinical data of 91 patients with solitary highly suspected malignant PNs treated at Beijing Chest Hospital affiliated to Capital Medical University from January 2021 to December 2024 were retrospectively analyzed. All 91 patients (41 solid PNs, 22 partial-solid PNs, and 28 GGOs) were treated with synchronous MWA combined with PB. Patients in group A (n=56) received synchronous MWA followed by PB. Patients in group B (n=35) received synchronous PB followed by MWA. Patient details are shown in Table 1.
Table 1
| Factors | Group A (n=56) | Group B (n=35) | P value |
|---|---|---|---|
| Age (years) | 64.8±11.6 | 63.5±9.8 | 0.58 |
| Sex (male/female) | 31/25 | 21/14 | 0.66 |
| Tobacco smoker (active/former/never) | 29/22/5 | 17/11/7 | 0.30 |
| ECOGs (0/1/2) | 36/17/3 | 19/14/2 | 0.62 |
| Nodule diameter (mm) | 0.75 | ||
| Mean ± SD | 17.9±5.4 | 16.8±6.2 | 0.37 |
| <10 | 13 (23.2) | 6 (17.1) | |
| ≥10–<20 | 34 (60.7) | 22 (62.9) | |
| ≥20–<30 | 9 (16.1) | 7 (20.0) | |
| Image characteristic (solid/partial solid/GGO) | 25/12/19 | 16/10/9 | 0.63 |
| Location (left/right) | 31/25 | 16/19 | 0.37 |
| Location | 0.29 | ||
| Peripheral | 30 (53.6) | 15 (42.9) | |
| Parietal subpleural | 7 (12.5) | 4 (11.4) | |
| Interlobar subpleural | 12 (21.4) | 6 (17.1) | |
| Mediastinal subpleural | 3 (5.4) | 7 (20.0) | |
| Diaphragm subpleural | 4 (7.1) | 3 (8.6) | |
| Patient position (supine/prone/lateral position) | 23/19/14 | 15/8/12 | 0.46 |
Data are presented as mean ± SD, number, or n (%). Group A underwent synchronous MWA followed by PB (n=56). Group B underwent synchronous PB followed by MWA (n=35). ECOG, Eastern Cooperative Oncology Group; GGO, ground-glass opacity; MWA, microwave ablation; PB, percutaneous biopsy; SD, standard deviation.
Pathological findings
The final pathological findings of the patients in groups A and B are presented in Tables 2,3. Seventy-six PNs were diagnosed as malignant (positive group); 5 cases were diagnosed as chronic inflammatory disease (negative group). In 10 patients, a definitive pathologic diagnosis could not be obtained from the biopsy specimen, and these patients were defined as having “uncertain pathologic diagnosis”. The pathologic diagnosis in these patients was mostly normal lung tissue, representing the possibility of false negatives. The rate of positive pathologic diagnosis was 80.4% in group A (45/56) and 88.6% in group B (31/35). There was no statistically significant difference in the rate of positive pathologic diagnosis between the two groups (80.4% vs. 88.6%, P=0.30). In this study, 16 patients refined genetic testing, 11 in group A and 5 in group B. EGFR gene mutations occurred in 8 patients and KRAS gene mutation occurred in 1 patient.
Table 2
| Pathologic results | Group A (n=56) | Group B (n=35) | P value |
|---|---|---|---|
| Adenocarcinoma | 35 (62.5) | 27 (77.1) | |
| AAH | 6 (10.7) | 3 (8.6) | |
| Squamous cell carcinoma | 3 (5.4) | 1 (2.9) | |
| SCLC | 1 (1.8) | 0 (0) | |
| Chronic inflammation | 5 (8.9) | 0 (0) | |
| Indeterminate pathological diagnosis | 6 (10.7) | 4 (11.4) | |
| Positive group | 45 (80.4) | 31 (88.6) | 0.30 |
Data are presented as n (%). AAH, atypical adenomatous hyperplasia; SCLC, small cell lung cancer.
Table 3
| Patient | Diameter (cm) | Image characteristic | Pathological diagnosis | Group A | Group B |
|---|---|---|---|---|---|
| 1 | 2.3 | Solid | Adenocarcinoma | EGFR mutation | |
| 2 | 1.7 | Solid | Adenocarcinoma | EGFR mutation | |
| 3 | 1.4 | GGO | AAH | No mutant genes | |
| 4 | 2.0 | Partial solid | Adenocarcinoma | EGFR mutation | |
| 5 | 2.3 | GGO | Adenocarcinoma | No mutant genes | |
| 6 | 2.5 | Solid | Adenocarcinoma | KRAS mutation | |
| 7 | 2.2 | Solid | Adenocarcinoma | EGFR mutation | |
| 8 | 1.7 | Solid | Indeterminate pathological diagnosis | No mutant genes | |
| 9 | 1.9 | Partial solid | Adenocarcinoma | No mutant genes | |
| 10 | 1.5 | GGO | AAH | No mutant genes | |
| 11 | 2.1 | Partial solid | Adenocarcinoma | EGFR mutation | |
| 12 | 1.4 | Partial solid | Indeterminate pathological diagnosis | No mutant genes | |
| 13 | 2.9 | GGO | Adenocarcinoma | EGFR mutation | |
| 14 | 2.6 | Solid | Adenocarcinoma | EGFR mutation | |
| 15 | 1.6 | GGO | Adenocarcinoma | No mutant genes | |
| 16 | 2.2 | Solid | Adenocarcinoma | EGFR mutation |
AAH, atypical adenomatous hyperplasia; EGFR, epidermal growth factor receptor; GGO, ground-glass opacity; KRAS, Kirsten rat sarcoma viral oncogene.
Adverse effects and complications
The major complications are shown in Table 4. A total of 16 (28.6%) patients in group A developed pneumothorax of which 3 (5.4%) required a chest tube. In group B, pneumothorax occurred in 11 (31.4%) patients, of which 2 (5.7%) required a chest tube. There was no statistical difference in the incidence of pneumothorax between the two groups (28.6% vs. 31.4%, P=0.77). Intrapulmonary hemorrhage occurred in 11 (19.6%) patients in group A and in 15 (42.8%) patients in group B. There was a statistical difference in the incidence of intrapulmonary hemorrhage between the two groups (19.6% vs. 42.8%, P<0.05). Three patients developed moderate intrapulmonary hemorrhage, and the operator performed emergency MWA on the bleeding site and coagulated the extravasated blood in the process. Twenty-three patients had mild parenchymal hemorrhage, and no specialized treatment was performed.
Table 4
| Complications | Group A (n=56) | Group B (n=35) | P value |
|---|---|---|---|
| Pneumothorax | 16 (28.6) | 11 (31.4) | 0.77 |
| Mild | 13 (23.2) | 9 (25.7) | |
| Moderate | 3 (5.4) | 2 (5.7) | |
| Severe | 0 (0) | 0 (0) | |
| Intrapulmonary hemorrhage | 11 (19.6) | 15 (42.8) | 0.02* |
| Mild | 10 (17.9) | 13 (37.1) | |
| Moderate | 1 (1.8) | 2 (5.7) | |
| Severe | 0 (0) | 0 (0) | |
| Hemorrhage attributable to PB | 8 (14.3) | 11(31.4) | |
| Hemorrhage attributable to MWA | 3 (5.4) | 4 (11.4) | |
| Hemoptysis | 12 (21.4) | 9 (25.7) | 0.64 |
| Mild | 10 (17.9) | 6 (17.1) | |
| Moderate | 2 (3.6) | 2 (5.7) | |
| Severe | 0 (0) | 1 (2.9) | |
| Hemothorax (chest tube) | 0 (0) | 0 (0) | – |
| Pleural effusion | 15 (26.8) | 10 (28.6) | 0.85 |
| Mild ipsilateral pleural effusion | 12 (21.4) | 8 (22.9) | |
| Mild bilateral pleural effusion | 3 (5.4) | 2 (5.7) | |
| Pulmonary infection | 6 (10.7) | 5 (14.3) | 0.61 |
| Bronchopleural fistula | 0 (0) | 0 (0) | – |
| Pulmonary artery pseudoaneurysm | 0 (0) | 0 (0) | – |
| Needle‑tract tumor seeding | 0 (0) | 0 (0) | – |
| Subcutaneous emphysema | 3 (5.4) | 1 (2.9) | 0.57 |
| Mediastinal emphysema | 0 (0) | 0 (0) | – |
| Side effects | |||
| Pain | 16 (28.6) | 11 (31.4) | 0.77 |
| Cough | 14 (25.0) | 9 (25.7) | 0.94 |
| Post-ablation syndrome | 12 (21.4) | 10 (28.6) | 0.44 |
| Post-ablation chronic pain syndrome | 3 (5.4) | 2 (5.7) | 0.94 |
Data are presented as n (%). *, P<0.05. PB, percutaneous biopsy; MWA, microwave ablation.
Hemoptysis occurred in 12 patients (21.4%) in group A and 9 patients (25.7%) in group B (21.4% vs. 25.7%, P=0.64). In patients with mild hemoptysis, careful observation and intravenous infusion of hemostatic drugs (such as phenol sulfonamide) were performed. In patients with moderate hemoptysis, patients were encouraged to spit out the bruises and given intravenous administration of hemostatic drugs and oxygen. In group B, a patient developed massive hemoptysis along with moderate intrapulmonary hemorrhage. The patient was placed in a lateral position. He was encouraged to cough slightly and spit out the bruise while negative pressure ventilation and oxygen were administered to avoid asphyxia. This patient was treated with needle tract embolization with gelatin sponge pellets and hemostatic drug injection on top of emergency MWA treatment. No patient developed hemothorax.
Mild pleural effusion, lung infection, subcutaneous emphysema, and post-ablation side effects (pain, cough, post-ablation syndrome, and post-ablation chronic pain syndrome) were normalized after observation and symptomatic treatment. No intraoperative arrhythmias or pleural reactions were observed in either group, and no serious complications such as air embolism, bronchopleural fistula, pulmonary artery pseudoaneurysm, or needle tract implantation metastasis were observed after treatment.
Efficacy and follow-up
MWA and PB were successfully performed in 90 patients, with technical success rates of 100% and 97.1% in the two groups. The first CT review of a patient in group B after combination therapy showed continued irregular enhancement in the ablation area and technical success was not achieved. This patient underwent a second MWA and achieved complete remission. The average ablation power and time were 37.2±1.8 and 37.0±2.5 W and 6.5±1.2 and 6.3±1.5 min in the two groups. The mean patient exposure dose was 13.1±1.8 and 12.8±1.2 mSv in the two groups. The hospitalization stay and cost in the two groups were 3.9±1.8 and 4.1±2.0 days and 3,743.8±563.5 and 3,689.5±611.4 USD. There was no significant difference in any of the above parameters (P>0.05).
The median follow-up was 18.0 months (range, 2.5–26.3 months). Postoperative outcomes could be evaluated in 83 patients, of whom 82 patients (98.8%) achieved local control and 47 (56.6%) achieved CA. Only 1 patient (1.2%) in group B was diagnosed with local progression after 12 months of combination therapy. This patient was treated with cryoablation and achieved complete remission thereafter. No tumor implantation or patient death was observed during follow-up. Ablation parameters and associated follow-up results are shown in Table 5.
Table 5
| Factors | Group A (n=56) | Group B (n=35) | P value |
|---|---|---|---|
| MWA parameter | |||
| Power (W) | 37.2±1.8 | 37.0±2.5 | 0.66 |
| Time (min) | 6.5±1.2 | 6.3±1.5 | 0.48 |
| Irradiation dose (mSv) | 13.1±1.8 | 12.8±1.2 | 0.39 |
| Technical success rate | 56 (100.0) | 34 (97.1) | 0.20 |
| Hospitalization stay (days) | 3.9±1.8 | 4.1±2.0 | 0.62 |
| Hospitalization cost (USD) | 3,743.8±563.5 | 3,689.5±611.4 | 0.67 |
| Follow up time (months) | 18.5±6.2 | 17.0±8.5 | 0.33 |
Data are presented as mean ± standard deviation or n (%). Irradiation dose (mSV) was calculated as follows: irradiation dose = κDLP × dose-length product (mGy·cm), κDLP =0.015 mSv/mGy·cm. DLP, dose-length product; MWA, microwave ablation.
Discussion
In recent years, with the widespread implementation of LDCT screening programs and the application and popularization of artificial intelligence (AI), the detection rate of PNs has increased significantly and has shown trends of multiplicity and younger age (3-6). According to the American College of Chest Physicians guidelines for lung cancer, surgical resection is the gold standard for the treatment of patients with highly suspected malignant lung nodules (6). However, for patients with cardiopulmonary insufficiency who cannot tolerate surgery or refuse surgery, local thermal ablation is also an option for these patients (27,28). Several studies have shown that in the treatment of malignant PN, the image-guided thermal ablation technique, represented by MWA, has achieved preliminary results comparable to surgical resection in terms of 5-year overall survival (27,28), which has facilitated its use in clinical practice.
In clinical diagnosis and treatment, PB of PNs remains an important method to obtain histopathologic results of patients before MWA. Traditionally, the sequence is to perform PB first to confirm the pathologic findings, followed by selective ablation (11-14). However, sequential treatment with PB and MWA increases hospitalization time, cost, and procedural risk, especially in elderly patients and those with severe underlying diseases (11-14). Therefore, combining PB with MWA has been the key to improving efficiency. In our study, in patients with highly suspicious malignant PNs, simultaneous PB and MWA provided a high diagnostic rate, as well as the ability to effectively ablate lesions with a high rate of local control. The diagnostic rate of malignant tumors was not significantly affected by the order of the procedure (80.4% in group A and 88.6% in group B). In addition, the incidence of intrapulmonary hemorrhage was significantly lower in group A (MWA-first group). We conclude that the MWA-first approach in synchronous treatment reduces the impact of intrapulmonary hemorrhage on ablation outcomes and is an alternative treatment for highly suspected malignant PNs.
The main point of contention for PB immediately after MWA is whether ablation affects the pathologic outcome. Some relevant studies have shown that even after CA, the pathological histological structure of tumor cells can be preserved, even for 1 month, for post-ablation pathological evaluation (14,20,29-34). Clasen et al. (31) suggested that apoptosis and necrosis of tumor cells in the ablation zone occur progressively and that even after DNA degradation (DNA fragmentation), the apoptotic tumor cells can still maintain cell membrane integrity for a longer period of time. Li and Ye (17) concluded that thermal damage from MWA only has a “fixation effect” on the diseased tissue and does not damage the cellular and tissue structure, which has little effect on pathological detection. Kong et al. (14) concluded that short-term thermal ablation does not affect the pathological outcome of tissue and does not affect immunohistochemical staining and molecular detection. Gao et al. (33) believe that MWA produces heat through the action of microwave electromagnetic field to cause coagulation and necrosis of tissues, but it is not advisable to use high-power ablation to avoid excessive carbonization to make the tissues lose their original morphology and affect the pathological diagnosis.
In clinical practice, in order to achieve sufficient ablation energy, high-power MWA is often used to treat lung tumors (usually 60–80 W), and this local treatment can effectively expand the ablation range, kill tumor tissue, and resist heat dissipation by intravascular blood flow (34). However, high-power ablation can result in complete curing or excessive carbonization of the biopsy tissue, which may affect the accuracy of pathological diagnosis (32,33). When MWA is used to treat PNs, the power and time settings need to be adjusted comprehensively according to factors such as nodule size, location, and individual patient’s condition. Our clinical experience is as follows: (I) for PNs with a diameter <1.5 cm, a 4–5 min ablation time can be used. For PNs of 1.5–3 cm, the time should be appropriately extended to 5–8 min. (II) For GGNs with high gas content and lower impedance, the power and ablation time can be slightly lower than for solid nodules. (III) For PNs in special locations (vessels, larger airways, etc.), it is recommended to choose a lower power for ablation to minimize the risk of damage to the surrounding important structures. In our study, we used an ablation power of 35–40 W and an ablation time of 4–8 min and achieved an acceptable rate of positive pathologic diagnosis, satisfactory local control, and satisfactory CA. We believe that PB after MWA is more conducive to determining the adequacy of the ablation range and that reasonable ablation power and ablation time are the keys to ensuring CA and obtaining a high pathology-positive diagnosis rate. It is worth noting that the lesion will be wrinkled and solid after MWA, and it should be appropriate to increase the volume of biopsy taken in order to successfully obtain the tissue at the lesion.
The impact of the sequencing of MWA and PB on complications has received equal attention. In a study by Schneider et al. (11), 24% of pulmonary hemorrhages and 12% of pneumothoraxes occurred after PB, resulting in a local tumor control rate of only 77% with subsequent RFA. In our study, one patient in group B failed to achieve technical success as irregular enhancement of the ablation area remained on the first CT review after combination therapy. We believe that the failure to achieve technical success, in this case, was attributed to the fact that this patient experienced intrapulmonary hemorrhage during PB, and the pulmonary hemorrhage made it difficult to differentiate the tumor border, which affected the localization accuracy of thermal ablation. In addition, PB-induced pneumothorax makes puncture difficult and increases the difficulty of MWA.
In a study by Kong et al. (14), the incidence of pneumothorax in PB after MWA was 36.4% (24/66). The incidence of intrapulmonary hemorrhage was 72.7% (48/66) and 81.3% of the hemorrhage was attributable to PB, whereas in our study the incidence of pneumothorax in both groups was 28.6% and 31.4%, and the incidence of intrapulmonary hemorrhage was 19.6% and 42.8%, which were lower than the above studies. This may be due to the use of a smaller diameter 17-G coaxial puncture needle in our study. Previous studies have confirmed that the introduction of biopsy needles and ablation antennae through coaxial cannulae reduces the number of pleural punctures and decreases the probability of injury to the small pulmonary vessels and bronchial branches surrounding the lesion, thus greatly reducing puncture complications (14,35,36). However, the thicker coaxial puncture needle (15-G) can lead to a certain degree of pleural injury, in which the matching of a 17-G coaxial cannula with an 18-G MWA antenna reduces the pleural and lung tissue injury to a certain extent, and reduces the chance of pneumothorax and air embolism. In Chen et al.’s study, the incidence of intrapulmonary hemorrhage in the MWA-prioritized group was significantly lower than that in the PB-prioritized group (35), which is consistent with the results of this study. Theoretically, thermal ablation techniques represented by MWA or RFA can occlude the blood vessels in the ablation area and have a certain hemostatic effect (17,35). The combination of MWA and PB can reduce the risk of intrapulmonary hemorrhage and shorten the procedure and hospital stay (12). PB immediately after MWA promotes small vessel micro-thrombosis and small airway occlusion, and reduces the risk of hemorrhage and air embolism in rich-supply PNs (17,35). We believe that lesions adjacent to rich vessels and bronchioles can undergo MWA followed by PB to prevent asphyxiating hemoptysis caused by the simultaneous severance of small vessels and bronchioles.
The limitations of this study are as follows: first, the number of patients included in this study was small and the results may be biased. Second, the patients were followed up for different periods of time, which may have an impact on the results. Third, although high-risk nodules were selected for this study, it is possible for benign nodules to be treated without confirmation. However, this is equally unavoidable for surgical resection (which is more invasive). Finally, we usually recommend genetic testing when the pathologic diagnosis is considered malignant. The program is self-funded, not all patients underwent genetic testing, so it is not possible to determine whether there is an effect of MWA on the results of genetic testing.
Conclusions
In patients with highly suspected malignant PNs, simultaneous MWA and PB can provide a high diagnostic yield, as well as effective ablation of malignant lesions with good near-term outcomes. The rate of positive pathologic diagnosis is not significantly affected by the order of procedures. In clinical practice, the MWA-first approach reduces the impact of intrapulmonary hemorrhage on the ablation outcome and is an alternative treatment for highly suspected malignant PNs.
Acknowledgments
None.
Footnote
Reporting Checklist: The authors have completed the STROBE reporting checklist. Available at https://jtd.amegroups.com/article/view/10.21037/jtd-2025-105/rc
Data Sharing Statement: Available at https://jtd.amegroups.com/article/view/10.21037/jtd-2025-105/dss
Peer Review File: Available at https://jtd.amegroups.com/article/view/10.21037/jtd-2025-105/prf
Funding: This study was supported by
Conflicts of Interest: All authors have completed the ICMJE uniform disclosure form (available at https://jtd.amegroups.com/article/view/10.21037/jtd-2025-105/coif). The authors have no conflicts of interest to declare.
Ethical Statement: The authors are accountable for all aspects of the work in ensuring that questions related to the accuracy or integrity of any part of the work are appropriately investigated and resolved. This retrospective study was conducted in accordance with the Declaration of Helsinki and its subsequent amendments, and was approved by the Ethics Committee of Beijing Chest Hospital (No. LW-2025-003). Since this is a retrospective study, the requirement for informed consent was waived.
Open Access Statement: This is an Open Access article distributed in accordance with the Creative Commons Attribution-NonCommercial-NoDerivs 4.0 International License (CC BY-NC-ND 4.0), which permits the non-commercial replication and distribution of the article with the strict proviso that no changes or edits are made and the original work is properly cited (including links to both the formal publication through the relevant DOI and the license). See: https://creativecommons.org/licenses/by-nc-nd/4.0/.
References
- Bray F, Laversanne M, Sung H, et al. Global cancer statistics 2022: GLOBOCAN estimates of incidence and mortality worldwide for 36 cancers in 185 countries. CA Cancer J Clin 2024;74:229-63. [Crossref] [PubMed]
- Han B, Zheng R, Zeng H, et al. Cancer incidence and mortality in China, 2022. J Natl Cancer Cent 2024;4:47-53. [Crossref] [PubMed]
- Zeng H, Chen W, Zheng R, et al. Changing cancer survival in China during 2003-15: a pooled analysis of 17 population-based cancer registries. Lancet Glob Health 2018;6:e555-e567. [Crossref] [PubMed]
- Goldstraw P, Chansky K, Crowley J, et al. The IASLC Lung Cancer Staging Project: Proposals for Revision of the TNM Stage Groupings in the Forthcoming (Eighth) Edition of the TNM Classification for Lung Cancer. J Thorac Oncol 2016;11:39-51. [Crossref] [PubMed]
- Meza R, Jeon J, Toumazis I, et al. Evaluation of the Benefits and Harms of Lung Cancer Screening With Low-Dose Computed Tomography: Modeling Study for the US Preventive Services Task Force. JAMA 2021;325:988-97. [Crossref] [PubMed]
- Gould MK, Donington J, Lynch WR, et al. Evaluation of individuals with pulmonary nodules: when is it lung cancer? Diagnosis and management of lung cancer, 3rd ed: American College of Chest Physicians evidence-based clinical practice guidelines. Chest 2013;143:e93S-e120S.
- Zhang Q, Wu X, Yang H, et al. Advances in the Treatment of Pulmonary Nodules. Respiration 2024;103:134-45. [Crossref] [PubMed]
- Hu Y, Xue G, Liang X, et al. Computed tomography-guided microwave ablation for right middle lobe pulmonary nodules: a retrospective, single-center, case-control study. Int J Hyperthermia 2024;41:2307479. [Crossref] [PubMed]
- Zarogoulidis P, Papadopoulos V, Perdikouri EI, et al. Ablation for Single Pulmonary Nodules, Primary or Metastatic. Endobronchial Ablation Systems or Percutaneous. J Cancer 2024;15:880-8. [Crossref] [PubMed]
- Wei Z, Chi J, Cao P, et al. Microwave ablation with a blunt-tip antenna for pulmonary ground-glass nodules: a retrospective, multicenter, case-control study. Radiol Med 2023;128:1061-9. [Crossref] [PubMed]
- Schneider T, Puderbach M, Kunz J, et al. Simultaneous computed tomography-guided biopsy and radiofrequency ablation of solitary pulmonary malignancy in high-risk patients. Respiration 2012;84:501-8. [Crossref] [PubMed]
- Zhang J, Xu K, Du K, et al. Simultaneous percutaneous microwave ablation and biopsy for highly suspected malignant pulmonary nodules: a retrospective cohort study. Quant Imaging Med Surg 2023;13:7214-24. [Crossref] [PubMed]
- Najafi A, Al Ahmar M, Bonnet B, et al. The PEARL Approach for CT-guided Lung Biopsy: Assessment of Complication Rate. Radiology 2022;302:473-80. [Crossref] [PubMed]
- Kong F, Bie Z, Li Y, et al. Synchronous microwave ablation followed by core-needle biopsy via a coaxial cannula for highly suspected malignant lung ground-glass opacities: A single-center, single-arm retrospective study. Thorac Cancer 2021;12:3216-22. [Crossref] [PubMed]
- Chi J, Ding M, Wang Z, et al. Pathologic Diagnosis and Genetic Analysis of Sequential Biopsy Following Coaxial Low-Power Microwave Thermal Coagulation For Pulmonary Ground-Glass Opacity Nodules. Cardiovasc Intervent Radiol 2021;44:1204-13. [Crossref] [PubMed]
- Xu S, He L, Qi J, et al. Percutaneous core-needle biopsy before and immediately after coaxial microwave ablation in solid non-small cell lung cancer: the comparison of genomic testing from specimens. Cancer Imaging 2023;23:93. [Crossref] [PubMed]
- Li X, Ye X. Computed tomography-guided percutaneous core-needle biopsy after thermal ablation for lung ground-glass opacities: Is the method sound? J Cancer Res Ther 2019;15:1427-9. [Crossref] [PubMed]
- Li B, Bie Z, Li Y, et al. Synchronous percutaneous core-needle biopsy and microwave ablation for stage I non-small cell lung cancer in patients with Idiopathic pulmonary fibrosis: initial experience. Int J Hyperthermia 2023;40:2270793. [Crossref] [PubMed]
- Wang N, Xu J, Xue G, et al. Synchronous computed tomography-guided percutaneous biopsy and microwave ablation for highly suspicious malignant lung ground-glass opacities adjacent to mediastinum. Int J Hyperthermia 2023;40:2193362. [Crossref] [PubMed]
- Wang J, Ni Y, Yang X, et al. Diagnostic ability of percutaneous core biopsy immediately after microwave ablation for lung ground-glass opacity. J Cancer Res Ther 2019;15:755-9. [Crossref] [PubMed]
- Ye X, Fan W, Wang Z, et al. Expert consensus on thermal ablation therapy of pulmonary subsolid nodules (2021 Edition). J Cancer Res Ther 2021;17:1141-56. [Crossref] [PubMed]
- Xu D, Xie F, Zhang J, et al. Chinese expert consensus on cone-beam CT-guided diagnosis, localization and treatment for pulmonary nodules. Thorac Cancer 2024;15:582-97. [Crossref] [PubMed]
- Basch E, Becker C, Rogak LJ, et al. Composite grading algorithm for the National Cancer Institute's Patient-Reported Outcomes version of the Common Terminology Criteria for Adverse Events (PRO-CTCAE). Clin Trials 2021;18:104-14. [Crossref] [PubMed]
- Veldhuijzen E, Walraven I, Mitchell SA, et al. Dutch translation and linguistic validation of the U.S. National Cancer Institute's Patient-Reported Outcomes version of the Common Terminology Criteria for Adverse Events (PRO-CTCAE™). J Patient Rep Outcomes 2020;4:81. [Crossref] [PubMed]
- Li J, Zhang Z, Chen Y, et al. Risk factors for lung parenchyma hemorrhage and hemoptysis during computed tomography-guided microwave ablation in patients with stage I non-small cell lung cancer: A bicentric retrospective study. Thorac Cancer 2024;15:2386-94. [Crossref] [PubMed]
- Cao P, Wei Z, Xue G, et al. Complications of synchronous microwave ablation and biopsy versus microwave ablation alone for pulmonary sub-solid nodules: a retrospective, large sample, case-control study. Quant Imaging Med Surg 2024;14:7218-28. [Crossref] [PubMed]
- Wang L, Song D, Li J, et al. Computed tomography-guided microwave ablation of pulmonary nodules in children. Asian J Surg 2023;46:6012-4. [Crossref] [PubMed]
- Chi J, Wang Z, Ding M, et al. Technical safety and efficacy of a blunt-tip microwave ablation electrode for CT-guided ablation of pulmonary ground-glass opacity nodules. Eur Radiol 2021;31:7484-90. [Crossref] [PubMed]
- Wei Z, Wang Q, Ye X, et al. Microwave ablation followed by immediate biopsy in the treatment of non-small cell lung cancer. Int J Hyperthermia 2018;35:262-8. [Crossref] [PubMed]
- Hasegawa T, Kondo C, Sato Y, et al. Pathologic Diagnosis and Genetic Analysis of a Lung Tumor Needle Biopsy Specimen Obtained Immediately After Radiofrequency Ablation. Cardiovasc Intervent Radiol 2018;41:594-602. [Crossref] [PubMed]
- Clasen S, Krober SM, Kosan B, et al. Pathomorphologic evaluation of pulmonary radiofrequency ablation: proof of cell death is characterized by DNA fragmentation and apoptotic bodies. Cancer 2008;113:3121-9. [Crossref] [PubMed]
- Li Y, Su X, Li R, et al. Clinical application of microwave ablation combined with coaxial needle biopsy using different sequences for treating lung nodules suggestive of malignancy. Int J Hyperthermia 2025;42:2474120. [Crossref] [PubMed]
- Gao F, Han X, Dou W, et al. CT-guided microwave ablation and biopsy of highly suspected malignant ground-glass nodule of lung with co-axle technique. Chinese Journal of Interventional Imaging and Therapy 2020;17:464-7.
- Iguchi T, Hiraki T, Matsui Y, et al. In Vivo Microwave Ablation of Normal Swine Lung at High-power, Short-duration Settings. Acta Med Okayama 2022;76:57-62. [Crossref] [PubMed]
- Chen Z, Zeng J, Lin Y, et al. Synchronous Computed Tomography-Guided Percutaneous Transthoracic Needle Biopsy and Microwave Ablation for Highly Suspicious Malignant Pulmonary Ground-Glass Nodules. Respiration 2024;103:388-96. [Crossref] [PubMed]
- Wang D, Li B, Bie Z, et al. Synchronous core-needle biopsy and microwave ablation for highly suspicious malignant pulmonary nodule via a coaxial cannula. J Cancer Res Ther 2019;15:1484-9. [Crossref] [PubMed]


