Pulmonary cavitary lesions: a captivating visual review
Introduction
Background
According to the Fleischner Society, a cavity is a gas-filled space within a pulmonary mass, nodule, or area of consolidation (1). It is surrounded by a wall that varies in thickness depending on the underlying cause, but it is generally at least 4 mm thick (1,2). In contrast, cysts typically have thinner walls, measuring less than 4 mm (1,2). Cavities develop due to liquefactive necrosis, where tissue breaks down, and debris is expelled through the bronchial tree (1).
The differential diagnosis for cavities is extensive, encompassing infectious, malignant, and rheumatologic conditions (Table 1). Starting with findings from high-resolution computed tomography (CT) scans and combining them with the patient’s clinical history, physical exam results, and laboratory data can potentially refine the differential diagnosis of cavitary lesions. A disease process lasting less than 12 weeks (acute or subacute) is typically associated with common bacterial infections and less common causes such as nocardial and fungal infections, leading to pulmonary abscesses, necrotizing pneumonias, or septic emboli. In contrast, a chronic process lasting 12 weeks or more points toward mycobacterial, fungal, viral, or parasitic infections, malignancies like primary lung cancer or metastases, or autoimmune conditions such as rheumatoid arthritis (RA) or granulomatosis with polyangiitis (GPA) (3). The number, location, and characteristics of cavity walls are significant features that help differentiate between various causes (2,4). A single cavitary lesion is often associated with primary lung cancer or pulmonary abscess, whereas multiple cavities are more typical of conditions like septic emboli, GPA, rheumatoid nodules, or metastases (2,4). Lesion location can also provide clues, with upper lobe involvement being common in lung cancer and reactivation tuberculosis (TB), while lower lobe cavities are more often linked to septic emboli or metastatic disease. Wall thickness and contour offer additional diagnostic insights (2,4). Malignant cavities typically present with irregular internal walls and focal indentations on the outer contour, whereas benign cavities tend to have smooth walls. Nin et al. reported that CT measurements of wall thickness can be particularly informative with walls thicker than 24 mm being highly specific (100%) for malignancy, whereas walls thinner than 7 mm are 97% specific for benign lesions (5). Supporting imaging features that suggest a benign cause include surrounding consolidations and centrilobular or tree-in-bud nodules (5).
Table 1
| Malignancies |
| Bronchogenic carcinoma (++ squamous cell subtype) |
| Metastases |
| Lymphoma |
| Induced by chemotherapy/radiotherapy |
| Infections |
| Bacteria (Staphylococcus aureus, Klebsiella pneumoniae, Escherichia coli, Mycobacterium tuberculosis, Mycobacterium avium complex, anaerobic agents, …) |
| Fungi (Aspergillus, Histoplasma capsulatum, Pneumocystis jirovecii, Blastomyces dermatitidis, Cryptococcus, Coccidioides, …) |
| Parasites |
| Immunologic |
| Granulomatosis with polyangiitis |
| Rheumatoid nodules |
| Congenital lesions |
| Sequestration |
| Congenital pulmonary airway malformation |
Rationale and knowledge gap
Cysts and cavities are frequent findings on chest X-rays and chest CT scans (3). In some cases, their nature is easily identified; however, diagnosing cystic and cavitary lung lesions can sometimes be complex (2). In these situations, it is helpful to differentiate cysts, which have walls 4 mm or thinner, from cavities, which have walls thicker than 4 mm or are associated with a surrounding infiltrate or mass (2).
If cavitary lesions are identified, certain imaging features, such as the number and distribution of lesions, cavity wall characteristics, and changes observed on follow-up scans, can help refine the diagnostic possibilities (2).
Additionally, distinguishing between localized (focal or multifocal) and widespread (diffuse) disease aids in narrowing the diagnosis. Other imaging features, including the lesion size, the contour of its inner wall, the nature of its contents, and its location, become particularly informative when interpreted alongside the clinical context and the disease progression (2).
The most common causes of cavitary lung lesions include malignancies, infections, immune-mediated diseases, and congenital abnormalities, underscoring the broad spectrum of potential etiologies that require careful evaluation (2,3).
Despite the utility of imaging, identifying the exact cause often remains challenging. By combining radiologic findings with clinical and epidemiological information, a more accurate diagnosis can frequently be achieved.
Objective
The aim of this article is to explore the most common causes of cavitary lung lesions by examining a broad spectrum of etiologies. Additionally, this work seeks to illustrate the characteristic imaging features of cavitary lung lesions as observed on plain chest X-ray (CXR) and CT. Emphasis is placed on key radiological hallmarks such as wall thickness, lesion morphology, involvement of surrounding tissues, and temporal changes, offering valuable insights for clinicians and radiologists in their diagnostic approach.
Helpful parameters
Among the key parameters to consider is the maximum wall thickness (2). The term “cavity” specifically refers to an air-filled lesion characterized by a relatively thick wall exceeding 4 mm or located within an area of surrounding infiltrate or mass (2,4,5). This distinction is important because the diagnostic approach and considerations for cavities and cysts differ, although there can be some overlap. Notably, cystic lung lesions are infrequently associated with malignancy, whereas cavitary lesions often raise strong suspicion of malignancy, especially in middle-aged or older adults with a history of smoking (2,4,5). Research by Woodring and colleagues, who reviewed chest radiographs of 65 cases of solitary lung cavities, showed that lesions with a maximum wall thickness of 4 mm or less are generally benign, while those with walls thicker than 15 mm are more likely to be malignant (6). A more recent study by Nin et al., involving CT analysis of 96 cases of solitary cavitary lesions, revealed that the maximum wall thickness is one of the most effective criteria for distinguishing between malignant and non-malignant causes of solitary pulmonary cavities, with the most reliable thresholds being 24 mm for malignancies and 7 mm for benign lesions (5). The study identified mycobacterial infections as the most frequent cause of non-malignant lesions, while primary lung carcinoma was the most common malignancy (5). Additionally, the presence of perilesional centrilobular nodules was associated with benignity, while malignant lesions often displayed perilesional consolidation (5).
The character of the inner lining is another important factor. Lesions with irregular or nodular inner contours suggest malignancy, whereas a smooth contour is typically benign (2).
The nature of the cavity contents, although less helpful, can occasionally aid in differentiation (7). For example, Parkar et al. reported that contrast enhancement of less than 10 Hounsfield units (HU) in cavity contents on CT is indicative of benignity, and this parameter can help distinguish aspergillomas from lung cancer (7). Abscesses, on the other hand, usually present with rim enhancement of their walls (7).
The location and duration of symptoms provide important diagnostic clues when evaluating cavitary lung lesions (2). Specific conditions often involve characteristic areas of the lung; for instance, TB frequently affects the upper lobes (2). Clinical presentation, including symptom onset and progression, also helps distinguish between possible causes (2). Acute symptoms typically suggest infectious, inflammatory, embolic, or traumatic etiologies, which are usually non-malignant (2,3). In contrast, chronic symptoms lasting more than a month tend to point toward neoplastic or long-standing inflammatory processes (2,3). However, there is significant overlap—benign conditions like TB can mimic malignancy with fatigue and weight loss, while lung cancer may present acutely due to tumor superinfection (7).
Malignancies
Primary lung malignancy
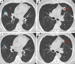
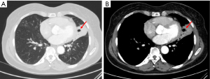
The key distinction in the differential diagnosis of cavitary lung lesions is between malignant and nonmalignant causes (8). Primary lung cancer is a common condition, with cavitation seen in 7% to 11% of cases on plain radiographs and up to 22% on CT (8). Cavitation is more commonly associated with squamous cell carcinomas than other histological types and is linked to a worse prognosis (Figures 1,2) (8). Other primary lung tumors, such as lymphoma and Kaposi’s sarcoma, may also present with cavitary lesions, particularly in individuals infected with human immunodeficiency virus (HIV) (8). Cavitary lesions were noted in CT scans of HIV-positive patients with primary pulmonary lymphoma (8). Lymphomatoid granulomatosis, a rare malignant disorder associated with Epstein-Barr virus, often presents with pulmonary cavities and may be mistaken for a lung abscess (8).
Malignancy is a common consideration for solitary cavitary lung lesions in middle-aged or elderly individuals with a history of smoking (4,7,9). In fact, the most frequently found solitary cavitary nodule in the lungs is a malignant tumor (7). These nodules can appear in any part of the lungs, with typical imaging findings including irregular and thick walls exceeding 24 mm in thickness, along with the presence of perilesional consolidation (5,7,10,11).
Metastatic lung disease
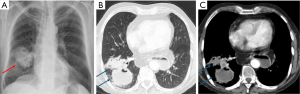
Cavitation occurs in approximately 4% of metastatic nodules identified on radiographs, compared to a higher frequency of 9% observed in primary bronchogenic carcinoma (12). Squamous cell carcinoma is considered the most common cell type associated with cavitating metastases; however, cavitation can also occur in metastatic nodules arising from adenocarcinomas and sarcomas (Figure 3) (12). Seo et al. even reported that the incidence of cavitation in metastatic nodules observed on CT imaging was similar between adenocarcinoma and squamous cell carcinoma histologic types (12).
The development of cavitation may also result from therapeutic interventions such as chemotherapy or radiotherapy applied to lung malignancies, with the underlying cause believed to be either tumor necrosis or a check-valve mechanism resulting from tumor infiltration into the bronchial structures (12).
Infections
Pulmonary infections can be caused by various microorganisms, including both gram-positive and gram-negative bacteria, leading to cavitary lung lesions (7). These pathogens induce cavitation through two main mechanisms (13). The first is via the tracheobronchial tree, where microorganisms bypass the host’s defenses, leading to necrotizing pneumonia or a lung abscess (13). The second mechanism involves hematogenous spread, where microorganisms disseminate through the bloodstream, forming septic emboli in association with fibrin and platelets (13).
Necrotizing pneumonia and lung abscess
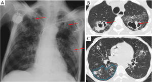
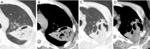
Cavitation within areas of consolidation is a sign of necrotizing pneumonia, often caused by pathogens such as Staphylococcus aureus and Klebsiella pneumoniae. These bacteria are more likely to induce cavitation (Figure 4) (7,8,13). Occasionally, Staphylococcus aureus can occasionally lead to the formation of pneumatoceles, particularly in children (14). Pneumatoceles are thin-walled, cysts that may contain air-fluid levels and typically resolve spontaneously within weeks to a few months (14).
Lung abscesses, a complication of pneumonia, are typically caused by mixed anaerobic infections, with Staphylococcus aureus and Pseudomonas aeruginosa being common culprits (15). Aspiration events are a major risk factor for lung abscesses, with risk factors including alcoholism, poor dental hygiene, impaired consciousness, esophageal motility disorders, and neurological disease (8,15).
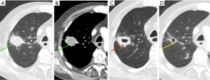
In contrast to cavitating pneumonia, which presents with residual consolidation around the cavity, a lung abscess is a more established process, typically showing little to no surrounding consolidation (7). Imaging findings for lung abscesses typically include cavitary lung lesions with or without fluid levels, variable wall thickness (5–15 mm), peripheral contrast enhancement, and a necrotizing center (Figure 5) (7). If the abscess is located peripherally, focal pleural thickening or an empyema may be present (7).
Septic emboli
Septic emboli occur when certain microorganisms cause peripheral pulmonary thrombosis, leading to infarction and microabscesses (7). Major risk factors for septic emboli include immunosuppression, the presence of arterial or intravenous catheters, intravenous drug use, alcoholism, endocarditis, and dental surgery (7,16).
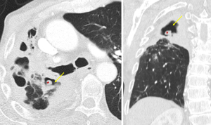
Imaging findings of septic emboli include multiple subpleural, wedge-shaped nodules, which progress into cavities within days (Figure 6) (16). Cavitation is observed in up to 47% of cases on chest X-ray and up to 85% on CT (8). The “feeding vessel” sign, which indicates a distinct vessel leading to the center of the pulmonary nodule, is suggestive of septic emboli (8). Pleural effusion, hilar lymphadenopathy, and mediastinal lymphadenopathy may also be seen (8). The rapid progression of nodules to cavities helps to differentiate them from malignancies (8).
Mycobacterium TB infection
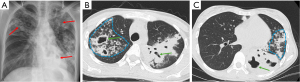
Cavitation is a hallmark of post-primary TB, occurring in approximately 50% of patients (7). The likelihood of cavitation correlates with higher sputum mycobacterial loads (8). Moreover, cavitation is an uncommon feature of primary TB, which is characterized by inflammation and granuloma formation that does not usually lead to the tissue destruction that causes cavitation (8,17). Cavitation primarily occurs in post-primary TB, when the bacteria reactivate from dormant state and the immune system’s response leads to more extensive tissue damage and cavitation (8,17). Hence, radiologically, primary TB is more likely to show intra-thoracic lymph node enlargement, pleural effusion and lower lobe lung lesions. Cavitation is less characteristic of these initial presentations, seen only in 10–30% of cases (17). Typical imaging findings of post-primary TB include a predilection for the upper lobes, particularly the apical and posterior segments (7). Patchy and poorly defined consolidations are often the earliest findings (7,8). Cavities often form within areas of consolidation, exhibiting variable wall thickness, ranging from thin and smooth to thick and nodular walls (Figures 7-9) (8). Air-fluid levels are seen in 10–20% of tuberculous cavities (18). Endobronchial dissemination can lead to tree-in-bud opacities, and pleural effusion is common (8).
Fungal infections
Fungal lung infections are most commonly associated with Aspergillus species, which present in four forms (7,19). The first is allergic bronchopulmonary aspergillosis (ABPA), which affects patients with long-standing asthma and is generally not associated with lung cavitation. The second is aspergilloma, which is seen in patients with preexisting lung cavities (7,19). The third is chronic necrotizing or semi-invasive aspergillosis, which affects patients with a history of chronic lung disease, involving local invasion of lung tissue (7,19). The fourth is invasive aspergillosis, which occurs in immunocompromised and critically ill patients (7,19).
Aspergillomas, also known as fungus balls, form when Aspergillus grows within a preexisting cavity (7,19). The most common underlying diseases are TB and sarcoidosis (7,19). These cavities may be asymptomatic, though hemoptysis is the most common symptom (7,19). Typical imaging findings of aspergilloma include rounded and mobile gravity-dependent opacities within a preexisting cavity (7,19). The “crescent” sign, characterized by a crescent-shaped air collection around the fungus ball, is not specific to aspergilloma but can be seen (Figure 10) (7,19). Wall thickness is typically less than 3 mm, and local pleural thickening may be observed (7,19).
In addition to Aspergillus, several endemic fungi are increasingly recognized as causes of cavitary lung disease. Histoplasma capsulatum, endemic to the Ohio and Mississippi River valleys, can cause chronic cavitary histoplasmosis, particularly in patients with underlying chronic obstructive pulmonary disease (COPD) (20). Blastomyces dermatitidis, found in similar regions, may lead to pulmonary blastomycosis with occasional cavitary lesions (21). Coccidioides species, endemic to the southwestern United States, can result in coccidioidomycosis presenting with thin-walled pulmonary cavities (22). Fungal infections are important considerations in the differential diagnosis of cavitary lung lesions, particularly in immunocompromised individuals and those residing in or with travel history to endemic areas (Figure 11) (20).
Immunological causes
GPA is a systemic vasculitis that commonly affects both the upper and lower respiratory tracts, as well as the kidneys (7). The most common symptoms include cough and dyspnea, and cavitary lung lesions are often observed (7). On imaging, GPA typically presents with multiple nodules and masses, usually ranging from 2 to 4 cm in size. These lesions are often centrally located, but they do not show a specific preference for any particular lung lobe (7). Cavitation is seen in up to 25% of the nodules larger than 2 cm, and air-fluid levels may be present (Figure 12) (23). Additionally, a halo surrounding the nodules, caused by hemorrhage, may be observed (19). Solitary nodules or masses are less commonly seen (19).
Rheumatoid nodules, although a rare feature of RA, can also be present in the lungs (7). These nodules range from a few millimeters to more than 1 cm in size and can be either solitary or multiple (7). They are typically located in the peripheral regions of the lungs and may show cavitation (Figure 13) (7). These nodules generally tend to resolve spontaneously (7).
An uncommon cause of cavitation is cavitary pulmonary sarcoidosis, which is more frequently observed in severe and active cases of the disease, with a reported prevalence of 2% among all pulmonary sarcoidosis cases (Figure 14) (24). The formation of cavities can increase the risk of secondary infections, such as aspergilloma, hemoptysis, and pneumothorax (24). These cavities resemble those seen in other conditions, including TB, lung abscesses, malignancy, and vasculitis. However, unlike TB and abscesses, the cavities in cavitary pulmonary sarcoidosis do not contain active infection. Therefore, a thorough investigation is essential, including bronchoalveolar lavage, analysis for GeneXpert MTB/RIF, acid-fast bacilli staining, Gram stain, culture, and malignant cell assessment to rule out bacterial, mycobacterial, fungal infections, and malignancy (24).
Miscellaneous
Pulmonary Langerhans cell histiocytosis (PLCH) is an important cause of pulmonary cavitation, particularly in young adult smokers. This rare interstitial lung disease is characterized by a spectrum of radiological findings, progressing from small peribronchiolar nodules to multiple, irregularly shaped cysts with a predilection for the mid and upper lung zones while sparing the costophrenic recesses. The nodules, often cavitary in early disease, eventually evolve into thin-walled cysts, which may coalesce into complex shapes, sometimes described as bilobed, cloverleaf, or even exhibiting an “octopus sign” due to internal septations. As the disease advances, additional features such as ground-glass opacities, reticulation, mosaic attenuation, and interstitial fibrosis may be present. While cavitary nodules are more frequent in the early stages, the appearance of new nodules later in the disease course, when cystic transformation is predominant, is an indicator of disease progression (Figure 15) (25).
Congenital lesions
Infectious processes can complicate pre-existing cystic lung diseases, leading to increased wall thickness that resembles cavitary lung lesions, sometimes with a fluid level (Figure 16) (26). When prior imaging is unavailable, distinguishing between pre-existing cysts and newly developed lesions can be challenging (26).
Strength and limitations of the review
This pictorial review provides a concise yet comprehensive overview of pulmonary cavitary lesions, emphasizing key concepts and diagnostic features across both benign and malignant etiologies. By incorporating representative imaging examples for each condition, it serves as a practical guide for radiologists, aiding in the recognition and differentiation of common and critical pathologies in clinical practice. However, the review is not intended to be exhaustive or systematic, as it focuses on the most relevant aspects rather than delving deeply into the nuances of each etiology. Additionally, while the visual approach enhances understanding, it may not address all atypical presentations or rare conditions, which could limit its applicability in less straightforward cases.
Conclusions
In summary, the diagnosis of cavitary lung lesions requires a systematic and comprehensive approach due to the broad spectrum of potential etiologies, including infectious, malignant, immunological, and congenital conditions. Imaging characteristics such as the number, location, wall thickness, and contour of cavities, when interpreted in conjunction with clinical and epidemiological data, are critical in guiding the differential diagnosis. High-resolution CT scans provide valuable insights, particularly when assessing the progression of lesions over time. Distinguishing between benign and malignant processes, as well as differentiating infectious from non-infectious causes, remains challenging but is facilitated by careful evaluation of lesion-specific features. A multidisciplinary approach, integrating radiological findings with patient history, is essential for accurate diagnosis and informed management decisions, ensuring optimal patient care.
Acknowledgments
None.
Footnote
Peer Review File: Available at https://jtd.amegroups.com/article/view/10.21037/jtd-2025-235/prf
Funding: None.
Conflicts of Interest: All authors have completed the ICMJE uniform disclosure form (available at https://jtd.amegroups.com/article/view/10.21037/jtd-2025-235/coif). The authors have no conflicts of interest to declare.
Ethical Statement: The authors are accountable for all aspects of the work in ensuring that questions related to the accuracy or integrity of any part of the work are appropriately investigated and resolved. Verbal informed consent was obtained from all individual participants included in the study.
Open Access Statement: This is an Open Access article distributed in accordance with the Creative Commons Attribution-NonCommercial-NoDerivs 4.0 International License (CC BY-NC-ND 4.0), which permits the non-commercial replication and distribution of the article with the strict proviso that no changes or edits are made and the original work is properly cited (including links to both the formal publication through the relevant DOI and the license). See: https://creativecommons.org/licenses/by-nc-nd/4.0/.
References
- Bankier AA, MacMahon H, Colby T, et al. Fleischner Society: Glossary of Terms for Thoracic Imaging. Radiology 2024;310:e232558. [Crossref] [PubMed]
- Ryu JH, Swensen SJ. Cystic and cavitary lung diseases: focal and diffuse. Mayo Clin Proc 2003;78:744-52. [Crossref] [PubMed]
- Gafoor K, Patel S, Girvin F, et al. Cavitary Lung Diseases: A Clinical-Radiologic Algorithmic Approach. Chest 2018;153:1443-65. [Crossref] [PubMed]
- Sheard S, Moser J, Sayer C, et al. Lung Cancers Associated with Cystic Airspaces: Underrecognized Features of Early Disease. Radiographics 2018;38:704-17. [Crossref] [PubMed]
- Nin CS, de Souza VV, Alves GR, et al. Solitary lung cavities: CT findings in malignant and non-malignant disease. Clin Radiol 2016;71:1132-6. [Crossref] [PubMed]
- Woodring JH, Fried AM, Chuang VP. Solitary cavities of the lung: diagnostic implications of cavity wall thickness. AJR Am J Roentgenol 1980;135:1269-71. [Crossref] [PubMed]
- Parkar AP, Kandiah P. Differential Diagnosis of Cavitary Lung Lesions. J Belg Soc Radiol 2016;100:100. [Crossref] [PubMed]
- Gadkowski LB, Stout JE. Cavitary pulmonary disease. Clin Microbiol Rev 2008;21:305-33. table of contents. [Crossref] [PubMed]
- Farooqi AO, Cham M, Zhang L, et al. Lung cancer associated with cystic airspaces. AJR Am J Roentgenol 2012;199:781-6. [Crossref] [PubMed]
- Snoeckx A, Reyntiens P, Carp L, et al. Diagnostic and clinical features of lung cancer associated with cystic airspaces. J Thorac Dis 2019;11:987-1004. [Crossref] [PubMed]
- Erasmus JJ, Connolly JE, McAdams HP, et al. Solitary pulmonary nodules: Part I. Morphologic evaluation for differentiation of benign and malignant lesions. Radiographics 2000;20:43-58. [Crossref] [PubMed]
- Seo JB, Im JG, Goo JM, et al. Atypical pulmonary metastases: spectrum of radiologic findings. Radiographics 2001;21:403-17. [Crossref] [PubMed]
- Duong TB, Ceglar S, Reaume M, et al. Imaging Approach to Cavitary Lung Disease. Ann Am Thorac Soc 2020;17:367-71. [Crossref] [PubMed]
- Flaherty RA, Keegan JM, Sturtevant HN. Post-pneumonic pulmonary pneumatoceles. Radiology 1960;74:50-3. [Crossref] [PubMed]
- Kuhajda I, Zarogoulidis K, Tsirgogianni K, et al. Lung abscess-etiology, diagnostic and treatment options. Ann Transl Med 2015;3:183. [Crossref] [PubMed]
- Jaffe RB, Koschmann EB. Septic pulmonary emboli. Radiology 1970;96:527-32. [Crossref] [PubMed]
- Cozzi D, Bartolucci M, Giannelli F, et al. Parenchymal Cavitations in Pulmonary Tuberculosis: Comparison between Lung Ultrasound, Chest X-ray and Computed Tomography. Diagnostics (Basel) 2024;14:522. [Crossref] [PubMed]
- Wetscherek MTA, Sadler TJ, Lee JYJ, et al. Active pulmonary tuberculosis: something old, something new, something borrowed, something blue. Insights Imaging 2022;13:3. [Crossref] [PubMed]
- Franquet T, Müller NL, Giménez A, et al. Spectrum of pulmonary aspergillosis: histologic, clinical, and radiologic findings. Radiographics 2001;21:825-37. [Crossref] [PubMed]
- Wheat LJ, Freifeld AG, Kleiman MB, et al. Clinical practice guidelines for the management of patients with histoplasmosis: 2007 update by the Infectious Diseases Society of America. Clin Infect Dis 2007;45:807-25. [Crossref] [PubMed]
- McBride JA, Gauthier GM, Klein BS. Clinical Manifestations and Treatment of Blastomycosis. Clin Chest Med 2017;38:435-49. [Crossref] [PubMed]
- Galgiani JN, Ampel NM, Blair JE, et al. Coccidioidomycosis. Clin Infect Dis 2005;41:1217-23. [Crossref] [PubMed]
- Guzman-Soto MI, Kimura Y, Romero-Sanchez G, et al. From Head to Toe: Granulomatosis with Polyangiitis. Radiographics 2021;41:1973-91. [Crossref] [PubMed]
- Hours S, Nunes H, Kambouchner M, et al. Pulmonary cavitary sarcoidosis: clinico-radiologic characteristics and natural history of a rare form of sarcoidosis. Medicine (Baltimore) 2008;87:142-51. [Crossref] [PubMed]
- Tazi A. Adult pulmonary Langerhans' cell histiocytosis. Eur Respir J 2006;27:1272-85. [Crossref] [PubMed]
- Kim NR, Han J. Pathologic review of cystic and cavitary lung diseases. Korean J Pathol 2012;46:407-14. [Crossref] [PubMed]

