A nomogram for preoperative prediction of invasiveness in solitary pulmonary adenocarcinoma: a multicenter study
Highlight box
Key findings
• The integration of serum tumor markers with computed tomography (CT) features enables preoperative discrimination between invasive and preinvasive-minimally invasive lesions.
What is known and what is new?
• The association of CT radiological features and the invasiveness of lung adenocarcinoma is known.
• We established novel findings about the association of tumor markers with the invasiveness of lung adenocarcinoma.
What is the implication, and what should change now?
• This study holds potential for clinical translation, providing a basis for precise individualized treatments.
Introduction
Lung cancer remains the leading cause of cancer-related mortality worldwide (1). Approximately 80% to 85% of lung cancers are non-small cell lung cancer, of which its histological subtypes include adenocarcinoma, squamous cell carcinoma, large cell carcinoma, and others. Among these, adenocarcinoma represents the most prevalent histopathological type, accounting for approximately 40% of all lung cancers (2,3). Pulmonary adenocarcinoma-related lesions encompass precursor glandular lesions and adenocarcinoma. The former includes atypical adenomatous hyperplasia (AAH) and adenocarcinoma in situ (AIS), while the latter comprises minimally invasive adenocarcinoma (MIA) and invasive adenocarcinoma (IAC) (4). In the multi-step progression model of adenocarcinoma, the disease progresses sequentially from AAH, AIS, MIA to IAC (4,5). AAH, AIS, and MIA always present with indolent growth patterns and a favorable prognosis, with 5-year survival rates approaching 100%, whereas IAC is associated with a significantly poorer prognosis (40–80%) (6,7).
A solitary pulmonary nodule (SPN) is defined as an isolated nodular lesion ≤3 cm in diameter within the lung parenchyma, surrounded by aerated lung tissue, with a round/oval or irregular appearance on computed tomography (CT) imaging (8). With the widespread use of low-dose CT and high-resolution CT in lung nodule screening and follow-up, along with the assistance of artificial intelligence technology, the detection rate of lung adenocarcinoma that presents with lung nodules has been significantly increased, leading to a reduction of lung cancer-related mortality (9-12). Lung adenocarcinoma appearing as SPNs usually corresponds to clinical stage IA and its treatment options mainly include wedge resection, segmentectomy, and lobectomy (13,14). For early-stage non-invasive adenocarcinomas, sublobar resection achieves a comparable recurrence-free survival rate to lobectomy (15,16). AAH requires periodic surveillance, AIS and MIA necessitate either close follow-up or limited resection (segmentectomy/wedge resection), whereas IAC often needs a standard lobectomy (17). Compared to IAC, AAH/AIS/MIA, which exhibit overlapping imaging features, represent low-risk entities, and require a relatively conservative management. Therefore, a precise differential diagnosis is needed to facilitate individualized treatments and improve the clinical outcomes of these patients.
Tumor biomarkers, that are the biochemical indicators and reflect biological processes, can be utilized for the early diagnosis of diseases (18,19). Tumor biomarker screening offers distinct advantages including minimal invasiveness, high reproducibility, convenient sampling, and technical simplicity. The elevation of serum tumor markers may precede clinical symptom onset, which thereby enables a noninvasive early detection of tumor. Furthermore, longitudinal tumor marker variations facilitate histopathological subtyping, staging, and tumor burden quantification, thereby informing personalized treatment strategies (20). This study innovatively stratifies SPN patients into invasive (IAC) and preinvasive-minimally invasive (AAH/AIS/MIA) groups based on pathological diagnosis. A clinical predictive model, which innovatively integrated serum tumor markers with CT imaging features, was developed to noninvasively predict the invasiveness in solitary pulmonary adenocarcinoma before surgery, with the aim to assist in selecting segmentectomy or lobectomy treatments. We present this article in accordance with the TRIPOD reporting checklist (available at https://jtd.amegroups.com/article/view/10.21037/jtd-2025-950/rc).
Methods
Patient population
From January 2020 to December 2024, patients with pulmonary adenocarcinoma that appear as SPNs in CT scans were recruited from four centers, including Wuhan Union Hospital (center I), Wuhan Tongji Hospital (center II), Shanghai Jinshan Hospital (center III), and the First Affiliated Hospital of Zhengzhou University (center IV) of China. This study was conducted in accordance with the Declaration of Helsinki and its subsequent amendments. The study was approved by the institutional ethics committees of Union Hospital (No. 2025-0140), Tongji Hospital (No. TJ-IRB202401064), Jinshan Hospital (No. 2024-S48), and The First Affiliated Hospital of Zhengzhou University (No. 2024-KY-0862-001). Informed consent was waived due to the retrospective nature of the study.
The inclusion criteria of this study were as follows: (I) pathologically confirmed AAH, AIS, MIA, or IAC through surgical resection; (II) availability of preoperative non-contrast chest CT scans within one month before surgery; (III) presence of SPN on CT imaging with maximum diameter ranging from 5 to 30 mm; (IV) complete clinical documentation. The exclusion criteria were as follows: (I) suboptimal chest CT image quality, such as motion artifacts or noise; (II) incomplete clinical documentation; (III) lesion diameter less than 5 mm on CT imaging; (IV) nodules radiographically indistinguishable from pleural lesions; (V) multiple pulmonary nodules.
Equipment and parameters
The following CT scanners were utilized across participating institutions, as shown in Table S1. All scans utilized a head-first supine position. Patients were instructed to hold their breath after deep inspiration. The scan range extended from the lung apex to the subdiaphragmatic region. Non-contrast CT parameters are summarized in Table S2. Raw data were reconstructed with lung or standard kernels at 1.0–1.5 mm slice thickness and 20–30% overlap.
Collection of clinical data and analysis of imaging findings
The clinical data of patients were collected, including gender, age, smoking history, tumor history (history of malignant tumors), serum tumor markers, and pathological diagnosis. The tumor markers included carcinoembryonic antigen (CEA), neuron-specific enolase (NSE), squamous cell carcinoma antigen (SCC), and cytokeratin 19 fragment (CYFRA 21-1). CT images were reviewed using Radiant Digital Imaging and Communications in Medicine (DICOM) Viewer (version 2021.2.2; Medixant). Qualitative data included lobe distribution (right upper lobe, right middle lobe, right lower lobe, left upper lobe, left lower lobe), density type (ground-glass, part-solid, and solid nodule), shape (round/oval, irregular), margin (clear, unclear), spiculation, pleural retraction sign, lobulation sign, air bronchogram, and cavitation. These qualitative imaging features were independently assessed by two radiologists with more than five years of experience in a double-blind way. Cases with significant discrepancies were resolved through discussion. The maximum diameter of the nodule (mm) was measured independently by the two radiologists, and the average value was calculated. CT scans for all patients were independently reviewed in a blinded fashion by two senior radiologists from the Department of Radiology at a tertiary hospital. Discrepancies were adjudicated by a chief diagnostic radiologist (CDR).
Statistical analysis
Statistical analysis was performed by SPSS software (version 26.0.0.0; IBM). Inter- and intrareader agreement was assessed using Cohen’s κ for qualitative variables and the intraclass correlation coefficient (ICC) for quantitative variables. Comparisons of categorical variables were conducted with the Chi-squared test, Yates’ continuity correction, or Fisher’s exact test. For quantitative variables, normality was first evaluated using the Shapiro-Wilk test, and homogeneity of variance was assessed via Levene’s test. Variables conforming to a normal distribution were analyzed using the t-test, while non-normally distributed variables were analyzed using the nonparametric Mann-Whitney U test. A P<0.05 indicated statistical significance. All parameters were analyzed by univariate and multivariate binary logistic regression to identify the independent risk factors and establish a clinical prediction model. In the univariate analysis, variables with P values <0.05 were initially selected for inclusion in the subsequent multivariate analysis. The multivariate analysis was then performed using the Enter method. The predictive performance was evaluated with the receiver operating characteristic (ROC) curve. The calibration curves were employed to assess goodness-of-fit, decision curve analysis (DCA) was used to evaluate the clinical utility, and a nomogram was constructed to visualize the scoring system. Additionally, ROC curve analysis was conducted to compute the model’s accuracy, specificity, sensitivity, positive predictive value (PPV), negative predictive value (NPV), and area under the curve (AUC) with its 95% confidence interval (CI). The Hosmer-Lemeshow test was applied to assess the model’s goodness-of-fit. Statistical visualizations were generated in Python (version 3.12.4) utilizing the following libraries: scikit-learn, dcurves, and statsmodels. Graphical outputs were uniformly formatted with Matplotlib to ensure the clarity and consistency.
Results
Patient recruitment
The patient enrollment flowchart is shown in Figure 1. A total of 776 patients were initially screened: 563 at the main center I, 213 at the branch centers II, III and IV. Of these, 335 patients from the former were allocated to the training cohort (4 AAH, 60 AIS, 92 MIA, 179 IAC), while 113 patients from the latter were assigned to the external testing cohort (2 AAH, 21 AIS, 30 MIA, 60 IAC). The pre-invasive/micro-invasive group (MIA, AIS, and AAH) and the invasive group (IAC) were designated as Group A and Group B, respectively. Finally, 448 patients were included: 335 cases in the training cohort (male: 110, female: 225; age, 49–64 years; Group A: 156, Group B: 179) and 113 cases in the testing cohort (male: 35, female: 78; age: 49–64 years; Group A: 53, Group B: 60).
Clinical data
As shown in Table 1, statistically significant differences (P<0.05) were observed in age and tumor markers (CEA, CYFRA 21-1) between Group A and Group B in both the training and testing datasets, while no significant differences were found in the other variables. There were no statistically significant differences (P>0.05) between the training and testing cohorts regarding the clinical data of age, gender, smoking history, tumor history, CEA, NSE, SCC, and CYFRA 21-1, indicating the consistence of different cohorts.
Table 1
| Characteristic | Training dataset | Testing dataset | P | |||||||
|---|---|---|---|---|---|---|---|---|---|---|
| Total (n=335) | Group A (n=156) | Group B (n=179) | P | Total (n=113) | Group A (n=53) | Group B (n=60) | P | |||
| Age (years) | 56 [49–64] | 53 [41–59] | 59 [54–66] | <0.001* | 58 [49–64] | 54 [41–62] | 60 [54–64] | 0.03* | 0.76 | |
| Gender | 0.07 | 0.44 | 0.80 | |||||||
| Female | 225 (67.16) | 113 (72.44) | 112 (62.57) | 78 (69.03) | 39 (73.58) | 39 (65.00) | ||||
| Male | 110 (32.84) | 43 (27.56) | 67 (37.43) | 35 (30.97) | 14 (26.42) | 21 (35.00) | ||||
| Smoking history | 0.32 | 0.97 | 0.08 | |||||||
| No | 313 (93.43) | 143 (91.67) | 170 (94.97) | 99 (87.61) | 47 (88.68) | 52 (86.67) | ||||
| Yes | 22 (6.57) | 13 (8.33) | 9 (5.03) | 14 (12.39) | 6 (11.32) | 8 (13.33) | ||||
| Tumor history | 0.26 | 0.34 | 0.89 | |||||||
| No | 311 (92.84) | 148 (94.87) | 163 (91.06) | 106 (93.81) | 48 (90.57) | 58 (96.67) | ||||
| Yes | 24 (7.16) | 8 (5.13) | 16 (8.94) | 7 (6.19) | 5 (9.43) | 2 (3.33) | ||||
| CEA (μg/L) | <0.001* | 0.02* | 0.72 | |||||||
| <5.0 | 308 (91.94) | 153 (98.08) | 155 (86.59) | 102 (90.27) | 52 (98.11) | 50 (83.33) | ||||
| ≥5.0 | 27 (8.06) | 3 (1.92) | 24 (13.41) | 11 (9.73) | 1 (1.89) | 10 (16.67) | ||||
| NSE (μg/L) | 0.51 | 0.85 | 0.98 | |||||||
| <16.3 | 309 (92.24) | 146 (93.59) | 163 (91.06) | 105 (92.92) | 50 (94.34) | 55 (91.67) | ||||
| ≥16.3 | 26 (7.76) | 10 (6.41) | 16 (8.94) | 8 (7.08) | 3 (5.66) | 5 (8.33) | ||||
| SCC (ng/mL) | >0.99 | >0.99 | 0.98 | |||||||
| <1.5 | 312 (93.13) | 145 (92.95) | 167 (93.30) | 106 (93.81) | 50 (94.34) | 56 (93.33) | ||||
| ≥1.5 | 23 (6.87) | 11 (7.05) | 12 (6.70) | 7 (6.19) | 3 (5.66) | 4 (6.67) | ||||
| CYFRA21-1 (ng/mL) | 0.02* | 0.012* | 0.64 | |||||||
| <2.5 | 298 (88.96) | 146 (93.59) | 152 (84.92) | 98 (86.73) | 51 (96.23) | 47 (78.33) | ||||
| ≥2.5 | 37 (11.04) | 10 (6.41) | 27 (15.08) | 15 (13.27) | 2 (3.77) | 13 (21.67) | ||||
Data are presented as n (%) or median [interquartile range]. Group A: atypical adenomatous hyperplasia, adenocarcinoma in situ, and minimally invasive adenocarcinoma; Group B: invasive adenocarcinoma. *, P<0.05. CEA, carcinoembryonic antigen; CYFRA 21-1, cytokeratin 19 fragment; NSE, neuron-specific enolase; SCC, squamous cell carcinoma antigen.
CT radiological features
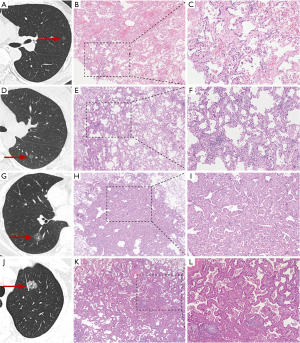
Figure 2 displays the pathological results corresponding to different SPN lesions, and Figure 3 provides examples of qualitative features in CT images. Inter- and intrareader agreement analyses for all CT imaging features demonstrated excellent consistency (all Cohen’s κ and ICC >0.8). As shown in Table 2, statistically significant differences (P<0.01) were observed between Group A and Group B in the training and testing datasets for pulmonary nodule imaging characteristics, including maximum diameter, density type, shape, spiculation, pleural retraction, lobulation, and air bronchogram, while there were no significant differences in other features. Except for density type, no statistically significant differences (P>0.05) were found in imaging characteristics between the training cohort and external testing cohort.
Table 2
| Features | Training dataset | Testing dataset | P | |||||||
|---|---|---|---|---|---|---|---|---|---|---|
| Total (n=335) | Group A (n=156) | Group B (n=179) | P | Total (n=113) | Group A (n=53) | Group B (n=60) | P | |||
| Lobe location | 0.35 | 0.43 | 0.16 | |||||||
| Left upper lobe | 103 (30.75) | 50 (32.05) | 53 (29.61) | 24 (21.24) | 13 (24.53) | 11 (18.33) | ||||
| Left lower lobe | 47 (14.03) | 17 (10.90) | 30 (16.76) | 19 (16.81) | 7 (13.21) | 12 (20.00) | ||||
| Right upper lobe | 104 (31.04) | 54 (34.62) | 50 (27.93) | 45 (39.82) | 18 (33.96) | 27 (45.00) | ||||
| Right middle lobe | 26 (7.76) | 13 (8.33) | 13 (7.26) | 5 (4.42) | 3 (5.66) | 2 (3.33) | ||||
| Right lower lobe | 55 (16.42) | 22 (14.10) | 33 (18.44) | 20 (17.70) | 12 (22.64) | 8 (13.33) | ||||
| Maximum diameter, mm | 13.80±5.69 | 10.28±4.21 | 16.87±5.00 | <0.001* | 13.43±4.96 | 10.66±3.89 | 15.89±4.51 | <0.001* | 0.79 | |
| Density type | <0.001* | <0.001* | 0.03* | |||||||
| Ground-glass nodule | 106 (31.64) | 88 (56.41) | 18 (10.06) | 40 (35.40) | 33 (62.26) | 7 (11.67) | ||||
| Part-solid nodule | 159 (47.46) | 65 (41.67) | 94 (52.51) | 62 (54.87) | 19 (35.85) | 43 (71.67) | ||||
| Solid nodule | 70 (20.90) | 3 (1.92) | 67 (37.43) | 11 (9.73) | 1 (1.89) | 10 (16.67) | ||||
| Shape | <0.001* | <0.001* | 0.22 | |||||||
| Round/oval | 121 (36.12) | 75 (48.08) | 46 (25.70) | 33 (29.20) | 24 (45.28) | 9 (15.00) | ||||
| Irregular | 214 (63.88) | 81 (51.92) | 133 (74.30) | 80 (70.80) | 29 (54.72) | 51 (85.00) | ||||
| Border | 0.76 | 0.61 | 0.26 | |||||||
| Clear | 200 (59.70) | 95 (60.90) | 105 (58.66) | 60 (53.10) | 30 (56.60) | 30 (50.00) | ||||
| Unclear | 135 (40.30) | 61 (39.10) | 74 (41.34) | 53 (46.90) | 23 (43.40) | 30 (50.00) | ||||
| Spiculation | <0.001* | <0.001* | 0.057 | |||||||
| No | 224 (66.87) | 139 (89.10) | 85 (47.49) | 87 (76.99) | 50 (94.34) | 37 (61.67) | ||||
| Yes | 111 (33.13) | 17 (10.90) | 94 (52.51) | 26 (23.01) | 3 (5.66) | 23 (38.33) | ||||
| Pleural retraction | <0.001* | <0.001* | 0.30 | |||||||
| No | 196 (58.51) | 128 (82.05) | 68 (37.99) | 73 (64.60) | 47 (88.68) | 26 (43.33) | ||||
| Yes | 139 (41.49) | 28 (17.95) | 111 (62.01) | 40 (35.40) | 6 (11.32) | 34 (56.67) | ||||
| Lobulation | <0.001* | <0.001* | 0.84 | |||||||
| No | 222 (66.27) | 130 (83.33) | 92 (51.40) | 73 (64.60) | 48 (90.57) | 25 (41.67) | ||||
| Yes | 113 (33.73) | 26 (16.67) | 87 (48.60) | 40 (35.40) | 5 (9.43) | 35 (58.33) | ||||
| Air bronchogram | <0.001* | <0.001* | 0.13 | |||||||
| No | 241 (71.94) | 141 (90.38) | 100 (55.87) | 72 (63.72) | 48 (90.57) | 24 (40.00) | ||||
| Yes | 94 (28.06) | 15 (9.62) | 79 (44.13) | 41 (36.28) | 5 (9.43) | 36 (60.00) | ||||
| Cavitation | 0.10 | >0.99 | 0.89 | |||||||
| No | 308 (91.94) | 148 (94.87) | 160 (89.39) | 105 (92.92) | 49 (92.45) | 56 (93.33) | ||||
| Yes | 27 (8.06) | 8 (5.13) | 19 (10.61) | 8 (7.08) | 4 (7.55) | 4 (6.67) | ||||
Data are presented as n (%) or mean ± standard deviation. Group A: atypical adenomatous hyperplasia, adenocarcinoma in situ, and minimally invasive adenocarcinoma; Group B: invasive adenocarcinoma. *, P<0.05. CT, computed tomography.
Logistic regression model
The univariate and multivariate analysis results for the training cohort are shown in Table 3. Univariate analysis revealed significant associations between age, tumor markers (CEA, CYFRA 21-1), and CT imaging features (maximum diameter, density type, shape, spiculation, pleural retraction, lobulation, and air bronchogram) and invasiveness (P<0.05 for all). Subsequent multivariate logistic regression analysis further identified four independent risk factors for differentiating Group A and Group B: CYFRA 21-1 [odds ratio (OR): 4.175; 95% CI:1.253–13.904; P=0.02], maximum diameter (OR; 1.247; 95% CI: 1.143–1.361; P<0.001), density type (OR: 6.604; 95% CI: 3.519–12.393; P<0.001), and air bronchogram (OR: 3.149;95% CI: 1.406–7.051; P=0.005). A logistic regression clinical prediction model was constructed using the training dataset and validated with the testing dataset. Figure 4 presents the nomogram for the training cohort. ROC curve analysis (Table 4, Figure 5A) demonstrated a robust and comparable diagnostic performance in the two datasets. The training dataset achieved an AUC of 0.925 (95% CI: 0.897–0.953), accuracy of 0.863, sensitivity of 0.872, specificity of 0.853, PPV of 0.872, NPV of 0.853 (P<0.001), while the external testing dataset yielded an AUC of 0.895 (95% CI: 0.829–0.961), accuracy of 0.876, sensitivity of 0.833, specificity of 0.925, PPV of 0.926, NPV of 0.831 (P<0.001). The calibration curve (Figure 5B) and Hosmer-Lemeshow test indicated a good model fit, with no significant deviation from the ideal calibration line (training dataset: χ2=10.357, P=0.241; testing dataset: χ2=10.793, P=0.214). DCA curve (Figure 5C) showed similar and favorable clinical benefits across both datasets. These results collectively validated that this combined model exhibited a strong diagnostic performance and robust generalizability.
Table 3
| Variable | Univariable analysis | Multivariable analysis | |||||
|---|---|---|---|---|---|---|---|
| OR | 95% CI | P | OR | 95% CI | P | ||
| Gender | 1.572 | 0.989–2.499 | 0.056 | ||||
| Age | 1.069 | 1.046–1.093 | <0.001* | 1.004 | 0.972–1.038 | 0.81 | |
| Smoking history | 0.582 | 0.242–1.401 | 0.23 | ||||
| Tumor history | 1.816 | 0.755–4.367 | 0.18 | ||||
| CEA | 7.897 | 2.329–26.770 | 0.001* | 1.637 | 0.313–8.544 | 0.56 | |
| NSE | 1.433 | 0.631–3.257 | 0.39 | ||||
| SCC | 0.947 | 0.406–2.211 | 0.90 | ||||
| CYFRA 21-1 | 2.593 | 1.213–5.547 | 0.014* | 4.175 | 1.253–13.904 | 0.02* | |
| Lobe location | 1.034 | 0.888–1.204 | 0.67 | ||||
| Maximum diameter | 1.355 | 1.268–1.447 | <0.001* | 1.247 | 1.143–1.361 | <0.001* | |
| Density type | 8.728 | 5.396–14.117 | <0.001* | 6.604 | 3.519–12.393 | <0.001* | |
| Shape | 2.677 | 1.691–4.238 | <0.001* | 0.865 | 0.401–1.866 | 0.712 | |
| Border | 1.098 | 0.708–1.701 | 0.68 | ||||
| Spiculation | 9.042 | 5.049–16.195 | <0.001* | 1.322 | 0.559–3.123 | 0.53 | |
| Pleural retraction | 7.462 | 4.489–12.405 | <0.001* | 2.056 | 0.960–4.400 | 0.06 | |
| Lobulation | 4.728 | 2.831–7.898 | <0.001* | 1.661 | 0.758–3.643 | 0.21 | |
| Air bronchogram | 7.426 | 4.041–13.648 | <0.001* | 3.149 | 1.406–7.051 | 0.005* | |
| Cavity | 2.197 | 0.934–5.170 | 0.07 | ||||
| Constant | 0.004 | 0.001–0.026 | <0.001* | ||||
*, P<0.05. CEA, carcinoembryonic antigen; CI, confidence interval; CYFRA 21-1, cytokeratin 19 fragment; NSE, neuron-specific enolase; OR, odds ratio; SCC, squamous cell carcinoma antigen.
Table 4
| Dataset | AUC (95% CI) | Accuracy | Sensitivity | Specificity | PPV | NPV | P |
|---|---|---|---|---|---|---|---|
| Training | 0.925 (0.897–0.953) | 0.863 | 0.872 | 0.853 | 0.872 | 0.853 | <0.001* |
| Testing | 0.895 (0.829–0.961) | 0.876 | 0.833 | 0.925 | 0.926 | 0.831 | <0.001* |
*, P<0.05. AUC, area under the curve; CI, confidence interval; NPV, negative predictive value; PPV, positive predictive value.
Discussion
The 2021 fifth edition of the WHO Classification of Thoracic Tumors reclassified and reorganized lung tumors compared to the 2015 fourth edition, moving AAH and AIS out of the adenocarcinoma category and reclassifying them as precursor glandular lesions, while MIA remains classified under adenocarcinoma (4,5). This has sparked an extensive debate among Chinese experts: the reclassification of AIS raised concerns about whether AIS should no longer be considered a malignant tumor but rather a precancerous lesion, and whether its treatment should be adjusted accordingly to avoid overtreatment (21). However, international experts still recommend surgical resection and advocate sublobar resection due to its indolent nature (22). Since both AIS and MIA exhibit limited histological invasion, their 5-year recurrence-free probability after surgery is nearly 100%, with a very low risk of recurrence beyond 5 years and similarly favorable survival outcomes (6). This strongly supports the clinical value of distinguishing AIS and MIA from other lung adenocarcinomas. Furthermore, sublobar resection and lobectomy yield similar survival outcomes for AIS and MIA (15,16). To avoid overtreatment, sublobar resection (segmentectomy or wedge resection) is recommended for diagnostically challenging AAH, AIS, and MIA. In contrast, IAC requires lobectomy and lymph node dissection (23).
A population-based study in France found the incidence of SPNs to be 16.4–17.7% in males and 4.9–8.2% in females (24). The malignancy rate of SPN reaches 12% (25), with 60% of malignant SPNs being lung adenocarcinomas (26). Incidentally detected SPNs via CT in asymptomatic patients pose an increasingly common clinical challenge for radiologists in daily practice. The heterogeneity of lung adenocarcinoma leads to a wide variety of imaging presentations in SPNs (27). Based on different surgical treatment strategies, this study categorized lung adenocarcinomas and their precursor lesions presenting as SPNs into the invasive group (IAC) and the pre-invasive/micro-invasive group (AAH, AIS, MIA). By analyzing the tumor markers and CT radiological features, this study aimed to establish a non-invasive preoperative diagnostic prediction model to differentiate these two groups. To address the issue of data imbalance, the patients in four participating centers were paired and divided into the training dataset and testing dataset, which could make the study more representative.
There have been several related studies conducted previously. Feng et al. combined radiomics with traditional models to develop a nomogram for distinguishing between microinvasive and IAC in patients with solitary subsolid pulmonary nodules, achieving a strong performance in both training cohort (AUC: 0.943; 95% CI: 0.895–0.991) and validation cohort (AUC: 0.912; 95% CI: 0.780–1.000) (28). However, the small sample size raises concerns about bias and the reliability of results. Wang et al. established a combined model integrating intratumoral and peritumoral radiomics with CT imaging features to predict the invasiveness of subpleural ground-glass nodular lung adenocarcinoma with ≤50% solid component (AUC =0.912) (29). In contrast to the aforementioned studies, our investigation centers on lung adenocarcinomas manifesting as SPNs, with a more diverse spectrum of nodule types and pathological features. Additionally, no prior studies integrated the tumor markers and CT imaging features to diagnose SPN-presenting lung adenocarcinoma invasiveness. This multicenter study established a combined diagnostic model based on readily available laboratory and CT imaging data, demonstrating a consistently strong performance in both the training and testing cohorts, with AUCs of 0.925 (95% CI: 0.897–0.953) and 0.895 (95% CI: 0.829–0.961), respectively.
CEA, SCC, NSE, and CYFRA 21-1 are the most widely used tumor markers for primary lung cancer. Elevated lung cancer tumor markers can sometimes appear earlier than clinical symptoms, aiding in early diagnosis and predicting the pathological subtype (30,31). Increased serum levels of CEA, SCC, and CYFRA 21-1 are useful for diagnosing non-small cell lung cancer and estimating therapeutic efficacy (32-36). Among these, CEA levels are most significantly elevated in lung adenocarcinoma, demonstrating high sensitivity but low specificity, while the combined detection of CYFRA 21-1 and CEA could improve the diagnostic accuracy (37,38). Our study further confirmed that CEA and CYFRA 21-1 can effectively differentiate invasive lung adenocarcinoma from pre-invasive/micro-invasive lesions (P<0.05). In the training dataset, both univariate and multivariate analyses demonstrated that the elevated CYFRA 21-1 is an independent risk factor for predicting the invasiveness of solitary lung adenocarcinoma (OR: 4.175; 95% CI: 1.253–13.904; P<0.05).
In addition, CT features including density type (OR: 6.604; 95% CI: 3.519–12.393; P<0.001), maximum diameter (OR: 1.247; 95% CI: 1.143–1.361; P<0.001), and air bronchogram (OR: 3.149; 95% CI: 1.406–7.051; P=0.005) were identified as independent predictive factors. CT imaging features are crucial for the qualitative diagnosis of nodules (39). First, ground-glass opacity is associated with less aggressive histological subtypes, whereas the presence of solid components suggests a more invasive subtype (40). The qualitative density characteristics on CT help assess invasiveness (41). Second, larger nodule diameter usually correlates with a higher malignancy risk (42). Similarly, the larger the SPN diameter, the higher the malignancy potential of lung adenocarcinoma (43). Finally, the air bronchogram sign, which refers to visible aerated bronchi within the nodule, aids benign-malignant differentiation (43). Our study further confirmed that its presence can also predict the invasiveness of lung adenocarcinoma. These imaging features can be easily obtained through the non-contrast CT scans and are significantly effective for differential diagnosis.
This study has the following limitations. First, subjective bias may exist due to manual measurements and interpretation of imaging features. Second, the inclusion criteria of 5–30 mm nodules excluded sub-5 mm tiny nodules, which may introduce selection bias. Third, the limited sample size of the test set (n=113) may affect the statistical power. Fourth, lack of prospective validation. A prospective study with larger sample size and more precise imaging analysis techniques in the future is indispensable to enhance the reliability of the conclusions.
Conclusions
In conclusion, this study established and validated a clinically predictive model, combining the tumor marker (CYFRA 21-1) and CT imaging features (density type, maximum diameter, and air bronchogram), to perform a non-invasive preoperative differentiation between invasive and pre-invasive/microinvasive solitary lung adenocarcinoma lesions. This model showed favorable diagnostic accuracy and clinical value across cohorts, with good fit and robust generalizability. Given the widespread availability and affordability of CT and serological tests worldwide, this model can be easily implemented even in resource-limited regions. Therefore, it holds potential for clinical translation, providing a basis for precise individualized treatments.
Acknowledgments
None.
Footnote
Reporting Checklist: The authors have completed the TRIPOD reporting checklist. Available at https://jtd.amegroups.com/article/view/10.21037/jtd-2025-950/rc
Data Sharing Statement: Available at https://jtd.amegroups.com/article/view/10.21037/jtd-2025-950/dss
Peer Review File: Available at https://jtd.amegroups.com/article/view/10.21037/jtd-2025-950/prf
Funding: This study was supported by the grants of
Conflicts of Interest: All authors have completed the ICMJE uniform disclosure form (available at https://jtd.amegroups.com/article/view/10.21037/jtd-2025-950/coif). The authors have no conflicts of interest to declare.
Ethical Statement: The authors are accountable for all aspects of the work in ensuring that questions related to the accuracy or integrity of any part of the work are appropriately investigated and resolved. This study was conducted in accordance with the Declaration of Helsinki and its subsequent amendments. The study was approved by the institutional ethics committees of Union Hospital (No. 2025-0140), Tongji Hospital (No. TJ-IRB202401064), Jinshan Hospital (No. 2024-S48), and The First Affiliated Hospital of Zhengzhou University (No. 2024-KY-0862-001). Informed consent was waived due to the retrospective nature of the study.
Open Access Statement: This is an Open Access article distributed in accordance with the Creative Commons Attribution-NonCommercial-NoDerivs 4.0 International License (CC BY-NC-ND 4.0), which permits the non-commercial replication and distribution of the article with the strict proviso that no changes or edits are made and the original work is properly cited (including links to both the formal publication through the relevant DOI and the license). See: https://creativecommons.org/licenses/by-nc-nd/4.0/.
References
- Bray F, Laversanne M, Sung H, et al. Global cancer statistics 2022: GLOBOCAN estimates of incidence and mortality worldwide for 36 cancers in 185 countries. CA Cancer J Clin 2024;74:229-63. [Crossref] [PubMed]
- Tsao M. PL01.05 The New WHO Classification of Lung Tumors. J Thorac Oncol 2021;16:S63.
- Jonas DE, Reuland DS, Reddy SM, et al. Screening for Lung Cancer With Low-Dose Computed Tomography: Updated Evidence Report and Systematic Review for the US Preventive Services Task Force. JAMA 2021;325:971-87. [Crossref] [PubMed]
- Sasaki T, Kuno H, Hiyama T, et al. 2021 WHO Classification of Lung Cancer: Molecular Biology Research and Radiologic-Pathologic Correlation. Radiographics 2024;44:e230136. [Crossref] [PubMed]
- Nicholson AG, Tsao MS, Beasley MB, et al. The 2021 WHO Classification of Lung Tumors: Impact of Advances Since 2015. J Thorac Oncol 2022;17:362-87. [Crossref] [PubMed]
- Yotsukura M, Asamura H, Motoi N, et al. Long-Term Prognosis of Patients With Resected Adenocarcinoma In Situ and Minimally Invasive Adenocarcinoma of the Lung. J Thorac Oncol 2021;16:1312-20. [Crossref] [PubMed]
- Su H, Chen L, Wu J, et al. Proteogenomic characterization reveals tumorigenesis and progression of lung cancer manifested as subsolid nodules. Nat Commun 2025;16:2414. [Crossref] [PubMed]
- Jiang L, Zhou Y, Miao W, et al. Artificial intelligence-assisted quantitative CT parameters in predicting the degree of risk of solitary pulmonary nodules. Ann Med 2024;56:2405075. [Crossref] [PubMed]
- Mahesh M, Ansari AJ, Mettler FA Jr. Patient Exposure from Radiologic and Nuclear Medicine Procedures in the United States and Worldwide: 2009-2018. Radiology 2023;307:e221263. [Crossref] [PubMed]
- Becker N, Motsch E, Trotter A, et al. Lung cancer mortality reduction by LDCT screening-Results from the randomized German LUSI trial. Int J Cancer 2020;146:1503-13. [Crossref] [PubMed]
- de Koning HJ, van der Aalst CM, de Jong PA, et al. Reduced Lung-Cancer Mortality with Volume CT Screening in a Randomized Trial. N Engl J Med 2020;382:503-13. [Crossref] [PubMed]
- Wen X, Liu MW, Qiu B, et al. CT-based radiomic consensus clustering association with tumor biological behavior in clinical stage IA adenocarcinoma: a retrospective study. Transl Lung Cancer Res 2024;13:1794-806. [Crossref] [PubMed]
- Zhang B, Fang WT, Zhong H. Introduction to the 9th edition of TNM classification for lung cancer. Zhonghua Zhong Liu Za Zhi 2024;46:206-10.
- Rami-Porta R, Nishimura KK, Giroux DJ, et al. The International Association for the Study of Lung Cancer Lung Cancer Staging Project: Proposals for Revision of the TNM Stage Groups in the Forthcoming (Ninth) Edition of the TNM Classification for Lung Cancer. J Thorac Oncol 2024;19:1007-27. [Crossref] [PubMed]
- Altorki N, Wang X, Damman B, et al. Lobectomy, segmentectomy, or wedge resection for peripheral clinical T1aN0 non-small cell lung cancer: A post hoc analysis of CALGB 140503 (Alliance). J Thorac Cardiovasc Surg 2024;167:338-347.e1. [Crossref] [PubMed]
- Suzuki K, Watanabe SI, Wakabayashi M, et al. A single-arm study of sublobar resection for ground-glass opacity dominant peripheral lung cancer. J Thorac Cardiovasc Surg 2022;163:289-301.e2. [Crossref] [PubMed]
- Jiang Y, Che S, Ma S, et al. Radiomic signature based on CT imaging to distinguish invasive adenocarcinoma from minimally invasive adenocarcinoma in pure ground-glass nodules with pleural contact. Cancer Imaging 2021;21:1. [Crossref] [PubMed]
- Das S, Dey MK, Devireddy R, et al. Biomarkers in Cancer Detection, Diagnosis, and Prognosis. Sensors (Basel) 2023;24:37. [Crossref] [PubMed]
- Saman H, Raza A, Patil K, et al. Non-Invasive Biomarkers for Early Lung Cancer Detection. Cancers (Basel) 2022;14:5782. [Crossref] [PubMed]
- Oncology Society of Chinese Medical Association. Chinese Medical Association guideline for clinical diagnosis and treatment of lung cancer (2024 edition). Zhonghua Yi Xue Za Zhi 2024;104:3175-213. [Crossref] [PubMed]
- Zhang R, Zhang M, Gao S, et al. Opinions on the reclassification of pulmonary adenocarcinoma in situ in the fifth edition of WHO classification of thoracic tumours. Chinese Journal of Clinical Thoracic and Cardiovascular Surgery 2021;9:1012-5.
- Christensen J, Prosper AE, Wu CC, et al. ACR Lung-RADS v2022: Assessment Categories and Management Recommendations. Chest 2024;165:738-53. [Crossref] [PubMed]
- Van Schil PE, Asamura H, Rusch VW, et al. Surgical implications of the new IASLC/ATS/ERS adenocarcinoma classification. Eur Respir J 2012;39:478-86. [Crossref] [PubMed]
- Marrer É, Jolly D, Arveux P, et al. Incidence of solitary pulmonary nodules in Northeastern France: a population-based study in five regions. BMC Cancer 2017;17:47. [Crossref] [PubMed]
- Khan T, Usman Y, Abdo T, et al. Diagnosis and management of peripheral lung nodule. Ann Transl Med 2019;7:348. [Crossref] [PubMed]
- Kikano GE, Fabien A, Schilz R. Evaluation of the Solitary Pulmonary Nodule. Am Fam Physician 2015;92:1084-91.
- Liu L, Ni Z, Zhang J, et al. Application of artificial intelligence-based dual source CT scanning in the differentiation of lung adenocarcinoma in situ and minimally invasive adenocarcinoma. Pak J Med Sci 2024;40:271-6. [Crossref] [PubMed]
- Feng B, Chen X, Chen Y, et al. Differentiating minimally invasive and invasive adenocarcinomas in patients with solitary sub-solid pulmonary nodules with a radiomics nomogram. Clin Radiol 2019;74:570.e1-570.e11. [Crossref] [PubMed]
- Wang Y, Lyu D, Yu D, et al. Intratumoral and peritumoral radiomics combined with computed tomography features for predicting the invasiveness of lung adenocarcinoma presenting as a subpleural ground-glass nodule with a consolidation-to-tumor ratio ≤50. J Thorac Dis 2024;16:5122-37. [Crossref] [PubMed]
- Lv F, Wang M, Ma H, et al. Sensitive detection of CYFRA21-1 by a controlled release sensor based on personal glucose meter. Sensors and Actuators B: Chemical 2022;371:132543.
- Zhang T, Li J, Wang G, et al. Application of computed tomography-based radiomics analysis combined with lung cancer serum tumor markers in the identification of lung squamous cell carcinoma and lung adenocarcinoma. J Cancer Res Ther 2024;20:1186-94. [Crossref] [PubMed]
- Xu X, Wu X, Wang X, et al. The relationship between pulmonary large-cell neuroendocrine carcinoma and CEA. Asian J Surg 2024;47:3697-8. [Crossref] [PubMed]
- Kanzaki R, Fukuda H, Kobayashi M, et al. Pathological Pleural Invasion is a Risk Factor for Late Recurrence in Long-Term Survivors of Non-small Cell Lung Cancer after Complete Resection. Ann Surg Oncol 2024;31:5038-46. [Crossref] [PubMed]
- Li X, Shi L, Long Y, et al. Volatile organic compounds in exhaled breath: a promising approach for accurate differentiation of lung adenocarcinoma and squamous cell carcinoma. J Breath Res 2024;
- Cheng L, Gao H, Wang Z, et al. Prospective study of dual-phase (99m)Tc-MIBI SPECT/CT nomogram for differentiating non-small cell lung cancer from benign pulmonary lesions. Eur J Radiol 2024;179:111657. [Crossref] [PubMed]
- Wang X, Chen D, Ma Y, et al. Variation of peripheral blood-based biomarkers for response of anti-PD-1 immunotherapy in non-small-cell lung cancer. Clin Transl Oncol 2024;26:1934-43. [Crossref] [PubMed]
- Fu Y, Li D, Zhu Y, et al. Application Value of CYFRA21-1 Combined with NSE, CEA, and SCC-Ag in Lung Cancer. Clin Lab 2024;
- Wu L, Chen X, Peng T, et al. Human epididymal protein 4 and its combined detection show good diagnostic value in lung cancer: A retrospective study. Int J Biol Markers 2024;39:141-8. [Crossref] [PubMed]
- Snoeckx A, Reyntiens P, Desbuquoit D, et al. Evaluation of the solitary pulmonary nodule: size matters, but do not ignore the power of morphology. Insights Imaging 2018;9:73-86. [Crossref] [PubMed]
- Fu F, Zhang Y, Wen Z, et al. Distinct Prognostic Factors in Patients with Stage I Non-Small Cell Lung Cancer with Radiologic Part-Solid or Solid Lesions. J Thorac Oncol 2019;14:2133-42. [Crossref] [PubMed]
- Bera K, Braman N, Gupta A, et al. Predicting cancer outcomes with radiomics and artificial intelligence in radiology. Nat Rev Clin Oncol 2022;19:132-46. [Crossref] [PubMed]
- Yang Y, Li X, Duan Y, et al. Risk factors for malignant solid pulmonary nodules: a meta-analysis. BMC Cancer 2025;25:312. [Crossref] [PubMed]
- Liu JC, Sheng J, Xue S, et al. Value of the Air Bronchogram Sign and Other Computed Tomography Findings in the Early Diagnosis of Lung Adenocarcinoma. J Comput Assist Tomogr 2024;48:789-93. [Crossref] [PubMed]

