Apneic oxygenation during robotic-assisted bronchoscopy: a retrospective study on safety and diagnostic yield
Highlight box
Key findings
• In a retrospective single center analysis of 108 robotic-assisted bronchoscopies (RAB) to biopsy 136 peripheral pulmonary lesions (PPLs), apneic oxygenation was used for a median of 23 minutes per procedure. The strict diagnostic yield at index RAB was 88%, with a low rate of complications (4.6% bleeding requiring intervention) and no pneumothorax.
What is known and what is new?
• RAB with advanced imaging in an established technique for the evaluation and biopsy of lung lesions.
• Apneic oxygenation, which maintains oxygenation during apnea without active ventilation, is used in various medical specialties to reduce motion during imaging or surgical procedures.
• Apneic oxygenation has been used in short periods in RAB biopsy procedures. However, the safety and effectiveness of using prolonged apneic oxygenation have not been well studied.
What is the implication, and what should change now?
• This study describes that RAB with mobile cone beam computed tomography for the evaluation of PPLs using an anesthesia protocol with prolonged apneic oxygenation may be a safe and effective diagnostic approach in selected patients. Procedures should be performed at centers with expertise in advanced bronchoscopy and peri-procedural management.
Introduction
Background
Patients with peripheral pulmonary lesions (PPLs) often undergo non-surgical lung biopsies to obtain a diagnosis and guide management. These biopsies can be performed via a percutaneous or bronchoscopic approach. Bronchoscopic approaches can include pre-procedural planning with virtual bronchoscopy, ultrathin bronchoscopy, and manual or robotic navigational bronchoscopy (1,2). These modalities are combined with intraprocedural imaging such as radial endobronchial ultrasound (r-EBUS), 2-dimensional (2D) fluoroscopy, or 3-dimensional (3D) imaging such as digital tomosynthesis (DT), mobile or fixed cone beam computed tomography (CBCT) (3,4). A bronchoscopic approach may be preferred over a percutaneous approach given a similar diagnostic yield, with an improved safety profile, and the ability to perform mediastinal staging in a single procedure (5,6). The diagnostic yield and morbidity of lung biopsy procedures may be dependent on procedural conditions such as the development of CT to body divergence. CT-to-body divergence is the difference between the nodule location in a pre-procedure CT scan and the actual location of the lesion during the procedure (7). Procedure specific factors such motion, relationship of the lesion to airways, and the development of atelectasis can lead to CT-to-body divergence (8-10).
The goal of anesthesia protocols during bronchoscopic PPL biopsy is to reduce atelectasis and motion, thus minimizing CT-to-body divergence (11,12). Anesthesia protocols described for navigational bronchoscopy include the Lung Navigation Ventilation Protocol (LNVP) (13,14) and the Ventilatory Strategy to Prevent Atelectasis (VESPA) (15). While both protocols describe airway management with placement of an endotracheal tube, performing recruitment maneuvers post-intubation, and minimizing the fraction of inspired oxygen (FiO2), the protocols differ on tidal volume (VT) and positive end-expiratory pressure (PEEP) recommendations. VESPA recommends VT of 6–8 cc/kg ideal body weight (IBW) and PEEP 8–10 cmH2O (13,14). LNVP recommends VT 10–12 cc/kg of IBW, with PEEP 10–15 cmH2O in upper or middle lobe targets, and 15–20 cmH2O in lower lobe targets. An additional strategy for LNVP is the implementation of inspiratory breath-holds at VT with the adjustable pressure limiting (APL) valve set to the same pressure as PEEP during periods of apnea, while allowing for ventilation at least 30 seconds for every 4 to 6 minutes of apnea. VESPA addresses atelectasis and LNVP addresses both atelectasis and respiratory motion (13,14).
Rationale and knowledge gap
To further address motion during bronchoscopic procedures, prolonged apneic oxygenation presents a potential strategy. Apneic oxygenation refers to the passive movement of oxygen into the alveoli without active ventilation, relying on a pressure gradient created by oxygen uptake and reduced nitrogen in the lungs. Patients are pre-oxygenated to de-nitrogenate the lung. During apnea, the diffusion of oxygen from the alveolus into the bloodstream causes the alveolar pressure to become sub-atmospheric. This pressure gradient allows administered oxygen to move into the alveolus, referred to as “aventilatory mass flow”. The sub-atmospheric pressure allows carbon dioxide (CO2) to transfer from blood to the alveolus. The presence of nitrogen and accumulating CO2 reduces the pressure gradient. Cardiac movement can cause airflow changes secondary to intrathoracic pressure alterations, in addition to direct compression and expansion of lung parenchyma adjacent to the heart or blood vessels. Thus, cardiac movement may assist with gas exchange during apnea. During apneic oxygenation, limitations in CO2 removal can lead to hypercapnia and acidosis, which may result in hemodynamic instability and hypoxia (16,17).
Breath holds or apneic oxygenation are used in various medical specialties (16,17). Spontaneous short breath holds are used to stabilize motion during imaging or radiation therapy treatment (16). Longer periods of apneic oxygenation are used in patients being managed peri-intubation in difficult airways (18), and to reduce motion or allow airway access during rigid bronchoscopy (19,20) laryngeal surgeries (21,22), and cardiac surgeries (23). Studies have demonstrated different rates of end-tidal carbon dioxide (ETCO2) rise depending on technique (1.1–3.4 mmHg/min, following an initial increase in the first minute) (18,24-26). Prolonged apneic oxygenation has been successfully used via endotracheal tube with continuous positive pressure support during percutaneous CT guided lung biopsy (27,28). Multiple studies in various settings demonstrate the safety of apneic oxygenation in patients monitored during anesthesia (16,17,27,28).
During navigational bronchoscopy, patients may be placed under short apneic periods or “breath holds” while obtaining 3D imaging or during biopsies, but there are limited reports describing the use of longer breath holds (11,14). Prolonged apneic oxygenation during robotic-assisted bronchoscopy (RAB) may improve outcomes by reducing PPL motion and allowing the catheter to remain optimally positioned to the target.
Objective
The primary objective of this study is to assess the safety and diagnostic outcomes of RAB PPL biopsy procedures using an anesthesia protocol with prolonged apneic oxygenation. Secondary objectives include describing patient demographics, lesion characteristics, and procedural specifics. We present this article in accordance with the STROBE reporting checklist (available at https://jtd.amegroups.com/article/view/10.21037/jtd-2025-1217/rc).
Methods
Study design
This is a retrospective single center study of patients who underwent RAB PPL biopsy procedures by interventional pulmonologists using the Ion endoluminal system by Intuitive Surgical, Inc. (Sunnyvale, CA, USA) between 9/1/2023 and 12/31/2023 in the endoscopy unit at Orlando Regional Medical Center (ORMC), Orlando, FL, USA. The patient’s clinical and demographic data, lesion characteristics, procedure details, and biopsy results were collected via review of the electronic medical record (EMR). This study was conducted in accordance with the Declaration of Helsinki and its subsequent amendments, and received approval from the Orlando Health Institutional Review Board (IRB) (protocol #1, IRB No. 25.097.05). All patients provided informed consent for the standard of care procedure. The Orlando Health IRB approved a waiver of informed consent under 45 CFR 46.116 (f) for this project.
Patient population
Patients were referred for evaluation of PPL and scheduled for RAB biopsy procedure. The procedure schedule was reviewed in the EMR during the period to identify patients who underwent RAB with anesthesia protocol with apneic oxygenation. Patients were excluded if apneic oxygenation was not performed per the protocol.
Procedure
The patient had a same day pre-procedure CT chest performed on arrival at the hospital (Figure 1). This scan was uploaded to PlanPoint planning software (Intuitive Surgical, Inc.). The CT scan was reviewed by the proceduralist, nodule(s) were marked, and pathways were created. The plan was then exported to the RAB system. The patient was intubated by anesthesiology via rapid sequence intubation (RSI) with placement of an endotracheal tube. The patient was paralyzed with non-depolarizing neuromuscular blocking agents and maintained with total intravenous anesthesia (TIVA). The ventilator (Dräger Apollo, Lübeck, Germany) VT was set at 10 cc/kg non-ideal body weight with a target between 500–850 cc, PEEP at 10 cmH2O (12 if morbidly obese), with FiO2 at 100%. The patient’s vital signs, including heart rate, blood pressure, pulse oximetry, electrocardiogram, were monitored non-invasively per institution guidelines for patients undergoing general anesthesia. There was no routine use of arterial blood gas monitoring or transcutaneous CO2 monitoring. Anesthesiology staff treated the patient’s hemodynamic changes during the procedure, as necessary.
The proceduralist performed an airway examination using a diagnostic or therapeutic bronchoscope (Olympus Corporation of the Americas, Redmond, Washington, USA) and secured the endotracheal tube at the appropriate location. The RAB arm was then docked to the endotracheal tube, and registration was performed. Navigation was performed to the target lesion.
When requested by the proceduralist, the patient was placed in apneic oxygenation. The APL valve was set to 20 cmH2O (25 cmH2O if morbidly obese) with inspiratory pause. The pressure curve was observed to ensure a plateau was reached (Figure 2). The FiO2 was placed at 4 liters per minute (LPM). Apneic oxygenation was performed during portions of the procedure, including navigation, mCBCT spin, catheter adjustments, and biopsy. The use of apneic oxygenation was at the discretion of the proceduralist with no preset patient or lesion specific criteria. Figure 3 details intraprocedural hemodynamic monitoring.
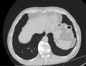
The proceduralist performed intraprocedural imaging to localize the PPL, which potentially included r-EBUS (Olympus Corporation of the Americas), 2D fluoroscopy or mCBCT using the Cios-Spin™ Mobile 3D C-Arm (Siemens Healthineers Inc., Erlangen, Germany). After ensuring proper catheter to lesion positioning via confirmation with intraprocedural imaging, the proceduralist performed the biopsy using a multimodality approach that included transbronchial needle aspiration (TBNA, Flexision needle, Intuitive Surgical) and transbronchial lung biopsy (TBBX, Captura mini biopsy forceps without spike, Cook Medical, Winston-Salem, NC, USA) with possible transbronchial lung cryobiopsy (TBLC, 1.1 mm cryoprobe, Erbe USA, Marietta, GA, USA). Figure 4 shows mCBCT with the tool in lesion. Rapid on-site pathology was available via cytotechnician and cytopathologist for immediate evaluation of samples. Apneic oxygenation was stopped after completion of PPL biopsy. If multiple PPLs were evaluated during the procedure, apneic oxygenation was either continuous or with a period of ventilation per the protocol settings in between PPLs. After the final target PPL, the ventilator was set according to the anesthesia provider’s preference.
The patient was then extubated, transferred to the post anesthesia care unit, where a chest radiograph was performed. The patient was dispositioned per institution guidelines.
Complications and safety profile
Immediate peri-procedural complications were recorded: pneumothorax, pneumothorax requiring chest tube, bleeding according to the Nashville Bleeding Scale (29), and other escalation of care such as admission to hospital or intensive care unit (ICU).
Histopathologic analysis
Results from the RAB biopsy were categorized according to the American Thoracic Society/American College of Chest Physicians Guidelines at the index procedure for strict diagnostic yield: specific malignant diagnosis, specific benign diagnosis, non-diagnostic (30). For non-diagnostic results, 12-month follow-up data was obtained to calculate intermediate diagnostic yield (31).
Statistical analysis
All analyses were conducted in R (32) and tables were generated with the gtsummary package (33). Data were presented using summary statistics. If the data were continuous, then the median and interquartile range (IQR; 25% and 75%) were reported. If the data were categorical, then the frequencies of each factor level were reported accompanied by the percentage. The demographics, RAB procedure, and ventilation procedure were abstracted from the electronic medical records and reported at the patient level. Lesion characteristics were reported for each lesion, where each patient could have multiple lesions. pH was calculated in the pre and post period based on the Hendeson-Hasselbalch equation and categorized according to acid-based physiology (34,35). To determine the potential relationship between pH and blood pressure, a Fisher’s exact test was used. To identify any associations in the frequencies between blood pressure states and heart rate categories during the ventilation procedure, a Fischer’s exact test was used. To illustrate the distribution of apneic period times, we plotted the empirical distribution function by lesion number and by first versus 2nd/3rd breath holds. To determine if there were potential risks associated with prolonged apneic oxygenation, we included a reference group to determine any differences in diagnostic yield, pneumothorax, and Nashville bleeding. The reference group were patients within the same period of the study who underwent RAB biopsy procedures in ORMC endoscopy with the same anesthesia protocol without the use of prolonged apneic periods.
Results
During the period, 204 RAB procedures were performed by interventional pulmonologists in ORMC endoscopy, and 108 procedures met the inclusion criteria. Table 1 details patient demographics. The median patient age was 67 years, with a male predominance (58%) and a median body mass index of 26 kg/m2. Most patients were ever smokers (70%) and over half had a prior history of cancer. According to American Anesthesiology Association (ASA) physical status classification, most patients had severe systemic disease (ASA 3 with 69%).
Table 1
| Characteristic | Value (N=108) |
|---|---|
| Age (years) | 67 [59, 74] |
| Sex | |
| Female | 45 (41.7) |
| Male | 63 (58.3) |
| Body mass index (kg/m2) | 26 [22, 30] |
| Smoking status | |
| Current | 21 (19.4) |
| Former | 55 (50.9) |
| Never | 32 (29.6) |
| ASA | |
| 1 | 1 (0.9) |
| 2 | 20 (18.5) |
| 3 | 75 (69.4) |
| 4 | 12 (11.1) |
| Previous cancer history | |
| Primary lung | 9 (8.3) |
| Extrathoracic | 52 (48.1) |
| Comorbidities | |
| Hypertension | 58 (53.7) |
| Chronic obstructive pulmonary disease | 38 (35.2) |
| Coronary artery disease | 24 (22.2) |
| Asthma | 11 (10.2) |
| Obstructive sleep apnea | 10 (9.3) |
| Liver disease | 10 (9.3) |
| Congestive heart failure | 7 (6.5) |
| Chronic kidney disease | 6 (5.6) |
| Cerebrovascular accident | 2 (1.9) |
Data are presented as median [Q1, Q3] or n (%). ASA, American Anesthesiology Association.
Table 2 details anesthesia metrics. The median apneic oxygenation time per procedure was 23 minutes. Most procedures (86%) had a single apneic period. However, 14 procedures had two periods and one procedure had three periods. The shortest apneic period was 6 minutes and the longest was 45 minutes. The median apneic oxygenation times ranged from 19–23 minutes depending on number of lesions biopsied during the procedure and across one period versus multiple periods. Therefore, lesion number or number of holds has negligible impact on the duration of apneic periods (Figure 5). The median ETCO2 immediately prior to apnea was 32 mmHg and upon resumption of ventilation was 59 mmHg. For patients with multiple periods, the initial pre-ETCO2 and final post ETCO2 after apnea were used for analysis. Given the retrospective nature of this study, the time to measure post-apnea ETCO2 after resuming ventilation and delays in transfer of anesthesia metrics to the EMR may have impacted the results. In addition, prior studies have reported the ETCO2 measurements upon resumption of ventilation can underestimate hypercapnia (16). The estimated calculated median pre-apnea pH was 7.47 (IQR: 7.43, 7.51) and post-apnea pH was 7.23 (IQR: 7.17, 7.28), based on ETCO2 corrected values and the Henderson-Hasselbalch equation.
Table 2
| Characteristic | Value (N=108) |
|---|---|
| ETT size (mm) | |
| 8.5 | 90 (83.3) |
| 8 | 13 (12.0) |
| 7.5 | 3 (2.8) |
| 7 | 2 (1.9) |
| Apneic oxygenation time per procedure (min) | 23 [19, 30] |
| ETCO2 (mmHg) | |
| Immediately prior to apnea | 32 [29, 35] |
| Upon resumption of ventilation | 58 [50, 67] |
| Apnea SpO2 | |
| Normoxic | 105 (97.2) |
| Hypoxic (SpO2 <88%) | 3 (2.8) |
| Vasopressor use during procedure | |
| None | 38 (35.2) |
| Intravenous push as needed | 69 (63.9) |
| Ventilation and apnea | 33 (47.8) |
| Apnea only | 27 (39.1) |
| Ventilation only | 9 (13.0) |
| Continuous infusion and IVP (ventilation and apnea) | 1 (0.9) |
| Vasopressor medications | |
| Phenylephrine IVP | 64 (59.3) |
| Ephedrine IVP | 32 (29.6) |
| Epinephrine IVP | 3 (2.8) |
| Epinephrine infusion | 1 (0.9) |
| Net volume during procedure (mL) | 481 [203, 645] |
Data are presented as n (%) or median [Q1, Q3]. ETCO2, end-tidal carbon dioxide; ETT, endotracheal tube; IVP, intravenous push; SpO2, peripheral oxygen saturation.
Three patients experienced hypoxia during apnea (nadir range from 82–87%). Two patient’s hypoxia were associated with hypotension that resolved following vasopressor administration. The third patient’s hypoxia resolved after resuming ventilation and was not associated with hypotension (Table 2).
Patients in 69 procedures required intraprocedural vasopressors via intravenous push as needed to manage hypotension, with 27 (39%) during apnea only and 33 (48%) during both apnea and ventilation periods. If needed, the median doses of medications per procedure were phenylephrine 300 (IQR: 200, 600) mcg, ephedrine 10 (IQR: 5, 24) mg and epinephrine 0.01 (IQR: 0.01, 0.02) mg; some patients were treated with multiple agents. One patient required a continuous epinephrine infusion, and as needed phenylephrine. The infusion was started after intubation and maintained throughout both apneic and ventilation periods. Overall, the median net volume received for patients during the procedure was 481 mL (Table 2).
Table 3 further details patient blood pressure and heart rate during apneic oxygenation. Of note, of 15 patients who were both hypotensive and hypertensive during the apneic period, 11 had initial hypotension treated with as needed vasopressors that later developed hypertension. No associations between abnormal blood pressure and heart rate were noted. We did not observe any association between calculated pH and blood pressure; however, interpretation is limited by the retrospective design and estimation of pH from end-tidal CO2 monitoring.
Table 3
| Characteristic | Overall (N=108) | Heart rate (beats per minute) | P value† | ||
|---|---|---|---|---|---|
| Normal (N=60) | Bradycardia (<60) (N=24) | Tachycardia (>100) (N=24) | |||
| Blood pressure (non-invasive blood pressure mean) | 0.30 | ||||
| Normal | 36 (33.3) | 24 (40.0) | 6 (25.0) | 6 (25.0) | |
| Hypotensive (<65 mmHg) | 43 (39.8) | 22 (36.7) | 8 (33.3) | 13 (54.2) | |
| Hypertensive (>105 mmHg) | 14 (13.0) | 8 (13.3) | 3 (12.5) | 3 (12.5) | |
| Both hypotensive and hypertensive | 15 (13.9) | 6 (10.0) | 7 (29.2) | 2 (8.3) | |
Data are presented as n (%). †, Fisher’s exact test.
Tables 4,5 detail the procedure and lesion details. The median nodule size was 15 mm. Most procedures targeted one lesion (75.9%). Of the 26 multiple lesion procedures, 69% involved bilateral targets. Most PPLs were solid (81%), located in the upper lobes (63%), and in the outer 1/3 of the lung (62%); 47.8% of lesions were adjacent to the pleura or a fissure. TBNA and TBBX were performed for all PPLs, with TBLC in 9%. CBCT was used in 97% of procedures. EBUS lymph node sampling was performed in 95% of procedures, with a median of 4 lymph nodes biopsied (IQR: 3, 5). The median procedure time was 44 minutes.
Table 4
| Characteristic | Value (N=108) |
|---|---|
| Number of target lesions per procedure | |
| 1 | 82 (75.9) |
| 2 | 23 (21.3) |
| 3 | 3 (2.8) |
| Laterality of multiple lesions | |
| Bilateral | 18 (69.2) |
| Unilateral | 8 (30.8) |
| Total procedure time (min) | 44 [19, 52] |
| Intraprocedural ionizing radiation use | |
| 2D fluoroscopy only | 3 (2.8) |
| Radiation time (s) | 117 [54, 178] |
| DAP (Gy•cm2) | 6.8 [3.17, 18.46] |
| RAK (mGy) | 50.10 [23.40, 136.40] |
| 3D imaging | 105 (97.2) |
| CBCT spins per procedure | 2 [1, 2] |
| Radiation time (s) | 195 [154, 270] |
| DAP (Gy•cm2) | 23.26 [15.20, 33.67] |
| RAK (mGy) | 159.20 [100.20, 227.00] |
| Adverse events | |
| Pneumothorax | 0 (0.0) |
| Bleeding | |
| 1 | 103 (95.4) |
| 2 | 0 (0.0) |
| 3 | 3 (2.8) |
| 4 | 2 (1.9) |
Bleeding: 1, 2, 3, 4 per Nashville Bleeding Score. Data are presented as n (%) or median [Q1, Q3]. 2D, two-dimensional; 3D, three-dimensional; CBCT, cone beam computed tomography; DAP, dose area product; RAK, reference air kerma.
Table 5
| Characteristic | Value (N=136) |
|---|---|
| Lesion size (mm) | 15 [10, 21] |
| Radiographic characterization | |
| Solid | 110 (80.9) |
| Semisolid | 16 (11.8) |
| Cavitary | 8 (5.9) |
| Pure ground glass opacity | 2 (1.5) |
| Lobe location | |
| Right upper lobe | 36 (26.5) |
| Right middle lobe | 7 (5.1) |
| Right lower lobe | 23 (16.9) |
| Left upper lobe | 49 (36.0) |
| Left lower lobe | 21 (15.4) |
| Lung centrality | |
| Inner 2/3 | 52 (38.2) |
| Outer 1/3 | 84 (61.8) |
| Bronchus sign | |
| Negative | 85 (62.5) |
| Positive | 51 (37.5) |
| Radial EBUS | |
| Concentric | 61 (44.9) |
| Eccentric | 45 (33.1) |
| Not visible | 30 (22.1) |
| Biopsy tools | |
| TBNA | 136 (100.0) |
| TBBX | 136 (100.0) |
| TBLC | 12 (8.8) |
| Diagnosis at index RAB | |
| Specific malignant | 93 (68.4) |
| Specific benign | 26 (19.1) |
| Non-diagnostic | 17 (12.5) |
Data are presented as n (%) or median [Q1, Q3]. EBUS, endobronchial ultrasound; RAB, robotic-assisted bronchoscopy; TBBX, transbronchial lung biopsy; TBLC, transbronchial lung cryobiopsy; TBNA, transbronchial needle aspiration.
In the immediate periprocedural period, 95.4% of patients had no adverse events. No pneumothorax occurred. Intraprocedural bleeding was noted in 5 patients, with 2 patients classified as grade 4. One patient required balloon occlusion to achieve hemostasis, but was extubated and transfused 1 unit of packed red blood cells prior to discharge home. A second patient required placement of a balloon blocker for hemostasis, and was admitted to ICU intubated. The patient underwent a repeat bronchoscopy the following day where the blocker was removed, and the patient later extubated.
Based on cytology, pathology and culture results from the index RAB with no additional follow-up data included, the strict diagnostic yield was 88.2% for the 136 PPLs. Specifically, 93 (68.4%) specific malignant, 27 (20.6%) specific benign and 16 (11.8%) non-diagnostic. Follow-up for non-diagnostic results revealed: 9 PPLs decreased in size or showed stability at 1 year on follow-up imaging, 3 PPLs in patients treated for metastatic cancer with no available repeat imaging, and 4 PPLs in patients without available repeat imaging. Diagnostic yield with follow-up data included was 94.9%.
Discussion
Key findings
This study evaluated the safety and efficacy of an anesthesia protocol with prolonged apneic oxygenation during RAB with mCBCT for PPLs. During 108 procedures in the evaluation and biopsy of 136 PPLs with a median size of 15 mm, apneic oxygenation was used for a median of 23 minutes per procedure with an overall median procedure time of 44 minutes. The anesthesia team managed hemodynamics intraoperatively, and 65% of patients required vasopressors during the procedure; however, there were no persistent effects afterward. The immediate occurrence of overall adverse events was 4.6%, all attributed to bleeding, with 1.9% grade 4. No pneumothorax occurred. The strict diagnostic yield based at index RAB was 88%.
Strengths and limitations
This is a retrospective cohort analysis in a single center with a high procedural volume with experienced proceduralists. There is a potential bias in patient selection, as this study was not prospective, not randomized and had no delineated pre-procedure malignancy risk calculations for the PPLs. The period selected was after staff familiarization with RAB and anesthesia protocols with over 1,000 RAB procedures performed prior to the study period. Apneic oxygenation was used per proceduralists’ discretion during the procedure with no delineated criteria regarding when to use or not to use prolonged apneic oxygenation. Our patient population was relatively healthy (88% of patients either ASA 2 or 3), with a median body mass index (BMI) of 26 kg/m2, which may limit generalizability to patients with more severe comorbidities. There are limitations in data available via retrospective chart review, particularly regarding intraprocedural metrics that are transferred to the EMR, or if any periods of apnea were prematurely terminated during the procedure. Generalizability may be limited based on staff, familiarity with workflow, procedural volume, and patient population.
Comparison with similar research
Recent meta-analyses have been published to evaluate procedural outcomes in peripheral bronchoscopy. One large meta-analysis on guided bronchoscopy included 95 studies for the evaluation of PPLs with a variety of navigational and advanced imaging technologies that reported an overall diagnostic yield of 70.9%, with an overall adverse event rate of 5.6% (pneumothorax 2.5%, pneumothorax requiring intervention 1.2%, bleeding 2.1%). A subgroup analysis of studies using 3D imaging and newer navigational techniques, including robotics, yielded a statistically significant higher diagnostic yield (77.5%) (36). A second meta-analysis of 25 early published RAB studies yielded a pooled diagnostic yield of 84.3% with pneumothorax rate of 2.3% (37).
There is limited data on outcomes about bronchoscopy for PPL with dedicated anesthesia ventilator protocols. The VESPA trial was not designed to assess the impact of a prescribed anesthesia protocol on diagnostic yield. Transient hypotension requiring vasopressors was reported in 26.3% of conventional anesthesia and 31.6% in the VESPA group (15). Bhadra et al. reported a retrospective single center study of 50 patients (25 on LNVP protocol versus 25 conventional anesthesia) undergoing PPL biopsy procedure with CBCT. LNVP reduced atelectasis and improved lesion visualization with a higher diagnostic yield (92%) compared to conventional anesthesia (70%), although the sample size limited statistical significance (13). A subsequent retrospective study of 100 patients undergoing bronchoscopic biopsy of PPL with CBCT utilizing LNVP protocol with breath hold technique of 4–6 minutes during 3D imaging acquisition, navigation and biopsy of PPLs reported a diagnostic yield of 85.9% and pneumothorax rate of 1%. In this cohort, 67% of patients required vasopressor support, and an average of 687 mL of crystalloid fluids (13).
There are few reports of prolonged apneic oxygenation in patients undergoing lung biopsy. Kjaergaard et al. presented a case series of 6 patients with previously non-diagnostic biopsies undergoing percutaneous CT lung biopsies using apneic oxygenation. The patients were intubated and paralyzed with continuous positive pressure of 8–17 cmH2O. The median apneic time was 10 minutes. The authors reported that no patients had significant hemodynamic changes or hypoxia, and all biopsies were diagnostic (27). Deb et al. reported percutaneous CT lung biopsy under general anesthesia with apnea in 18 patients but without procedural specifics (28).
Explanations of findings
To our knowledge, this is the first manuscript describing the use of prolonged apneic oxygenation during navigational bronchoscopic lung biopsy with RAB and mCBCT. Our institutional protocol incorporates an APL valve set to 20–25 cmH2O during apnea to optimize airway pressure and reduce atelectasis. This setting was empirically found to improve lesion visualization during CBCT imaging. We also utilized 100% FiO2 to achieve lung denitrogenation during apneic oxygenation. However, we acknowledge that this approach could theoretically contribute to resorption atelectasis, which can reduce lesion visibility (11).
The primary benefit of prolonged apnea is the reduction of motion during CBCT imaging and nodule stability throughout the procedure. This stability allows maintenance of catheter-to-lesion orientation and removes the need to synchronize biopsies with short breath-holds or employ respiratory gating. These factors may improve procedural efficiency, safety, and diagnostic yield.
To contextualize our findings, we compared outcomes with a cohort of excluded cases (96 RAB procedures to biopsy 111 PPLs) at our institution performed during the study period using the same anesthesia protocol without the use of prolonged apneic oxygenation. Compared to patients who had prolonged apneic oxygenation, the excluded procedures biopsied lesions that were larger (median 26 vs. 15 mm), more centrally located (59% vs. 38%), and less adjacent to fissures or pleura (52% vs. 40%). Additionally, this excluded cohort had a higher rate of concentric r-EBUS views (81% vs. 45%) and less frequent use of mCBCT (39% vs. 97%). Despite these differences, there was no statistically significant difference in strict diagnostic yield for the excluded vs. prolonged apneic oxygenation cohorts (84% vs. 88%). In addition to small sample size, this may also be related to the use of the anesthesia protocol in both groups to minimize atelectasis, as well as differences in advanced imaging use. Adverse events were similar in both groups with 5.2% in excluded vs. 4.6% in prolonged apneic oxygenation. Notably, complications in the excluded cohort included four pneumothorax (three requiring chest tube), and one case of grade 2 bleeding, while the prolonged apneic oxygenation cohort were all related to bleeding. These outcomes are comparable to published meta-analyses of navigational bronchoscopy (37). Additionally, the proportion of patients requiring vasopressors was comparable between the excluded cohort (62%), prolonged apnea cohort (65%), as well as in Bhadra’s cohort (67%) (14).
Implications and actions needed
Appropriate patient selection is paramount to ensuring apneic oxygenation is used for patients who can benefit and tolerate prolonged apnea during the procedure. Historically, challenging lesions are those that are smaller, located in the lower lobes, or adjacent to critical structures such as fissures or pleura (37-39). In our prolonged apneic oxygenation cohort, 99 (72.8%) PPLs met at least one of these criteria: (I) size <10 mm; (II) lower lobe location; (III) adjacent to pleura or fissure. Although this is a retrospective, single center study, and the use of prolonged apneic oxygenation was at the proceduralists’ discretion with no set criteria, this technique may be safe and effective in selected patients, particularly those with small or peripheral lesions that require CBCT. Patients with underlying severe respiratory disease, such as those with pulmonary hypertension, interstitial lung disease, advanced chronic obstructive lung disease, anemia, or other states with poor underlying oxygen reserve may not be able to tolerate periods of apnea (12,21,27,40). Multiple studies in various procedural settings demonstrate the safety of prolonged apneic oxygenation (16,17,27,28), however, there is limited data in the bronchoscopy literature (14).
Given the increasing prevalence of lung lesions and the need for advanced diagnostic procedures, procedural standardization may decrease variability in outcomes (30,41). Adoption of new protocols should be undertaken with understanding of principles, appropriate patient selection, and adequate training to ensure safety with continual analysis of outcomes. Large volume, prospective, and multi-center studies are ideal to aid in generalizability and further assessment of protocols and workflow improvements. This will be helpful to determine optimal anesthesia or ventilator settings (oxygenation requirements, ventilation strategies, airway pressures, apnea techniques) and assist in patient selection.
Conclusions
This study describes that RAB with mCBCT for the evaluation of PPLs with the use of an anesthesia protocol with prolonged apneic oxygenation to minimize atelectasis and motion may be a safe and effective diagnostic approach. Patient selection should be individualized, with procedures performed at centers with expertise in advanced bronchoscopy and management of peri-procedural complications, multi-disciplinary collaboration, and adherence to protocols.
Acknowledgments
The authors would like to express their sincere gratitude to the thoracic surgery, endoscopy, and anesthesia teams at Orlando Health for their support and collaboration.
Footnote
Reporting Checklist: The authors have completed the STROBE reporting checklist. Available at https://jtd.amegroups.com/article/view/10.21037/jtd-2025-1217/rc
Data Sharing Statement: Available at https://jtd.amegroups.com/article/view/10.21037/jtd-2025-1217/dss
Peer Review File: Available at https://jtd.amegroups.com/article/view/10.21037/jtd-2025-1217/prf
Funding: None.
Conflicts of Interest: All authors have completed the ICMJE uniform disclosure form (available at https://jtd.amegroups.com/article/view/10.21037/jtd-2025-1217/coif). K.S. has received compensation from Intuitive Surgical, Inc. (education, travel and lodging, and food and beverage). A.Z.J. has received compensation from Intuitive Surgical, Inc. (education, travel and lodging, and food and beverage) and Siemens Medical Solutions USA, Inc. (travel and lodging, and food and beverage). The other authors have no conflicts of interest to declare.
Ethical Statement: The authors are accountable for all aspects of the work in ensuring that questions related to the accuracy or integrity of any part of the work are appropriately investigated and resolved. This study was conducted in accordance with the Declaration of Helsinki and its subsequent amendments, and received approval from the Orlando Health Institutional Review Board (IRB) (protocol #1, IRB No. 25.097.05). The Orlando Health IRB approved a waiver of informed consent under 45 CFR 46.116 (f) for this project.
Open Access Statement: This is an Open Access article distributed in accordance with the Creative Commons Attribution-NonCommercial-NoDerivs 4.0 International License (CC BY-NC-ND 4.0), which permits the non-commercial replication and distribution of the article with the strict proviso that no changes or edits are made and the original work is properly cited (including links to both the formal publication through the relevant DOI and the license). See: https://creativecommons.org/licenses/by-nc-nd/4.0/.
References
- Gould MK, Donington J, Lynch WR, et al. Evaluation of individuals with pulmonary nodules: when is it lung cancer? Diagnosis and management of lung cancer, 3rd ed: American College of Chest Physicians evidence-based clinical practice guidelines. Chest 2013;143:e93S-e120S.
- Rivera MP, Mehta AC, Wahidi MM. Establishing the diagnosis of lung cancer: Diagnosis and management of lung cancer, 3rd ed: American College of Chest Physicians evidence-based clinical practice guidelines. Chest 2013;143:e142S-e165S.
- Bawaadam H, Ho E, Ghori U, et al. Integration of adjunct imaging for peripheral lung nodule sampling: a comprehensive review. AME Med J 2024;9:22.
- Abdelghani R, Omballi M, Abia-Trujillo D, et al. Imaging modalities during navigational bronchoscopy. Expert Rev Respir Med 2024;18:175-88. [Crossref] [PubMed]
- Yu Lee-Mateus A, Reisenauer J, Garcia-Saucedo JC, et al. Robotic-assisted bronchoscopy versus CT-guided transthoracic biopsy for diagnosis of pulmonary nodules. Respirology 2023;28:66-73. [Crossref] [PubMed]
- Lentz RJ, Frederick-Dyer K, Planz VB, et al. Navigational Bronchoscopy or Transthoracic Needle Biopsy for Lung Nodules. N Engl J Med 2025;392:2100-12. [Crossref] [PubMed]
- Pritchett MA, Bhadra K, Calcutt M, et al. Virtual or reality: divergence between preprocedural computed tomography scans and lung anatomy during guided bronchoscopy. J Thorac Dis 2020;12:1595-611. [Crossref] [PubMed]
- Chen A, Pastis N, Furukawa B, et al. The effect of respiratory motion on pulmonary nodule location during electromagnetic navigation bronchoscopy. Chest 2015;147:1275-81. [Crossref] [PubMed]
- Casal RF, Sarkiss M, Jones AK, et al. Cone beam computed tomography-guided thin/ultrathin bronchoscopy for diagnosis of peripheral lung nodules: a prospective pilot study. J Thorac Dis 2018;10:6950-9. [Crossref] [PubMed]
- Sagar AS, Sabath BF, Eapen GA, et al. Incidence and Location of Atelectasis Developed During Bronchoscopy Under General Anesthesia: The I-LOCATE Trial. Chest 2020;158:2658-66. [Crossref] [PubMed]
- Pritchett MA, Lau K, Skibo S, et al. Anesthesia considerations to reduce motion and atelectasis during advanced guided bronchoscopy. BMC Pulm Med 2021;21:240. [Crossref] [PubMed]
- Sikachi RR, Mishra KL, Anders M. Anesthetic considerations in interventional pulmonology. Curr Opin Pulm Med 2024;30:99-106. [Crossref] [PubMed]
- Bhadra K, Setser RM, Condra W, et al. Lung Navigation Ventilation Protocol to Optimize Biopsy of Peripheral Lung Lesions. J Bronchology Interv Pulmonol 2022;29:7-17. [Crossref] [PubMed]
- Bhadra K, Baleeiro C, Patel S, et al. High Tidal Volume, High Positive End Expiratory Pressure and Apneic Breath Hold Strategies (Lung Navigation Ventilation Protocol) With Cone Beam Computed Tomography Bronchoscopic Biopsy of Peripheral Lung Lesions: Results in 100 Patients. J Bronchology Interv Pulmonol 2024;31:105-16. [Crossref] [PubMed]
- Salahuddin M, Sarkiss M, Sagar AS, et al. Ventilatory Strategy to Prevent Atelectasis During Bronchoscopy Under General Anesthesia: A Multicenter Randomized Controlled Trial (Ventilatory Strategy to Prevent Atelectasis -VESPA- Trial). Chest 2022;162:1393-401. [Crossref] [PubMed]
- Lyons C, Callaghan M. Uses and mechanisms of apnoeic oxygenation: a narrative review. Anaesthesia 2019;74:497-507. [Crossref] [PubMed]
- Fayed M, Maroun W, Patel N, et al. Apneic Oxygenation: A Summarized Review and Stepwise Approach. Cureus 2023;15:e50916. [Crossref] [PubMed]
- Patel A, Nouraei SA. Transnasal Humidified Rapid-Insufflation Ventilatory Exchange (THRIVE): a physiological method of increasing apnoea time in patients with difficult airways. Anaesthesia 2015;70:323-9. [Crossref] [PubMed]
- Jung J, Park J, Lee M, et al. Apnoeic oxygenation using transnasal humidified rapid-insufflation ventilatory exchange during rigid bronchoscopy: a report of four cases. J Int Med Res 2022;50:3000605211068309. [Crossref] [PubMed]
- Kornafeld A, Fernandez-Bussy S, Abia-Trujillo D, et al. Humidified rapid-insufflation ventilatory exchange is a means of oxygenation during rigid bronchoscopy: A case series. Respirol Case Rep 2022;10:e0903. [Crossref] [PubMed]
- Rudlof B, Hohenhorst W. Use of apneic oxygenation for the performance of pan-endoscopy. Otolaryngol Head Neck Surg 2013;149:235-9. [Crossref] [PubMed]
- Gustafsson IM, Lodenius Å, Tunelli J, et al. Apnoeic oxygenation in adults under general anaesthesia using Transnasal Humidified Rapid-Insufflation Ventilatory Exchange (THRIVE) - a physiological study. Br J Anaesth 2017;118:610-7. [Crossref] [PubMed]
- Machan L, Churilov L, Hu R, et al. Apneic Oxygenation Versus Low-Tidal-Volume Ventilation in Anesthetized Cardiac Surgical Patients: A Prospective, Single-Center, Randomized Controlled Trial. J Cardiothorac Vasc Anesth 2017;31:2000-9. [Crossref] [PubMed]
- Stock MC, Schisler JQ, McSweeney TD. The PaCO2 rate of rise in anesthetized patients with airway obstruction. J Clin Anesth 1989;1:328-32. [Crossref] [PubMed]
- EGER EI. SEVERINGHAUS JW. The rate of rise of PaCO2 in the apneic anesthetized patient. Anesthesiology 1961;22:419-25. [Crossref] [PubMed]
- Lyons C, Callaghan M. Apnoeic oxygenation with high-flow nasal oxygen for laryngeal surgery: a case series. Anaesthesia 2017;72:1379-87. [Crossref] [PubMed]
- Kjaergaard B, Zepernick PR, Bergmann A, et al. CT-guided needle lung biopsy is possible during apneic oxygenation: a case series. Multidiscip Respir Med 2013;8:73. [Crossref] [PubMed]
- Deb S, Malkoutzis E, Troupis J. Computed tomography guided lung biopsy under general anaesthesia with apnoea: Preliminary experience. J Med Imaging Radiat Oncol 2021;65:719-23. [Crossref] [PubMed]
- Folch EE, Mahajan AK, Oberg CL, et al. Standardized Definitions of Bleeding After Transbronchial Lung Biopsy: A Delphi Consensus Statement From the Nashville Working Group. Chest 2020;158:393-400. [Crossref] [PubMed]
- Gonzalez AV, Silvestri GA, Korevaar DA, et al. Assessment of Advanced Diagnostic Bronchoscopy Outcomes for Peripheral Lung Lesions: A Delphi Consensus Definition of Diagnostic Yield and Recommendations for Patient-centered Study Designs. An Official American Thoracic Society/American College of Chest Physicians Research Statement. Am J Respir Crit Care Med 2024;209:634-46. [Crossref] [PubMed]
- Vachani A, Maldonado F, Laxmanan B, et al. The Effect of Definitions and Cancer Prevalence on Diagnostic Yield Estimates of Bronchoscopy: A Simulation-based Analysis. Ann Am Thorac Soc 2023;20:1491-8. [Crossref] [PubMed]
- R Core Team. R: A Language and Environment for Statistical Computing. 2024. Available online: https://www.R-project.org
- Sjoberg DD, Whiting K, Curry M, et al. Reproducible summary tables with the gtsummary package. The R Journal 2021;13:570-80.
- Nassar BS, Schmidt GA. Estimating Arterial Partial Pressure of Carbon Dioxide in Ventilated Patients: How Valid Are Surrogate Measures? Ann Am Thorac Soc 2017;14:1005-14. [Crossref] [PubMed]
- Berend K, de Vries AP, Gans RO. Physiological approach to assessment of acid-base disturbances. N Engl J Med 2014;371:1434-45. [Crossref] [PubMed]
- Kops SEP, Heus P, Korevaar DA, et al. Diagnostic yield and safety of navigation bronchoscopy: A systematic review and meta-analysis. Lung Cancer 2023;180:107196. [Crossref] [PubMed]
- Ali MS, Ghori UK, Wayne MT, et al. Diagnostic Performance and Safety Profile of Robotic-assisted Bronchoscopy: A Systematic Review and Meta-Analysis. Ann Am Thorac Soc 2023;20:1801-12. [Crossref] [PubMed]
- Kalchiem-Dekel O, Connolly JG, Lin IH, et al. Shape-Sensing Robotic-Assisted Bronchoscopy in the Diagnosis of Pulmonary Parenchymal Lesions. Chest 2022;161:572-82. [Crossref] [PubMed]
- Fernandez-Bussy S, Yu Lee-Mateus A, Barrios-Ruiz A, et al. Diagnostic performance of shape-sensing robotic-assisted bronchoscopy for pleural-based and fissure-based pulmonary lesions. Thorax 2025;80:150-8. [Crossref] [PubMed]
- Broker J, Cvetkovic D, Yaghoubian S. Anesthetic management during bronchoscopy of patients with pulmonary hypertension. Ann Transl Med 2019;7:355. [Crossref] [PubMed]
- Schmid-Bindert G, Vogel-Claussen J, Gütz S, et al. Incidental Pulmonary Nodules - What Do We Know in 2022. Respiration 2022;101:1024-34. [Crossref] [PubMed]


