Characterization of pleural metastasis in non-small cell carcinomas undergoing intraoperative frozen section examination
Highlight box
Key findings
• Pleural nodularity observed during intraoperative inspection was strong independent predictor of pleural metastasis in non-small cell lung carcinoma (NSCLC). Additionally, sclerotic fibrosis was an independent microscopic predictor in adenocarcinoma (ADC), whereas metastatic squamous cell carcinoma (SqCC) frequently exhibited loose fibrosis and dense inflammation.
What is known and what is new?
• It is known that pleural nodularity is a recognized clinical sign indicating pleural metastasis in non-small cell lung carcinoma.
• This study shows that sclerotic fibrosis specifically predicts pleural metastasis in ADC, while SqCC commonly exhibits loose fibrosis with inflammation, providing histology-specific microscopic clues for intraoperative frozen diagnosis.
What is the implication, and what should change now?
• Recognizing both gross pleural nodularity and histology-specific microscopic patterns may improve diagnostic accuracy during intraoperative frozen examination and help guide surgical decision-making in NSCLC patients.
Introduction
Lung cancer is currently the most commonly diagnosed cancer worldwide and remains the leading cause of cancer-related mortality (1). Despite the development of various mutation targeting agents and immune checkpoint inhibitors that have demonstrated efficacy in non-small cell carcinoma (NSCLC), the mortality rate of lung cancer still remains high (1,2). In addition to the druggable mutation, pathologic tumor stage remains the most powerful prognostic indicator (3). Previous studies have shown that pleura invasion is an adverse prognostic indicator in NSCLC (4,5). Based on the 9th edition of the tumor-node-metastasis (TNM) classification, presence of visceral pleural invasion determines the pT2a stage (PL1 an PL2) in tumor size ≤3 cm, while involvement of parietal pleura (PL3) designates pT3 (6). Moreover, pleural metastasis or malignant cytologic effusion considered as distant metastasis (M1a).
Open surgery or video-assisted thoracoscopic surgery is using for pleural biopsy in NSCLC patients for various purposes, including diagnosis, staging in tumor, and tissue acquisition for further adjunctive tests (7,8). In diagnosis aspect of pleural lesion, first thing that should be done is differentiation between benign and malignancy. Among the malignancies, the histologic tumor cell lineage such as epithelial carcinoma, sarcoma, lymphoma, and malignant mesothelioma, and the origin of tumor cells (pulmonary vs. extrapulmonary) are important in further treatment. Specifically, in primary lung cancers, discrimination between small-cell carcinoma and NSCLC plays a significant role in patient management (9-12). In advanced NSCLC patients, it is critical to obtain of sufficient amount of valid tumor tissue for biomarker testing (12,13). During the curative pulmonary resection, thoracic surgeon could grossly inspect the pleural status before proceeding of excision, and make further surgical plan. If pleural nodule is recognized during inspection, it should be examined whether the nodule is metastatic carcinoma or benign fibrotic lesion. Pathologically confirmed pleural metastasis is classified as stage IV, requiring systemic chemotherapy and/or radiation therapy. Consequently, in most cases, surgical pleural biopsy samples undergo intraoperative frozen section examination to aid clinicians in making further decisions, even if the pleural lesion is initially assumed to be benign or malignant based on visual inspection.
However, if the pleural biopsy sample contains only a few malignant tumor cells, it can be difficult to discriminate them from other benign cellular components, such as reactive mesothelial cells, inflammatory cells, and endothelial cells. This study aimed to quantify how intraoperative gross finding predicts a positive-for-malignancy (PFM) diagnosis on frozen sections and to delineate histology-specific microscopic features distinguishing adenocarcinoma (ADC) from squamous cell carcinoma (SqCC) in PFM cases. We present this article in accordance with the STROBE reporting checklist (available at https://jtd.amegroups.com/article/view/10.21037/jtd-2025-1511/rc).
Methods
Study group
The study was conducted in accordance with the Declaration of Helsinki and its subsequent amendments. The study protocol was reviewed and approved by the Institutional Review Board of Severance Hospital (approval No. 4-2015-0996). In all patients, informed consent was waived due to the retrospective design of this study. A total of 237 pleural biopsy by intraoperative frozen examination was performed at the Department of Pathology, Severance Hospital between March 2000 and February 2015.
Clinicopathological analysis
The following clinicopathological parameters were recorded: age at diagnosis, gender, pathologic diagnosis, pathologic stage, result of pleural fluid cytologic examination, and mutational status of EGFR, KRAS, ALK, and ROS1 in cases of ADC, which were routinely tested biomarkers in clinical practice at our institution during latter part of the study period [2013–2015]. Available description of pleural status from operation fields were checked from operation notes. Presence or absence of pleural retraction, pleural adhesion, grossly identifiable seeding nodules, pleural plaques, and effusion were evaluated. In our institution, all intraoperative frozen section diagnoses are routinely confirmed by permanent paraffin sections before final reporting. Therefore, the present study was based on final pathology diagnoses that incorporated permanent section review.
Frozen section technique
When surgically excised pleural sample arrives in its fresh state, macroscopic examination is performed followed by taking sections of the region. The sections are immediately embedded in cryostat, frozen at −20 to −25 ℃, and cut at a thickness of 3.5–4.0 µm. Then they are fixed in alcohol for a few seconds and rinsed with water. It is stained with hematoxylin and then eosin, with water rinsing after each step. Then it is dipped in absolute alcohol (3 dips) followed by acetone (2 dips) and finally in xylene. After mounting with coverslip, the section is ready to be examined under the microscope.
Histological analysis
For each case, frozen section slides and permanent slides were reviewed by a pathologist (Y.J.C.). Diagnosis of frozen section were categorized as PFM and negative for malignancy (NFM). In PFM cases, tumor-associated findings including inflammation, lymphoid aggregation, and fibrosis were evaluated. Fibrosis was divided into two groups (sclerotic fibrosis and loose fibrosis). Sclerotic fibrosis was assigned when the associated fibrosis was acellular and collagenous. Loose fibrosis was assigned when the associated fibrosis had young fibroblasts with edematous intervening stroma.
Statistical analysis
Categorical variables were compared using the Chi-squared or Fisher’s exact test, as appropriate. Continuous variables were assessed for normality using the Shapiro-Wilk test. As most variables did not follow a normal distribution, group comparisons were performed with the Mann-Whitney U test. Univariate logistic regression as applied to identify potential predictors of pleural metastasis. For multivariate regression, variables with P<0.10 in univariate analysis and clinically relevant parameters selected a priori (age, sex, pleural effusion, and pleural nodularity) were entered into the model. Multicollinearity was checked using variance inflation factor (VIF), and variables with VIF >10 were excluded. Odds ratios (ORs) with 95% confidence intervals (CIs) were reported and P<0.05 was considered statistically significant. Statistical analysis was performed by using SPSS version 24 (SPSS: Chicago, IL, USA) software and R software (https://www.r-project.org; version 4.3.0).
Results
Study population and basal characteristics of patients
A total of 237 patients had examination for pleural biopsies by intraoperative frozen consultation. Among them, 207 had underlying malignant tumors, including primary lung cancer (n=146), cancer originated from extrapulmonary region (n=46), and non-epithelial malignant tumors including sarcoma and mesothelioma (n=15). Among 146 lung cancer patients, only patients with ADC (n=75) and SqCC (n=37) were included in this study for further analysis (Figure 1). Basal characteristics of patients are shown in Table 1. There were 77 male patients and 35 female patients in total. Male patients comprised 91.9% of SqCC. ADC showed more frequent PFM results in pleural biopsy (82.7% vs. 27.0%, P<0.001), and accompanied with positive cytologic examination result of pleural fluid (29.3% vs. 5.4%, P=0.006) than SqCC.
Table 1
| Variables | Adenocarcinoma (n=75) | Squamous cell carcinoma (n=37) | P |
|---|---|---|---|
| Clinical information | |||
| Sex | <0.001 | ||
| Male | 43 (57.3) | 34 (91.9) | |
| Female | 32 (42.7) | 3 (8.1) | |
| Age (years) | 61.7±11.3 | 68.7±7.6 | <0.001 |
| Pleural biopsy | <0.001 | ||
| Positive for malignancy | 62 (82.7) | 10 (27.0) | |
| Negative for malignancy | 13 (17.3) | 27 (73.0) | |
| Pathologic stage | 0.53 | ||
| IIB | 5 (6.7) | 5 (13.5) | |
| IIIA | 4 (5.3) | 1 (2.7) | |
| IV | 66 (88.0) | 31 (83.8) | |
| Pleural fluid examination | 0.006 | ||
| Positive for malignancy | 22 (29.3) | 2 (5.4) | |
| Negative for malignancy | 4 (5.3) | 4 (10.8) | |
| Not done | 49 (65.3) | 31 (83.8) | |
| Mutational status | |||
| EGFR | <0.001 | ||
| Mutation | 34 (45.3) | 0 (0.0) | |
| Wildtype | 21 (28.0) | 0 (0.0) | |
| Not performed | 20 (26.7) | 37 (100.0) | |
| KRAS | <0.001 | ||
| Mutation | 4 (5.3) | 0 (0.0) | |
| Wildtype | 46 (61.3) | 0 (0.0) | |
| Not performed | 25 (33.3) | 37 (100.0) | |
| ALK | <0.001 | ||
| Fusion | 2 (2.7) | 0 (0.0) | |
| Wildtype | 48 (64.0) | 0 (0.0) | |
| Not performed | 25 (33.3) | 37 (100.0) | |
| ROS1 | <0.001 | ||
| Fusion | 1 (1.3) | 0 (0.0) | |
| Wildtype | 45 (60.0) | 0 (0.0) | |
| Not performed | 29 (38.7) | 37 (100.0) |
Data are presented as mean ± standard deviation or n (%).
Clinicopathologic characteristics of pleural metastasis in non-small cell carcinoma
Pleural nodularity was significantly more frequently observed in PFM cases (69.4% vs. 22.5%, P<0.001). Otherwise, PFM and NFM cases did not differ in remaining intraoperative findings (Table S1). Of pathologic findings, inflammation was predominantly present in PFM cases (P<0.001). Also, both type of fibrosis was more frequently found in PFM cases. Further distribution of tumor type in PFM and NFM across the variables are shown in Figures S1,S2.
Clinicopathologic difference between pleural metastasis of ADC and SqCC
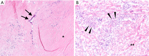
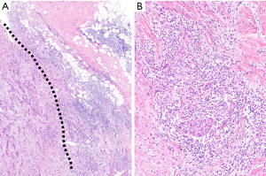
We further compared the PFM cases of patients with ADC and SqCC (Table S2). Intraoperative findings of pleural metastasis showed no significant difference between ADC and SqCC cases. However, microscopic pathologic variances were observed in terms of inflammation and fibrosis patterns. Notably, inflammation was present in 80.0% of metastatic SqCC cases compared to only 30.1% of ADC cases (P<0.001). The tumor-associated inflammatory pattern also exhibited distinctions: among cases with inflammation, peripherally located inflammation was observed in 73.9% (17/23) of ADC cases (Figure 2A), while inflammation intermixed with tumor cells was seen in 87.5% (7/8) of SqCC cases (Figure 2B). Furthermore, regarding tumor-associated fibrosis, sclerotic fibrosis was found in 56.5% of metastatic ADC cases (P<0.001, Figure 3A), whereas metastatic SqCC cases exclusively showed loose fibrosis (P<0.001, Figure 3B).
Clinicopathologic parameters predicting pleural metastasis in NSCLC patients examined by intraoperative frozen examination
Logistic regression was performed to finding predictive factors for PFM in NSCLC (Table 2). Presence of pleural nodularity and effusion in operative field were significantly associated with PFM result in univariate analysis [pleural nodularity: odds ratio (OR) 12.42, 95% CI: 4.99–30.86, P<0.001; presence of effusion: OR 6.27, 95% CI: 1.72–22.85, P=0.005], with pleural nodularity was the only independently significant predictor for PFM by multivariate analysis (OR 8.33, 95% CI: 3.36–20.65, P<0.001). For pathologic parameters, presence of inflammation was significantly associated with PFM result by univariate analysis, specifically when the inflammation located within the tumor (OR 9.06, 95% CI: 1.06–77.19, P=0.044) or at the peripheral of tumor (OR 7.33, 95% CI: 1.99–27.08, P=0.003). However, when these subgroups were entered simultaneously into the multivariate model, none retained independent significance, likely due to collinearity among overlapping categories. KRAS wildtype tumor showed significantly frequent PFM in univariate analysis (OR 20.00, 95% CI: 1.78–225.00, P=0.02). With multivariate analysis, only sclerotic fibrosis was left to be significant (OR 11.62, 95% CI: 3.71–36.42, P<0.001).
Table 2
| Variables | Univariate | Multivariate | |||||||
|---|---|---|---|---|---|---|---|---|---|
| OR | 95% CI | P | OR | 95% CI | P | ||||
| Lower | Upper | Lower | Upper | ||||||
| Pathologic variables | |||||||||
| Inflammation | |||||||||
| Within tumor | 9.06 | 1.06 | 77.19 | 0.04 | |||||
| Periphery of tumor | 7.33 | 1.99 | 27.08 | 0.003 | |||||
| Aside from tumor | 6.47 | 0.72 | 58.00 | 0.10 | |||||
| Lymphoid aggregation | 3.42 | 0.69 | 16.89 | 0.13 | |||||
| Sclerotic fibrosis | 11.73 | 4.10 | 33.56 | <0.001 | 11.62 | 3.71 | 36.42 | <0.001 | |
| Loose fibrosis | 1.50 | 0.63 | 3.53 | 0.36 | 7.43 | 2.14 | 25.78 | 0.002 | |
| EGFR wildtype | 0.33 | 0.08 | 1.36 | 0.13 | |||||
| KRAS wildtype | 20.00 | 1.78 | 225.00 | 0.02 | |||||
| ALK wildtype | NA | ||||||||
| ROS1 wildtype | NA | ||||||||
| Intraoperative findings | |||||||||
| Pleural retraction | 0.39 | 0.14 | 1.08 | 0.07 | |||||
| Pleural adhesion | 0.84 | 0.39 | 1.81 | 0.66 | |||||
| Pleural nodularity | 12.42 | 5.00 | 30.86 | <0.001 | 8.33 | 3.36 | 20.65 | <0.001 | |
| Pleural effusion | 6.28 | 1.73 | 22.85 | 0.005 | |||||
| Pleural thickening | 0.80 | 0.34 | 1.92 | 0.62 | |||||
ALK, anaplastic lymphoma kinase; CI, confidence interval; EGFR, epidermal growth factor receptor; KRAS, Kirsten rat sarcoma viral oncogene homolog; NA, not assessable; OR, odds ratio; ROS1, ROS proto-oncogene 1, receptor tyrosine kinase.
Further regression analysis was performed separately in ADC and SqCC patients. In ADC, the result was similar with those of whole patients: presence of pleural nodularity (OR 4.50, 95% CI: 1.29–15.78, P=0.02) and presence of microscopic sclerotic fibrosis (OR 6.56, 95% CI: 1.71–25.26, P=0.006) were independent predictors for PFM in multivariate analysis (Table 3). In SqCC, no pathologic parameters predicted PFM on frozen section of pleura. Only intraoperatively observed pleural nodularity was significant factor predicting PFM in SqCC (OR 11.25, 95% CI: 1.58–80.30, P=0.02) (Table 4).
Table 3
| Variables | Univariate | Multivariate | |||||||
|---|---|---|---|---|---|---|---|---|---|
| OR | 95% CI | P | OR | 95% CI | P | ||||
| Lower | Upper | Lower | Upper | ||||||
| Pathologic variables | |||||||||
| Inflammation | |||||||||
| Within tumor | NA | ||||||||
| Periphery of tumor | 2.50 | 0.70 | 11.86 | 0.20 | |||||
| Aside from tumor | 1.76 | 0.36 | 36.08 | 0.62 | |||||
| Lymphoid aggregation | NA | ||||||||
| Sclerotic fibrosis | 9.60 | 2.79 | 44.80 | 0.001 | 6.56 | 1.71 | 25.26 | 0.006 | |
| Loose fibrosis | 1.46 | 0.40 | 6.98 | 0.60 | |||||
| EGFR wildtype | 0.33 | 0.08 | 1.34 | 0.13 | |||||
| KRAS wildtype | 20.00 | 2.19 | 444.11 | 0.02 | |||||
| ALK wildtype | NA | ||||||||
| ROS1 wildtype | NA | ||||||||
| Intraoperative findings | |||||||||
| Pleural retraction | 0.32 | 0.09 | 1.13 | 0.07 | |||||
| Pleural adhesion | 1.15 | 0.40 | 3.33 | 0.79 | |||||
| Pleural nodularity | 6.14 | 2.04 | 20.00 | 0.002 | 4.50 | 1.29 | 15.78 | 0.02 | |
| Pleural effusion | NA | ||||||||
| Pleural thickening | 1.65 | 0.46 | 7.88 | 0.48 | |||||
ALK, anaplastic lymphoma kinase; CI, confidence interval; EGFR, epidermal growth factor receptor; KRAS, Kirsten rat sarcoma viral oncogene homolog; NA, not assessable; OR, odds ratio; ROS1, ROS proto-oncogene 1, receptor tyrosine kinase.
Table 4
| Variables | Univariate | Multivariate | |||||||
|---|---|---|---|---|---|---|---|---|---|
| OR | 95% CI | P | OR | 95% CI | P | ||||
| Lower | Upper | Lower | Upper | ||||||
| Intraoperative findings | |||||||||
| Pleural retraction | NA | ||||||||
| Pleural adhesion | 2.63 | 0.27 | 25.70 | 0.41 | |||||
| Pleural nodularity | 31.25 | 2.86 | 341.88 | 0.005 | 11.25 | 1.58 | 80.30 | 0.02 | |
| Pleural effusion | 1.73 | 0.08 | 17.16 | 0.66 | |||||
| Pleural thickening | 0.38 | 0.04 | 3.71 | 0.41 | |||||
CI, confidence interval; NA, not assessable; OR, odds ratio.
Discussion
This study aimed to identify intraoperative and microscopic features that can aid the frozen section diagnosis of pleural metastasis in NSCLC. We found pleural nodularity to be the most significant intraoperative predictor of a PFM diagnosis. Moreover, we observed that ADC frequently presented with sclerotic fibrosis, whereas SqCC was more often associated with loose fibrosis and inflammation.
In this study, ADC had significantly higher PFM rate, which could be derived from the tumor location. Confirmation of tumor epicenter in patients was unavailable, ADC generally arises in peripheral lung parenchyma which increase the risk of pleural metastasis even in small tumors (14). In contrast, SqCC typically develops from the proximal bronchus (15). Considering most patients included in this study were stage IV, ADC appeared to involve the pleural more frequently.
Overall, most significant intraoperative gross finding of PFM was nodularity. Nodularity was the only independent predictor of PFM regardless of histologic subtype, suggesting that careful visual inspection by the surgeon is critical for selecting sites for frozen section conformation. Interestingly, pleural retraction had no significant association with PFM. Although pleural retraction generally indicates visceral pleural invasion and requires microscopic verification of PL0 vs. PL1/2, in most cases tumor cells had not yet reached the pleural surface. Pleural effusion observed during surgery showed a trend toward association with PFM, but most cases with effusion were not malignant. This may be due to the selection bias of patients, as patients with confirmed malignant effusion usually undergo drainage or pleurodesis rather that surgical pleural biopsy (16,17). Furthermore, effusions detected only intraoperatively, without radiologic evidence, were typically small in volume and may represent physiologic rather that malignant effusions. Although granulomatous diseases such as tuberculosis or sarcoidosis may also produce pleural nodularity, all patients in our cohort were primary lung cancer cases, and pleural biopsies for granulomatous diseases are rarely performed in our institution. Thus, granulomatous disease is unlikely to have confounded our findings. Nevertheless, in patients with a known history of granulomatous disease, pleural nodularity should be interpreted with caution during intraoperative evaluation.
Frozen section examination has been reported to show high diagnostic accuracy in lung cancer. Karpathiou et al. reported overall accuracy of 92.3% of pleural frozen sections with sensitivity of 96.3% and specificity of 97.9% (18). Lim et al. also demonstrated reliable sensitivity (88.2%) in pleural frozen sections obtained during medial thoracoscopy (19). These studies emphasize the diagnostic performance of frozen sections. Our study extends these findings by highlighting histology-specific microscopic accompaniments—sclerotic fibrosis in ADC and loose fibrosis with inflammation in SqCC—that may provide practical intraoperative clues when tumor cells are sparse.
Based on our results, prediction of PFM in pleural biopsy appeared feasible using pleural nodularity. However, histologic subtype cannot be determined by visual inspection alone unless the patient’s diagnosis is already known. In this study, ADC and SqCC demonstrated distinct of microscopic patterns; metastatic SqCC was frequently accompanied by inflammation and loose fibrosis, suggesting that frozen diagnosis of metastatic SqCC may be more challenging than that of metastatic ADC, as SqCC often shows a mixed cellular component. From a practical perspective, recognition of these histology-specific patterns may assist intraoperative decision-making when tumor cells are sparse or morphologically equivocal. In such challenging cases, the presence of sclerotic fibrosis (in ADC) or loose fibrosis with inflammation (in SqCC) may raise suspicion for pleural metastasis and prompt the pathologist to examine additional deeper levels. Furthermore, recognition of theses pattern may help junior pathologists to reduce false negatives and improve diagnostic consistency.
Interestingly, KRAS wild-type status showed an association with PFM in univariate analysis. However, this finding should be interpreted with caution, as the number of patients with available molecular data was limited and missingness was considerable. The wide CIs suggest statistical instability, and therefore this result if exploratory rather than confirmatory.
This study has several limitations. First, the number of cases were relatively small despite collecting cases over 15 years, and only 10 PFM cases with SqCC were available, which may limit the statistical robustness of our findings. Second, due to the retrospective, single-institution design, several important clinical variables were unavailable, including treatment history, clinical outcomes, and smoking history. This restricts the ability to assess the clinical impact of our observations and may introduce information bias. Third, molecular data for ALK and ROS1 were lacking in many ADC cases, and other biomarkers such as NTRK, RET, BRAF, PD-L1, and co-mutations (TP53, KEAP1, STK11) were not available. As biomarker profiles are now critical for targeted therapies and immunotherapy (12,20,21), and tumors with different molecular may behave differently (22-24), our ability to perform subgroup analyses was limited. Fourth, although each microscopic location of inflammation was significant in univariate analyses, they lost significance in multivariate models, likely due to collinearity. Fifth, the quality and quantity of biopsy material were not systematically evaluated in this study, which may influence diagnostic performance. Sixth, because all frozen section diagnoses were confirmed by permanent paraffin sections before final reporting, separate concordance analysis between frozen and permanent slides was not performed. The absence of such concordance data may introduce information bias and limits direct comparison with prior studies that quantified frozen section accuracy. Finally, our limited sample size resulted in wide CIs, reducing statistical stability. Further studies with larger, well-characterized cohorts, comprehensive molecular profiling, and linked clinical outcome data will be needed to validate and extend our observations.
ADC could be further categorized by predominant growth pattern, which also determines histologic grade (25,26). Micropapillary and solid pattern are considered to be poor prognostic component and could have effect on pleural metastasis (27). However, in this study, most of patients were advanced stage, there was no available slides of resected specimen. Analysis of primary resected tumor together with matched pleural metastasis samples and molecular information would provide deeper insights into histology-molecular interactions.
Conclusions
In conclusion, pleural nodularity should be regarded as in intraoperative triage signal that can guide biopsy targeting and frozen section requests. In addition, histology-specific microscopic features, such as sclerotic fibrosis in ADC and loose fibrosis with inflammation in SqCC, may provide supportive clues to pathologists in challenging frozen section cases.
Acknowledgments
None.
Footnote
Reporting Checklist: The authors have completed the STROBE reporting checklist. Available at https://jtd.amegroups.com/article/view/10.21037/jtd-2025-1511/rc
Data Sharing Statement: Available at https://jtd.amegroups.com/article/view/10.21037/jtd-2025-1511/dss
Peer Review File: Available at https://jtd.amegroups.com/article/view/10.21037/jtd-2025-1511/prf
Funding: This research was supported by a grant of
Conflicts of Interest: All authors have completed the ICMJE uniform disclosure form (available at https://jtd.amegroups.com/article/view/10.21037/jtd-2025-1511/coif). The authors have no conflicts of interest to declare.
Ethical Statement: The authors are accountable for all aspects of the work in ensuring that questions related to the accuracy or integrity of any part of the work are appropriately investigated and resolved. The study was conducted in accordance with the Declaration of Helsinki and its subsequent amendments. The study protocol was reviewed and approved by the Institutional Review Board of Severance Hospital (approval No. 4-2015-0996). In all patients, informed consent was waived due to the retrospective design of this study.
Open Access Statement: This is an Open Access article distributed in accordance with the Creative Commons Attribution-NonCommercial-NoDerivs 4.0 International License (CC BY-NC-ND 4.0), which permits the non-commercial replication and distribution of the article with the strict proviso that no changes or edits are made and the original work is properly cited (including links to both the formal publication through the relevant DOI and the license). See: https://creativecommons.org/licenses/by-nc-nd/4.0/.
References
- SEER*Explorer: An interactive website for SEER cancer statistics [Internet]. Surveillance Research Program, National Cancer Institute; 2025 Jul 2. [cited 2025 Sep 9]. Available from: https://seer.cancer.gov/statistics-network/explorer/. Data source(s): SEER Incidence Data, November 2024 Submission (1975-2022), SEER 21 registries.
- Reck M, Rabe KF. Precision Diagnosis and Treatment for Advanced Non-Small-Cell Lung Cancer. N Engl J Med 2017;377:849-61. [Crossref] [PubMed]
- Goldstraw P, Chansky K, Crowley J, et al. The IASLC Lung Cancer Staging Project: Proposals for Revision of the TNM Stage Groupings in the Forthcoming (Eighth) Edition of the TNM Classification for Lung Cancer. J Thorac Oncol 2016;11:39-51. [Crossref] [PubMed]
- Liu QX, Deng XF, Zhou D, et al. Visceral pleural invasion impacts the prognosis of non-small cell lung cancer: A meta-analysis. Eur J Surg Oncol 2016;42:1707-13. [Crossref] [PubMed]
- Zhang T, Zhang JT, Li WF, et al. Visceral pleural invasion in T1 tumors (≤3 cm), particularly T1a, in the eighth tumor-node-metastasis classification system for non-small cell lung cancer: a population-based study. J Thorac Dis 2019;11:2754-62. [Crossref] [PubMed]
- Asamura H FF, Gill R. AJCC Cancer Staging System: Lung (Version 9). 9th ed ed. Chicago, IL: American Joint Committee on Cancer; 2025.
- Vial MR, Eapen GA, Casal RF, et al. Combined pleuroscopy and endobronchial ultrasound for diagnosis and staging of suspected lung cancer. Respir Med Case Rep 2018;23:49-51. [Crossref] [PubMed]
- Shafiq M, Sethi J, Ali MS, et al. Pleural Cryobiopsy: A Systematic Review and Meta-Analysis. Chest 2020;157:223-30. [Crossref] [PubMed]
- Ettinger DS, Wood DE, Aisner DL, et al. NCCN Guidelines® Insights: Non-Small Cell Lung Cancer, Version 2.2023. J Natl Compr Canc Netw 2023;21:340-50. [Crossref] [PubMed]
- Denninghoff V, Russo A, de Miguel-Pérez D, et al. Small Cell Lung Cancer: State of the Art of the Molecular and Genetic Landscape and Novel Perspective. Cancers (Basel) 2021;13:1723. [Crossref] [PubMed]
- Horn L, Mansfield AS, Szczęsna A, et al. First-Line Atezolizumab plus Chemotherapy in Extensive-Stage Small-Cell Lung Cancer. N Engl J Med 2018;379:2220-9. [Crossref] [PubMed]
- Yao Y, Fareed R, Zafar A, et al. State-of-the-art combination treatment strategies for advanced stage non-small cell lung cancer. Front Oncol 2022;12:958505. [Crossref] [PubMed]
- Chang S, Shim HS, Kim TJ, et al. Molecular biomarker testing for non-small cell lung cancer: consensus statement of the Korean Cardiopulmonary Pathology Study Group. J Pathol Transl Med 2021;55:181-91. [Crossref] [PubMed]
- Zhao F, Zhao Y, Ye Z, et al. Integrating radiomics features and CT semantic characteristics for predicting visceral pleural invasion in clinical stage Ia peripheral lung adenocarcinoma. Discov Oncol 2025;16:780. [Crossref] [PubMed]
- Xu J, Zhang K, Chen H, et al. Squamous cell carcinoma predicts worse prognosis in stage IA (≤ 2 cm) non-small cell lung cancer patients following sublobectomy: a population-based study. Sci Rep 2024;14:30998. [Crossref] [PubMed]
- Gayen S. Malignant Pleural Effusion: Presentation, Diagnosis, and Management. Am J Med 2022;135:1188-92. [Crossref] [PubMed]
- Asciak R, Rahman NM. Malignant Pleural Effusion: From Diagnostics to Therapeutics. Clin Chest Med 2018;39:181-93. [Crossref] [PubMed]
- Karpathiou G, Froudarakis M, Forest F, et al. Frozen Sections in Pleural Pathology: A Valuable Tool. Respiration 2017;94:45-51. [Crossref] [PubMed]
- Lim JU, Oh J, Kim HW, et al. Factors associated with discrepancy between fresh frozen and permanent biopsy from medical thoracoscopy: single center analysis of 172 medical flexible thoracoscopy cases. J Thorac Dis 2020;12:7164-73. [Crossref] [PubMed]
- Mitsudomi T, Tan D, Yang JC, et al. Expert Consensus Recommendations on Biomarker Testing in Metastatic and Nonmetastatic NSCLC in Asia. J Thorac Oncol 2023;18:436-46. [Crossref] [PubMed]
- Aggarwal C, West HJ. Molecular Marker Testing in Curable Non-Small Cell Lung Cancer-Practice Necessarily Precedes Data. JAMA Oncol 2023;9:758-60. [Crossref] [PubMed]
- Zhang Y, Sun Y, Pan Y, et al. Frequency of driver mutations in lung adenocarcinoma from female never-smokers varies with histologic subtypes and age at diagnosis. Clin Cancer Res 2012;18:1947-53. [Crossref] [PubMed]
- Li H, Pan Y, Li Y, et al. Frequency of well-identified oncogenic driver mutations in lung adenocarcinoma of smokers varies with histological subtypes and graduated smoking dose. Lung Cancer 2013;79:8-13. [Crossref] [PubMed]
- Caso R, Sanchez-Vega F, Tan KS, et al. The Underlying Tumor Genomics of Predominant Histologic Subtypes in Lung Adenocarcinoma. J Thorac Oncol 2020;15:1844-56. [Crossref] [PubMed]
- Moreira AL, Ocampo PSS, Xia Y, et al. A Grading System for Invasive Pulmonary Adenocarcinoma: A Proposal From the International Association for the Study of Lung Cancer Pathology Committee. J Thorac Oncol 2020;15:1599-610. [Crossref] [PubMed]
- Ruan Y, Cao W, Han J, et al. Prognostic impact of the newly revised IASLC proposed grading system for invasive lung adenocarcinoma: a systematic review and meta-analysis. World J Surg Oncol 2024;22:302. [Crossref] [PubMed]
- Takeno N, Tarumi S, Abe M, et al. Lung adenocarcinoma with micropapillary and solid patterns: Recurrence rate and trends. Thorac Cancer 2023;14:2987-92. [Crossref] [PubMed]

