Clinical characteristics of hospitalized lung cancer patients with concomitant idiopathic pulmonary fibrosis: a retrospective cohort study
Highlight box
Key findings
• This study analyzed the clinical characteristics of hospitalized lung cancer (LC) patients with concomitant idiopathic pulmonary fibrosis (IPF) and explored potential prognostic factors for overall survival.
What is known and what is new?
• LC is a common comorbidity in patients with IPF. However, early-stage IPF can be insidious and often presents without obvious symptoms, leading to delayed diagnosis of IPF. Among IPF patients, squamous cell carcinoma (SCC) is the most frequently reported type of LC.
• For most of the patients (70.7%) in our study, IPF and LC were simultaneously diagnosed. Moreover, the treatment of LC was given priority, while the treatment for IPF was neglected in most cases. Adenocarcinoma was the most common type of LC, followed by SCC and small cell LC. Multivariable Cox regression analysis results showed that adenocarcinoma was an independent favorable prognostic factor for overall survival, after adjustment for cancer stage. The progression of LC and IPF were both the main causes of death.
What is the implication, and what should change now?
• Increased attention is warranted for the diagnosis and treatment of IPF in LC patients.
• Surgical resection of LC was associated with improved survival in these patients. Early diagnosis of LC should be actively pursued in patients with IPF.
Introduction
Idiopathic pulmonary fibrosis (IPF) shares several pathogenic mechanisms with lung cancer (LC), including genetic and epigenetic alterations, metaplasia, and hyperproliferation in alveolar type II epithelial cells (1,2). After adjusting for smoking, IPF conveys a fivefold increase in the risk of developing LC (1,3). Approximately one in 10 patients with IPF developed LC, with a typical prevalence ranging from 4.4% to 13% (1,4,5) based on data from single-center cohort and population-based cohort studies, and up to 48% as reported in one autopsy study (6). The cumulative incidence of LC in IPF patients was estimated to be 41% after 1 year and 82% after 3 years of follow-up for IPF in a single-center cohort study (5). Moreover, the prevalence of LC was higher in patients with combined pulmonary fibrosis and emphysema (CPFE) who had a usual interstitial pneumonia (UIP) pattern compared to those with IPF alone (7,8). As antifibrotic agents such as pirfenidone or nintedanib prolong the survival of IPF patients (9,10), the prevalence of LC in IPF is expected to increase further. On the other hand, the widespread application of targeted therapy and immunotherapy in LC has significantly improved the prognosis of patients with late-stage LC (11). However, interstitial lung diseases (ILDs), including IPF, are well-known risk factors for treatment-associated ILDs in LC patients receiving immunotherapy and/or targeted therapy, and are generally considered relative contraindications for these therapies (12). As a result, physicians are facing significant challenges in managing LC in IPF patients.
In order to investigate real-world data of LC patients with concomitant IPF (LC-IPF), we conducted a retrospective analysis of hospitalized LC patients from January 2014 to December 2021. Our primary objectives included examining the clinical characteristics of these patients, elucidating the current management practices and overall survival outcomes in LC-IPF patients. Additionally, we discussed potential strategies to improve the prognosis of this patient population based on the experiences from our center. We present this article in accordance with the STROBE reporting checklist (available at https://jtd.amegroups.com/article/view/10.21037/jtd-2025-711/rc).
Methods
Patients
Between January 2014 and December 2021, a total of 13,085 patients with pathology-confirmed LC were admitted to Peking Union Medical College Hospital. We only include hospitalized patients because the inpatient medical records were more detailed than the outpatient medical records. The medical records and chest computed tomography (CT) images of these patients were reviewed by ILD specialists, and LC-IPF patients with complete clinical and radiological records were included in this study. After two researchers (R.C. and H.H.) conducted a thorough review of the medical records (including pathological reports) and chest CT images stored in the hospital’s data bank, 509 LC patients with concomitant ILD (LC-ILD) were identified. When the diagnosis of IPF was established before or at the time of LC diagnosis, the cases were classified as LC with concomitant IPF (LC-IPF). Finally, 92 patients with LC-IPF were enrolled in our study after multidisciplinary discussion (Figure 1 illustrates the study flow chart). The final follow-up date was December 31, 2023. This study was conducted in accordance with the Declaration of Helsinki and its subsequent amendments. The study was approved by the institutional ethical review board of Peking Union Medical College Hospital (No. K4327). Given the retrospective nature of the study and the use of anonymized data, the requirement for written informed consent was waived by the institutional ethical review board.
Definitions
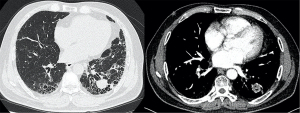
Chest CT images were reviewed by two pulmonologists and one radiologist in a blinded manner. Diagnosis of ILD was based on the presence of hallmark manifestations on chest CT (13,14), including honeycombing, traction bronchiectasis/bronchiolectasis, reticulation, ground-glass opacification, and consolidations. Reticulation, ground-glass opacification and consolidations are typically diffusely or patchily distributed in both lungs, with a subpleural or peribronchovascular predominance. The diagnostic criteria for IPF were in accordance with the updated IPF guidelines (15). The high-resolution CT (HRCT) patterns were classified as the UIP pattern or the probable UIP pattern accordingly (15). Typical CT images are presented in Figure 2. Acute exacerbation (AE) of IPF was defined according to the criteria proposed by the 2016 International Working Group Report (16).
Emphysema was identified as a region of low attenuation not bounded by visible walls on the CT image (8,13). The classification criteria of CPFE clinical syndrome, as proposed by Cottin et al. (8), were utilized in the study.
Statistical analysis
The data were analyzed using the SAS version 9.4 software package (SAS Institute Inc., SAS Campus Drive, Cary, North Carolina 27513, USA). GraphPad Prism version 8.0 (GraphPad Software, San Diego, CA, USA) was used for graphing. Continuous variables were presented as means ± standard deviation (SD) or medians with interquartile ranges (IQRs), while categorical variables were presented as frequencies and percentages. The t-test or rank sum test was employed for continuous variables, and the Chi-squared test was used for categorical variables. A two-sided P value <0.05 was considered statistically significant. Kaplan-Meier survival curves were plotted to illustrate survival outcomes. Patients who were lost to follow-up were censored at their last known follow-up date. Cox regression analysis was conducted to identify the variables associated with survival. In the survival analysis, each treatment modality (such as surgery, chemotherapy, immunotherapy) was included as a binary variable indicating whether or not the patient received that type of therapy. Variables that were statistically significant in univariate analysis were further evaluated by multivariate analysis. We assessed multicollinearity among independent variables using variance inflation factors (VIFs). All VIFs were below 2, indicating no significant multicollinearity. We tested the proportional hazards assumption by including time-dependent covariate interactions in the Cox model. No significant violations were detected.
Results
Overall patient characteristics
In total, 92 LC-IPF patients were included in this study. There were 87 males (94.6%) and 5 females (5.4%). The average age at the diagnosis of LC was 67.99±7.51 (range: 49–89) years, and the majority (79 patients, 85.9%) were older than 60 years. The median body weight was 70 (IQR 61.5, 75) kg (range: 36–95 kg), and the median body mass index (BMI) was 23.9 (IQR 21.6, 25.5) kg/m2 (range: 14.9–32.1 kg/m2). Most of these patients (82 patients, 89.1%) had a smoking history. Among them, 41 patients were current smokers and 41 patients were ex-smokers. The median smoking index was 40 (IQR 25, 60) pack-years. Emphysema was detected by chest CT imaging in 69 patients (75.0%), and 32 patients had CPFE syndrome. Only 6 patients (6.5%) had clubbing. There were 51 LC-IPF patients (55.4%) having one or more comorbidities, including chronic obstructive pulmonary disease (7 cases), pulmonary embolism (1 case), obstructive sleep apnea (1 case), gastroesophageal reflux disease (2 cases), coronary heart disease (14 cases), cerebral infarction (4 cases), hyperlipidemia (5 cases), diabetes mellitus (15 cases), hypertension (29 cases), and chronic kidney disease (1 case). There were 3 patients having history of another cancer before they were diagnosed with LC, including colon cancer (1 case), prostate cancer (1 case), and bladder cancer (1 case).
IPF was diagnosed prior to LC diagnosis in 27 (29.3%) patients. For the other 65 patients, IPF and LC were simultaneously diagnosed.
IPF characteristics
Review of the HRCT images of patients revealed 63 cases of UIP pattern and 29 cases of probable UIP pattern in this cohort. Among them, six patients received a histopathological diagnosis of UIP following surgical resection of LC along with the surrounding lung tissues. Pulmonary function tests (PFTs) are essential for evaluating the severity of IPF. In our cohort, 66 patients were arranged for PFTs. Among them, 53 patients underwent complete PFTs (spirometry, lung volumes, and diffusing capacity), and 13 patients only had the spirometry test as part of the pre-operation evaluation. The average forced vital capacity (FVC) was 80.2%±20.4% predicted (range: 44–140%), and the average diffusing capacity of the lung for carbon monoxide (DLCO) was 44.6%±13.6% predicted (range: 18–79%, adjusted for hemoglobin). The ratio of forced expiratory volume in 1 second to FVC [forced expiratory volume in 1 second (FEV1)/FVC] for 7 patients was <70%. Pulse oxygen saturation (SpO2) is a simple and convenient measurement to reflect the severity of pulmonary function impairment. At the diagnosis of LC, the average SpO2 at rest was 94.33%±2.43%, and 9 LC-IPF patients had a SpO2 lower than 90% at rest. There were 20 patients (21.7%) receiving nasal cannula oxygenation (2–4 L/min) because of hypoxia. After IPF diagnosis, 11 patients received high-dose N-acetylcysteine, 6 patients were prescribed antifibrotics (pirfenidone in 3 cases and nintedanib in the other 3 cases), 3 patients received corticosteroids (combined with azathioprine in one case), and 2 patients were treated with traditional Chinese medicine.
LC characteristics
LC was confirmed by pathological diagnosis in all 92 LC-IPF patients, using bronchoscopy in 40 cases, percutaneous lung biopsy in 27 cases, surgical resection in 18 cases, pleural effusion cytology in 4 cases, cervical lymph node biopsy in 2 cases, and bone biopsy in 1 case. From January 2014 to December 2021, there were 13,085 hospitalized LC patients, including 9,815 (75.0%) patients with adenocarcinoma, 1,661 (12.7%) patients with squamous cell carcinoma (SCC), 1,042 (7.96%) patients with small cell LC (SCLC), 173 (1.3%) patients with non-small cell lung neuroendocrine neoplasms (NSCNENs) (including large cell neuroendocrine carcinomas and lung carcinoids), and 394 (3.0%) patients with other types of non-small cell LCs (NSCLCs) such as adenosquamous carcinomas, sarcomatoid carcinomas, and large cell carcinomas. Among the 92 LC-IPF patients, there were 35 cases of adenocarcinoma [38% (35/92) of LC-IPF cases, 0.4% (35/9,815) of all adenocarcinoma cases during this period], 29 cases of SCC [31.5% (29/92) of LC-IPF cases, 1.7% (29/1,661) of all SCC cases], 22 cases of SCLC [23.9% (22/92) of LC-IPF cases, 2.1% (22/1,042) of all SCLC cases], 4 cases of NSCNENs, and 2 cases of other NSCLCs. Most LC-IPF patients were diagnosed as late-stage LC, including 52 cases of stage IV and 24 cases of stage III. Among 70 NSCLC cases, 17 cases (24.3%) were poorly differentiated LC.
Surgical resection was performed in 18 LC-IPF patients. Three patients suffered from AE of IPF after the surgery, and all of them survived the AE. Eighteen patients had nonsurgical loco-regional therapy, including radiotherapy in 11 cases and percutaneous ablation in 7 cases. Medical therapies were the most commonly used treatment for LC in this study and included chemotherapy in 70 cases, immunotherapy in 20 cases, and targeted therapy in 14 cases (anlotinib in 12 cases, icotinib in one case, and afatinib in one case). Two patients only received palliative therapy after weighing risks and benefits. Among LC-IPF patients receiving immunotherapy, only one patient received immunotherapy (pembrolizumab) as first-line treatment for LC (SCC). Regarding treatment complications in the respiratory system, there were 3 cases of checkpoint inhibitor pneumonitis and 4 cases of radiation pneumonitis. The differences between resectable LC and nonresectable LC are listed in Table 1.
Table 1
| Characteristics | Total (n=92) | Surgical resection (n=18) | Non-surgical treatment (n=74) | P |
|---|---|---|---|---|
| Age at the diagnosis of LC (years) | 67.99±7.51 | 66.00±8.34 | 67.86±7.60 | 0.36 |
| Smoking history | 82 (89.1) | 16 (88.9) | 66 (89.2) | >0.99 |
| Smoking index (pack-years) | 40 [25, 60] | 40 [21, 60] | 40 [29, 60] | 0.78 |
| Emphysema (n/%) | 69 (75.0) | 14 (77.8) | 55 (74.3) | 0.82 |
| SpO2 (%) (mean ± SD) | 94.33±2.43 | 95.72±1.18 | 93.99±3.62 | 0.001 |
| Diagnostic chronology of LC and IPF (n/%) | ||||
| IPF diagnosis prior to LC diagnosis | 28 (30.4) | 7 (38.9) | 21 (28.4) | 0.39 |
| Simultaneous diagnosis | 64 (69.6) | 11 (61.1) | 53 (71.6) | 0.39 |
| Pathological patterns of LC (n/%) | ||||
| Adenocarcinoma | 35 (38.0) | 8 (44.4) | 27 (36.5) | 0.53 |
| SCC | 29 (31.5) | 7 (38.9) | 22 (29.7) | 0.45 |
| SCLC | 22 (23.9) | 1 (5.6) | 21 (28.4) | 0.06 |
| NSCNEN | 4 (4.3) | 1 (5.6) | 3 (4.1) | 0.78 |
| Others | 2 (2.2) | 1 (5.6) | 1 (1.4) | 0.36 |
| Antifibrotic medications | 6 (6.5) | 0 (0) | 6 (8.1) | 0.47 |
| Death | 31 (33.7) | 3 (16.7) | 28 (38.8) | 0.09 |
Data are presented as n (%) or mean ± SD, or median [IQR]. IPF, idiopathic pulmonary fibrosis; IQR, interquartile range; LC, lung cancer; NSCNEN, non-small cell lung neuroendocrine neoplasms; SCC, squamous cell carcinoma; SCLC, small cell lung cancer; SD, standard deviation; SpO2, pulse oxygen saturation.
Prognosis
The median follow-up period was 308 days (IQR 183–538 days, range 22–3,945 days) since the diagnosis of LC. Seventeen patients (18.5%) were lost to follow-up, and 31 patients died in this cohort during follow-up. The overall Kaplan-Meier survival curve is shown in Figure 3, with a median estimated survival period of 24.9 months (95% CI: 6.9–42.9 months). Eighteen patients died of LC progression, 9 patients died of IPF progression, 2 patients died of both LC and IPF progression, 1 patient died of pulmonary embolism, and 1 patient died of bleeding associated with colon cancer.
By Cox regression analysis, adenocarcinoma (HR 0.279, 95% CI: 0.105–0.742, P=0.01) and surgical resection of the tumor (HR 0.213, 95% CI: 0.061–0.744, P=0.02) were identified as independent favorable prognostic factors for survival (Table 2).
Table 2
| Variables | Univariate analysis | Multivariable analysis | |||||
|---|---|---|---|---|---|---|---|
| HR | 95% CI | P | HR | 95% CI | P | ||
| Adenocarcinoma | 0.230 | 0.087–0.608 | 0.003 | 0.279 | 0.105–0.742 | 0.01 | |
| Stage III–IV | 6.832 | 1.492–21.280 | 0.01 | ||||
| Surgical resection | 0.167 | 0.048–0.585 | 0.005 | 0.213 | 0.061–0.744 | 0.02 | |
CI, confidence interval; HR, hazard ratio.
Discussion
Smoking and concomitant emphysema are both risk factors for the development of LC in IPF patients (1,2). In our study, almost 90% of LC-IPF patients had a smoking history and 75% of patients had emphysema. As most cases of emphysema are associated with cigarette smoking, it is strongly recommended that IPF patients should abstain from smoking. IPF patients with greater disease severity and longer disease duration are more likely to have LC (17). The average SpO2 at rest in this cohort was 94.33±2.43%, and 9 LC-IPF patients had a SpO2 lower than 90% at rest, reflecting that a considerable portion of these patients had a moderate-to-severe degree of pulmonary function damage. As suggested by Karampitsakos et al., the prognosis of IPF patients with resectable LC is better than those with nonresectable tumors (18). Multivariable Cox regression analysis results in our study also showed that surgical resection of tumor was an independent favorable prognostic factor for overall survival. Therefore, we recommend that IPF patients undergo regular chest CT scans for the early detection of LC in order to have the opportunity for curative surgery. The United States Preventive Services Task Force recommends annual screening for LC with low-dose CT in pulmonary fibrosis patients with risk factors for LC (19). Although high concentrations of carcinoembryonic antigen have been reported in IPF patients without cancer, for IPF patients with elevated LC-associated serum tumor markers, we suggest repeating the chest CT scan every six months to screen for LC and other complications.
SCC was the most frequently reported type of LC in LC-IPF patients (20-22). In our study, adenocarcinoma was the most common type of LC, followed by SCC and SCLC. However, when compared with all LC cases (with or without IPF) during the same period, the percentage of concomitant IPF for adenocarcinoma, SCC, and SCLC was 0.4%, 1.7%, and 2.1%, respectively. In other words, SCLC and SCC patients were more likely to have IPF than adenocarcinoma. Moreover, multivariable Cox regression analysis results in our study showed that adenocarcinoma was an independent favorable prognostic factor for overall survival, after adjustment for cancer stage and surgical resection. The treatment of LC is typically individualized based on histopathological type, stage, patient’s performance status, and comorbidities, among other factors. Patient survival is influenced by a variety of variables. The impact of multiple confounding factors should be taken into consideration when interpreting the survival analysis data. In this study, surgical resection was associated with better prognosis. Surgical resection is generally performed in patients with early-stage LC who have a good performance status and few or mild comorbidities. These factors are also associated with better overall outcomes. Due to the retrospective nature of our study and a lost to follow-up rate of 18.5%, the survival analysis results should be interpreted cautiously. In addition, given that our study was conducted in a single tertiary hospital and all of the enrolled participants were hospitalized patients, the findings of our study may not be generalizable to broader populations. A multicenter, well-designed prospective study is warranted.
Previous studies have shown that the antifibrotic medications pirfenidone and nintedanib can slow the decline of pulmonary function in IPF patients, decrease the risk of AE of IPF, and improve the prognosis of IPF patients (23,24). Consequently, clinical practice guidelines listed antifibrotic agents as part of recommended treatments for IPF for the first time in 2015 (25), and in the updated 2022 guidelines, pirfenidone and nintedanib were the only two recommended pharmacological treatments for IPF (15). A recent study suggested that antifibrotic therapy was possibly associated with a reduced risk of LC development in patients with IPF (26). However, only a small portion (less than 5%) of LC-IPF patients in our study received antifibrotic drugs. Owing to the limited sample size, no statistically significant difference was observed between patients treated with antifibrotics and those who were not. There are several possible explanations for the undertreatment of IPF in this cohort. First, antifibrotic medications are expensive, imposing a high-cost burden on patients. The adoption of both pirfenidone and nintedanib in routine clinical practice in the United States has been low (26.4% in total) since these drugs were approved in 2014 (9). Pirfenidone and nintedanib were approved for the treatment of IPF by the China Food and Drug Administration (National Medical Products Administration) in 2015 and 2018, respectively. After they were covered by the public medical insurance around 2017 and 2018, respectively, patients still bear a relatively high amount of copayment. Since antifibrotics cannot reverse pulmonary fibrosis or improve patients’ symptoms significantly, many patients did not take the medicines with concerns about high cost, inadequate treatment efficacy and potential side effects. Second, adverse drug effects associated with pirfenidone and nintedanib might interfere with the adoption of these two medications. Gastrointestinal and skin-related adverse events have been frequently reported with pirfenidone usage (23), and diarrhea and loss of appetite are frequently reported with the use of nintedanib (24). LC treatment could also induce gastrointestinal discomfort and rashes. Most LC-IPF patients in our study were simultaneously diagnosed with both LC and IPF. Physicians and patients often prioritize LC treatment over IPF treatment. Therefore, to reduce potential adverse events, physicians may omit antifibrotic medications in the management of LC-IPF patients. Third, many of the LC-IPF patients were primarily managed by oncologists. Most of the oncologists were not familiar with the treatment of IPF between 2014 and 2021. Some doctors might worry about the interference of antifibrotics in the treatment of LC due to lack of relevant data. Nintedanib shares targets with anti-LC tyrosine kinase inhibitors (e.g., anlotinib, an inhibitor of vascular endothelial growth factor receptor and platelet-derived growth factor receptor), and combination therapy might increase the risks of potential adverse effects. It is noteworthy that a recent study has shown that nintedanib in combination with chemotherapy, which was well tolerated, improved the progression-free survival of NSCLC-IPF patients and improved overall survival in nonsquamous NSCLC-IPF patients (27). Karampitsakos et al. found a decrease in all-cause mortality in patients with LC-IPF who received antifibrotics compared to those who did not receive antifibrotics (18). Several small-scale retrospective cohort studies have suggested that pirfenidone might have a prophylactic effect against chemotherapy/immunotherapy-associated AE of IPF in NSCLC-IPF patients (28), and might reduce the risk of AE-IPF and death after surgery in LC-IPF patients (29,30). Therefore, we recommend prescribing pirfenidone or nintedanib for LC-IPF patients if the associated costs are affordable and the side effects are tolerable. This is especially the case for LC-IPF patients with planned surgical resection, as taking antifibrotics before surgery might decrease the risk and severity of perioperative AE-IPF. For LC-IPF patients who are not candidates for surgery, after considering possible drug interactions, antifibrotics combined with chemotherapy/targeted therapy/immunotherapy may improve the prognosis.
To the best of our knowledge, most previous studies have focused on the prevalence of LC among IPF patients. In contrast, our study analyzed the characteristics of LC-IPF patients among pathologically confirmed LC patients. It should be noted that for the majority of patients, the diagnoses of UIP or probable UIP pattern were primarily based on radiological manifestations. This approach could have introduced selection bias in the current study. A substantial portion of patients had subclinical and/or delayed diagnosis of IPF in our study, which deserves attention. Dry cough and/or exertional dyspnea are common clinical manifestations of IPF patients; however, these symptoms are also common clinical manifestations of chronic bronchitis, emphysema, and LC, among other conditions. Nonspecific and insidious symptoms, along with insufficient knowledge of IPF among primary care physicians and non-ILD physicians, could result in the diagnostic delay of IPF. Screening for pulmonary fibrosis was suggested for those with risk factors and those with exertional dyspnea, dry cough, Velcro crackles, or clubbed fingers (31).
Conclusions
Most of the LC-IPF patients were older males with a smoking history and emphysema. Underdiagnosis of IPF was not uncommon among LC-IPF patients, and a substantial portion of the IPF patients were not treated with antifibrotic drugs. Chemotherapy was the most common LC treatment for these patients. The progression of LC and IPF was both the main cause of death. Adenocarcinoma and surgical resection of the tumor were independent favorable prognostic factors for overall survival in this LC-IPF cohort.
Acknowledgments
None.
Footnote
Reporting Checklist: The authors have completed the STROBE reporting checklist. Available at https://jtd.amegroups.com/article/view/10.21037/jtd-2025-711/rc
Data Sharing Statement: Available at https://jtd.amegroups.com/article/view/10.21037/jtd-2025-711/dss
Peer Review File: Available at https://jtd.amegroups.com/article/view/10.21037/jtd-2025-711/prf
Funding: This research was funded by
Conflicts of Interest: All authors have completed the ICMJE uniform disclosure form (available at https://jtd.amegroups.com/article/view/10.21037/jtd-2025-711/coif). The authors have no conflicts of interest to declare.
Ethical Statement: The authors are accountable for all aspects of the work in ensuring that questions related to the accuracy or integrity of any part of the work are appropriately investigated and resolved. The study was conducted in accordance with the Declaration of Helsinki and its subsequent amendments. The study was approved by the institutional ethical review board of Peking Union Medical College Hospital (No. K4327). Given the retrospective nature of the study and the use of anonymized data, the requirement for written informed consent was waived by the institutional ethical review board.
Open Access Statement: This is an Open Access article distributed in accordance with the Creative Commons Attribution-NonCommercial-NoDerivs 4.0 International License (CC BY-NC-ND 4.0), which permits the non-commercial replication and distribution of the article with the strict proviso that no changes or edits are made and the original work is properly cited (including links to both the formal publication through the relevant DOI and the license). See: https://creativecommons.org/licenses/by-nc-nd/4.0/.
References
- Drakopanagiotakis F, Krauss E, Michailidou I, et al. Lung Cancer and Interstitial Lung Diseases. Cancers (Basel) 2024;16:2837. [Crossref] [PubMed]
- Tzouvelekis A, Gomatou G, Bouros E, et al. Common Pathogenic Mechanisms Between Idiopathic Pulmonary Fibrosis and Lung Cancer. Chest 2019;156:383-91. [Crossref] [PubMed]
- Brown SW, Dobelle M, Padilla M, et al. Idiopathic Pulmonary Fibrosis and Lung Cancer. A Systematic Review and Meta-analysis. Ann Am Thorac Soc 2019;16:1041-51. [Crossref] [PubMed]
- Hubbard R, Venn A, Lewis S, et al. Lung cancer and cryptogenic fibrosing alveolitis. A population-based cohort study. Am J Respir Crit Care Med 2000;161:5-8. [Crossref] [PubMed]
- Tomassetti S, Gurioli C, Ryu JH, et al. The impact of lung cancer on survival of idiopathic pulmonary fibrosis. Chest 2015;147:157-64. [Crossref] [PubMed]
- Matsushita H, Tanaka S, Saiki Y, et al. Lung cancer associated with usual interstitial pneumonia. Pathol Int 1995;45:925-32. [Crossref] [PubMed]
- Chen Q, Liu P, Zhou H, et al. An increased risk of lung cancer in combined pulmonary fibrosis and emphysema patients with usual interstitial pneumonia compared with patients with idiopathic pulmonary fibrosis alone: a systematic review and meta-analysis. Ther Adv Respir Dis 2021;15:17534666211017050. [Crossref] [PubMed]
- Cottin V, Selman M, Inoue Y, et al. Syndrome of Combined Pulmonary Fibrosis and Emphysema: An Official ATS/ERS/JRS/ALAT Research Statement. Am J Respir Crit Care Med 2022;206:e7-e41. [Crossref] [PubMed]
- Dempsey TM, Payne S, Sangaralingham L, et al. Adoption of the Antifibrotic Medications Pirfenidone and Nintedanib for Patients with Idiopathic Pulmonary Fibrosis. Ann Am Thorac Soc 2021;18:1121-8. [Crossref] [PubMed]
- Dempsey TM, Sangaralingham LR, Yao X, et al. Clinical Effectiveness of Antifibrotic Medications for Idiopathic Pulmonary Fibrosis. Am J Respir Crit Care Med 2019;200:168-74. [Crossref] [PubMed]
- Howlader N, Forjaz G, Mooradian MJ, et al. The Effect of Advances in Lung-Cancer Treatment on Population Mortality. N Engl J Med 2020;383:640-9. [Crossref] [PubMed]
- Ichimura T, Hinata M, Ichikura D, et al. Safety of immune checkpoint inhibitors in non-small-cell lung cancer patients with idiopathic interstitial pneumonia: a matched case-control study. Cancer Chemother Pharmacol 2022;89:21-30. [Crossref] [PubMed]
- Hall FM. Fleischner Society glossary of terms: infiltrates. Radiology 2008;248:1083. [Crossref] [PubMed]
- Travis WD, Costabel U, Hansell DM, et al. An official American Thoracic Society/European Respiratory Society statement: Update of the international multidisciplinary classification of the idiopathic interstitial pneumonias. Am J Respir Crit Care Med 2013;188:733-48. [Crossref] [PubMed]
- Raghu G, Remy-Jardin M, Richeldi L, et al. Idiopathic Pulmonary Fibrosis (an Update) and Progressive Pulmonary Fibrosis in Adults: An Official ATS/ERS/JRS/ALAT Clinical Practice Guideline. Am J Respir Crit Care Med 2022;205:e18-47. [Crossref] [PubMed]
- Collard HR, Ryerson CJ, Corte TJ, et al. Acute Exacerbation of Idiopathic Pulmonary Fibrosis. An International Working Group Report. Am J Respir Crit Care Med 2016;194:265-75. [Crossref] [PubMed]
- Jang HJ, Park MS, Kim YS, et al. The relationship between the severity of pulmonary fibrosis and the lung cancer stage. J Cancer 2021;12:2807-14. [Crossref] [PubMed]
- Karampitsakos T, Spagnolo P, Mogulkoc N, et al. Lung cancer in patients with idiopathic pulmonary fibrosis: A retrospective multicentre study in Europe. Respirology 2023;28:56-65. [Crossref] [PubMed]
- US Preventive Services Task Force. Screening for Lung Cancer: US Preventive Services Task Force Recommendation Statement. JAMA 2021;325:962-70. [Crossref] [PubMed]
- Ozawa Y, Suda T, Naito T, et al. Cumulative incidence of and predictive factors for lung cancer in IPF. Respirology 2009;14:723-8. [Crossref] [PubMed]
- Tzouvelekis A, Karampitsakos T, Gomatou G, et al. Lung cancer in patients with Idiopathic Pulmonary Fibrosis. A retrospective multicenter study in Greece. Pulm Pharmacol Ther 2020;60:101880. [Crossref] [PubMed]
- Yoon JH, Nouraie M, Chen X, et al. Characteristics of lung cancer among patients with idiopathic pulmonary fibrosis and interstitial lung disease - analysis of institutional and population data. Respir Res 2018;19:195. [Crossref] [PubMed]
- King TE Jr, Bradford WZ, Castro-Bernardini S, et al. A phase 3 trial of pirfenidone in patients with idiopathic pulmonary fibrosis. N Engl J Med 2014;370:2083-92. [Crossref] [PubMed]
- Richeldi L, du Bois RM, Raghu G, et al. Efficacy and safety of nintedanib in idiopathic pulmonary fibrosis. N Engl J Med 2014;370:2071-82. [Crossref] [PubMed]
- Raghu G, Rochwerg B, Zhang Y, et al. An Official ATS/ERS/JRS/ALAT Clinical Practice Guideline: Treatment of Idiopathic Pulmonary Fibrosis. An Update of the 2011 Clinical Practice Guideline. Am J Respir Crit Care Med 2015;192:e3-19. [Crossref] [PubMed]
- Yoon HY, Kim H, Bae Y, et al. Pirfenidone and risk of lung cancer development in idiopathic pulmonary fibrosis: a nationwide population-based study. Eur Respir J 2025;65:2401484. [Crossref] [PubMed]
- Otsubo K, Kishimoto J, Ando M, et al. Nintedanib plus chemotherapy for nonsmall cell lung cancer with idiopathic pulmonary fibrosis: a randomised phase 3 trial. Eur Respir J 2022;60:2200380. [Crossref] [PubMed]
- Yamamoto Y, Yano Y, Kuge T, et al. Safety and effectiveness of pirfenidone combined with carboplatin-based chemotherapy in patients with idiopathic pulmonary fibrosis and non-small cell lung cancer: A retrospective cohort study. Thorac Cancer 2020;11:3317-25. [Crossref] [PubMed]
- Kanayama M, Mori M, Matsumiya H, et al. Perioperative pirfenidone treatment for lung cancer patients with idiopathic pulmonary fibrosis. Surg Today 2020;50:469-74. [Crossref] [PubMed]
- Sekihara K, Aokage K, Miyoshi T, et al. Perioperative pirfenidone treatment as prophylaxis against acute exacerbation of idiopathic pulmonary fibrosis: a single-center analysis. Surg Today 2020;50:905-11. [Crossref] [PubMed]
- Spagnolo P, Ryerson CJ, Putman R, et al. Early diagnosis of fibrotic interstitial lung disease: challenges and opportunities. Lancet Respir Med 2021;9:1065-76. [Crossref] [PubMed]

