Modalities of follow-up after surgical plication for diaphragmatic paralysis
Highlight box
Key findings
• Diaphragm plication allowed a significant improvement of the Medical Research Council dyspnea score, persistent at 2 years. A correlation between chest X-ray measurements and dyspnea was found.
What is known and what is new?
• Diaphragm plication is an effective procedure to reduce dyspnea and to improve lung function in patients suffering from diaphragmatic paralysis. Modalities of follow-up are not established.
• This study showed that distance from apex to the diaphragmatic dome on inspiratory chest X-ray is correlated with dyspnea.
What is the implication and what should change now?
• Clinical evaluation and chest X-ray are sufficient for the follow-up after diaphragmatic plication. Computed tomography scan and spirometry should not be done systematically.
Introduction
Unilateral diaphragmatic paralysis (UDP) is defined as an elevated hemidiaphragm without loss of integrity and without active muscular movement. It originates from a peripheral lesion, i.e., phrenic nerve or muscle. This definition excludes diaphragmatic hernia, bilateral diaphragmatic eventration, central lesion or post-traumatic lesion above C3 and systemic pathology. The first case was described by Petit in 1774, and the first surgical repair was performed in 1923 by Morrison (1). UDP can be asymptomatic, and diagnosis is done incidentally on chest X-ray. Thus, incidence is difficult to evaluate. In 1959, Christensen reported on a mass radiography study in a county of Denmark. A number of 38 cases of UDP were diagnosed in a whole population of 107,778 adults (0.04%) (2). Recently, an incidence of 0.05% was reported by Beshay et al. for acquired UDP (3). The prominent symptom of UDP is dyspnea, increased by exercise and supine position, and consequently impairment of daily activities. In diaphragmatic eventration, movement of the diaphragm can be absent, diminished or paradoxical, which leads to dyspnea due to diminution of pleural space, pulmonary compression with atelectasis, preferential pulmonary perfusion on the contralateral lung and cardiac compression (4-7).
Treatment of symptomatic UDP is surgical diaphragmatic plication. The goal is to return the diaphragm to its normal position so as to improve pleural space and suppress paradoxical movement, and thus to improve patients’ dyspnea. Numerous clinical studies have reported sustained clinical benefits of surgery on patients’ respiratory condition (8-14). However, there are no established guidelines for post-operative follow-up to monitor recurrence, and many patients do not receive clinical or radiologic surveillance after the initial recovery period. In a study of 85 patients who underwent surgery for UDP, Kosse et al. (15) found that 23% of patients were lost to follow-up for spirometry at 3 months, and 47% at one year. Thus, the aim of this study is to evaluate long-term results of diaphragmatic plication, and to delineate follow-up modalities. We present this article in accordance with the STROBE reporting checklist (available at https://jtd.amegroups.com/article/view/10.21037/jtd-2025-427/rc).
Methods
Study population
We conducted a retrospective study on patients operated for a diaphragm plication for UDP between January 2006 and December 2021 at the Lyon University Hospital (France). All patients consecutively operated for a UDP were included in the study, even after prior thoracic or cardiac surgery. Exclusion criteria were minor patients, and patients presenting diaphragmatic rupture. All patients received a standardized evaluation that included a history and physical examination including the Medical Research Council (MRC) assessment of dyspnea score (16). Diagnosis of UDP was suspected on chest X-ray and confirmed by fluoroscopy or ultrasonography (US) of the cupola with sniff test. Before considering surgery, work-up was completed with computed tomography (CT) and pulmonary spirometry in sitting position and vital capacity (VC) in supine position.
Ethical statement
The study was conducted in accordance with the Declaration of Helsinki and its subsequent amendments. This observational study was approved on September 19, 2024, by the Medical Ethics Research Committee of the Hospices Civils of Lyon (No. 24_5279). Informed consent was taken from all the patients.
Data collection
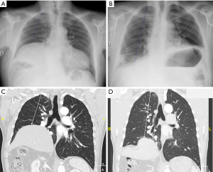
The following parameters were collected from the medical records at diagnosis: age, sex, body mass index (BMI), American Society of Anesthesiologists (ASA) physical status score, medical history: arrhythmia, coronaropathy, chronic obstructive pulmonary disease (COPD), pulmonary embolism, previous thoracic or cardiac surgery, smoking behavior, symptoms related to UDP. Evaluation of MRC was performed by the practician during the pre-operative consultation, according to the level of exercise possible for patients (from strenuous exercise to dressing). All radiologic exams were reviewed by an expert thoracic radiologist. Distance from apex (the upper edge of the first rib) to the top of the diaphragmatic dome [distance from apex to diaphragm (A-D)] was measured on chest X-ray in inspiration and on CT (in a coronal view at the carina level, 5 mm thickness in parenchymal window) (Figure 1). These static measurements were recorded pre-operatively. From pulmonary spirometry, we recorded pre-operatively, in sitting position: forced expiratory volume in one second (FEV1), VC, total pulmonary capacity (TPC) and residual volume (RV) and in supine position only VC. During hospitalization, the following parameters were collected: surgical technique, length of surgery, per-operative complication(s), time to chest tube ablation, length of hospital stay, incidence of complications before hospital discharge or in the 90 days after surgery according to the Clavien-Dindo classification. During follow-up, we recorded: clinical evaluation of dyspnea according to MRC dyspnea scale spirometry data, measurements on chest X-ray and measurements on CT. Patients lost to follow-up after their first post-operative consultation were contacted telephonically and invited to come for a consultation at our institution, where dyspnea score and clinical evaluation were done. Chest X-ray, CT and spirometry were performed during this consultation. Median time of follow-up was 19 months.
Surgical procedure
Surgery was performed by lateral thoracotomy through the 7th or 8th intercostal space, under general anesthesia, with single lung ventilation. In all cases, a nasogastric tube was inserted to empty the stomach. The diaphragm was sutured with or without opening it. Plication of the posterior portion of the diaphragm in an anteroposterior direction, forming an inverted fold toward the abdominal cavity was performed with series of parallel interrupted U-stitches with non-absorbable pledgeted sutures until it became taut and flat. Care was exerted to avoid injuring abdominal viscera with the sutures.
Endpoints
The primary endpoint of this study was to evaluate the benefit of surgery on dyspnea according to MRC dyspnea scale.
The secondary endpoints were the evaluation of the benefit of surgery on VC and the effect of surgery on A-D measurements on chest X-ray and on CT, and its correlation with improvement of dyspnea and spirometry.
Statistical analysis
Results were expressed as mean ± standard deviation (SD), median, or number (percentage) for continuous and categorical variables, respectively. The distribution of continuous variables was assessed for normality using the Shapiro-Wilk test and visual inspection (histograms and Q-Q plots) to guide the selection of appropriate statistical tests. Continuous and dichotomous variables were analyzed using the Fisher’s exact test and non-parametric test (Wilcoxon rank test). Correlations between dyspnea and chest X-ray and between dyspnea and VC were evaluated by the Spearman’s correlation test. A P value <0.05 was considered significant. All statistical analyses were performed using SPSS, version 18.0 (SPSS, Inc., Chicago, IL, USA). Losses to follow-up were not included in the statistical analyses.
Results
Patients’ characteristics
Twenty-three patients were included in this study (Figure 2). Fourteen (60%) of them were women (Table 1), mean age was 60±13 years with a mean BMI of 29.7±4 kg/m2. 5 patients (22%) had chronic obstructive pulmonary bronchitis and 3 (13%) had associated sleep apnea syndrome. Etiology of UDP was idiopathic for 14 patients (61%), 3 patients (13%) had a history of cardiac or thoracic surgery, with a UDP consecutive to this surgery, and UDP was post-traumatic in 6 patients (26%). All the patients presented dyspnea at diagnosis. Nine patients (39%) had chest pain, 6 patients (26%) complained of abdominal discomfort (eructation, gastro-esophageal reflux, dysphagia). Patients submitted to fluoroscopy or US demonstrated a paralyzed diaphragm. All patients exhibited a restrictive pattern at spirometry with a significant decrease of VC in supine position from 71.2%±18.7% (2.5 liters) to 59%±26.5% (2.1 liters). Mean difference was 12.2% (P=0.002).
Table 1
| Characteristics | Data |
|---|---|
| Age (years) | 59.96±13.26 |
| Female sex | 14 [60] |
| Body mass index (kg/m2) | 29.7±4.08 |
| Left side | 12 [53] |
| Smokers (previous or current) | 14 [60] |
| Hypertension | 9 [39] |
| COPD | 5 [22] |
| Sleep apnea syndrome | 3 [13] |
| Coronaropathy | 2 [9] |
| Previous cardiac surgery | 2 [9] |
| Previous thoracic surgery | 4 [17] |
| Etiology of diaphragmatic eventration | |
| Idiopathic | 14 [61] |
| Iatrogenic | 3 [13] |
| Post-traumatic | 6 [26] |
| Symptoms at diagnosis | |
| Dyspnea | 23 [100] |
| Acute respiratory syndrome | 5 [22] |
| Pneumopathy | 2 [9] |
| Chest pain | 9 [39] |
| Cough | 2 [9] |
| Abdominal discomfort | 6 [26] |
| FEV1, % | 65.39±14.77 |
| VC sitting, % | 71.17±18.66 |
| VC supine, % | 59.00±26.5 |
| TPC, % | 81.57±15.49 |
| RV, % | 105.49±21.15 |
Data are presented as n [%] or mean ± SD. COPD, chronic obstructive pulmonary disease; FEV1, forced expiratory volume in one second; RV, residual volume; SD, standard deviation; TPC, total pulmonary capacity; VC, vital capacity.
Surgical procedure
Anesthesia was induced and maintained with total intravenous anesthesia: propofol via target-controlled infusion with the recommendation to maintain bispectral index values between 40 and 60 and intermittent intravenous boluses of sufentanil (0.2 µg/kg) and rocuronium bromide (0.6 mg/kg) as clinically required. In addition to general anesthesia, all patients received loco-regional analgesia: thoracic epidural anesthesia (15 cases) or paravertebral block with ropivacaine, according to the attending physician. Patients were extubated as soon as possible in order to reduce pulmonary infections favored by mechanical ventilation, particularly in patients with compromised respiratory function.Twenty-one patients (91%) had a phrenoplasty without opening the diaphragm. Two patients had diaphragm resection and, for one of them, diaphragm reinforcement with a Gore-Tex® prosthesis (W.L.Gore & Associates, Flagstaff, AZ, USA). Three of them had an associated procedure: for two patients, a pulmonary nodule was found during surgery and resected for diagnosis. In the first case, it was a rheumatoid nodule, and a silicotic adenopathy for the second patient. One patient investigated for diaphragmatic paralysis was found to have a lung tumor. After complete workup, a segmentectomy of the right upper lobe for squamous cell carcinoma was associated to phrenoplasty. Mean surgery time was 105 minutes. After surgery, length of hospital stay was 7.7±5 days. Mean time to chest tube ablation was 3.4±1.6 days. No deaths occurred in this series, but 3 patients (13%) suffered an early complication Clavien-Dindo more than 2: two patients had a technical failure necessitating an early redo surgery within 5 days and 1 patient presented atelectasis with necessity of bronchoscopy. We never observed digestive injury. During the follow-up, two patients (8.7%) presented aggravation of gastroesophageal reflux, one of them requiring anti-reflux surgery. This abdominal discomfort was probably due to overcorrection of the diaphragm. No patient in this series experienced a dehiscence of their plication during the follow-up period.
Benefit of surgery
MRC scale was evaluated at 6 months and at last follow-up with a median time to last follow-up evaluated at 21 months. We observed a statistically significant (P<0.01) amelioration of dyspnea according to MRC scale, persistent at follow-up with 43% MRC 0 at 6 months and 48% at last follow-up, and no more patients presenting a dyspnea MRC 3 or 4 at last follow-up (Figure 3). This improvement was also observed with spirometry. Spirometry was evaluated at 6 months and at last follow-up. Median time to last follow-up was evaluated at 19.17 months. We observed a statistically significant improvement of FEV1 at 6 months and VC in sitting position at 6 months persistent at last follow-up. FEV1 increased from 65.4%±14.8% (1.81 L) at diagnosis to 73.8%±12.9% (2.1 L) at 6 months (P=0.03) and to 78%±16.9% (2.86 L) at remote (P=0.14). This improvement was statistically significant at 6 months, but not at last follow-up. VC increased from 71.2%±18.7% (2.5 L) at diagnosis to 81.1%±17.5% (2.17 L) at 6 months (P=0.007) and 88.1±19.4% (3.13 L) at last follow-up (P=0.03) (Figure 4).
On chest X-ray (Figure 5) we observed a statistically significant augmentation of the distance A-D from 12±3.2 cm at diagnosis to 19±2.8 cm at 6 months (P=0.001). These results were persistent at last follow-up with an A-D distance at 17.9±3.59 cm (P=0.001), and no recurrence of diaphragmatic eventration was observed. This improvement was similarly found on CT with an increased distance A-D from 10.3±2.68 cm at diagnosis to 16.3±2.6 cm (P=0.001) at last news. Median time to last evaluation of measurement on chest X-ray and CT was 20 months. There was no statistically significant correlation between the distance A-D on chest X-ray and VC measurements in sitting position (correlation coefficient was 0.406, P=0.055) or in supine position (correlation coefficient was −0.508, P=0.09), but there was a statistically significant correlation between the distance A-D and dyspnea with a correlation coefficient of −0.578 (P=0.004).
Discussion
UDP is an underdiagnosed situation. Its leading symptom is dyspnea, and more specifically orthopnea. In our series, left diaphragmatic paralysis was slightly predominant, probably because of the high number of post-traumatic or iatrogenic traumatic causes. In particular, the left phrenic nerve can be damaged by left internal mammary artery harvesting, frequently used for cardiac revascularization. Diagnosis is confirmed by dynamic imaging techniques to assess diaphragm motion, and these include fluoroscopy, a traditional, widely available technique, or US, with in both cases a sniff test showing either absence of diaphragmatic movement, or paradoxical elevation of diaphragm (17). Evaluation was completed by chest CT, which showed a unilateral elevation of the diaphragm and its consequences, such as atelectasis and mediastinal deviation. CT allows the search of a compression of the phrenic nerve by cervical or thoracic disease, the verification of the integrity of the diaphragm and the search of a differential diagnosis for an elevated hemidiaphragm. More recently, dynamic magnetic resonance imaging (MRI) (18) has been shown to be an appropriate tool to evaluate diaphragm shape and motion and to follow its evolution over time. Evaluation was completed with spirometry, showing restrictive pulmonary disease (19) aggravated by supine position, which was observed in all our patients. Decrease of VC in supine position of more than 20% is a strong argument for diaphragmatic paralysis. Versteegh et al. (11) demonstrated a 32% decrease of VC from sitting to supine positions before diaphragm plication in a group of 22 patients. Moreover, they pointed out that the decline of VC after changing positions was correlated with a better result of diaphragm plication at follow-up.
Treatment of UDP must start by treatment of other causes of dyspnea, before addressing patients to surgery. Phrenic nerve impairment is usually acquired and caused by neck or intrathoracic nerve compression, iatrogenic factors (mainly cardiac and thoracic surgery), high velocity road traffic accident, traumatic first rib or clavicle fracture, or infection (such as Herpes-Zoster or pneumonias). When no clear etiology can be pointed out, patients are included in the idiopathic group. When UDP is iatrogenic or post-traumatic, a delay of 1 to 2 years must be respected, due to the potential recovery of diaphragm paralysis (20). Initial management focuses on lifestyle modifications including weight loss, inspiratory muscle training and pulmonary rehabilitation. Diaphragmatic plication is reserved for patients who failed conservative therapy and have dyspnea invalidating their daily activities. Phrenic nerve stimulation is an option when diaphragmatic paralysis originates from a central lesion or from a post-traumatic lesion above C3. This technique requires the phrenic nerve itself to be preserved, and is not a therapeutic option in case of UDP. Diaphragm plication is a standard technique to treat diaphragmatic eventration, but only a limited number of reports were published, most of them with a small number of patients (8,11,12,15,21). It must be done exclusively for symptomatic patients despite medical therapy and pulmonary rehabilitation. The objective of this surgery is to return the flaccid diaphragm to its normal position, allowing lung re-expansion, recruitment of lung volume involved in gas exchange, and reduction of paradoxical diaphragmatic movement, thus improvement of dyspnea. Numerous series (3,8,10-12,21) have found significant improvement in patients’ respiratory status with low associated morbidity, and diaphragm plication has become the accepted treatment of UDP. Diaphragm plication through standard thoracotomy is still the most commonly performed technique and, in our center, surgery was usually performed through lateral thoracotomy (22). Minimally invasive plication with video-assisted thoracoscopic surgery (VATS) was first described in the year 2005 by Mouroux and colleagues (9), showing feasibility of this technique. This procedure has gained progressive acceptance and several studies have shown comparable results between minimally invasive technique (robot or VATS) and thoracotomy on dyspnea and spirometry (10,14,23). Moreover, recently, Beshay et al. (3) demonstrated that diaphragm plication using VATS reduces both post-operative pain and length of hospital stay compared to thoracotomy. Considering these strong arguments, we are now evolving toward minimally invasive surgery, favored by the acquisition of a robotic surgical system in 2023.
In this study, we showed a statistically significant improvement of dyspnea according to the MRC dyspnea scale. This improvement of dyspnea was consistent with a statistically significant improvement between pre-operative and post-operative values of FEV1 and VC, persistent at last follow-up with a median time of follow-up of 19 months. This is in keeping with other studies, showing a long-lasting improvement of dyspnea up to 10 years of follow-up (3,4,8). Thus, in selected patients, surgical treatment of UDP is a safe option with good clinical long-term results. In our series, the majority of patients no longer had clinical follow-up after 6 months. Six patients had no clinical evaluation, ten patients (43.5%) had no chest X-ray measurement, six patients (26.1%) had no CT measurement and eleven patients (47.8%) had no spirometry evaluation. Thus, we had to contact patients for repeated clinical evaluation, CT and spirometry to totalize a follow-up of at least 2 years when possible. This real-life observation highlights the absence of recommendations on type and frequency of investigations needed during follow-up.
In our study, measurement of the distance A-D was done in the pre-operative setting, and repeated at 6 months and at last follow-up on chest X-ray and at last follow-up on CT in a standardized fashion and by an experimented thoracic radiologist. We hypothesized that significant increase of the A-D distance may be positively correlated to post-operative dyspnea and/or VC improvement, and that repeated measurements could be sufficient during follow-up. For VC measurements, it was not the case and correlation was not found statistically significant with VC values, whereas there was a significant improvement of spirometry after surgery. This might be explained by the lack of power of our study, with a population of only 23 patients, with 47.8% of them who did not achieve a 2 years follow-up. Pulmonary function tests appear to be an unreliable tool to evaluate diaphragm function and do not correlate well with dyspnea, and studies have reported symptomatic relief for patients after diaphragm plication with small changes of spirometric lung volume (8,11,15,21). This discrepancy was analyzed by Welvaart et al. (24) on a series of nine patients submitted to cardiopulmonary exercise tests before and after diaphragm plication. Patients experienced an increase in tidal volumes and a decrease in respiratory frequency for any exercise level after diaphragm plication. Authors suggest that, since respiratory frequency is a main determinant of dyspnea sensation, reduced frequency could explain the symptomatic relief. Conversely, our study has shown a positive correlation between dyspnea and the distance A-D on chest X-ray and this correlation has, to our knowledge, never been evaluated specifically. Beshay et al. (3) compared the position of the diaphragm before and after surgery in a cohort of 134 patients submitted to diaphragm plication; 125 patients (93%) reached a position of the plicated diaphragm on the chest X-ray described as excellent, similar to the contralateral cupola, but correlation between these measurements and the amelioration of dyspnea or spirometry was not assessed. Patel et al. (25) evaluated the hypothesis that patients with important elevation of a paralyzed diaphragm had better results after surgery compared to their counterparts with moderate elevation. They failed to demonstrate that patients with higher degrees of static hemidiaphragm elevation had significantly greater improvement of pulmonary function tests after surgery, and these measurements were not used for follow-up.
Data from our series, i.e., that imaging measurements are correlated with post-operative improvements of dyspnea score but not with VC, suggest that follow-up could be done only by evaluation of dyspnea, clinical examination and chest X-ray. Chest X-ray seems to be an effective and non-expensive tool to follow patients operated for a diaphragm plication. In case of stable A-D measurements, recurrence of UDP, a rare event of an otherwise benign condition, can be reasonably excluded.
This study has some limitations and our findings should be interpreted with caution since this is a single-center, retrospective, non-controlled study with an extended data collection timeframe. Because of this last point, management in the operating room and in the post-operative period may have changed during the study. However, during this fifteen-year period, surgery was made in a standardized fashion through lateral thoracotomy and single ventilation. Moreover, the size of the population is small, limiting the power of the study. Conversely, this series permitted to confront patients’ dyspnea improvement with objective data, i.e., pulmonary function test and radiologic measurements to delineate the most accurate tool for follow-up.
Conclusions
Diaphragm plication is an effective procedure to reduce dyspnea and to improve lung function primarily in patients suffering from diaphragm paralysis. Good results are persistent at last follow-up with a median time to last evaluation of 19 months. Correlation between dyspnea and distance between apex to cupola in inspiratory chest X-ray suggests that clinical evaluation and chest X-ray may be sufficient for the follow-up. CT-scan and spirometry should be done secondarily, when there is a suspicion of recurrence.
Acknowledgments
We thank Karine Debbasch for reviewing the English manuscript.
Footnote
Reporting Checklist: The authors have completed the STROBE reporting checklist. Available at https://jtd.amegroups.com/article/view/10.21037/jtd-2025-427/rc
Data Sharing Statement: Available at https://jtd.amegroups.com/article/view/10.21037/jtd-2025-427/dss
Peer Review File: Available at https://jtd.amegroups.com/article/view/10.21037/jtd-2025-427/prf
Funding: None.
Conflicts of Interest: All authors have completed the ICMJE uniform disclosure form (available at https://jtd.amegroups.com/article/view/10.21037/jtd-2025-427/coif). M.T. is a current employee of AGEMETRA. The other authors have no conflicts of interest to declare.
Ethical Statement: The authors are accountable for all aspects of the work in ensuring that questions related to the accuracy or integrity of any part of the work are appropriately investigated and resolved. The study was conducted in accordance with the Declaration of Helsinki and its subsequent amendments. This observational study was approved on September 19, 2024, by the Medical Ethics Research Committee of the Hospices Civils of Lyon (No. 24_5279). Informed consent was taken from all the patients.
Open Access Statement: This is an Open Access article distributed in accordance with the Creative Commons Attribution-NonCommercial-NoDerivs 4.0 International License (CC BY-NC-ND 4.0), which permits the non-commercial replication and distribution of the article with the strict proviso that no changes or edits are made and the original work is properly cited (including links to both the formal publication through the relevant DOI and the license). See: https://creativecommons.org/licenses/by-nc-nd/4.0/.
References
- Morrison JM. Eventration of Diaphragm Due to Unilateral Phrenic Nerve Paralysis. Arch Radiol Electrotherap 1923;28:72-5.
- CHRISTENSEN P. Eventration of the diaphragm. Thorax 1959;14:311-9. [Crossref] [PubMed]
- Beshay M, Abdel Bary M, Kösek V, et al. Minimally-Invasive Diaphragmatic Plication in Patients with Unilateral Diaphragmatic Paralysis. J Clin Med 2023;12:5301. [Crossref] [PubMed]
- Freeman RK, Wozniak TC, Fitzgerald EB. Functional and physiologic results of video-assisted thoracoscopic diaphragm plication in adult patients with unilateral diaphragm paralysis. Ann Thorac Surg 2006;81:1853-7; discussion 1857. [Crossref] [PubMed]
- Takeda S, Nakahara K, Fujii Y, et al. Effects of diaphragmatic plication on respiratory mechanics in dogs with unilateral and bilateral phrenic nerve paralyses. Chest 1995;107:798-804. [Crossref] [PubMed]
- Groth SS, Andrade RS. Diaphragmatic eventration. Thorac Surg Clin 2009;19:511-9. [Crossref] [PubMed]
- Stevenson JG. Effect of unilateral diaphragm paralysis on branch pulmonary artery flow. J Am Soc Echocardiogr 2002;15:1132-9. [Crossref] [PubMed]
- Higgs SM, Hussain A, Jackson M, et al. Long term results of diaphragmatic plication for unilateral diaphragm paralysis. Eur J Cardiothorac Surg 2002;21:294-7. [Crossref] [PubMed]
- Mouroux J, Venissac N, Leo F, et al. Surgical treatment of diaphragmatic eventration using video-assisted thoracic surgery: a prospective study. Ann Thorac Surg 2005;79:308-12. [Crossref] [PubMed]
- Freeman RK, Van Woerkom J, Vyverberg A, et al. Long-term follow-up of the functional and physiologic results of diaphragm plication in adults with unilateral diaphragm paralysis. Ann Thorac Surg 2009;88:1112-7. [Crossref] [PubMed]
- Versteegh MI, Braun J, Voigt PG, et al. Diaphragm plication in adult patients with diaphragm paralysis leads to long-term improvement of pulmonary function and level of dyspnea. Eur J Cardiothorac Surg 2007;32:449-56.
- Celik S, Celik M, Aydemir B, et al. Long-term results of diaphragmatic plication in adults with unilateral diaphragm paralysis. J Cardiothorac Surg 2010;5:111. [Crossref] [PubMed]
- Li X, Wang Y, Sun D. Long-term efficacy of diaphragm plication on the pulmonary function of adult patients with diaphragm paralysis: a retrospective cohort study. J Thorac Dis 2022;14:3462-70. [Crossref] [PubMed]
- Le UT, Titze L, Hundeshagen P, et al. Robotic diaphragm plication: functional and surgical outcomes of a single-center experience. Surg Endosc 2023;37:4795-802. [Crossref] [PubMed]
- Kosse NJ, Galetin T, Schwarz SB, et al. Results of the Diaphragmatic Plication Database: 10 Years' Experience. Thorac Cardiovasc Surg 2023;71:483-9. [Crossref] [PubMed]
- Sunjaya A, Poulos L, Reddel H, et al. Qualitative validation of the modified Medical Research Council (mMRC) dyspnoea scale as a patient-reported measure of breathlessness severity. Respir Med 2022;203:106984. [Crossref] [PubMed]
- Laghi FA Jr, Saad M, Shaikh H. Ultrasound and non-ultrasound imaging techniques in the assessment of diaphragmatic dysfunction. BMC Pulm Med 2021;21:85. [Crossref] [PubMed]
- Le Pimpec-Barthes F, Hernigou A, Mazzella A, et al. Dynamic magnetic resonance imaging in unilateral diaphragm eventration: knowledge improvement before and after plication. J Thorac Dis 2019;11:3467-75. [Crossref] [PubMed]
- Brault M, Gabrysz-Forget F, Dubé BP. Predictive value of positional change in vital capacity to identify diaphragm dysfunction. Respir Physiol Neurobiol 2021;289:103668. [Crossref] [PubMed]
- Gayan-Ramirez G, Gosselin N, Troosters T, et al. Functional recovery of diaphragm paralysis: a long-term follow-up study. Respir Med 2008;102:690-8. [Crossref] [PubMed]
- Calvinho P, Bastos C, Bernardo JE, et al. Diaphragmmatic eventration: long-term follow-up and results of open-chest plicature. Eur J Cardiothorac Surg 2009;36:883-7. [Crossref] [PubMed]
- Le Pimpec-Barthes F, Brian E, Vlas C, et al. Surgical treatment of diaphragmatic eventrations and paralyses. Rev Mal Respir 2010;27:565-78. [Crossref] [PubMed]
- Hunt AR, Stuart CM, Gergen AK, et al. Long-Term Patient-Reported Symptom Improvement and Quality of Life after Transthoracic Diaphragm Plication in Adults. J Am Coll Surg 2023;237:533-44. [Crossref] [PubMed]
- Welvaart WN, Jak PM, van de Veerdonk MC, et al. Effects of diaphragm plication on pulmonary function and cardiopulmonary exercise parameters. Eur J Cardiothorac Surg 2013;44:643-7. [Crossref] [PubMed]
- Patel DC, Berry MF, Bhandari P, et al. Paradoxical Motion on Sniff Test Predicts Greater Improvement Following Diaphragm Plication. Ann Thorac Surg 2021;111:1820-6. [Crossref] [PubMed]



