Advantages of electromagnetic navigation bronchoscopy in localizing pulmonary nodules challenging to traditional hook-wire localization: a comparative study on precision localization dilemmas
Highlight box
Key findings
• Electromagnetic navigation bronchoscopy (ENB)-guided localization achieved 100% success vs. 81.6% for computed tomography (CT)-guided hook-wire in challenging nodules. ENB had zero major complications vs. 40.8% for CT-guided. CT-guided methods were faster (16.8 vs. 23.5 min) but required prolonged needle-carrying (24.8 min).
What is known and what is new?
• CT-guided hook-wire is the standard way, but it has high complication rates. ENB is emerging for nodule localization.
• This is the first comparative study focusing on anatomically challenging nodules, demonstrating ENB’s superior safety/success despite longer procedure times.
What is the implication, and what should change now?
• ENB is safer and more effective for nodules in complex locations, reducing complications and improving resection accuracy.
• ENB should be prioritized for high-risk nodules, while CT-guided methods may suffice for simpler cases or resource-limited settings.
Introduction
Lung cancer is the most frequently diagnosed cancer and the leading cause of cancer death worldwide, with approximately 2.5 million new cases and 1.8 million deaths (1). Low-dose computed tomography (CT) scans in lung cancer screening programs have led to a significant rise in the number of peripheral small lung lesions suspected of non-small cell lung cancer (NSCLC) or lung metastases (2). For pulmonary nodules that exhibit a high suspicion of malignancy, surgical intervention is considered the preferred treatment approach.
Video-assisted thoracoscopic surgery (VATS) and other minimally invasive techniques have become the standard of care for early-stage NSCLC. Compared to traditional thoracotomy, VATS lobectomy is associated with improved postoperative outcomes and potential survival advantages (3). During VATS procedures, nodules located on the pleural surface can be identified by visually assessing pleural depressions and involvement. For solid nodules adjacent to the pleura, their position can be ascertained through tactile feedback and instrument maneuvering. This facilitates the selection of an appropriate resection margin while preserving lung tissue to the greatest extent possible. However, precise intraoperative localization of nodules with a diameter less than 1 cm, or those situated more than 1.5 cm from the pleural edge—particularly ground-glass nodules—remains challenging when relying solely on manual palpation (4). Therefore, accurate preoperative localization of pulmonary nodules is a critical prerequisite for achieving precise resection; it enables surgeons to delineate the target lesion with optimal spatial resolution while preserving adjacent parenchymal integrity, thereby enhancing both oncological radicality and functional outcomes. The integration of advanced imaging modalities, including but not limited to CT-guided percutaneous marking techniques such as hook-wire placement or electromagnetic navigation bronchoscopy (ENB)-guided fiducial marker implantation, has revolutionized the surgical management of subcentimeter or deeply located nodules.
The most commonly employed instrument for percutaneous puncture localization is CT. Among the CT-guided localization tools, the hook-wire is the oldest and most frequently used metallic device. It involves leaving a portion of the wire protruding from the chest wall after percutaneous insertion, requiring fixation by bending it near the skin (5). However, CT-guided percutaneous localization techniques, such as the hook-wire, present several limitations, including high rates of displacement and detachment, significant pain, bleeding, and pneumothorax (6). Moreover, a thorough and multifaceted evaluation of various factors is essential when employing the hook-wire technique, particularly for lung nodules located in anatomically challenging regions such as the lung apex, interlobar fissures, proximity to the diaphragm or mediastinum, adjacency to major vessels, the posterior aspect of the female breast, or areas obscured by the scapula (7). In such specific clinical scenarios, the utilization of CT-guided percutaneous lung nodule localization necessitates the adoption of a compromised localization strategy, which may inherently limit targeting precision. This technical constraint could potentially result in suboptimal spatial resolution, thereby requiring the operating surgeon to intraoperatively reassess the nodule’s anatomical position and, if warranted, extend the resection margins to achieve complete oncological clearance. Such procedural adaptations underscore the inherent limitations of CT-guided localization in complex cases and highlight the critical need for alternative localization modalities that can provide enhanced accuracy while minimizing the risk of margin extension. The current body of evidence indicates that bronchoscopic localization techniques may offer superior advantages in the management of such nodules.
ENB has emerged as a safe, precise, and efficient modality for the preoperative localization of small peripheral pulmonary nodules, demonstrating significant reductions in procedural complications, and facilitating accurate thoracoscopic resection within a single operative setting (8). ENB utilizes an electromagnetic field generated by a locatable guide to create a three-dimensional virtual airway map from pre-procedural CT scans. A sensor probe integrated into the bronchoscope provides real-time positional feedback, enabling precise navigation to target lesions, allowing for procedures like indocyanine green (ICG) injection or coil placement. The system combines electromagnetic tracking with advanced software algorithms to guide the bronchoscope through complex bronchial pathways (8,9). The ENB system provides real-time navigation with broad clinical applicability and a high safety profile, significantly enhancing the diagnostic accuracy and therapeutic management of pulmonary diseases (8).
This retrospective study seeks to evaluate and compare the accuracy and safety profiles of CT-guided hook-wire localization and ENB-guided localization in the context of pulmonary nodules, with the ultimate goal of identifying the optimal localization strategy for these clinically challenging cases. We present this article in accordance with the STROBE reporting checklist (available at https://jtd.amegroups.com/article/view/10.21037/jtd-2025-1374/rc).
Methods
Study population
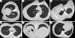
We performed a retrospective cohort study of 145 patients with pulmonary nodules located in challenging anatomical regions, where percutaneous lung puncture was deemed unfeasible. The study was conducted in accordance with the Declaration of Helsinki and its subsequent amendments. The study was approved by the ethics committee of the First Affiliated Hospital of Soochow University (No. 2025376). All patients participating in this study signed informed consent. These patients underwent Uni-port VATS resection with preoperative localization at the First Affiliated Hospital of Suzhou University between September 1, 2022, and September 30, 2024. All patients underwent preoperative localization using either ENB-guided ICG marking or CT-guided hook-wire placement prior to Uni-port VATS resection. Of these, 42 patients received ENB-guided localization, while 103 patients underwent CT-guided hook-wire localization. The inclusion criteria were as follows: (I) patients aged 18 years or older; (II) pulmonary nodules confirmed by thin-slice high-resolution computed tomography (HRCT) and deemed suitable for VATS resection following evaluation by a multidisciplinary lung neoplasms committee; (III) pulmonary nodules measuring less than 30 mm in diameter; (IV) nodules that could not be accurately localized through intraoperative visual inspection or manual palpation; (V) patients who underwent preoperative localization using either ENB combined with ICG injection or CT-guided hook-wire placement; and (VI) pulmonary nodules located in anatomically challenging regions (Figure 1), including the lung apex, interlobar fissures, areas adjacent to the diaphragm or mediastinum, proximity to major vessels, the posterior aspect of the female breast, or regions obscured by the scapula. Patients were excluded if (I) nodule maximum diameter >30 mm; (II) the occurrence of distant organ metastasis; (III) severe coagulation disorders, severe cardiopulmonary dysfunction, and severe infectious diseases; (IV) using other positioning methods instead of hook-wire localization or ENB-guided localization (Figure 2).
A comprehensive dataset was compiled, encompassing patient demographics, detailed CT scan characteristics of nodules (incorporating dimensions, depth, anatomical location, quantity, and morphological classification), localization procedure metrics (time, success rates, and complication profiles), surgical parameters (procedure duration, intraoperative hemorrhage volume, and pathological diagnoses), along with postoperative adverse events.
CT-guided localization with hook-wire
The localization procedure was performed using a hook-wire needle (18 G × 10 cm, GALLINI S.R.L., Italy) under CT guidance. Patients were transferred to the CT suite two hours prior to the scheduled surgical procedure. The optimal patient positioning (supine, prone, or lateral decubitus) was determined based on preoperative chest CT imaging demonstrating the nodule’s anatomical location. Following the placement of radiopaque markers on the cutaneous surface corresponding to the target lesion, a high-resolution CT scan with 1-mm slices was acquired. The puncture trajectory was meticulously planned according to the “nearest vertical” principle, optimizing the entry point, insertion angle, and penetration depth while strategically avoiding critical anatomical structures, including deep muscular layers, intercostal vessels, pulmonary arteries, pulmonary veins, and bronchial trees. Under sterile conditions with local anesthesia, the needle was advanced to the predetermined depth guided by real-time CT imaging. The hook-wire deployment was executed after confirming optimal positioning through sequential CT verification (Figure 3). Procedural success was defined by two key criteria: (I) final CT confirmation of accurate intrapulmonary hook-wire placement; (II) intraoperative identification and complete resection of the target lesion by the surgical team, as evidenced by pathological examination.
ENB-guided localization with ICG
All ENB procedures were performed in the operating room utilizing the LungCare navigation system (LungCare Medical Technologies Ltd., Inc., Suzhou, China). Preoperative planning included acquisition of high-resolution chest CT scans with 1-mm slice thickness, followed by three-dimensional virtual pathway reconstruction to the target lesion using dedicated software. Following induction of general anesthesia with single-lumen endotracheal intubation, standard bronchoscopic examination was performed, with the bronchoscope maintained at the carina during insertion of the locatable guidewire within its guiding sheath. Registration was completed through sequential advancement of the bronchoscope into both main bronchi and subsequent withdrawal to the trachea. Successful registration required ≥80% matching accuracy between real-time and virtual images. After observing three complete respiratory cycles to minimize registration artifacts, the operator navigated the bronchoscope to the target bronchus using multiplanar reconstructed images for guidance. Upon confirmation of target lesion accessibility through concordance of real-time and virtual images, the locatable wire was withdrawn and 2.3 mL of indocyanine green (ICG; 25 mg, Dandong Yichuang Pharmaceutical Co., Ltd., China) was injected for marking, with 0.3 mL delivered to the target site and 2.0 mL retained within the sheath (Figure 4). Procedural success was defined as the surgical team’s ability to rapidly identify and resect the nodule from the marked location during subsequent surgery, while failure was characterized by inability to achieve these objectives. All ENB localization procedures were performed by certified interventional pulmonologists with specialized training in navigational bronchoscopy techniques.
Surgery procedure
Following the induction of general anesthesia with double-lumen endotracheal intubation, patients were appropriately positioned in the lateral decubitus orientation. A minimally invasive approach was initiated through a single 3-cm cutaneous incision at the fourth or fifth intercostal space along the anterior axillary line. Intraoperative identification of the target lesion was achieved under direct visualization, followed by precise resection using endoscopic stapling devices. In cases where intraoperative frozen section analysis demonstrated invasive pathological features, a standardized anatomical resection was systematically performed, encompassing either anatomical segmentectomy or lobectomy accompanied by systematic mediastinal lymph node dissection. To ensure complete oncological resection, all excised specimens underwent rigorous intraoperative evaluation through either manual palpation or immediate frozen section pathological assessment.
Statistical analysis
Descriptive statistics for categorical variables were expressed as frequencies and percentages. Continuous variables were summarized using the mean and standard deviation, while variables with skewed distributions were reported using the median and interquartile range. For categorical variables, Pearson’s chi-square test was employed. For continuous variables, the Mann-Whitney U test or Student’s t-test was utilized following an assessment of data normality. Statistical analyses were conducted using SPSS software, version 25.0 (IBM, Armonk, NY, USA). All statistical tests were two-tailed, and P values <0.05 were considered statistically significant.
Results
The baseline characteristics of patients
Our study cohort comprised 145 patients (35 males, 110 females) who underwent single-port VATS for resection of pulmonary nodules that were technically challenging for percutaneous localization. Nodule localization was achieved via ENB in 42 cases and CT-guided hook-wire in 103 cases. Baseline characteristics are detailed in Table 1. Demographic analysis revealed no significant intergroup differences in age (ENB: 52.1±12.4 years vs. CT-guided: 53.2±13.5 years, P=0.65) or gender distribution (male: 21.4% vs. 25.2%, P=0.63). Comorbidity profiles, including hypertension, diabetes mellitus, and chronic obstructive pulmonary disease (COPD) were similarly balanced between groups (all P>0.05). Radiological characteristics demonstrated comparable nodule features between localization methods. Radiological measurements showed ENB-targeted nodules with a diameter of 10.4±4.4 mm and a mean pleural distance of 13.7±12.5 mm. In the CT-guided cohort, nodule sizes averaged 8.6±2.8 mm with pleural distances of 15.5±13.8 mm. These differences did not reach statistical significance. The 145 pulmonary nodules were distributed across all lung lobes: RUL (45 nodules, 31.0%), RML (8 nodules, 5.5%), RLL (32 nodules, 22.1%), LUL (31 nodules, 21.4%), and LLL (29 nodules, 20.0%). Pathological examination revealed the following diagnoses: benign lesions (24 cases, 16.6%), AAH (6 cases, 4.1%), AIS (15 cases, 10.3%), MIA (71 cases, 49.0%), and IAC (28 cases, 19.3%). Standard lobectomy was performed in all 10 cases (7.1% of cohort) where intraoperative frozen section confirmed IAC with tumor size >2 cm or lymph node involvement. The CT imaging characteristics of the pulmonary nodules revealed the following distribution: 16 cases (11.0%) presented as solid nodules, 38 cases (26.2%) as subsolid nodules, and the majority (91 cases, 62.8%) as pure ground-glass opacities (pGGO).
Table 1
| Variables | ENB localization (n=42) | CT-guided hook-wire localization (n=103) | P value |
|---|---|---|---|
| Age (years) | 52.1±12.4 | 53.2±13.5 | 0.65† |
| Sex | 0.63‡ | ||
| Male | 21.4 (9) | 25.2 (26) | |
| Female | 78.6 (33) | 74.8 (77) | |
| Medical history | |||
| Hypertension | 19.0 (8) | 26.2 (27) | 0.36‡ |
| Diabetes mellitus | 11.9 (5) | 8.7 (9) | 0.55‡ |
| Coronary heart disease | 0.0 (0) | 1.9 (2) | >0.99‡ |
| Malignant disease | 9.5 (4) | 10.7 (11) | >0.99‡ |
| COPD | 0.0 (0) | 1.0 (1) | >0.99‡ |
| Nodule characteristics of CT | 0.07‡ | ||
| Solid | 4.8 (2) | 13.6 (14) | |
| Subsolid | 19.0 (8) | 29.1 (30) | |
| GGO | 76.2 (32) | 57.3 (59) | |
| Largest diameter (mm) | 10.4±4.4 | 8.6±2.8 | 0.14† |
| Distance to pleural surface (mm) | 13.7±12.5 | 15.5±13.8 | 0.46† |
| Type of surgery | 0.15‡ | ||
| Wedge | 66.7 (28) | 77.7 (80) | |
| Segmentectomy | 28.6 (12) | 14.5 (15) | |
| Lobectomy | 4.7 (2) | 7.8 (8) | |
| Nodule location | – | ||
| RUL | 45.3 (19) | 25.2 (26) | |
| RML | 0.0 (0) | 7.8 (8) | |
| RLL | 21.4 (9) | 22.3 (23) | |
| LUL | 21.4 (9) | 21.4 (22) | |
| LLL | 11.9 (5) | 23.3 (24) | |
| Histologic type | – | ||
| AAH | 4.8 (2) | 3.9 (4) | |
| AIS | 4.8 (2) | 12.6 (13) | |
| MIA | 59.5 (25) | 44.7 (46) | |
| IAC | 21.4 (9) | 18.4 (19) | |
| Benign | 9.5 (4) | 19.4 (20) | |
| Others | 0.0 (0) | 1.0 (1) |
Data are presented as median (interquartile range) or % (n). †, Student’s t-test. ‡, chi-squared test. AAH, atypical adenomatous hyperplasia; AIS, adenocarcinoma in situ; COPD, chronic obstructive pulmonary disease; CT, computed tomography; ENB, electromagnetic navigation bronchoscopy; GGO, ground-glass opacity; IAC, invasive adenocarcinoma; LLL, left lower lobe; LUL, left upper lobe; MIA, microinvasive adenocarcinoma; RLL, right lower lobe; RML, right middle lobe; RUL, right upper lobe.
Challenging anatomic areas for hook-wire localization
The distribution of challenging nodule locations showed lobar fissures as the most common site [ENB: 38.1% (16/42) vs. CT-guided: 39.8% (41/103), P=0.85], followed by near diaphragm [ENB: 23.8% (10/42) vs. CT-guided: 28.2% (29/103), P=0.59], anterior to scapula [ENB: 26.2% (11/42) vs. CT-guided: 19.4% (20/103), P=0.37], retromammary in females [ENB: 9.5% (4/42) vs. CT-guided: 10.7% (11/103), P>0.99], lung apex [ENB: 9.5% (4/42) vs. CT-guided: 3.9% (4/103), P=0.34], and near mediastinal vessels/spine [ENB: 4.8% (2/42) vs. CT-guided: 12.6% (13/103), P=0.27], with no statistically significant differences observed between localization methods for any anatomical location (Table 2).
Table 2
| Areas | ENB localization | CT-guided hook-wire localization | P value‡ |
|---|---|---|---|
| Lung apex | 9.5 (4) | 3.9 (4) | 0.34 |
| Lobar fissure | 38.1 (16) | 39.8 (41) | 0.85 |
| Near mediastinal vessels or spine | 4.8 (2) | 12.6 (13) | 0.27 |
| Anterior to scapula | 26.2 (11) | 19.4 (20) | 0.37 |
| Retromammary (in females) | 9.5 (4) | 10.7 (11) | >0.99 |
| Near diaphragm | 23.8 (10) | 28.2 (29) | 0.59 |
Data are presented as % (n). ‡, chi-squared test. CT, computed tomography; ENB, electromagnetic navigation bronchoscopy.
Localization results and complications
The comparative analysis of localization outcomes demonstrated significant procedural differences between ENB and CT-guided hook-wire techniques. ENB procedures required substantially longer localization duration (23.5±4.4 minutes) compared to CT-guided methods (16.8±2.5 minutes, P<0.001), while CT-guided localization was universally associated with needle-carrying time (ENB: 0 vs. CT-guided: 24.8±4.6 minutes, P<0.001). There were significant differences in the success rates between the two groups of localization methods [ENB: 100.0% (42/42) vs. CT-guided: 81.6% (84/103), P=0.003]. CT-guided approaches showed higher complication rates [40.8% (42/103) vs. 0% in ENB, P<0.001], including pneumothorax [29.1% (30/103)], hemopneumothorax [3.0% (3/103)], and pulmonary hemorrhage [13.6% (14/103)] (Table 3).
Table 3
| Variables | ENB localization | CT-guided hook-wire localization | P value |
|---|---|---|---|
| Localization duration (min) | 23.5±4.4 | 16.8±2.5 | <0.001† |
| Needle-carrying time (min) | 0 | 24.8±4.6 | <0.001† |
| Localization result | 0.003‡ | ||
| Success | 100.0 (42) | 81.6 (84) | |
| Failed | 0.0 (0) | 18.4 (19) | |
| Localization complications | <0.001‡ | ||
| Yes | 0.0 (0) | 40.8 (42) | |
| Pneumothorax | 0.0 (0) | 29.1 (30) | |
| Hemopneumothorax | 0.0 (0) | 3.0 (3) | |
| Pulmonary hemorrhage | 0.0 (0) | 13.6 (14) | |
| No | 100.0 (42) | 59.2 (61) |
Data are presented as mean ± standard deviation or % (n). †, Student’s t-test. ‡, chi-squared test. CT, computed tomography; ENB, electromagnetic navigation bronchoscopy.
Operative characteristics and postoperative complications
The findings of operative characteristics revealed significant differences between ENB and CT-guided approaches, with ENB procedures requiring considerably longer general anesthesia time (118.2±55.7 vs. 86.5±38.9 minutes, P<0.001) and longer postoperative hospitalization [4 (3–6) vs. 3 (2–4) days, P<0.001]. There were no statistically significant differences in postoperative complications between the two localization methods [ENB: 9.5% (4/42) vs. CT-guided: 4.9% (5/103), P=0.50]. However, distinct patterns of complications were observed: the ENB group had a numerically higher incidence of prolonged air leak [7.1% (3/42) vs. 1.9% (2/103)] and atelectasis [2.4% (1/42) vs. 0.0% (0/103)], while the CT-guided group showed a higher incidence of pulmonary infection [3.0% (3/103) vs. 0.0% in ENB]. Importantly, the majority of patients in both groups experienced no postoperative complications [ENB: 90.5% (38/42) vs. CT-guided: 95.1% (98/103)], indicating generally favorable safety profiles for both techniques despite their differing complication patterns (Table 4).
Table 4
| Variables | ENB localization | CT-guided hook-wire localization | P value |
|---|---|---|---|
| General anesthesia time (min) | 118.2±55.7 | 86.5±38.9 | <0.001† |
| Postoperative hospitalization duration (day) | 4 (3–6) | 3 (2–4) | <0.001‡ |
| Postoperative complications | 0.50§ | ||
| Yes | 9.5 (4) | 4.9 (5) | |
| Prolonged air leak | 7.1 (3) | 1.9 (2) | |
| Atelectasis | 2.4 (1) | 0.0 (0) | |
| Pulmonary infection | 0.0 (0) | 3.0 (3) | |
| No | 90.5 (38) | 95.1 (98) |
Data are presented as mean ± standard deviation, median (interquartile range), or % (n). †, Student’s t-test. ‡, Mann-Whitney U test; §, chi-squared test. CT, computed tomography; ENB, electromagnetic navigation bronchoscopy.
Discussion
Currently, lung cancer is among the most prevalent cancers globally and is a major cause of cancer-related deaths (10,11). The majority of lung cancer cases diagnosed are NSCLC (12). With the increasing application of CT scans for the chest, both in indication and frequency, the detection of incidental lung nodules has increased (2,13). VATS is extensively utilized in the surgical management of lung conditions because it provides small incisions, a pleasing appearance, and a speedy recovery (14). In VATS, the challenge of identifying subpleural nodules arises from the inability to palpate them. If complete resection is uncertain during surgery, surgeons might need to extend the margins. Therefore, accurate preoperative localization is crucial for ensuring complete removal while preserving lung function (15). CT-guided percutaneous puncture localization represents the pioneering and most extensively adopted technique for pulmonary nodule localization in clinical practice. This technique involves percutaneous insertion of a metallic localization wire or direct dye injection for nodule marking (7). However, the hook-wire technique presents several limitations, including a high incidence of wire displacement and detachment, significant patient discomfort, and potential risk of air embolism (16). As an invasive procedure, it may lead to procedure-related complications including pneumothorax, hemopneumothorax, pulmonary hemorrhage, pleural reaction, and rarely, systemic air embolism or dye-related allergic reactions (17,18). CT-guided hook-wire localization becomes particularly challenging when targeting pulmonary nodules situated in anatomically complex regions, including apical zones, interlobar fissures, diaphragmatic surfaces, and scapula-obscured areas (7). Challenging nodules often require percutaneous localization methods that sacrifice targeting precision, potentially affecting R0 resection margins. Surgeons must then rely on their experience and skills to estimate nodule-needle positions during surgery. However, advancements in ENB have greatly enhanced its potential for preoperative localization in thoracic surgery, offering better precision, efficacy, and safety for nodules in difficult anatomical locations compared to traditional methods. This retrospective study compared the safety, efficacy, complications, and hospital stay duration of CT-guided hook-wire versus ENB-guided localization for difficult-to-reach solitary pulmonary nodules. Significant differences were found in complications, localization and anesthesia times, success rates, and hospital stay length, but not in therapeutic efficacy, or major complications. To our knowledge, no previous studies have systematically evaluated optimal localization method selection for pulmonary nodules situated in these challenging anatomical locations. These observations may provide valuable references for developing individualized treatment strategies in clinical practice.
CT-guided hook-wire localization remains the most widely adopted preoperative marking technique in clinical practice due to its technical simplicity, cost-effectiveness, and broad applicability. However, this method presents several inherent limitations: (I) considerable complication rates, (II) unavoidable ionizing radiation exposure, (III) potential iatrogenic injury to adjacent pulmonary structures, (IV) mandatory patient transfer between imaging and operating suites and (V) significant procedure-related pain. These constraints collectively elevate perioperative risks and may compromise localization accuracy. ENB-guided localization offers the distinct advantage of being performed intraoperatively within the same surgical suite, eliminating the need for patient transfer between procedures. This integrated approach not only prevents transport-related complications and waiting time discomfort but also demonstrates consistently high localization success rates (19). Both ENB- and CT-based localization techniques achieved satisfactory success rates in our cohort. While existing research reports that hook-wire success rates up to 95% (20), our cohort demonstrated a lower observed rate (81.6%). CT-guided localization may fail when targeting nodules in technically challenging anatomical locations or due to hook-wire dislodgement during patient transfer. The localization of pulmonary nodules presents distinct technical challenges based on anatomical location. Apical nodule targeting carries inherent risks of subclavian vessel and brachial plexus injury, exacerbated by significant anatomical variations in the costopleural recess. Similarly, interlobar nodule localization requires meticulous identification of the involved fissure, as erroneous fissure selection remains a predominant cause of procedural failure. Scapular-obstructed nodules pose additional difficulties due to restricted needle trajectories, while those near the diaphragm are particularly susceptible to respiratory motion interference. The technical complexity escalates further for paravertebral or mediastinal lesions, where needle trajectory restrictions, increased penetration depth, and critical vascular avoidance collectively contribute to elevated procedural difficulty. Special consideration is warranted for female patients, where the expanded mammary tissue domain necessitates deliberate trajectory planning to prevent iatrogenic ductal injury, inflammatory sequelae, and heightened post-procedural pain perception.
In this study, the ENB-guided localization group demonstrated a superior safety profile, with zero complications observed among 42 cases, whereas CT-guided hook-wire localization resulted in complications in 40.8% of cases (42/103 patients). The most common complications were pneumothorax (primarily asymptomatic cases with less than 10% lung compression), followed by intrapulmonary hemorrhage and hemopneumothorax. The higher complication rate observed in CT-guided localization compared to other centers may be attributed to the challenging anatomical positions of the nodules—particularly those obscured by bony structures. Friction between the skeletal anatomy and the hook-wire increases the risk of wire dislodgement and may contribute to pneumothorax (21). The ENB localization group demonstrated significantly longer procedure times compared to the CT-guided approach, which aligns with the reported operative durations from the other institution (22). Furthermore, following CT-guided localization, patients require transportation from the CT suite to the operating room, a process whose duration varies across medical centers. This transition period not only exacerbates pain perception but may also increase risks of post-localization hemorrhage and pneumothorax, while concurrently heightening patient anxiety, ultimately impairing postoperative recovery (20).
Our study did not show a clear difference between the postoperative complications of ENB-guided localization (9.5%) and CT-guided localization (4.9%). While ENB procedures required significantly longer anesthesia times and postoperative hospital stays, both techniques demonstrated comparable overall safety. For elderly patients with poor cardiopulmonary function and multiple comorbidities, we recommend CT-guided localization to avoid the increased anesthetic risks associated with prolonged procedural times. Notably, the complication patterns differed between modalities: ENB was associated with a numerically higher incidence of prolonged air leak, whereas CT-guided procedures showed occasional atelectasis and pulmonary infections. Importantly, the vast majority of patients in both groups experienced no complications, reinforcing that both techniques are generally safe despite their differing risk profiles. These findings suggest that the choice between ENB and CT-guided localization should consider not only procedural duration and hospitalization requirements but also the specific complication patterns most relevant to the individual patient’s clinical context. The longer operative times for ENB may reflect its technical complexity, while the slightly prolonged hospitalization could be related to its higher rate of air leaks. Conversely, the infectious complications seen only in the CT-guided group may reflect its percutaneous nature. These differential risk-benefit profiles underscore the importance of individualized approach selection based on patient and nodule characteristics.
There are several limitations in this study that should be considered when interpreting the results. First, as a single-center retrospective analysis, the findings may not be fully generalizable to other institutions with different protocols, operator experience levels, or patient populations. Second, the lack of randomization introduces potential selection bias in the assignment of ENB versus CT-guided localization methods. Third, the study did not account for the learning curve associated with ENB procedures, which could influence both operative times and complication rates. Additionally, the CT-guided group did not utilize advanced imaging modalities like cone-beam CT, potentially underestimating the capabilities of modern CT-based techniques. The assessment of complications was limited by the retrospective design, with possible underreporting of minor adverse events and no standardized quantification of postoperative pain. The sample size, while adequate for primary comparisons, may have been insufficient to detect rare complications or to conduct meaningful subgroup analyses based on nodule characteristics (e.g., pure ground-glass vs. part-solid nodules). Finally, the absence of long-term follow-up data precludes evaluation of delayed complications or oncologic outcomes. These limitations highlight the need for future multicenter prospective studies with standardized protocols, rigorous complication grading, and cost-effectiveness analyses to further validate these findings.
Conclusions
Both ENB-guided and CT-guided hook-wire localization can effectively identify solitary pulmonary nodules in challenging anatomical locations. In these scenarios, ENB demonstrates superior localization success rates, fewer complications, and lower adverse event incidence, suggesting it as a promising, safe, and feasible method to facilitate VATS resection of solitary lung nodules.
Acknowledgments
We sincerely thank all the patients who participated in this study for their invaluable contributions.
Footnote
Reporting Checklist: The authors have completed the STROBE reporting checklist. Available at https://jtd.amegroups.com/article/view/10.21037/jtd-2025-1374/rc
Data Sharing Statement: Available at https://jtd.amegroups.com/article/view/10.21037/jtd-2025-1374/dss
Peer Review File: Available at https://jtd.amegroups.com/article/view/10.21037/jtd-2025-1374/prf
Funding: None.
Conflicts of Interest: All authors have completed the ICMJE uniform disclosure form (available at https://jtd.amegroups.com/article/view/10.21037/jtd-2025-1374/coif). The authors have no conflicts of interest to declare.
Ethical Statement: The authors are accountable for all aspects of the work in ensuring that questions related to the accuracy or integrity of any part of the work are appropriately investigated and resolved. The study was conducted in accordance with the Declaration of Helsinki and its subsequent amendments. The study was approved by the ethics committee of The First Affiliated Hospital of Soochow University (No. 2025376). All patients participating in this study signed informed consent.
Open Access Statement: This is an Open Access article distributed in accordance with the Creative Commons Attribution-NonCommercial-NoDerivs 4.0 International License (CC BY-NC-ND 4.0), which permits the non-commercial replication and distribution of the article with the strict proviso that no changes or edits are made and the original work is properly cited (including links to both the formal publication through the relevant DOI and the license). See: https://creativecommons.org/licenses/by-nc-nd/4.0/.
References
- Bray F, Laversanne M, Sung H, et al. Global cancer statistics 2022: GLOBOCAN estimates of incidence and mortality worldwide for 36 cancers in 185 countries. CA Cancer J Clin 2024;74:229-63. [Crossref] [PubMed]
- de Koning HJ, van der Aalst CM, de Jong PA, et al. Reduced Lung-Cancer Mortality with Volume CT Screening in a Randomized Trial. N Engl J Med 2020;382:503-13. [Crossref] [PubMed]
- Salfity H, Tong BC. VATS and Minimally Invasive Resection in Early-Stage NSCLC. Semin Respir Crit Care Med 2020;41:335-45. [Crossref] [PubMed]
- Ciriaco P, Negri G, Puglisi A, et al. Video-assisted thoracoscopic surgery for pulmonary nodules: rationale for preoperative computed tomography-guided hookwire localization. Eur J Cardiothorac Surg 2004;25:429-33. [Crossref] [PubMed]
- Cornella KN, Repper DC, Palafox BA, et al. A Surgeon's Guide for Various Lung Nodule Localization Techniques and the Newest Technologies. Innovations (Phila) 2021;16:26-33. [Crossref] [PubMed]
- Wu CC, Maher MM, Shepard JA. Complications of CT-guided percutaneous needle biopsy of the chest: prevention and management. AJR Am J Roentgenol 2011;196:W678-82. [Crossref] [PubMed]
- Wang Y, Chen E. Advances in the localization of pulmonary nodules: a comprehensive review. J Cardiothorac Surg 2024;19:396. [Crossref] [PubMed]
- Mariolo AV, Vieira T, Stern JB, et al. Electromagnetic navigation bronchoscopy localization of lung nodules for thoracoscopic resection. J Thorac Dis 2021;13:4371-7. [Crossref] [PubMed]
- Gex G, Pralong JA, Combescure C, et al. Diagnostic yield and safety of electromagnetic navigation bronchoscopy for lung nodules: a systematic review and meta-analysis. Respiration 2014;87:165-76. [Crossref] [PubMed]
- Cho HJ, Roknuggaman M, Han WS, et al. Electromagnetic navigation bronchoscopy-Chungnam National University Hospital experience. J Thorac Dis 2018;10:S717-24. [Crossref] [PubMed]
- Siegel RL, Miller KD, Jemal A. Cancer Statistics, 2017. CA Cancer J Clin 2017;67:7-30. [Crossref] [PubMed]
- Siegel RL, Miller KD, Jemal A. Cancer statistics, 2015. CA Cancer J Clin 2015;65:5-29. [Crossref] [PubMed]
- McGuire S. World Cancer Report 2014. Geneva, Switzerland: World Health Organization, International Agency for Research on Cancer, WHO Press, 2015. Adv Nutr 2016;7:418-9. [Crossref] [PubMed]
- National Lung Screening Trial Research Team. Reduced lung-cancer mortality with low-dose computed tomographic screening. N Engl J Med 2011;365:395-409. [Crossref] [PubMed]
- Zhang J, Liu Y. Efficacy of single- and double-hole thoracoscopic lobectomy for treatment of non-small cell lung cancer: a meta-analysis. Am J Transl Res 2023;15:3013-25.
- Qi H, Wan C, Zhang L, et al. Early effective treatment of small pulmonary nodules with video-assisted thoracoscopic surgery combined with CT-guided dual-barbed hookwire localization. Oncotarget 2017;8:38793-801. [Crossref] [PubMed]
- He R, Ming C, Lei Y, et al. Preoperative pulmonary nodule localization: A comparison of hook wire and Lung-pro-guided surgical markers. Clin Respir J 2024;18:e13726. [Crossref] [PubMed]
- Sakiyama S, Kondo K, Matsuoka H, et al. Fatal air embolism during computed tomography-guided pulmonary marking with a hook-type marker. J Thorac Cardiovasc Surg 2003;126:1207-9. [Crossref] [PubMed]
- Martínez Criado Y, Pérez Bertólez S, Cabello Laureano R, et al. CT-guided methylene blue labelling to locate a pulmonary nodule before thoracoscopic resection. Cir Esp 2014;92:139-41. [Crossref] [PubMed]
- Kuo SW, Tseng YF, Dai KY, et al. Electromagnetic Navigation Bronchoscopy Localization Versus Percutaneous CT-Guided Localization for Lung Resection via Video-Assisted Thoracoscopic Surgery: A Propensity-Matched Study. J Clin Med 2019;8:379. [Crossref] [PubMed]
- Xia T, Li Y, Shen Z, et al. Comparison of safety and anxiety/depression in computed tomography-guided hook-wire localization versus electromagnetic navigation bronchoscopy-guided localization: a retrospective cohort study. J Thorac Dis 2024;16:401-13. [Crossref] [PubMed]
- Tian Y, Wang C, Yue W, et al. Comparison of computed tomographic imaging-guided hook wire localization and electromagnetic navigation bronchoscope localization in the resection of pulmonary nodules: a retrospective cohort study. Sci Rep 2020;10:21459. [Crossref] [PubMed]

