Continuing immune checkpoint inhibitors after pseudoprogression improves survival in lung cancer patients: a systematic review and meta-analysis
Highlight box
Key findings
• Continuing immune checkpoint inhibitors (ICIs) after pseudoprogression (PsP) significantly prolongs median overall survival (14 vs. 7 months, P<0.05).
• Immune-Related Response Evaluation Criteria in Solid Tumors (iRECIST) corrects 87.5 % of PsP cases misclassified as progressive disease (PD) by Response Evaluation Criteria in Solid Tumors 1.1 (RECIST 1.1).
• A chest computed tomography (CT) pattern diagram and proposed diagnostic-therapeutic framework (exploratory, non-validated) are developed to facilitate PsP identification and management.
What is known and what is new?
• PsP risks premature ICI discontinuation; iRECIST aids diagnosis but optimal management strategies remain unclear.
• First individual patient data pooled analysis confirming that continued ICI post-PsP improves survival; CT patterns and a diagnostic-therapeutic framework standardize management (needs prospective validation).
What is the implication, and what should change now?
• Clinicians should avoid stopping ICIs in stable PsP cases to maximize survival.
• Use iRECIST and CT patterns for PsP diagnosis; apply the proposed framework cautiously (as a hypothesis-generating tool) to guide treatment.
• Prospective, multicenter trials are urgently needed to validate the diagnostic-therapeutic framework.
Introduction
Lung cancer is the deadliest cancer worldwide, contributing heavily to disease burden and mortality (1). The emergence of immune checkpoint inhibitors (ICIs) has substantially altered therapeutic approaches for lung cancer (2), demonstrating superior survival benefits compared with conventional therapies. By antagonizing tumor-mediated immunosuppression and reactivating antitumor immune responses, ICIs facilitate durable clinical responses and unprecedented long-term survival in subsets of patients.
Despite these advancements, the emergence of pseudoprogression (PsP)—a paradoxical phenomenon characterized by transient tumor enlargement or new lesion appearance during initial ICI treatment, followed by subsequent regression or stabilization—has introduced critical challenges in clinical decision-making (3). Current evidence suggests that misclassification of PsP as true progression may lead to premature discontinuation of effective ICI therapy, thereby depriving patients of potential survival benefits (4). This diagnostic challenge arises because of the constraints of the Response Evaluation Criteria in Solid Tumors (RECIST), which fails to differentiate PsP from hyperprogression (5). Although the introduction of Immune-Related Response Evaluation Criteria in Solid Tumors (iRECIST)in 2017 has improved the accuracy of immunotherapy response evaluation and facilitated better identification of PsP, significant uncertainties remain regarding optimal treatment strategies following PsP. Preliminary studies have suggested potential survival benefits with continued ICI treatment after PsP (6). However, large-scale, comprehensive analyses are still lacking.
To address this gap, we conducted an individual patient data (IPD) pooled analysis combining institutional cases and literature-derived cases. This design allowed us to comprehensively evaluate the impact of ICI continuation/discontinuation on survival, develop imaging tools for PsP identification, and propose a management framework to guide clinical practice. We present this article in accordance with the STROBE and PRISMA reporting checklists (available at https://jtd.amegroups.com/article/view/10.21037/jtd-2025-1381/rc).
Methods
Study design and data sources
This study was an IPD pooled analysis of PsP cases in lung cancer patients treated with ICIs.
- Institutional cases: identified from 1,077 lung cancer patients treated with ICIs at Beijing Shijitan Hospital and the General Hospital of the People’s Liberation Army (January 2018–March 2025). Digital Imaging and Communications in Medicine (DICOM) images of these cases were re-evaluated using standardized criteria to confirm PsP.
- Literature-derived cases: a systematic search was performed in PubMed, Embase, and Web of Science (January 2018–March 2025) using MeSH terms and Boolean operators: (“lung cancer” OR “lung neoplasm”) AND (“immune checkpoint inhibitor” OR “ICI”) AND (“pseudoprogression”). Grey literature (e.g., American Society of Clinical Oncology (ASCO)/European Society for Medical Oncology (ESMO) conference abstracts, preprints, Clinical Trials.gov records) was included to reduce publication bias.
A PRISMA-compliant flowchart (Figure 1) illustrates the screening process: 489 records identified → 158 full-texts screened → 60 excluded → 36 literature cases + 4 institutional cases included (total n=40). The specific methods for literature retrieval and screening process were described in the search protocol, with further details provided in Appendix 1.
PsP
PsP was defined as the transient enlargement of tumors or emergence of new lesions during initial ICI treatment, followed by subsequent stabilization or regression—confirmed either by tumor biopsy or continuous radiographic follow-up per iRECIST criteria.
Chest CT interpretation
- Institutional cases: chest CT images of suspected PsP patients were independently appraised by two seasoned reviewers: an oncologist (M.X., 5-year experience in pulmonary imaging) and a pulmonary physician (Y.L., 2-year experience in pulmonary imaging diagnosis), using the Picture Archiving and Communication System (AGFA Healthcare, Mortsel, Belgium). All images were evaluated employing standardized lung window settings [width: 1,500 Hounsfield unit (HU); level: 2,500 HU]. In instances of discordance, a senior pulmonary radiologist (C.W., 18-year experience) and a pulmonary physician (L.P., 20-year experience) adjudicated the final PsP diagnosis. Additionally, immunotherapy efficacy was gauged by a radiologist (C.W.) and a pulmonologist (H.D.) in accordance with iRECIST criteria.
- Literature cases: Imaging data were extracted only if described in detail (e.g., lesion size changes, inflammatory features). Cases with ambiguous imaging reports were excluded (n=2).
Screening and data extraction
Two independent reviewers (J.G. and F.R.) screened eligible full-text articles and independently extracted data using a standardized extraction form (comprising 50 variables; table available at https://cdn.amegroups.cn/static/public/jtd-2025-1381-1.xlsx). This form was pilot-tested on 5 cases to verify its consistency before formal use. Inter-rater agreement for data extraction exceeded 90%; any discrepancies were resolved via discussion between the two reviewers or consultation with a third reviewer (J.G.).
The inclusion criteria were as follows: (I) lung cancer diagnosis was confirmed through postoperative histopathological examination, CT-guided lung biopsy, or bronchoscopic mucosal biopsy; (II) diagnosis of PsP based on iRECIST criteria; (III) baseline clinical data of patients could be obtained (e.g., basis for PsP diagnosis, continuation/discontinuation of ICIs) and prognostic data [e.g., survival status/overall survival (OS)], with permissible minor information gaps (e.g., non-essential symptoms, non-critical laboratory parameters); and (IV) received at least one cycle of ICI therapy. ICI types include programmed death 1 (PD-1) inhibitors (e.g., pembrolizumab, nivolumab), programmed death-ligand 1 (PD-L1) inhibitors (e.g., atezolizumab, durvalumab), or cytotoxic T-lymphocyte-associated protein 4 (CTLA-4) inhibitors (e.g., ipilimumab), either as monotherapy or combination therapy.
The exclusion criteria were (I) confirmed true progression, hyperprogression, or mixed responses; (II) institutional cases without obtaining informed consent from patients or their legal guardians; (III) missing or conflicting critical clinical/prognostic data (e.g., PsP diagnosis basis, ICI treatment status, survival outcome) that rendered the case unsuitable for analysis; (IV) concurrent treatments that may confound efficacy assessment, such as radiotherapy or targeted therapy; and (V) concurrent other malignant tumors.
Standardized data collection
Extracted variables included: (I) baseline characteristics: age, sex, tumor histology, PD-L1 expression, prior therapy lines; (II) PsP features: time to onset, clinical symptoms, imaging findings (e.g., primary/metastatic lesion enlargement), biopsy results; (III) treatment and outcomes: ICI regimen, post-PsP treatment status (continued vs. discontinued), survival time (from PsP onset to death or last follow-up).
Group stratification and follow-up
Patients were divided into two groups based on post-PsP management approaches: continued-ICI group (ICIs maintained after PsP diagnosis) and discontinued-ICI therapy (ICIs stopped after PsP diagnosis). Follow-up time was defined as the interval from PsP onset to death or the last clinical visit/telephone interview.
Chest CT pattern diagram
A CT pattern diagram was developed to visualize typical PsP imaging features (e.g., primary lesion enlargement, metastatic progression, new nodules, paradoxical pleural effusion reduction) based on institutional cases and detailed literature-derived imaging data.
Proposed diagnostic-therapeutic algorithm for PsP
A stepwise management framework was created by synthesizing cohort findings (e.g., biomarker trends, biopsy outcomes) and published evidence (2,7,8). Supplementary File 4 details key decision points [e.g., Eastern Cooperative Oncology Group (ECOG) performance status assessment, multidisciplinary team (MDT) review]. The framework is hypothesis-generating and requires prospective validation.
Ethical statement
The study was conducted in accordance with the Declaration of Helsinki and its subsequent amendments. The study was approved by the Institutional Ethics Committee (Institutional Ethics Committee of Beijing Shijitan Hospital, Capital Medical University) (approval No. SJTKY11-1X-2022-35) and the ethics authorities of collaborating hospitals. Informed consent was waived in this retrospective study.
Statistical analysis
We first addressed missing data through the following step: a comprehensive statistical analysis was performed to characterize the distribution of missing data across all variables. For key clinical variables with minimal missing values (less than 5%), we used the mean imputation method for continuous variables and mode imputation for categorical variables. For variables with more significant missing data, we excluded the corresponding cases from the specific analyses involving those variables to avoid bias, and we clearly reported the number of participants with missing data for each variable in table available at https://cdn.amegroups.cn/static/public/jtd-2025-1381-2.xlsx.
Subsequently, categorical variables were compared using Chi-squared tests. Survival curves were generated using Kaplan-Meier analysis and compared using log-rank tests. Fisher’s exact test was used to compare 12-month survival rates.
Two independent reviewers (J.G. and F.R.) independently assessed the risk of bias for each included case using the Risk Of Bias In Non-randomised Studies of Interventions (ROBINS-I) tool, with any discrepancies resolved via discussion with a third reviewer (C.W.). As summarized in Supplementary Table S1, 80% of cases were determined to be low risk of bias, and 20% were moderate risk—primarily driven by incomplete outcome reporting in 8 of the literature-derived cases. Analyses were conducted using Statistical Package for the Social Sciences (SPSS) 26.0 (IBM, USA) and GraphPad Prism 5.0 (GraphPad Software, Inc., USA), with statistical significance reported at P<0.05.
Results
Subjects
A total of 40 PsP cases were included: 4 institutional cases (from 1,077 ICI-treated lung cancer patients) and 36 literature-derived cases (from 31 studies identified via PubMed/Embase/Web of Science). The PRISMA flowchart (Figure 1) details the screening process.
Baseline clinicopathological features
The mean age was 60.1±9.3 years, with 22 males (55.0%) and 18 females (45.0%). The most common pathological type was lung adenocarcinoma (47.5%, 19 cases), followed by squamous cell carcinoma (20.0%, 8 cases), small-cell lung cancer (7.5%, 3 cases), and rare subtypes such as pulmonary pleomorphic carcinoma (7.5%, 3 case). Sixteen patients (40.0%) received first-line treatment, and 24 (60.0%) received second-line or subsequent therapies. After the confirmation of PsP, 30 patients (75.0%) maintained ICI treatment, whereas 10 (25.0%) ceased ICI therapy. Baseline characteristics, including age, gender, tumor histology, initial tumor stage, PD-L1 expression, therapy lines, and ICI agents, were comparable between the continued and discontinued ICI groups (all P>0.05, Table 1).
Table 1
| Characteristic | Total (n=40) | Continue ICIs (n=30) | Discontinue ICIs (n=10) | P value |
|---|---|---|---|---|
| Age, years (mean ± SD) | 60.1±9.3 | 59.1±9.6 | 61.1±9.8 | 0.57 |
| Gender (male/female) | 22/18 | 18/12 | 4/6 | 0.30† |
| Tumor histology (NSCLC/SCLC) | 37/3 | 27/3 | 10/0 | 0.56† |
| Initial tumor stage (I–III/IV/NK) | 13/18/9 | 9/13/8 | 4/5/1 | 0.65† |
| PD-L1 TPS (≥50%/<50%/NK) | 9/4/23 | 10/3/17 | 1/2/7 | 0.29† |
| Therapy lines (1/≥2) | 16/24 | 14/16 | 2/8 | 0.26† |
| ICI agents (PD-1/PD-L1/dual immunotherapy) | 26/5/5 | 22/3/5 | 9/1/0 | 0.57† |
| Biopsy (yes/no) | 14/26 | 10/20 | 4/6 | 0.72† |
| OS (months), median (range) | 15.0 (3.0–53.0) | 16.6 (3.0–53.0) | 7.4 (3.0–18.0) | 0.001 |
| Survival | 33 | 28 | 5 | 0.006† |
| Death | 7 | 2 | 5 |
†, Fisher’s test. ICI, immune checkpoint inhibitor; NSCLC, non-small cell lung cancer; NK, not known; PD-1, programmed cell death protein 1; PD-L1, programmed cell death ligand 1; OS, overall survival; PsP, pseudoprogression; SCLC, small-cell lung cancer; SD, standard deviation; TPS, tumor proportion score.
PsP features
The median time to PsP onset was 8 weeks (range, 0.3–48 weeks), and the median time to final diagnosis was 12 weeks (range, 3–62 weeks). This delay highlights the challenges in accurately identifying PsP during immunotherapy.
Of the 40 patients, 17 (42.5%) were asymptomatic when PsP appeared. Among symptomatic patients (n=23, 57.5%), the most common manifestations included general deterioration (10.0%, 4 cases), dyspnea (10.0%, 4 cases), skin lesions (10.0%, 4 cases), fever (7.5%, 3 cases) and cough (5.0%, 2 cases).
According to RECIST 1.1 criteria, 35 patients (87.5%) were initially classified as progressive disease (PD), and 5 (12.5%) as stable disease (SD). Re-evaluation using iRECIST criteria demonstrated immune complete response (iCR) in two patients (5.0%), immune partial response (iPR) in 29 (72.5%), and immune stable disease (iSD) in one (2.5%). The median reassessment interval was 5.5 weeks (range, 1–54 weeks).
Biopsy was performed in 14 (35.0%) patients, with pathological analysis revealing extensive CD8+ T lymphocyte-predominant inflammatory cell infiltration accompanied by necrosis or granuloma formation in 12 cases (85.7%), whereas only 2 cases (14.3%) showed residual tumor cells. These findings supported the diagnosis of PsP and differentiated it from true tumor progression.
The characteristics of PsP are summarized in Table 2.
Table 2
| Characteristics | Specific Items | Datum, n (%) |
|---|---|---|
| PsP diagnosis | PsP occurrence median time (weeks) | 8 |
| PsP diagnosis median time (weeks) | 12 | |
| Clinical manifestations | Asymptomatic | 17 (42.5) |
| Symptomatic† | 23 (57.5) | |
| Most common symptoms: | ||
| Patient’s condition deteriorated | 4 (10.0) | |
| Fever | 3 (7.5) | |
| Skin lesions | 4 (10.0) | |
| Dyspnea | 4 (10.0) | |
| Imaging changes | Primary lesion enlargement | 16 (40.0) |
| Metastatic lesions enlargement | 24 (60.0) | |
| Lymph node enlargement | 7 (17.5) | |
| New pulmonary nodules | 3 (7.5) | |
| Pleural effusion reduced | 2 (5.0) | |
| Other imaging changes‡ | 10 (25.0) | |
| Biopsy | Yes | 14 (35.0) |
| Inflammatory cell infiltration | 12 (85.7) | |
| Necrosis | 4 (10.0) | |
| Granuloma formation | 2 (5.0) | |
| No | 26 (65.0) | |
| RECIST 1.1 assessment | PD | 35 (87.5) |
| SD | 5 (12.5) | |
| Reassessment interval (weeks) | 5.5 | |
| iRECIST assessment | iCR | 2 (5.0) |
| iPR | 29 (72.5) | |
| iSD | 1 (2.5) | |
| NK | 8 (20.0) |
†, cough, hemoptysis, dysphagia, syncope, lymphadenopathy, tachycardia, hypotension, anorexia, weight loss, intestinal perforation, and melena (each n=1). ‡, abdominal mass (n=3), pleural effusion increased (n=1), pericardial effusion increased (n=1), hydronephrosis (n=1), intestinal perforation (n=1), FDG accumulation (n=1), NK (n=2). FDG, fluorodeoxyglucose; iCR, immune complete response; iPR, immune partial response; iRECIST, immune-related response evaluation criteria in solid tumors; iSD, immune stable disease; NK, not known; PD, progressive disease; PsP, pseudoprogression; RECIST 1.1, Response Evaluation Criteria in Solid Tumors 1.1; SD, stable disease.
Imaging findings and CT pattern development
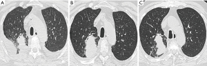
The imaging results of the four patients with PsP are presented in Figures 2,3 and Figures S1,S2. Initial radiographic assessment revealed distinct PsP features: primary lesion enlargement (40.0%, 16/40), metastatic lesion progression (60.0%, 24/40), new pulmonary nodules (7.5%, 3/40), and lymph node enlargement (17.5%, 7/40). Notably, two cases (5.0%) demonstrated a paradoxical pattern of primary lesion growth accompanied by pleural effusion reduction—a characteristic yet underrecognized PsP signature.
To systematically categorize PsP manifestations, we developed a chest CT classification system comprising four distinct patterns (Figure 4). The constructed chest CT pattern diagram clearly depicted various imaging features of PsP, providing a visual reference for identifying PsP-related imaging changes.
Impact of treatment strategy on prognosis
Among the 40 patients with PsP, 30 continued ICI therapy, whereas 10 discontinued ICI therapy. Median OS was significantly longer in the continued ICI group (16.6 months; range, 3.0–53.0 months) than in the discontinued group (7.4 months; range, 3.0–18.0 months; P<0.01). The mortality rate was significantly lower in the continued ICI group (6.7%, 2/30) than in the discontinued group (50.0%, 5/10; P=0.006; Table 1).
Kaplan-Meier analysis and log-rank tests showed a significant survival benefit in the continued ICI group [hazard ratio (HR) =0.03, 95% confidence interval (CI): 0.005–0.235; P<0.001, Figure 5].
To translate relative risk into clinically interpretable absolute risk, we calculated 12-month outcomes using actual survival data. In the continued ICI group (n=30), 20 survived beyond 12 months, yielding a 12-month survival rate of 66.7% (20/30×100%) and an absolute death risk of 33.3% (1–66.7%). For the ICI discontinuation group (n=10), only 4 survived ≥12 months, resulting in a 40.0% survival rate (4/10×100%) and a 60.0% absolute death risk (1–40.0%). The 12-month absolute risk reduction was 26.7% (60.0–33.3%), demonstrating that continued ICI treatment lowers 12-month death risk by 26.7% versus discontinuation—consistent with the survival benefit implied by HR =0.03.
Proposed diagnostic-therapeutic algorithm for PsP
Based on our findings, we propose a framework to managing PsP. First, the case is assessed using iRECIST criteria. If immune-related unconfirmed progression is identified, the patient’s Eastern Cooperative Oncology Group (ECOG) performance status is evaluated. For patients with ECOG 0–1, biomarker analysis and supplemental positron emission tomography (PET)-CT or magnetic resonance imaging (MRI) is conducted as clinically indicated. Following multidisciplinary team (MDT) review, if predefined criteria are met [e.g., stable IL-8/circulating tumor DNA (ctDNA) levels, unchanged PET findings], biopsy may be deferred, and immunotherapy continued with re-evaluation via iRECIST in 4 weeks. If the criteria are not met, biopsy should be considered. For patients with ECOG ≥2, the same diagnostic workup and MDT evaluation is conducted. Consequently, if high-risk conditions are present, biopsy is recommended. Management is then guided by biopsy results. For high-risk biopsy cases or end-stage disease, biopsy should be omitted, immunotherapy discontinued, and symptomatic support provided. Accordingly, the case should be reassessed in 2 weeks, and immunotherapy should be withdrawn if symptoms persist (Figure S3 and Appendix 2).
Discussion
The most critical finding of this IPD pooled analysis is the significant survival benefit associated with continuing ICI therapy after PsP. As demonstrated by Won et al. (6), patients who maintained ICI treatment following PsP achieved a significantly longer median OS of 16.6 months, compared with only 7.4 months in those who discontinued it (P=0.001); additionally, continued ICI treatment was associated with a higher 12-month survival rate (66.7% vs. 40.0%, P<0.01). These results underscore the life-extending potential of persisting with immunotherapy despite apparent radiological progression and highlight the risks of premature discontinuation, which may disrupt an ongoing immune-mediated antitumor response, leading to suboptimal outcomes (9,10).
ICIs primarily enhance immune cell activity rather than exerting direct tumoricidal effects, leading to immune cell infiltration and transient tumor enlargement on imaging (6). Previous research showed that PsP-related inflammatory infiltration reflects sustained immune-mediated tumor destruction, characterized by sustained recruitment of CD8+ T cells and tumor microenvironment remodeling regulated by cytokines (11). Continuous ICI treatment can sustain this process, maintain the cytotoxic activity of CD8+ T cells against malignant cells, and thus facilitate long-term disease control. Conversely, premature ICI discontinuation disrupts immune activation cascades, permitting tumor immune escape. As demonstrated by Weber (12), treatment interruption aborts developing immune responses, leading to diminished cytotoxic T-cell activity and subsequent disease progression. This mechanistic insight explains the significant survival benefit observed with continued ICI therapy in our cohort.
However, clinicians must remain vigilant for life-threatening complications when inflammatory tumor enlargement compromises critical structures, including pericardial tamponade, renal dysfunction, or critical airway obstruction (13-15). In our study, 9 of 40 patients (22.5%) with PsP developed life-threatening complications, including intestinal perforation (n=1), airway obstruction with dyspnea (n=3), neurologic deficits (dysarthria/hemiparesis, n=2), hypotensive shock (n=1), and inflammatory emergencies (necrotic lymphadenitis/abdominal abscess, n=2). In these emergent cases, immediate intervention with temporary ICI cessation and appropriate supportive measures is warranted. Current evidence supports ICI reintroduction following symptom resolution, as definitive treatment discontinuation may terminate ongoing immune activity and promote disease progression (12). This risk-stratified management paradigm achieves optimal balance between preserving immunologic activity and mitigating treatment-related morbidity, thereby maximizing both oncologic outcomes and patient safety (16).
Our analysis identified PsP in only 0.4% of lung cancer patients treated with ICIs—a rate substantially lower than the 2–7% incidence previously documented in solid tumors (17). This discrepancy may stem from stricter diagnostic criteria requiring iRECIST-confirmed radiological regression and exclusion of equivocal cases without longitudinal imaging follow-up. The incidence of PsP after immunotherapy combined with chemotherapy is significantly lower than that observed with ICI monotherapy. Among the 40 patients with PsP, 26 were treated with ICIs alone, 4 with dual immunotherapy and 10 with immunotherapy combined with chemotherapy. These findings are consistent with previously reported results (18). The low incidence of PsP after immunotherapy combined with chemotherapy may be partly due to cytotoxic drugs that induce tumor shrinkage, thus maintaining a low initial progression rate.
PsP typically occurs early during ICI therapy (19), with our study demonstrating a median onset of 8 weeks (range, 2 days to 48 weeks), frequently after two treatment cycles. While 42.5% of cases were asymptomatic, symptomatic presentations (7.5% fever, 10.0% general deterioration) were nonspecific, emphasizing the need for vigilant monitoring. The mean reassessment interval after suspected progression was 5.5 weeks, with most cases (25/32) reevaluated within 6 weeks, though delays of up to 1 year occurred in one case. These findings support structured surveillance, including: (I) close monitoring during initial ICI treatment, particularly after two cycles; (II) systematic iRECIST-based reassessment within 4–8 weeks of suspected progression; and (III) continued vigilance post-ICI discontinuation, given reported late-onset PsP cases (20,21). Early recognition through this monitoring paradigm may prevent inappropriate treatment cessation in responding patients.
Accurate PsP diagnosis remains challenging, as RECIST 1.1 misclassified 87.5% (35/40) of PsP cases as PD, risking premature discontinuation of effective therapy. iRECIST demonstrated superior discriminatory capacity, correctly identifying 77.5% (31/40) as achieving objective responses (iPR/iCR), underscoring its essential role in immunotherapy response assessment (22).
While biopsy remains the gold standard for confirming PsP—as evidenced by histopathological findings in our cohort [85.7% (12/14)] showing CD8+ T-cell-dominant inflammatory infiltration with scant residual tumor cells—its invasive nature limits universal applicability. In clinically stable patients with suspected PsP, a watchful waiting strategy may be justified (22,23). Among 26 PsP cases managed non-invasively, 20 maintained ICI therapy based on sustained symptomatic/radiologic improvement, with subsequent iRECIST assessments confirming one iCR and 16 iPR, all validating the PsP diagnosis. Conversely, for clinically unstable patients (n=5), ICI therapy was discontinued in favor of supportive care; notably, four still achieved iPR per iRECIST during serial monitoring, ultimately supporting PsP. These observations highlight two critical paradigms: (I) time-dependent validation: systematic iRECIST-guided re-evaluation during a predefined watch period (4–8 weeks) can mitigate overdiagnosis of progression; (II) risk-stratified management: biopsy should be prioritized for ambiguous cases. Clinically stable patients may benefit from continued ICI with close monitoring. Clinically unstable patients may consider temporary ICI discontinuation with watchful waiting. Emerging non-invasive strategies, including ctDNA clearance kinetics (8) and FDG-PET metabolic thresholds (24), may further refine diagnostic algorithms.
Our study demonstrates that PsP exhibits diverse imaging patterns, with primary lesion enlargement (40.0%) and metastatic progression (60.0%) being the most prevalent, followed by lymph node enlargement (17.5%) and new lesions (7.5%). These findings align with prior reports suggesting that PsP frequently mimics true progression in both primary and metastatic sites (25). Notably, 5.0% (2/40) of cases demonstrated a paradoxical decrease in pleural effusion volume during PsP—a feature rarely reported in conventional tumor progression (26), suggesting its potential diagnostic value. The chest CT pattern diagram constructed in this study provides a visual summary of imaging features of PsP, thus aiding clinicians in recognizing typical and atypical manifestations. Moreover, it enhances the understanding of the radiological presentation of PsP. These patterns, coupled with biopsy evidence of inflammatory infiltration, support the hypothesis that PsP results from immune cell recruitment and tumor microenvironment remodeling rather than true tumor growth.
Although our proposed diagnostic-therapeutic algorithm logically integrates key observations from this study, its retrospective derivation limits direct clinical applicability. Thus, prospective trials are required to validate its reliability.
There are limitations in this study. Its retrospective design and reliance on literature-derived cases may introduce selection bias. The small sample size limits subgroup analyses, such as the impact of PD-L1 expression or tumor histology on PsP outcomes. Despite our efforts to include grey literature and enforce strict inclusion criteria, publication bias cannot be completely ruled out, as positive outcomes may still be more likely to be reported. However, the consistency of conclusions before and after adding non-journal cases suggests this bias has a minimal effect on our findings. Future multicenter prospective studies with pre-specified outcome reporting will help further validate our conclusions.
Conclusions
This IPD pooled analysis confirms that continuing ICIs after PsP improves survival in lung cancer patients. iRECIST is critical for accurate PsP diagnosis, and the chest CT pattern diagram and proposed diagnostic-therapeutic framework (hypothesis-generating) enhance management consistency. To translate these findings into practice, prospective trials are required to validate the framework and refine risk-adapted treatment strategies.
Acknowledgments
We thank the medical staff across participating centers for their rigorous data collection and the research assistants who conducted systematic PubMed literature screening to identify eligible PsP cases. Special gratitude is extended to Ms. Li Youya for her expertise in designing the standardized chest CT pattern diagrams using BioRender (biorender.com), which significantly enhanced the visual clarity of our findings.
Footnote
Reporting Checklist: The authors have completed the STROBE and PRISMA reporting checklists. Available at https://jtd.amegroups.com/article/view/10.21037/jtd-2025-1381/rc
Data Sharing Statement: Available at https://jtd.amegroups.com/article/view/10.21037/jtd-2025-1381/dss
Peer Review File: Available at https://jtd.amegroups.com/article/view/10.21037/jtd-2025-1381/prf
Funding: This work was supported by
Conflicts of Interest: All authors have completed the ICMJE uniform disclosure form (available at https://jtd.amegroups.com/article/view/10.21037/jtd-2025-1381/coif).The authors have no conflicts of interest to declare.
Ethical Statement: The authors are accountable for all aspects of the work in ensuring that questions related to the accuracy or integrity of any part of the work are appropriately investigated and resolved. The study was conducted in accordance with the Declaration of Helsinki and its subsequent amendments. The study was approved by the Institutional Ethics Committee (Institutional Ethics Committee of Beijing Shijitan Hospital, Capital Medical University) (approval No. SJTKY11-1X-2022-35) and the ethics authorities of collaborating hospitals. Informed consent was waived in this retrospective study.
Open Access Statement: This is an Open Access article distributed in accordance with the Creative Commons Attribution-NonCommercial-NoDerivs 4.0 International License (CC BY-NC-ND 4.0), which permits the non-commercial replication and distribution of the article with the strict proviso that no changes or edits are made and the original work is properly cited (including links to both the formal publication through the relevant DOI and the license). See: https://creativecommons.org/licenses/by-nc-nd/4.0/.
References
- Filho AM, Laversanne M, Ferlay J, et al. The GLOBOCAN 2022 cancer estimates: Data sources, methods, and a snapshot of the cancer burden worldwide. Int J Cancer 2025;156:1336-46. [Crossref] [PubMed]
- Burr JL, Johnson KC, Carmicheal JJ, et al. Combination Immunotherapy With Radiotherapy in Non-Small Cell Lung Cancer: A Review of Evidence. Cancer Med 2024;13:e70402. [Crossref] [PubMed]
- Nakano Y, Serizawa H, Enomoto Y, et al. Early Pseudoprogression After Tarlatamab in Small-Cell Lung Cancer: A Case Report. Respirol Case Rep 2025;13:e70319. [Crossref] [PubMed]
- Young JS, Al-Adli N, Scotford K, et al. Pseudoprogression versus true progression in glioblastoma: what neurosurgeons need to know. J Neurosurg 2023;139:748-59. [Crossref] [PubMed]
- Nelles C, Gräf M, Bernard P, et al. Real-world response assessment of immune checkpoint inhibition: comparing iRECIST and RECIST 1.1 in melanoma and non-small cell lung cancer patients. Eur Radiol 2025;35:2084-93. [Crossref] [PubMed]
- Won SE, Park HJ, Byun S, et al. Impact of pseudoprogression and treatment beyond progression on outcome in patients with non-small cell lung cancer treated with immune checkpoint inhibitors. Oncoimmunology 2020;9:1776058. [Crossref] [PubMed]
- Park HJ, Kim GH, Kim KW, et al. Comparison of RECIST 1.1 and iRECIST in Patients Treated with Immune Checkpoint Inhibitors: A Systematic Review and Meta-Analysis. Cancers (Basel) 2021;13:120. [Crossref] [PubMed]
- Al-Showbaki L, Wilson B, Tamimi F, et al. Changes in circulating tumor DNA and outcomes in solid tumors treated with immune checkpoint inhibitors: a systematic review. J Immunother Cancer 2023;11:e005854. [Crossref] [PubMed]
- Kondo T, Nakatsugawa M, Okubo M, et al. Laryngeal Cancer With Lung Metastases Showing Long-Term Complete Response and Delayed Immune-Related Adverse Event After Nivolumab Discontinuation. Ear Nose Throat J 2025;104:222-7. [Crossref] [PubMed]
- Ferrara R, Signorelli D, Proto C, et al. Novel patterns of progression upon immunotherapy in other thoracic malignancies and uncommon populations. Transl Lung Cancer Res 2021;10:2955-69. [Crossref] [PubMed]
- Galon J, Bruni D. Approaches to treat immune hot, altered and cold tumours with combination immunotherapies. Nat Rev Drug Discov 2019;18:197-218. [Crossref] [PubMed]
- Weber JS, Hodi FS, Wolchok JD, et al. Safety Profile of Nivolumab Monotherapy: A Pooled Analysis of Patients With Advanced Melanoma. J Clin Oncol 2017;35:785-92. [Crossref] [PubMed]
- Iinuma T, Yamada H, Kusuhara S, et al. Intratumoral hemorrhage from brain metastases following nivolumab therapy for malignant melanoma: illustrative case. J Neurosurg Case Lessons 2025;10:CASE2581. [Crossref] [PubMed]
- Rashid AS, Venigalla S, Dzeda M, et al. A Case Report of the Clinico-radiologic Challenges of Assessing Treatment Response after Stereotactic Radiation of Oligometastases Preceded by Immunotherapy: Pseudoprogression, Mixed Response Patterns, and Opportunities for Precision Radiation. Cureus 2019;11:e4264. [Crossref] [PubMed]
- Swami U, Smith M, Zhang J. Central Nervous System Pseudoprogression With Nivolumab in a Patient With Squamous Cell Lung Cancer Followed by Prolonged Response. J Thorac Oncol 2018;13:e183-4. [Crossref] [PubMed]
- Thompson JA, Schneider BJ, Brahmer J, et al. NCCN Guidelines® Insights: Management of Immunotherapy-Related Toxicities, Version 2.2024. J Natl Compr Canc Netw 2024;22:582-92. [Crossref] [PubMed]
- Blakstad H, Mendoza Mireles EE, Heggebø LC, et al. Incidence and outcome of pseudoprogression after radiation therapy in glioblastoma patients: A cohort study. Neurooncol Pract 2024;11:36-45. [Crossref] [PubMed]
- Gonugunta AS, von Itzstein MS, Gerber DE. Pseudoprogression in advanced non-small cell lung cancer treated with combination chemoimmunotherapy: a case report. J Med Case Rep 2022;16:289. [Crossref] [PubMed]
- Nardin C, Vautrot V, Naiken I, et al. Monitoring Pseudoprogression Using Circulating Small Extracellular Vesicles Expressing PD-L1 in a Melanoma Patient Treated With Immune Checkpoint Inhibitors. J Extracell Biol 2025;4:e70066. [Crossref] [PubMed]
- Suyanto S, Yeo D, Khan S. A Rare Delayed Atypical Pseudoprogression in Nivolumab-Treated Non-Small-Cell Lung Cancer. Case Rep Oncol Med 2019;2019:8356148. [Crossref] [PubMed]
- Elias R, Kapur P, Pedrosa I, et al. Renal Cell Carcinoma Pseudoprogression with Clinical Deterioration: To Hospice and Back. Clin Genitourin Cancer 2018;16:485-8. [Crossref] [PubMed]
- Seymour L, Bogaerts J, Perrone A, et al. iRECIST: guidelines for response criteria for use in trials testing immunotherapeutics. Lancet Oncol 2017;18:e143-52. [Crossref] [PubMed]
- Li Y, Zhao J, Li R, et al. Treatment options for tumor progression after initial immunotherapy in advanced non-small cell lung cancer: A real-world study. Neoplasia 2024;57:101043. [Crossref] [PubMed]
- Poindexter BC, Kasireddy NM, Molchanova-Cook OP. F-18 Fluciclovine PET-CT Findings and Pseudoprogression on Immunotherapy. Cureus 2022;14:e30380. [Crossref] [PubMed]
- Taylor C, Ekert JO, Sefcikova V, et al. Discriminators of pseudoprogression and true progression in high-grade gliomas: A systematic review and meta-analysis. Sci Rep 2022;12:13258. [Crossref] [PubMed]
- Liu G, Chen T, Li R, et al. Well-controlled pleural effusion indicated pseudoprogression after immunotherapy in lung cancer: A case report. Thorac Cancer 2018;9:1190-3. [Crossref] [PubMed]


