Optimizing coronary computed tomography angiography image quality with motion-compensated reconstruction: a prospective electrocardiogram-triggered mode with second-generation dual-layer spectral detector computed tomography
Highlight box
Key findings
• The combination of motion-compensated reconstruction (MCR) algorithm with prospective electrocardiogram (ECG)-triggered mode is feasible and provides good image quality and reasonably low radiation dose for coronary computed tomography angiography (CCTA).
What is known and what is new?
• The MCR algorithm represents a novel, useful, software-based solution for motion correction in dual layer spectral detector computed tomography.
• In this study, we assessed the feasibility of utilizing the MCR algorithm in combination with prospective ECG-triggered mode to improve image quality and decrease radiation exposure of CCTA.
What is the implication, and what should change now?
• Minimizing radiation dose while achieving optimal image quality remains a major challenge in CCTA. We proved that the integration of MCR and prospective ECG-triggered mode improves image quality and radiation exposure for CCTA.
Introduction
Coronary computed tomography angiography (CCTA) is a first-line modality for the non-invasive evaluation of coronary arteries. Compared with invasive coronary angiography, which is regarded as the golden standard, the diagnostic performance of CCTA has been proven (1). The dramatic technological advances in computed tomography (CT) scanners have made it a one-stop approach for diagnosis, treatment, and prognosis for coronary artery disease (CAD) over the past few years (2). Aside from offering direct anatomical evaluation of coronary arteries, including coronary artery calcium scores, stenosis severity, plaque classification, and identification of high-risk plaque, CCTA also possesses the ability to provide hemodynamic information by fractional flow reserve, conducive to differentiating ischemic and nonischemic stenosis. However, the accurate assessment of the above parameters depends on good image quality (3,4).
Some adverse factors, such as high heart rates (HRs), arrhythmia, severe calcification and high body mass index increase the possibility of image artifacts, especially motion artifacts, resulting in degraded diagnostic performance for CCTA (5,6). For this reason, various technical solutions have been employed to alleviate motion artifacts in clinical practice, including dual-energy CT technique, 16-cm wide detector CT, 320-detector row CT and motion-correction algorithms (7-9). With the continuous advancements in temporal resolution, a recent study has also focused on the image quality of CCTA at low radiation doses as radiation exposure has been shown to be associated with elevated cancer risk (10). Several dose-lowering strategies have been developed, like low-tube voltage protocols, prospective electrocardiogram (ECG)-triggered sequential acquisition, high-pitch scan mode, and others (11,12).
The dual-layer spectral detector computed tomography (DLCT) is a novel dual-energy technology that involves a single X-ray tube but two detector layers, enabling simultaneous acquisition of low- and high-energy data at exactly the same spatial and temporal domains (13). The spectral data obtained from DLCT can generate a range of spectral multifunctional images and are available for all patients without prospectively selective requirement of the dual-energy protocol before scanning (14). However, the detector width of the second-generation DLCT is 8 cm, leading to the prospective ECG-triggered acquisition of CCTA typically requiring approximately 2–4 cardiac cycles, which is prone to producing misalignment artifact, a type of motion artifact. Motion-compensated reconstruction (MCR) is a unique motion-correction algorithm of the second-generation DLCT, which can automatically generate motion-correction images based on the original scan data (15).
The previous study demonstrated the excellent ability of MCR to mitigate motion artifacts, especially in patients with higher HRs. Nevertheless, all patients in the study underwent retrospective ECG-triggered CCTA, which had a relatively higher radiation dose (16). Thus, we hypothesize that the prospective ECG-triggered CCTA with the MCR algorithm might result in images adequate for analysis with reduced radiation exposure. Accordingly, we conducted this prospective study to assess the feasibility of utilizing the MCR algorithm in combination with prospective ECG-gating to enhance image quality, improve coronary artery interpretability, and decrease radiation exposure of CCTA on the second-generation DLCT. We present this article in accordance with the STROBE reporting checklist (available at https://jtd.amegroups.com/article/view/10.21037/jtd-2025-940/rc).
Methods
Study population
The study was conducted in accordance with the Declaration of Helsinki and its subsequent amendments. The study was approved by the Ethics Committee of West China Hospital of Sichuan University (No. 2022-767, 05/19/2022) and informed consent was obtained from all individual participants. The study is a two-center collaborative project, with West China Hospital of Sichuan University serving as the primary research center, and Wuhan Asia General Hospital adhering to the ethical norms of West China Hospital. All participants signed the same standard informed consent. Between February 2024 to October 2024, we prospectively enrolled 84 patients with known or suspected CAD who underwent CCTA at the two institutions. Exclusion criteria included hypersensitive to iodinated contrast agent, renal insufficiency (creatinine clearance <60 mL/min), pregnancy, previous pacemaker, and previous history of revascularization with stents and/or bypass graft surgery. We divided the patients into two subgroups to compare the motion-correction effect. One group included patients with a regular HR of <75 bpm, while the other group comprised patients with an HR of ≥75 bpm and/or an irregular heart rhythm. No study patients took any HR-lowering medications before scanning.
Image acquisition and reconstruction
All participants underwent CCTA on a second-generation DLCT (Spectral CT 7500, Philips Healthcare, The Netherlands) with prospective ECG triggering. Acquisition parameters were as follows: 128 mm × 0.625 mm detector collimation, 270 milliseconds gantry rotation time, 120 kVp tube voltage and 150 mAs tube current. The patients were injected with a dose of 40–60 mL of iodine contrast agent at a flow rate of 4.5–5 mL/s through the antecubital vein, followed by 30 mL of saline solution with the same infusion rate. The use of iodine contrast agent depended on center preference: West China Hospital of Sichuan University (iomeron 400 mg/mL, Bracco, Milan, Italy) and Wuhan Asia General Hospital (omnipaque, 350 mgI/mL, GE Healthcare, Shanghai, China). Image acquisition was initiated via a bolus-tracking technique with a region of interest (ROI) placed in the aortic root, which automatically started 8.0 s after reaching an attenuation threshold of 110 Hounsfield units. All prospective ECG-gated scans were performed with relatively small X-ray window with 5% tolerance: the image window center was set at 45% (systole) of the R-R interval for the patients with HR ≥75 bpm, thus data acquisition covered 40–50% of the R-R interval; the image window center was set at 75% (diastole) of the R-R interval for the patients with HR <75 bpm, thus data acquisition included 70–80% of the R-R interval.
All images were reconstructed using the iterative model reconstruction (IMR; Cardiac Routine Level 1, Philips Healthcare) algorithm. And motion-corrected images with the application of MCR were automatically reconstructed after scanning. Systolic reconstruction phases mainly included 40%, 45%, and 50% of the R-R interval, while diastolic reconstruction phases mainly included 70%, 75%, and 80% of the R-R interval. If the images reconstructed with the above phases remained inadequate for clinical coronary evaluation, additional phases were manually selected by an experienced technologist for reconstruction. To compensate for coronary motion, at first, an image volume was generated using multi-phase acquisition at and around the target phase (17). Secondly, coronary centerlines were extracted from the acquired data by employing a vessel enhancement filter. Following this, an elastic registration was executed to estimate motion trajectories of each of these volumes. This process produced a motion vector field (MVF) on a per voxel basis, representing the voxel displacement from the target to all adjacent phases. Lastly, motion-corrected images were generated by employing MVF during back-projection (18).
Subjective and objective analysis of image quality
All CCTA data sets were de-identified and anonymized, and analyzed using a dedicated software (IntelliSpace Portal Version 12.1, Philips Healthcare) in a random order. Firstly, a professional technologist selected the cardiac phases with the least motion artifacts for subsequent analysis. Next, two independent cardiovascular radiologists who were blinded to the reconstruction algorithms evaluated the images (reconstructed with the optimal phases) with and without the application of MCR. The subjective image quality was assessed using a 4-point Likert scale based on the presence of motion artifacts on a per-segment level (4= excellent, no visible artifacts; 3= good, mild artifacts; 2= adequate, moderate artifacts but acceptable for routine diagnosis; 1= poor, severe artifacts vitiating accurate assessment) (7). Ten coronary segments of each patient were graded, including left main artery (LM), proximal left anterior descending artery (LAD), mid LAD, distal LAD, proximal left circumflex artery (LCX), distal LCX, the major obtuse marginal branch (OM) or ramus intermedius, proximal right coronary artery (RCA), mid RCA, and distal RCA (19). In the event of differences in scoring between the two observers, consensus was reached through negotiation. Segments with a score of 1 were regarded as non-interpretable, whereas segments graded 2–4 were considered interpretable. Interpretability was calculated as the percentage of interpretable segments over the total evaluated segments. If an evaluated coronary segment was ranked as non-interpretable, the corresponding vessel and patient were considered non-interpretable (20). To calculate the objective metrics, one of the two observers measured CT attenuation and image noise of the proximal segments of the LM, LAD, LCX, and RCA by drawing the circular ROI in the lumen of target vessel and peri-coronary adipose tissue. The ROI size was as large as possible without including parts of the vessel wall or plaques. Image noise was defined as the standard deviation (SD) of CT attenuation. Signal-to-noise ratio (SNR) was measured as the ratio of the lumen attenuation of coronary arteries to image noise. Contrast-to-noise ratio (CNR) was determined by dividing the difference between the coronary lumen attenuation and peri-coronary adipose tissue by image noise (11).
Radiation dose parameters
According to the European Working Group for Guidelines on Quality Criteria in CT, the effective dose (ED) of CCTA was calculated by multiplying the dose-length product (DLP; measured in mGy·cm) by a conversion coefficient for the chest (K =0.014 mSv/mGy·cm) (21).
Statistical analysis
Statistical analysis was performed using SPSS version 29.0 (IBM, Armonk, NY, USA). Continuous values were expressed as mean ± SD or median with interquartile range, while categorical variables were shown as frequencies or percentages. The Shapiro-Wilk test was applied to evaluate the normality of continuous parameters. The paired t-test or Wilcoxon test was used to examine differences in continuous variables with normal or non-normal distribution, respectively. The Chi-squared χ2 test was used to test differences regarding categorical data. Inter-observer agreement for subjective image quality assessment was determined using Kappa value and the levels of agreement were defined as follows: κ <0.20, poor; κ =0.21–0.40, fair; κ =0.41–0.60, moderate; κ =0.61–0.80, good; κ =0.81–1.00, excellent. A value of P<0.05 was considered statistically significant (11).
Results
Study population characteristic
After excluding patients with previous pacemaker implantation (n=5), a history of stent surgery (n=4), and a history of bypass graft surgery (n=2), a total of 73 patients were enrolled in our study. Figure 1 displays the flowchart of patient enrollment. Of these, 36 patients were assigned to the low HR group, and 37 patients to the high HR and/or arrhythmia group. Among the 37 patients, 16 of them were had HR ≥75 bpm and regular rhythm, 11 had HR ≥75 bpm with arrhythmia, and 10 had HR <75 bpm with arrhythmia. Among the 21 patients with different types of arrhythmias, 7 patients (33.3%) had atrial fibrillation (AF), 5 patients (23.8%) had premature ventricular contraction, 7 patients (33.3%) had premature atrial contraction and 2 patients (9.6%) had sinus irregularity. Table 1 provides the patient and CCTA acquisition characteristics of study population. No statistically significant differences were found between the two subgroups regarding demographic data and cardiovascular risk factors. There was a significant difference in HR and HR variability, with the low HR group 60.5±6.1 (range, 46–74), 2.9±1.9, and 75.5±15.8 (range, 49–114), 6.4±8.7 bpm for the high HR and/or arrhythmia group (P<0.05).
Table 1
| Variables | All patients (n=73) | Low HR group (n=36) | High HR and/or arrhythmia group (n=37) | P value† |
|---|---|---|---|---|
| Demographics | ||||
| Age (years) | 56.7±10.8 | 58.1±10.5 | 55.3±11.1 | 0.28 |
| Male/female | 38/35 | 21/15 | 17/20 | 0.29 |
| BMI (kg/m2) | 24.8±2.9 | 24.9±2.9 | 24.6±2.9 | 0.65 |
| Cardiovascular risk factors | ||||
| Current smoker | 17 (23.3) | 8 (22.2) | 9 (24.3) | 0.83 |
| Diabetes mellitus | 12 (16.4) | 6 (16.7) | 6 (16.2) | 0.96 |
| Hypertension | 41 (56.2) | 19 (52.8) | 22 (59.5) | 0.57 |
| Dyslipidemia | 51 (69.9) | 25 (69.4) | 26 (70.3) | 0.94 |
| CCTA data | ||||
| HR during scan (bpm) | 68.1±14.1(46 -114) | 60.5±6.1 (46–74) | 75.5±15.8 (49–114) | <0.001 |
| HR variability (bpm) | 4.7±6.6 (0–40) | 2.9±1.9 (1–9) | 6.4±8.7 (0–40) | 0.02 |
| DLP (mGy) | 232.2±49.6 | 224.1±36.4 | 240.1±59.1 | 0.17 |
| Effective dose (mSv) | 3.3±0.7 | 3.1±0.5 | 3.4±0.8 | 0.17 |
Data are presented as mean ± standard deviation, n, n (%) or mean ± standard deviation (minimum–maximum value). †, “Low HR group” vs. “High HR and/or arrhythmia group”. BMI, body mass index; bpm, beats per minute; CCTA, coronary computed tomography angiography; DLP, dose-length product; HR, heart rate.
Radiation dose parameters
Mean DLP of CCTA were 232.2±49.6, 224.1±36.4, and 240.1±59.1 mGy in the entire population, low HR group, and high HR and/or arrhythmia group, respectively (P=0.09). Mean EDs were 3.3±0.7, 3.1±0.5, and 3.4±0.8 mSv in the entire population, low HR group, and high HR and/or arrhythmia group, respectively (P=0.09).
Subjective image quality and interpretability
The Kappa value for interobserver agreement on subjective image quality scores was 0.81, indicating an excellent agreement. Overall, after applying MCR, the image quality scores and interpretability on the per-segment (2.57±0.99 vs. 3.24±0.67, 80.7% vs. 98.5%), per-artery (1.99±0.89 vs. 2.84±0.66, 62.1% vs. 95.0%) and per-patient (1.49±0.65 vs. 2.32±0.71, 41.4% vs. 86.3%) levels were significantly enhanced in the whole population, with a substantial reduction in the number of non-interpretable segments (all P<0.001). Table 2 shows the detailed subjective image quality scores and interpretability. Figure 2 exhibits the distribution of Likert scores.
Table 2
| Variables | All patients (n=73) | Low HR group (n=36) | High HR and/or arrhythmia group (n=37) | ||||||||
|---|---|---|---|---|---|---|---|---|---|---|---|
| IMR | IMR + MCR | P value | IMR | IMR + MCR | P value | IMR | IMR + MCR | P value | |||
| Per-segment scores | |||||||||||
| LM | 3.21±0.80 | 3.62±0.59 | <0.001 | 3.39±0.65 | 3.58±0.55 | 0.02 | 3.03±0.90 | 3.65±0.63 | <0.001 | ||
| pLAD | 3.21±0.71 | 3.51±0.56 | <0.001 | 3.39±0.69 | 3.58±0.55 | 0.02 | 3.03±0.69 | 3.43±0.56 | <0.001 | ||
| mLAD | 2.79±0.71 | 3.12±0.62 | <0.001 | 2.89±0.58 | 3.11±0.67 | 0.009 | 2.70±0.81 | 3.14±0.59 | <0.001 | ||
| dLAD | 2.27±0.92 | 2.97±0.60 | <0.001 | 2.56±0.81 | 3.03±0.56 | 0.003 | 2.00±0.94 | 2.92±0.64 | <0.001 | ||
| pLCX | 2.92±0.95 | 3.51±0.58 | <0.001 | 3.36±0.64 | 3.53±0.56 | 0.03 | 2.49±1.02 | 3.49±0.61 | <0.001 | ||
| dLCX | 2.22±1.08 | 3.11±0.68 | <0.001 | 2.72±0.91 | 3.19±0.62 | 0.002 | 1.73±1.02 | 3.03±0.73 | <0.001 | ||
| OM | 2.59±0.76 | 3.01±0.51 | <0.001 | 2.83±0.61 | 3.06±0.48 | 0.009 | 2.35±0.82 | 2.97±0.55 | <0.001 | ||
| pRCA | 2.22±1.02 | 3.14±0.67 | <0.001 | 2.67±0.93 | 3.19±0.58 | <0.001 | 1.78±0.92 | 3.08±0.76 | <0.001 | ||
| mRCA | 1.92±0.88 | 3.11±0.76 | <0.001 | 2.31±0.89 | 3.11±0.75 | <0.001 | 1.54±0.69 | 3.11±0.77 | <0.001 | ||
| dRCA | 2.36±1.07 | 3.26±0.75 | <0.001 | 2.72±1.03 | 3.31±0.86 | <0.001 | 2.00±1.00 | 3.22±0.63 | <0.001 | ||
| Overall interpretability | |||||||||||
| Per-segment | 80.7 (589/730) | 98.5 (719/730) | <0.001 | 91.7 (330/360) | 98.9 (356/360) | <0.001 | 70.0 (259/370) | 98.1 (363/370) | <0.001 | ||
| Per-artery | 62.1 (136/219) | 95.0 (208/219) | <0.001 | 83.3 (90/108) | 96.3 (104/108) | 0.002 | 41.4 (46/111) | 93.7 (104/111) | <0.001 | ||
| Per-patient | 41.1 (30/73) | 86.3 (63/73) | <0.001 | 66.7 (24/36) | 91.7 (33/36) | 0.009 | 16.2 (6/37) | 81.1 (30/37) | <0.001 | ||
| Interpretability by artery | |||||||||||
| LAD | 71.2 (52/73) | 97.3 (71/73) | <0.001 | 86.1 (31/36) | 100 (36/36) | 0.06 | 56.8 (21/37) | 94.6 (35/37) | <0.001 | ||
| LCX | 61.6 (45/73) | 95.9 (70/73) | <0.001 | 86.1 (31/36) | 97.2 (35/36) | 0.20 | 37.8 (14/37) | 94.6 (35/37) | <0.001 | ||
| RCA | 53.4 (39/73) | 91.8 (67/73) | <0.001 | 77.8 (28/36) | 91.7 (33/36) | 0.10 | 29.7 (11/37) | 91.9 (34/37) | <0.001 | ||
Values are presented as mean ± standard deviation or % (n/N). d, distal; HR, heart rate; IMR, iterative model reconstruction algorithm; LAD, left anterior descending artery; LCX, left circumflex artery; LM, left main artery; m, mid; MCR, motion-compensated reconstruction; OM, obtuse marginal branch; p, proximal; RCA, right coronary artery.
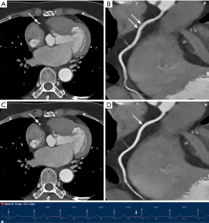
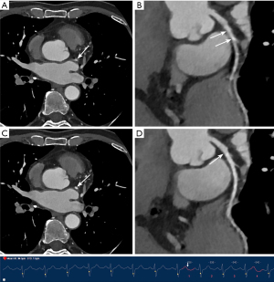
Similarly, the use of MCR significantly improved subjective image quality and interpretability in both subgroups, with a more evident difference observed in the high HR and/or arrythmias group. In the low HR group, although subjective image quality scores performed with MCR displayed a consistent superiority, no significant difference was noted in terms of interpretability by every coronary artery (all P>0.05). Conversely, in the high HR and/or arrythmias group, the application of MCR resulted in a remarkable improvement in interpretability at all levels. Concerning the major three coronary arteries, the greatest benefit in interpretability improvement was found for RCA, where the proportion of arteries considered non-interpretable decreased dramatically from 70.3% to 8.1% (P<0.001). Figures 3-6 display four representative clinical cases, among which Figure 6 contains invasive coronary angiography image.
Objective image quality
Image noise was significantly reduced while SNR and CNR were significantly improved by applying MCR across all vessel territories in the whole population (all P<0.05). Similar results were also observed in the subgroup analysis except for the LM. Table 3 summarizes the detailed objective evaluation indices for LM, LAD, LCX and RCA.
Table 3
| Variables | All population (n=73) | Low HR group (n=36) | High HR and/or arrhythmia group (n=37) | ||||||||
|---|---|---|---|---|---|---|---|---|---|---|---|
| IMR | IMR + MCR | P value | IMR | IMR + MCR | P value | IMR | IMR + MCR | P value | |||
| Image noise (HU) | |||||||||||
| LM | 21.28±8.49 | 19.38±6.41 | 0.04 | 21.22±6.29 | 20.22±6.15 | 0.08 | 21.34±10.33 | 18.54±6.63 | 0.13 | ||
| LAD | 29.81±17.18 | 24.23±12.89 | <0.001 | 27.14±16.96 | 24.70±16.11 | 0.004 | 32.49±17.24 | 23.77±8.80 | <0.001 | ||
| LCX | 26.59±15.04 | 21.98±9.79 | <0.001 | 25.16±16.85 | 20.65±11.37 | 0.005 | 28.02±13.08 | 23.31±7.85 | 0.04 | ||
| RCA | 28.75±15.70 | 23.28±9.04 | <0.001 | 26.48±10.10 | 23.08±7.17 | 0.003 | 31.02±19.69 | 23.47±10.69 | 0.02 | ||
| Signal-to-noise ratio | |||||||||||
| LM | 20.46±9.53 | 21.69±8.24 | 0.045 | 19.44±7.17 | 20.62±7.36 | 0.07 | 21.49±11.44 | 22.75±9.02 | 0.400 | ||
| LAD | 16.53±8.73 | 18.91±8.41 | <0.001 | 18.31±8.57 | 20.34±9.62 | 0.003 | 14.46±7.79 | 18.69±7.31 | <0.001 | ||
| LCX | 18.42±10.15 | 21.81±11.55 | <0.001 | 21.80±11.87 | 24.69±13.74 | 0.02 | 15.04±6.70 | 18.92±8.07 | 0.004 | ||
| RCA | 15.70±6.73 | 19.07±7.20 | <0.001 | 16.53±7.07 | 18.45±6.83 | 0.02 | 14.88±6.38 | 19.69±7.60 | <0.001 | ||
| Contrast-to-noise ratio | |||||||||||
| LM | 25.70±11.38 | 27.19±9.61 | 0.044 | 24.41±8.39 | 25.96±8.27 | 0.055 | 26.99±13.75 | 28.43±10.40 | 0.433 | ||
| LAD | 20.90±10.73 | 23.78±10.51 | <0.001 | 22.97±10.89 | 25.50±12.14 | 0.001 | 18.49±9.39 | 23.45±8.79 | <0.001 | ||
| LCX | 23.08±12.07 | 27.06±13.62 | <0.001 | 26.83±14.05 | 30.35±8.24 | 0.01 | 19.32±8.34 | 23.78±9.85 | 0.01 | ||
| RCA | 19.77±8.22 | 23.79±8.71 | <0.001 | 20.66±8.81 | 23.02±8.35 | 0.02 | 18.87±7.62 | 24.56±9.12 | 0.003 | ||
Data are presented as mean ± standard deviation. HR, heart rate; HU, Hounsfield unit; IMR, iterative model reconstruction; LAD, left anterior descending artery; LCX, left circumflex artery; LM, left main artery; MCR, motion-compensated reconstruction; RCA, right coronary artery.
Discussion
To our knowledge, this is the first study to explore the performance of this novel MCR algorithm combined with prospective ECG-gating in optimizing coronary artery visualization and radiation dose of CCTA in clinical realm. The main findings of our study are as follows: (I) MCR shows a great benefit in subjective, objective image quality and interpretability improvement; (II) between subgroups analysis, the MCR’s motion-correction ability is more pronounced for the high HR and/or arrhythmia group; (III) prospective ECG-triggering scan mode is associated with reasonably low radiation exposure (<3.5 mSv). These findings suggest that the combination of MCR and prospective ECG-gating is a promising and feasible approach for CCTA performed on the second-generation DLCT.
Minimizing radiation dose while maintaining optimal image quality remains a major challenge in cardiac CT, especially for patients with high HR and irregular heart rhythm. Since the raising concerns about the adverse effects of radiation exposure, some measures have been implemented to achieve maximum dose reduction. Prospective ECG-triggered protocol is one of the most ED-reduction techniques (22). Hosch et al. demonstrated that prospective ECG-triggered CCTA on the 256-slice Brilliance iCT scanner (Philips Healthcare) leads to a substantial dose savings by up to 75%, while maintaining image quality compared to retrospective scan mode (23). This was also confirmed in our analysis, where the mean EDs was 3.3 mSv, significantly lower than the 7.3 mSv previously reported for retrospective ECG-gating acquisition (16). However, the EDs in our study were slightly higher than study by Hosch (3.3 vs. 3.1 mSv). Of note, owing to differences in the inherent properties of the scanners, the 256-slice Brilliance iCT could only provide conventional single-energy image, whereas all CCTA examinations in our study were performed using dual-energy mode on the second-generation DLCT. The spectral data obtained from DLCT can generated a range of spectral images, such as virtual monoenergetic imaging at different KeV levels, which has been proven to provide additional useful information over single-energy CT, further expanding the diagnostic value of CCTA (24).
Prospective ECG-triggered employs the partial-scan technique, also referred to as step-and-shoot method, resulting in data acquisition only occurring in the selected cardiac phases. Consequently, to avoid incorrect identification of next R-R interval when HR varies, it is more appropriate for patients with low and stable HRs (25,26). However, our results provided evidence that MCR could be beneficial for such patients, as MCR significantly mitigated motion artifacts.
With the advent of dual source CT, prospectively ECG-triggered high-pitch spiral acquisition represents a useful method for dramatical reduction of radiation dose. It possesses the ability to perform CCTA utilizing very high pitch values (3.0 or higher), thus permitting image acquisition for the entire volumetric data within one single cardiac cycle (27). The application of such mode could result in a considerable dose-saving while maintaining comparable image quality, as shown in the previous studies (28,29). Moreover, radiation dose can be further reduced by lowering the kVp value in the high-pitch mode (30). Zhang et al. demonstrated that high-pitch protocol with a tube voltage of 70 kVp enables coronary arteries evaluation without compromising image quality, despite EDs below 1 mSv (11). However, low HR and regular rhythm have been considered prerequisites for this acquisition protocol to ensure an adequate examination and hinder false initiation of scan induced by variations in R-R interval (31).
MCR showed remarkable improvements in subjective image quality and interpretability in the overall population and both subgroups, an observation that was particularly evident for the higher HRs (HR ≥75 bpm), which is consistent with previous research (15,16). Notably, the inclusion criteria of patients with arrhythmia were less strictly controlled in the present study, rendering our study population relatively more representative for an actual clinical scenario. Motion artifacts produced by a constantly beating heart deteriorates the delineation of coronary arteries, especially for patients with AF characterized by high HR and high HR variability, which have traditionally been excluded from CCTA examinations (32,33). However, CCTA with the application of MCR achieved sufficient image quality, tremendously reducing the ratio of segments deemed non-interpretable from 30.0% to 1.9% in the high HR and/or arrythmias group.
Analysis by segments revealed that the mid-segment of the RCA yielded the lowest image quality because it is perpendicular to the scanning plane leading to the most severe motion artifacts (34). As a result, the greatest benefit from MCR was obtained in this segment. In the low HR group, despite the continuous superiority of subjective image quality scores with the use of MCR across all evaluated segments, there was no significant difference regarding interpretability for every coronary artery. A plausible explanation for this result is that patients with lower HRs are less susceptible to motion artifacts due to possessing having relatively longer diastolic phase of the cardiac cycle, usually referred to as the “cardiac quiescence” phase (35). Consequently, there would be less room for the motion-correction algorithm to enhance image quality. Additionally, the sample size of this subgroup was limited, which might be an important factor contributing to the lack of statistical significance. Therefore, MCR showed limited improvements in this regard.
The key to minimizing motion artifacts relies on slowing down HR and controlling HR variability. However, as strict HR control is not always possible in clinical routine, the capability of CCTA to maintain diagnostic performance in the setting of elevated or variable HR is of great importance. Some strategies have been applied to improve the temporal resolution of CT scanners and correct motion artifacts. The whole-heart coverage CT scanner equipped with a 16-cm z-axis wide detector in combination with 280 milliseconds gantry rotation time enables CCTA examination within a single heartbeat, considerably reducing motion artifacts (36,37). Andreini et al. demonstrated the usefulness of such CT, which allowed coronary evaluation with excellent image quality even for AF patients. Moreover, motion artifacts can be further mitigated by additional reconstruction using an intra-cycle motion correction algorithm (7). In addition to these methods, deep learning serves as a useful alternative for motion artifact correction. Zhang et al. developed a generative adversarial network and proved its effectiveness in generating motion-correction images (38).
It is worth mentioning that with the application of MCR, the objective image quality was significantly improved, as evidenced by lower image noise as well as higher SNR and CNR. This phenomenon might be associated with the MCR’s process of addressing motion artifacts. The motion-correction ability of MCR is based on the raw data, which involves multiphasic acquisition at and around the reference cardiac phase. That is, with the use of MCR, images were reconstructed with the motion-corrected raw data and the motion-correction process was full-automatic. Thus, images applied with MCR have better and clearer delineation of coronary arteries compared to those without due to the motion-correction effect. Consequently, with the effective removal of motion artifacts by MCR, image noise (defined as standard deviation of CT attenuation of coronary artery) was reduced. But it did not indicate that the MCR algorithm has an exceptionally strong noise-reduction capability. However, no significant difference was observed regarding image noise, SNR and CNR in the subgroups analysis of LM. A previous study suggested that coronary motion artifacts are closely tied to the velocities of coronary arteries. The LM’s lowest velocity among all coronary segments makes it less prone to motion artifacts (35). Accordingly, the MCR’s motion-correction ability would be limited for LM. However, further validation of the above claims is required.
Some limitations of our study deserve consideration. First, although this prospective study was performed at two institutions, the sample size was small. Larger sample size multi-center studies are needed to validate our results. Second, we only graded 10 segments of major coronary arteries, and thus smaller branches were excluded to avoid complexity in data analysis caused by coronary variations. Third, the information of coronary artery calcium scores and stenosis severity was not available in this study. The presence of extensive calcification or advanced atherosclerosis could have a negative impact on the diagnostic accuracy of CCTA. These factors may also influence the performance of the MCR algorithm. Furthermore, since only a small proportion of patients underwent invasive coronary angiography, a comparison of diagnostic performance for stenosis was impossible. However, this was not the focus of the study.
Conclusions
Our study demonstrates that the concurrent utilization of the MCR algorithm and prospective ECG-triggered mode performed with second-generation DLCT is not only feasible, but also provides good image quality and relatively low radiation exposure for CCTA. Notably, the MCR algorithm significantly improved motion artifact correction, particularly in patients with elevated or variable HRs, highlighting its strong clinical utility in real-word scenarios where HR variability is common.
Acknowledgments
We are grateful to the patients for their contributions to this study.
Footnote
Reporting Checklist: The authors have completed the STROBE reporting checklist. Available at https://jtd.amegroups.com/article/view/10.21037/jtd-2025-940/rc
Data Sharing Statement: Available at https://jtd.amegroups.com/article/view/10.21037/jtd-2025-940/dss
Peer Review File: Available at https://jtd.amegroups.com/article/view/10.21037/jtd-2025-940/prf
Funding: This work was supported by
Conflicts of Interest: All authors have completed the ICMJE uniform disclosure form (available at https://jtd.amegroups.com/article/view/10.21037/jtd-2025-940/coif). S.G. and H.L. are currently employees of Philips Healthcare. L.P. reports funding from the National Natural Science Foundation of China (No. 81601462) and the Key Research & Development Project of Science and Technology of Sichuan Province (No. 2021YFS0142). The other authors have no conflicts of interest to declare.
Ethical Statement: The authors are accountable for all aspects of the work in ensuring that questions related to the accuracy or integrity of any part of the work are appropriately investigated and resolved. The study was conducted in accordance with the Declaration of Helsinki and its subsequent amendments. The study was approved by the Ethics Committee of West China Hospital of Sichuan University (No. 2022-767, 05/19/2022) and informed consent was obtained from all individual participants.
Open Access Statement: This is an Open Access article distributed in accordance with the Creative Commons Attribution-NonCommercial-NoDerivs 4.0 International License (CC BY-NC-ND 4.0), which permits the non-commercial replication and distribution of the article with the strict proviso that no changes or edits are made and the original work is properly cited (including links to both the formal publication through the relevant DOI and the license). See: https://creativecommons.org/licenses/by-nc-nd/4.0/.
References
- Vrints C, Andreotti F, Koskinas KC, et al. 2024 ESC Guidelines for the management of chronic coronary syndromes. Eur Heart J 2024;45:3415-537. [Crossref] [PubMed]
- Abdelrahman KM, Chen MY, Dey AK, et al. Coronary Computed Tomography Angiography From Clinical Uses to Emerging Technologies: JACC State-of-the-Art Review. J Am Coll Cardiol 2020;76:1226-43. [Crossref] [PubMed]
- Celeng C, Leiner T, Maurovich-Horvat P, et al. Anatomical and Functional Computed Tomography for Diagnosing Hemodynamically Significant Coronary Artery Disease: A Meta-Analysis. JACC Cardiovasc Imaging 2019;12:1316-25. [Crossref] [PubMed]
- Serruys PW, Hara H, Garg S, et al. Coronary Computed Tomographic Angiography for Complete Assessment of Coronary Artery Disease: JACC State-of-the-Art Review. J Am Coll Cardiol 2021;78:713-36. [Crossref] [PubMed]
- Alkadhi H, Scheffel H, Desbiolles L, et al. Dual-source computed tomography coronary angiography: influence of obesity, calcium load, and heart rate on diagnostic accuracy. Eur Heart J 2008;29:766-76. [Crossref] [PubMed]
- Kalisz K, Buethe J, Saboo SS, et al. Artifacts at Cardiac CT: Physics and Solutions. Radiographics 2016;36:2064-83. [Crossref] [PubMed]
- Andreini D, Pontone G, Mushtaq S, et al. Atrial Fibrillation: Diagnostic Accuracy of Coronary CT Angiography Performed with a Whole-Heart 230-µm Spatial Resolution CT Scanner. Radiology 2017;284:676-84. [Crossref] [PubMed]
- Rybicki FJ, Otero HJ, Steigner ML, et al. Initial evaluation of coronary images from 320-detector row computed tomography. Int J Cardiovasc Imaging 2008;24:535-46. [Crossref] [PubMed]
- Li Y, Yu M, Li W, et al. Third generation dual-source CT enables accurate diagnosis of coronary restenosis in all size stents with low radiation dose and preserved image quality. Eur Radiol 2018;28:2647-54. [Crossref] [PubMed]
- Bosch de Basea M, Thierry-Chef I, Harbron R, et al. Risk of hematological malignancies from CT radiation exposure in children, adolescents and young adults. Nat Med 2023;29:3111-9. [Crossref] [PubMed]
- Zhang LJ, Wang Y, Schoepf UJ, et al. Image quality, radiation dose, and diagnostic accuracy of prospectively ECG-triggered high-pitch coronary CT angiography at 70 kVp in a clinical setting: comparison with invasive coronary angiography. Eur Radiol 2016;26:797-806. [Crossref] [PubMed]
- Lell MM, Wildberger JE, Alkadhi H, et al. Evolution in Computed Tomography: The Battle for Speed and Dose. Invest Radiol 2015;50:629-44. [Crossref] [PubMed]
- McCollough CH, Leng S, Yu L, et al. Dual- and Multi-Energy CT: Principles, Technical Approaches, and Clinical Applications. Radiology 2015;276:637-53. [Crossref] [PubMed]
- Rassouli N, Etesami M, Dhanantwari A, et al. Detector-based spectral CT with a novel dual-layer technology: principles and applications. Insights Imaging 2017;8:589-98. [Crossref] [PubMed]
- Dobrolinska MM, Tetteroo PM, Greuter MJW, et al. The influence of motion-compensated reconstruction on coronary artery analysis for a dual-layer detector CT system: a dynamic phantom study. Eur Radiol 2024;34:4874-82. [Crossref] [PubMed]
- Liu S, Huang L, Gui S, et al. Optimizing coronary CT angiography quality with motion-compensated reconstruction for second-generation dual-layer spectral detector CT. Eur Radiol 2025;35:381-92. [Crossref] [PubMed]
- Koken P, Grass M. Aperture weighted cardiac reconstruction for cone-beam CT. Phys Med Biol 2006;51:3433-48. [Crossref] [PubMed]
- van Stevendaal U, von Berg J, Lorenz C, et al. A motion-compensated scheme for helical cone-beam reconstruction in cardiac CT angiography. Med Phys 2008;35:3239-51. [Crossref] [PubMed]
- Balaney B, Vembar M, Grass M, et al. Improved visualization of the coronary arteries using motion correction during vasodilator stress CT myocardial perfusion imaging. Eur J Radiol 2019;114:1-5. [Crossref] [PubMed]
- Liang J, Sun Y, Ye Z, et al. Second-generation motion correction algorithm improves diagnostic accuracy of single-beat coronary CT angiography in patients with increased heart rate. Eur Radiol 2019;29:4215-27. [Crossref] [PubMed]
- Halliburton SS, Abbara S, Chen MY, et al. SCCT guidelines on radiation dose and dose-optimization strategies in cardiovascular CT. J Cardiovasc Comput Tomogr 2011;5:198-224. [Crossref] [PubMed]
- Hirai N, Horiguchi J, Fujioka C, et al. Prospective versus retrospective ECG-gated 64-detector coronary CT angiography: assessment of image quality, stenosis, and radiation dose. Radiology 2008;248:424-30. [Crossref] [PubMed]
- Hosch W, Heye T, Schulz F, et al. Image quality and radiation dose in 256-slice cardiac computed tomography: comparison of prospective versus retrospective image acquisition protocols. Eur J Radiol 2011;80:127-35. [Crossref] [PubMed]
- D'Angelo T, Lanzafame LRM, Micari A, et al. Improved Coronary Artery Visualization Using Virtual Monoenergetic Imaging from Dual-Layer Spectral Detector CT Angiography. Diagnostics (Basel) 2023;13:2675. [Crossref] [PubMed]
- Maruyama T, Takada M, Hasuike T, et al. Radiation dose reduction and coronary assessability of prospective electrocardiogram-gated computed tomography coronary angiography: comparison with retrospective electrocardiogram-gated helical scan. J Am Coll Cardiol 2008;52:1450-5. [Crossref] [PubMed]
- Hausleiter J, Meyer TS, Martuscelli E, et al. Image quality and radiation exposure with prospectively ECG-triggered axial scanning for coronary CT angiography: the multicenter, multivendor, randomized PROTECTION-III study. JACC Cardiovasc Imaging 2012;5:484-93. [Crossref] [PubMed]
- Hausleiter J, Bischoff B, Hein F, et al. Feasibility of dual-source cardiac CT angiography with high-pitch scan protocols. J Cardiovasc Comput Tomogr 2009;3:236-42. [Crossref] [PubMed]
- Achenbach S, Marwan M, Ropers D, et al. Coronary computed tomography angiography with a consistent dose below 1 mSv using prospectively electrocardiogram-triggered high-pitch spiral acquisition. Eur Heart J 2010;31:340-6. [Crossref] [PubMed]
- Deseive S, Pugliese F, Meave A, et al. Image quality and radiation dose of a prospectively electrocardiography-triggered high-pitch data acquisition strategy for coronary CT angiography: The multicenter, randomized PROTECTION IV study. J Cardiovasc Comput Tomogr 2015;9:278-85. [Crossref] [PubMed]
- Zhang LJ, Qi L, Wang J, et al. Feasibility of prospectively ECG-triggered high-pitch coronary CT angiography with 30 mL iodinated contrast agent at 70 kVp: initial experience. Eur Radiol 2014;24:1537-46. [Crossref] [PubMed]
- Achenbach S, Marwan M, Schepis T, et al. High-pitch spiral acquisition: a new scan mode for coronary CT angiography. J Cardiovasc Comput Tomogr 2009;3:117-21. [Crossref] [PubMed]
- Leschka S, Wildermuth S, Boehm T, et al. Noninvasive coronary angiography with 64-section CT: effect of average heart rate and heart rate variability on image quality. Radiology 2006;241:378-85. [Crossref] [PubMed]
- Mushtaq S, Conte E, Melotti E, et al. Coronary CT Angiography in Challenging Patients: High Heart Rate and Atrial Fibrillation. A Review. Acad Radiol 2019;26:1544-9. [Crossref] [PubMed]
- Achenbach S, Ropers D, Holle J, et al. In-plane coronary arterial motion velocity: measurement with electron-beam CT. Radiology 2000;216:457-63. [Crossref] [PubMed]
- Husmann L, Leschka S, Desbiolles L, et al. Coronary artery motion and cardiac phases: dependency on heart rate -- implications for CT image reconstruction. Radiology 2007;245:567-76. [Crossref] [PubMed]
- Andreini D, Pontone G, Mushtaq S, et al. Low-dose CT coronary angiography with a novel IntraCycle motion-correction algorithm in patients with high heart rate or heart rate variability. Eur Heart J Cardiovasc Imaging 2015;16:1093-100. [Crossref] [PubMed]
- Andreini D, Pontone G, Mushtaq S, et al. Image quality and radiation dose of coronary CT angiography performed with whole-heart coverage CT scanner with intra-cycle motion correction algorithm in patients with atrial fibrillation. Eur Radiol 2018;28:1383-92. [Crossref] [PubMed]
- Zhang L, Jiang B, Chen Q, et al. Motion artifact removal in coronary CT angiography based on generative adversarial networks. Eur Radiol 2023;33:43-53. [Crossref] [PubMed]

