Wuhu decoction regulates ROS/AMPK/mTOR pathway-mediated dendritic cells autophagy and pyroptosis for the treatment of respiratory syncytial virus-induced asthma
Highlight box
Key findings
• Wuhu decoction (WHD) alleviates respiratory syncytial virus (RSV)-induced asthma by regulating dendritic cell (DC) autophagy and pyroptosis via the reactive oxygen species (ROS)/AMPK/mTOR pathway.
What is known and what is new?
• RSV infection contributes to asthma pathogenesis through oxidative stress, impaired autophagy, and DC pyroptosis.
• This study reveals that WHD targets the ROS/AMPK/mTOR axis to restore DC autophagy, inhibit pyroptosis, and improve asthma outcomes.
What is the implication, and what should change now?
• WHD may represent a novel therapeutic strategy for RSV-induced asthma, warranting further preclinical and clinical validation.
Introduction
Bronchial asthma is a respiratory disorder marked by persistent airway inflammation, increased airway sensitivity, and structural changes in the airways (1). Globally, there are approximately 300 million asthma patients, and it is projected that by 2025, the number of individuals affected by asthma will rise to 400 million, with childhood bronchial asthma incidence gradually rising as well (2). The pathogenesis of asthma is not yet fully understood but it may be related to factors such as viral infections, oxidative stress, and inflammatory mechanisms (3). At present, prolonged use of inhaled corticosteroids is the primary treatment for pediatric asthma (4,5). However, the prognosis of childhood asthma remains unsatisfactory, and there are potential clinical side effects of chemical drug treatment, therefore, it is essential to investigate potential mechanisms underlying pediatric asthma and pinpoint potential treatment targets.
Respiratory syncytial virus (RSV)-induced bronchiolitis damages the airways, leading to airway obstruction and recurrent wheezing (6). Dendritic cells (DCs) have a distinct function in activating naive T cells, leading to Th1/Th2 imbalance and chronic airway inflammation in the body (7). Autophagy is the process of degrading unnecessary or dysfunctional cellular components, including misfolded proteins and damaged organelles, to modulate cellular homeostasis (8,9). Studies on autophagy genes and asthma suggest that DCs autophagy may be involved in asthma pathogenesis (9,10). Previous findings have confirmed that autophagy induction in DCs in asthmatic mice models can lead to increased airway hyperresponsiveness, mediating chronic airway inflammation and airway remodeling (9). Pyroptosis is a newly discovered and confirmed form of programmed cell death, characterized by caspase-1 activation, which forms pores on the cell membrane, leading to changes in intracellular and extracellular osmotic pressure, promoting release of large amounts of pro-inflammatory factors, and triggering inflammation and immune responses (11,12). Pyroptosis is widely involved in respiratory disease pathogenesis including bronchial asthma (13). RSV infection can activate the NLR family pyrin domain containing 3 (NLRP3) inflammasome to induce cell pyroptosis (14). Additionally, the levels of NLRP3 and interleukin (IL)-18 proteins in airway epithelial cells, as well as IL-1β in serum, sputum, and bronchoalveolar lavage fluid of asthma patients, are higher than those of healthy individuals (15,16). The comprehensive research above suggests that regulating DCs autophagy and pyroptosis may be a new mechanism for treating RSV-induced asthma.
The classical formula Wuhu decoction (WHD) consists of ephedra, almond, licorice, green tea, and gypsum. The whole formula has the functions of ventilating the lung, lowering qi, stopping cough, and relieving asthma (17,18). In clinical practice, we have found that Wuhu soup has significant efficacy in treating asthma attacks. Previous experimental study has confirmed that WHD in alleviating the occurrence and development of RSV-induced asthma in mice may be related to its upregulation of DCs autophagy levels in lungs from asthmatic mice (18), but its specific mechanism remains unclear. Consequently, this research seeks to investigate mechanisms of WHD on RSV-induced asthma from the perspectives of cellular autophagy and pyroptosis through animal experiments, providing reliable experimental evidence for preventing and treating asthma with WHD. We present this article in accordance with the ARRIVE reporting checklist (available at https://jtd.amegroups.com/article/view/10.21037/jtd-2025-881/rc).
Methods
Animals
One hundred male Bagg Albino (BALB)/c mice (3 weeks old, weighing 15–18 g) were obtained from Hunan SJA Laboratory Animal Co., Ltd. (Changsha, China). The mice were housed in groups of four per cage in rooms and kept at 22±0.7 ℃ with a 12-hour light-dark cycle. Food and water were freely available throughout the duration of the experiments. A protocol was prepared before the study without registration. All animal experiments were performed under a project license (No. 202207) granted by the Institutional Animal Care and Use of Committee of Changsha Social College, in compliance with institutional guidelines for the care and use of animals.
WHD preparation
WHD contains 2.4 g ephedra, 6.0 g apricot kernel, 9.0 g gypsum fibrosum, 2.4 g licorice root, and 4.8 g green tea leaf 4.8 g. The above herbal ingredients were purchased from The First Hospital of Hunan University of Chinese Medicine (Changsha, China). After mixing all Chinese herbs evenly, herbs were soaked in 5 times distilled water for 30 minutes, followed by reflux extraction for 40 minutes. The decoction was filtered and then diluted with 5 times distilled water, subsequently by another 40 minutes of reflux extraction. The two decoctions were mixed evenly and concentrated to 2.46 g/mL using a rotary evaporator. The decoctions were aliquoted into 100 mL portions, sealed, and stored in a −20 ℃ refrigerator for use (19).
Asthma induction and intervention procedures
Fifteen male BALB/c mice were designated randomly as controls, and remaining 85 mice were designated as model group. For mice asthma induction, mice from model group were intranasally administered with RSV (0.05 mL) and intraperitoneally injected with 0.25 mL 1% ovalbumin (OVA); mice from control group were intranasally administered by 0.05 mL of Hep-2 cell solution and intraperitoneally injected by 0.25 mL saline. On day 9, mice were introduced into a chamber and exposed to 1% OVA aerosol for 30 minutes every other day for 2 weeks. For control group, animals were exposed to saline aerosol for 30 minutes every other day over the same 2-week period. Following induction, mice in the model group exhibited symptoms such as nodding respiration, lethargy, shortness of breath, and abdominal muscle tension. Subsequently, 5 mice randomly from control group and 5 mice randomly selected from model group were used for evaluating the airway responsiveness to confirm the success of asthma model induction.
After asthma induction, the 80 asthmatic mice were designated randomly into eight groups—model group (n=10): mice received oral and intraperitoneal administration of 0.9% saline daily for 14 days; low-dose WHD group (n=10): mice received oral administration of 1.6 g/kg WHD daily and intraperitoneal injection of saline daily for 2 weeks; medium-dose WHD group (n=10): mice received oral administration of 3.2 g/kg WHD daily and intraperitoneal injection of saline daily for 2 weeks; high-dose WHD group (n=10): mice received oral administration of 6.4 g/kg WHD daily and intraperitoneal injection of saline daily for 2 weeks (20); dexamethasone group: mice received intraperitoneal administration of 1.82 mg/kg dexamethasone daily and oral administration of 0.9% saline for 2 weeks; rapamycin group: mice received intraperitoneal administration of 1 mg/kg rapamycin daily and oral administration of 0.9% saline daily for 2 weeks; 3-MA group: mice received intraperitoneal administration of 15 mg/kg 3-MA daily and oral administration of 0.9% saline for 2 weeks; MCC950 group: mice received intraperitoneal administration of 10 mg/kg MCC950 daily and oral administration of 0.9% saline for 2 weeks. For the control group (n=10), mice received oral and intraperitoneal administration of 0.9% saline daily for 2 weeks. At 24 h after last drug administration, animals were anaesthetized with pentobarbital sodium (60 mg/kg i.p.) for subsequent airway responsiveness test and tissues collection. Group allocation was performed by a designated researcher who was aware of the assignments to ensure appropriate dosing and intervention. During the conduct of the experiment, investigators administering treatments were necessarily aware of group allocation due to the distinct preparation of study drugs. All outcome assessments were conducted by investigators blinded to group allocation. Data entry and statistical analyses were performed by an independent researcher who remained blinded to the experimental groups until completion of the analysis.
Airway responsiveness evaluation
For the responsiveness evaluation, mice were anesthetized with pentobarbital sodium (60 mg/kg i.p.), a tracheal cannula was inserted via tracheotomy for mechanical ventilation, and a small catheter (22 G) was inserted into external jugular vein for acetylcholine (Ach) administration. Place subject in the plethysmograph chamber, connect the animal to the ventilator (Buxco, Wilmington, USA, model DHX-50), and adjust the corresponding parameters (frequency: 75 breaths/min, tidal volume: 8 mL/kg). Record the initial airway resistance, flow rate, and changes in tidal volume. Once the baseline airway pressure stabilizes, administer aerosolized Ach at various concentrations (0, 6.25, 12.5, 25, 50 µg/mL) to the mouse, with each concentration inhaled at 0.1 mL. Record the data from 5–60 seconds after each concentration of Ach is nebulized. Analyze and calculate the maximum lung resistance (RL) using the airway resistance and lung compliance analysis software (Buxco). At the end, animals were sacrificed, and lung tissues were collected.
Histology analysis of lung tissues
The 4% paraformaldehyde-fixed lung tissues were embedded in paraffin. These paraffin-embedded lung tissues were sliced into 5 µm-thick sections followed by hematoxylin and eosin (H&E; #P032IH; Auragene, Bengaluru, Karnataka, India), periodic acid-Schiff (PAS; # G1243; Solarbio, Beijing, China), and Masson’s trichrome (#G1285; Solarbio) staining. For H&E, paraffin sections were first dried at 60 ℃ in an oven, then deparaffinized with xylene, and rehydrated using a 100% to 75% gradient alcohol. After treated with hematoxylin for 2 minutes, samples were rinsed in 1% hydrochloric acid for 10 seconds, followed by a 10-second immersion in 75% alcohol and a rinse with tap water for 10 seconds. Next, sections were incubated with eosin staining for 5 minutes, followed by 85% to 100% gradient alcohol and xylene. For PAS staining, the deparaffinized sections were rehydrated using the same alcohol gradient and rinsed twice with hot water (30–40 ℃) for 60 seconds each. PAS staining with carried by following manufacturer’s instructions; the sections were then coverslipped. Similarly, for Masson staining, the deparaffinized sections underwent the same rehydration process and were rinsed with hot water (30–40 ℃) twice for 60 seconds each.
Reactive oxygen species (ROS) level detection
After shredding lung tissues, transfer it to a 15 mL centrifuge tube, add 5 mL of digestion solution, and digest at 37 ℃ on a shaker at 120 rpm for 30 minutes. Then, add 2 mL of complete Dulbecco’s Modified Eagle Medium (DMEM) to stop digestion. Digested cell suspension is filtered through a 70 µm cell strainer, and remaining tissue is grounded by pressing the bottom of a 5 mL syringe piston. Wash the filter with 5 mL of complete DMEM culture medium, centrifuge for 5 minutes at 1,000 rpm, discard the supernatant, wash cell pellet once with phosphate-buffered saline (PBS), and centrifuge for 5 minutes at 1,000 rpm. Add 200 µL of the diluted 2’,7’-dichlorofluorescin diacetate (DCFH-DA) to cell pellet, and incubate at 37 ℃ in the dark for 30 minutes. Wash cells once with serum-free cell culture medium following by detecting fluorescence intensity using a flow cytometer (BD Biosciences, Franklin Lakes, NJ, USA).
Electron microscopy
Take the lung tissue and fix it in 2.5% glutaraldehyde for 6–12 hours. Wash 3× times with 0.1 M phosphate buffer solution, each time for 10–15 minutes. Fix with 1% osmium tetroxide for 120 mins, dehydrate gradually with ethanol, embed in epoxy resin, and bake for 12 hours in 40 ℃ oven followed by 48 hours in 60 ℃ oven. Slice using an ultramicrotome, with a thickness of 50–100 nm. After double staining with uranyl acetate and lead nitrate, observe autophagosomes in lung tissue using a Hitachi JEM1400 transmission electron microscope (Tokyo, Japan), and record images using Morada G3 camera (Münster, North Rhine-Westphalia, Germany).
Isolation of DCs from lung tissues
DCs were isolated by using MACS Mouse Lung Dissociation Kit (Bergisch Gladbach, North Rhine-Westphalia, Germany). Red blood cells were removed by lung perfusion. Mouse lungs were cut into small pieces and lung lobes were rinsed with PBS. Add the lung tissue to enzyme solution and incubate at 37 ℃ on a shaker for 40 minutes. After a brief centrifugation, samples were resuspended and were filtered through a filter. Cell suspension was collected by centrifuging at 300 ×g for 5 minutes. Supernatant was completely removed, and pellet was resuspended to obtain a single-cell suspension. Suspension was centrifuged again at 300 ×g for 10 minutes, and supernatant was thoroughly discarded. Cell pellet was resuspended in 400 µL of buffer per 108 cells; 100 µL of CD11c MicroBeads UltraPure per 108 cells was added. Mixture was thoroughly mixed and incubated in dark at 4 ℃ for 10 minutes. Cells were washed with 10 mL of buffer per 108 cells, centrifuged at 300 ×g for 10 minutes, supernatant was completely removed, and cells were resuspended in 500 µL of buffer for later use. The column was placed in the magnetic field of the MACS separator, LS column was washed with an appropriate amount of buffer, and cell suspension was applied to the column. Liquid was allowed to pass through, and column was washed three times with buffer. The column was removed from separator, placed in a suitable collection tube, 5 mL of buffer was added to the column, and plunger was immediately pushed firmly to elute the magnetically labeled cells. The magnetic separation process was repeated twice more with a new column to isolate DCs.
Western blot
Proteins from lung tissues and DCs were extracted using cell lysis buffer (Cell Signaling Technologies, Beverly, MA, USA) containing protease and phosphatase inhibitors. Resultant supernatants were assayed for total protein content using the DC protein Assay kit (BioRad, Hercules, CA, USA). Approximately 30 µg of each lysate were loaded on 10% sodium dodecyl sulfate-polyacrylamide gel electrophoresis and transferred onto 0.22 µm polyvinylidene fluoride membranes. Membranes were blocked with 5.0% bovine serum albumin and probed with antibodies against α-smooth muscle actin (α-SMA; 1:1,000; #14395-1-AP; Proteintech, Rosemont, IL, USA), transforming growth factor-β (TGF-β; 1:1,000; #21898-1-AP; Proteintech), LC3 (1:1,000; #14600-1-AP; Proteintech), p62 (1:5,000; #18420-1-AP; Proteintech), NLRP3 (1:500; #27458-1-AP; Proteintech), caspase-1 (1:1,000; #ab138483; Abcam, Waltham, MA, USA), IL-1β (1:500; #16806-1-AP; Proteintech), IL-18 (1:5,000; #10663-1-AP; Proteintech), mTOR (1:1,000; #2983; CST, Danvers, MA, USA), p-mTOR (1:1,000; #5536; CST), AMPK (1:1,000; #2532; CST), p-AMPK (1:1,000; #2535; CST), β-actin (1:5,000; #66009-1-Ig; Proteintech) overnight at 4 ℃. Blots were then probed with horseradish peroxidase-conjugated goat anti-rabbit secondary antibody (1:5,000; # AWS0001; Abiowell, Changsha, China) or goat anti-mouse secondary antibody (1:5,000; # AWS0001; Abiowell) for 2 h at room temperature. Protein detection was determined by ECL kit (Thermo, Waltham, MA, USA). Band intensities were normalized against β-actin.
Statistical analysis
GraphPad Prism (version 6.0, GraphPad Software, La Jolla, USA) was used for statistical analysis, with measurement data presented as mean ± standard deviation. One-way or two-way analysis of variance (ANOVA) followed by Bonferroni’s post-hoc test was employed to compare multiple samples; t-test was used to compare two samples. Pearson correlation analysis was used to examine correlation. A P value <0.05 was considered statistically significant.
Results
Evaluation the success of asthmatic model establishment
The successful establishment of mouse asthmatic model was evaluated by airway reactivity test. After exposure to 1% OVA aerosol for 2 weeks, the RL was increased following escalated doses of Ach in both control and model groups; the RL was much higher in the mice with Ach exposure when comparing to controls (Figure 1), indicating successful establishment of mouse asthmatic model.
Effects of WHD on the airway responsiveness of asthmatic mice
After successful establishment of asthma model in mice, we further treated the animals with different doses of WHD (low-, medium-, and high-dose) for another 2 weeks, and dexamethasone treatment was used as the positive control. RL was increased in the model mice comparing to controls (Figure 2). WHD dose-dependently reduced the RL in the asthmatic mice. In addition, dexamethasone, rapamycin and MCC950 treatments also significantly decreased the RL in the asthmatic mice (Figure 2). On the other hand, 3-MA increased the RL in the asthmatic mice (Figure 2).
Histology analysis
Lung tissues from different groups of mice were evaluated by H&E, PAS and Masson’s staining. For H&E staining, bronchial lumen morphology of control mice was normal, with no obvious inflammatory cell infiltration. Comparing to controls, bronchial lumen of model mice became narrower, wall became thicker, and large numbers of inflammatory cells infiltrated into the trachea. Comparing to model mice, WHD, dexamethasone, rapamycin group, and MCC950 treatment all showed improvement in inflammatory infiltration and lung tissue damage of asthmatic mice. However, the 3-MA group showed aggravated lung inflammation in asthmatic mice (Figure 3).
PAS and Masson staining exhibited no obvious epithelial cell hyperplasia or collagen deposition in the airways of the control mice. The mice from model group exhibited severe epithelial cell hyperplasia and widespread collagen deposition in the airways. Compared to model mice, WHD, dexamethasone, rapamycin, and MCC950 treatments all significantly alleviated mucus secretion and collagen deposition beneath the epithelial cells in asthmatic mice, improving airway remodeling. However, the 3-MA group exacerbated airway remodeling in the asthmatic mice.
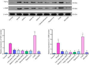
α-SMA and TGF-β in lung tissues
Western blot assessed α-SMA and TGF-β protein levels in lung tissues (Figure 4). An elevation in α-SMA and TGF-β protein levels of lung tissues from model mice comparing to controls. Compared to model mice, WHD, dexamethasone, rapamycin, and MCC950 treatments decreased α-SMA and TGF-β protein levels in lung tissues of asthmatic mice, while 3-MA treatment significantly increased TGF-β and α-SMA protein levels in lung tissues of asthmatic mice.
ROS level in lung tissues
Flow cytometry examined ROS level in lung tissues. An elevation in ROS level in the lung tissues of model mice was detected comparing to controls (Figure 5). Comparing to model mice, WHD, dexamethasone, rapamycin, and MCC950 treatments decreased ROS level in lung tissues of asthmatic mice, while 3-MA significantly increased ROS level in asthmatic mice lung tissues (Figure 5).
Effects of WHD on autophagy of DCs in asthmatic mice lung tissues
The transmission electron microscopy results showed that autophagosomes number in lung tissue DCs of the control mice was relatively low, while in the model group, autophagosomes number in lung tissue DCs was increased (Figure 6). WHD, dexamethasone, rapamycin, and MCC950 treatments increased autophagosomes in the DCs from asthmatic mice, while 3-MA treatment decreased autophagosomes in the DCs from asthmatic mice (Figure 6).
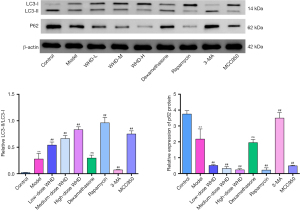
Western blot data exhibited that the level of LC3 II/I protein was elevated, while p62 was reduced in DCs of model mice comparing to controls (Figure 7). Comparing with model mice, WHD treatment showed a dose-dependent significant increase in the LC3 II/I protein levels and decreased in p62 protein levels in the DCs of lung tissues (Figure 7). Additionally, rapamycin and MCC950 treatments also increased LC3 II/I level and reduced p62 level in DCs from asthmatic lung tissues. Dexamethasone had no effects on LC3 II/I and p62 levels in DCs from asthmatic lung tissues (Figure 7). Moreover, 3-MA treated decreased LC3 II/I level and increased p62 level in the DCs from asthmatic lung tissues (Figure 7).
Evaluation of pyroptosis of DCs from asthmatic lung tissues
Western blot data exhibited that the level of caspase-1, NLRP3, IL-18 and IL-1β protein in lung tissue DCs of model mice compared to controls (Figure 8). Comparing to model mice, WHD treatment showed a dose-dependent significant decrease in the caspase-1, NLRP3, IL-18 and IL-1β protein levels in DCs of lung tissues (Figure 8). Additionally, dexamethasone, rapamycin and MCC950 treatments also decreased caspase-1, NLRP3, IL-18 and IL-1β levels in DCs from asthmatic lung tissues. Moreover, 3-MA treated increased caspase-1, NLRP3, IL-18 and IL-1β and levels in DCs from asthmatic lung tissues (Figure 8).
Evaluation of AMPK/mTOR signaling in the DCs from lung tissues
Western blot exhibited that p-AMPK/AMPK was reduced and p-mTOR/mTOR was elevated in lung tissue DCs of model mice comparing to controls (Figure 9). Comparing model mice, WHD treatment showed a dose-dependent significant elevation in p-AMPK and reduction in p-mTOR in the DCs of lung tissues (Figure 9). Additionally, dexamethasone, rapamycin and MCC950 treatments also enhanced p-AMPK and reduced p-mTOR in DCs from asthmatic lung tissues. Moreover, 3-MA reduced p-AMPK and enhanced p-mTOR in DCs from asthmatic lung tissues (Figure 9).
Discussion
At present, bronchial asthma pathogenesis is unclear, the treatment duration is long, and there is no clinically effective medication. Oxidative stress is a new hot spot in the research of asthma pathogenesis and a potential key target for its treatment. ROS are important signaling factors that induce oxidative and inflammatory reactions in the body (21). ROS, generated by activators of the NLRP3 inflammasome, have been shown to be a key mechanism for triggering NLRP3 inflammasome formation and activation (22). The NLRP3 inflammasome is activated during viral infections or stress, leading to pro-inflammatory cytokines IL-18 and IL-1β secretion, and cell pyroptosis (23). Cell pyroptosis, as a new form of programmed cell death, may lead to airway inflammation, airway injury, impaired airway epithelial cell repair, airway hyperresponsiveness, and excessive mucus secretion (24). Inflammatory responses in asthma lead to the production of large amounts of ROS, which in turn induces NLRP3 inflammasome, promoting maturation and secretion of downstream inflammatory factors IL-18 and IL-1β, and exacerbating inflammatory responses and cell pyroptosis in asthma (25). The above studies indicate that regulating NLRP3-mediated cell pyroptosis may be an important strategy for treating asthma. Comparing to controls, ROS activity in lung tissue of model mice increased, and NLRP3, caspase-1, IL-1β, and IL-18 in lung tissue DCs was significantly increased, consistent with the above research, indicating that the activation of ROS levels and DCs cell pyroptosis are involved in asthma. Additionally, comparing to model mice, WHD and MCC950 can dose-dependently reduce excessive production of ROS, down-regulation expression of NLRP3, caspase-1, IL-18 and IL-1β proteins, and inhibit cell pyroptosis.
Cell autophagy can reduce ROS accumulation by clearing dysfunctional mitochondria (26). Cell autophagy and pyroptosis occur when cells are under stress, and cell autophagy usually maintains cell homeostasis by regulating cell pyroptosis (27). WHD may prevent RSV-induced asthma by promoting DCs autophagy, but the specific regulatory mechanism is still unknown (18). The results of this experiment showed that LC3 II/I level in lung tissue DCs of model group mice was increased, and protein level of P62 was decreased, indicating that the occurrence of asthma can promote cell autophagy. Comparing to model mice, WHD soup group showed a dose-dependent further increase in autophagy level of lung tissue DCs, and the NLRP3 inhibitor MCC950 group also showed the same results as the Wuhu soup group, suggesting that further increasing the autophagy level of DCs in RSV-induced asthmatic mice, clearing excessive ROS, and inhibiting cell pyroptosis can improve airway remodeling, airway inflammation, and alleviate airway hyperresponsiveness. Enhanced autophagy following WHD administration likely contributed to ROS clearance, thereby reducing NLRP3 activation and pyroptosis. These interconnected effects help explain the observed improvements in airway responsiveness, inflammation, and remodeling. The correlation among these parameters underscores a synergistic mechanism whereby WHD exerts multifaceted protection against RSV-induced asthma.
Compared to prior studies, this work uniquely delineates the functional role of WHD in modulating autophagy and pyroptosis in DCs through the ROS/AMPK/mTOR pathway. While previous research has documented WHD’s general anti-inflammatory effects (18,28), our study provides novel mechanistic insight into its regulation of innate immune cell fate and function. This approach may represent a promising direction for asthma therapy.
The regulation of cell autophagy is related to AMPK/mTOR signaling (29). AMPK is a positive regulator of cell autophagy, adapting to energy metabolism by downregulating mTOR phosphorylation (30). mTOR controls cell growth and metabolism (31). In various cells, mTOR regulates programmed cell death by controlling autophagy levels (32). Recent studies have highlighted the complex interplay between autophagy and pyroptosis, particularly in the regulation of the NLRP3 inflammasome (33). Autophagy can negatively regulate inflammasome activation through multiple mechanisms, including the removal of damaged mitochondria and the degradation of inflammasome components, thereby reducing ROS accumulation and downstream inflammatory responses (33). In this context, mTOR acts as a central negative regulator of autophagy. Under normal nutrient-rich conditions, mTOR remains active and suppresses autophagy initiation (34). Conversely, activation of AMPK, an energy-sensing kinase, can inhibit mTOR signaling and promote autophagy induction (34). This AMPK-mTOR axis plays a critical role in balancing cellular metabolism and stress responses. The results of this study show that Wuhu soup, like the mTOR inhibitor rapamycin, can promote p-AMPK/AMPK protein levels, significantly reduce p-mTOR/mTOR protein levels, thereby activating DCs cell autophagy. Moreover, the intervention of the NLRP3 inhibitor MCC950 also showed the same results as Wuhu soup, suggesting that Wuhu soup may activate cell autophagy and inhibit cell pyroptosis by regulating the AMPK/mTOR signaling pathway. Additionally, network pharmacology-based study has identified WHD components such as ephedrine and glycyrrhizin as modulators of key autophagy- and inflammation-related targets (35). These compounds may act synergistically to regulate the ROS/AMPK/mTOR pathway (35), further supporting the plausibility of the observed molecular effects. Nonetheless, experimental validation of these compound-target interactions within the context of WHD remains warranted.
Despite the promising results, this study has limitations. First, we employed a single mouse model and did not evaluate long-term safety or toxicity. The potential for liver and kidney dysfunction at high WHD doses has not been addressed, though traditional use and prior reports suggest a relatively favorable safety profile. Second, the causal relationships among autophagy activation, ROS reduction, pyroptosis inhibition, and clinical outcomes were inferred based on correlative data. Future studies employing genetic or pharmacologic inhibitors are needed to clarify these mechanistic links. Third, although TGF-β was assessed as a marker of airway remodeling, we did not evaluate its active form due to the lack of additional tissue samples. This limits our ability to fully characterize its functional role in fibrosis, and future work should include analysis of active TGF-β isoforms to strengthen mechanistic understanding. Fourth, another limitation of the current study is the inability to directly demonstrate inflammasome activation and cytokine maturation via detection of the cleaved active forms of caspase-1 and IL-1β. Due to limited available material, only the precursor forms were assessed, which does not fully distinguish between increased expression and true proteolytic activation. Future studies should include western blotting for the cleaved fragments to strengthen the mechanistic conclusions. Fifth, while we isolated CD11c-positive cells as DCs from lung tissues, we did not perform additional flow cytometry to exclude the presence of other immune cell types, such as macrophages. This may have affected the cellular specificity of our findings, and future studies should use more refined gating strategies to confirm DC identity.
Conclusions
In summary, our study demonstrates that WHD may exert beneficial effects in RSV-induced asthma by promoting DC autophagy through the ROS, AMPK, and mTOR signaling pathway and inhibiting NLRP3 inflammasome mediated pyroptosis. These mechanistic insights suggest that WHD has the potential to alleviate airway inflammation and remodeling in a mouse model of asthma. However, considering the limitations of this study, including the absence of long-term safety data, lack of validation in different animal models, and no supporting clinical research, these findings should be interpreted with caution. Further experimental and clinical investigations are needed to confirm the safety, efficacy, and clinical applicability of WHD in asthma treatment.
Acknowledgments
None.
Footnote
Reporting Checklist: The authors have completed the ARRIVE reporting checklist. Available at https://jtd.amegroups.com/article/view/10.21037/jtd-2025-881/rc
Data Sharing Statement: Available at https://jtd.amegroups.com/article/view/10.21037/jtd-2025-881/dss
Peer Review File: Available at https://jtd.amegroups.com/article/view/10.21037/jtd-2025-881/prf
Funding: This work was supported by
Conflicts of Interest: All authors have completed the ICMJE uniform disclosure form (available at https://jtd.amegroups.com/article/view/10.21037/jtd-2025-881/coif). The authors have no conflicts of interest to declare.
Ethical Statement: The authors are accountable for all aspects of the work in ensuring that questions related to the accuracy or integrity of any part of the work are appropriately investigated and resolved. All animal experiments were performed under a project license (No. 202207) granted by the Institutional Animal Care and Use of Committee of Changsha Social College, in compliance with institutional guidelines for the care and use of animals.
Open Access Statement: This is an Open Access article distributed in accordance with the Creative Commons Attribution-NonCommercial-NoDerivs 4.0 International License (CC BY-NC-ND 4.0), which permits the non-commercial replication and distribution of the article with the strict proviso that no changes or edits are made and the original work is properly cited (including links to both the formal publication through the relevant DOI and the license). See: https://creativecommons.org/licenses/by-nc-nd/4.0/.
References
- Sockrider M, Fussner L. What Is Asthma? Am J Respir Crit Care Med 2020;202:25-6. [Crossref] [PubMed]
- Shamshad T, Khalique N, Shameem M, et al. Prevalence of bronchial asthma in school going children: A cross-sectional study from Uttar Pradesh. Indian J Public Health 2022;66:S22-6. [Crossref] [PubMed]
- Savin IA, Zenkova MA, Sen'kova AV. Bronchial Asthma, Airway Remodeling and Lung Fibrosis as Successive Steps of One Process. Int J Mol Sci 2023;24:16042. [Crossref] [PubMed]
- Miculinić A, Mrkić Kobal I, Kušan T, et al. Current Challenges in Pediatric Asthma. Children (Basel) 2024;11:632. [Crossref] [PubMed]
- Delrue C, Speeckaert R, Delanghe JR, et al. Investigating Vitamin D-Binding Protein's Role in Childhood Health and Development. Int J Mol Sci 2024;25:6272. [Crossref] [PubMed]
- Read JF, Bosco A. Decoding Susceptibility to Respiratory Viral Infections and Asthma Inception in Children. Int J Mol Sci 2020;21:6372. [Crossref] [PubMed]
- Liu J, Zhang X, Cheng Y, et al. Dendritic cell migration in inflammation and immunity. Cell Mol Immunol 2021;18:2461-71. [Crossref] [PubMed]
- Klionsky DJ, Petroni G, Amaravadi RK, et al. Autophagy in major human diseases. EMBO J 2021;40:e108863. [Crossref] [PubMed]
- Dong H, Yang W, Li W, et al. New insights into autophagy in inflammatory subtypes of asthma. Front Immunol 2023;14:1156086. [Crossref] [PubMed]
- Shan Y, Wu J, Dai X, et al. Jiangqi Pingxiao formula regulates dendritic cell apoptosis in an autophagy-dependent manner through the AMPK/mTOR pathway in a murine model of OVA-induced asthma. J Ethnopharmacol 2024;321:117405. [Crossref] [PubMed]
- Vasudevan SO, Behl B, Rathinam VA. Pyroptosis-induced inflammation and tissue damage. Semin Immunol 2023;69:101781. [Crossref] [PubMed]
- Xu P, Li F, Tang H. Pyroptosis and airway homeostasis regulation. Physiol Res 2023;72:1-13. [Crossref] [PubMed]
- Wang YC, Liu QX, Zheng Q, et al. Dihydromyricetin Alleviates Sepsis-Induced Acute Lung Injury through Inhibiting NLRP3 Inflammasome-Dependent Pyroptosis in Mice Model. Inflammation 2019;42:1301-10. [Crossref] [PubMed]
- Bedient L, Pokharel SM, Chiok KR, et al. Lytic Cell Death Mechanisms in Human Respiratory Syncytial Virus-Infected Macrophages: Roles of Pyroptosis and Necroptosis. Viruses 2020;12:932. [Crossref] [PubMed]
- Sebag SC, Koval OM, Paschke JD, et al. Mitochondrial CaMKII inhibition in airway epithelium protects against allergic asthma. JCI Insight 2017;2:e88297. [Crossref] [PubMed]
- Simpson JL, Phipps S, Baines KJ, et al. Elevated expression of the NLRP3 inflammasome in neutrophilic asthma. Eur Respir J 2014;43:1067-76. [Crossref] [PubMed]
- Yang S, Liu X, Wang H, et al. Wuhu decoction combined with azithromycin for treatment of Mycoplasma pneumoniae pneumonia in Asian children: a systematic review and meta analysis of randomized controlled trials. Front Pharmacol 2024;15:1329516. [Crossref] [PubMed]
- Chen X, Luo Y, Wang M, et al. Wuhu Decoction Regulates Dendritic Cell Autophagy in the Treatment of Respiratory Syncytial Virus (RSV)-Induced Mouse Asthma by AMPK/ULK1 Signaling Pathway. Med Sci Monit 2019;25:5389-400. [Crossref] [PubMed]
- Liu J, Yao B, Luo Y, et al. Effects of WuHuTang on the function and autophagy of dendritic cells treated with exosomes induced by RSV. J Ethnopharmacol 2024;332:118397. [Crossref] [PubMed]
- Ding Y, Wang M, Luo Y, et al. Wuhutang Alleviates Respiratory Syncytial Virus-induced Asthma in Mice by Inhibiting STAT3 Protein and Regulating Dendritic Cell Autophagy. Chinese Journal of Experimental Traditional Medical Formulae 2021;27:9-18.
- Forman HJ, Zhang H. Targeting oxidative stress in disease: promise and limitations of antioxidant therapy. Nat Rev Drug Discov 2021;20:689-709. [Crossref] [PubMed]
- Yang S, Lian G. ROS and diseases: role in metabolism and energy supply. Mol Cell Biochem 2020;467:1-12. [Crossref] [PubMed]
- Toldo S, Abbate A. The role of the NLRP3 inflammasome and pyroptosis in cardiovascular diseases. Nat Rev Cardiol 2024;21:219-37. [Crossref] [PubMed]
- Liu L, Zhou L, Wang LL, et al. Programmed Cell Death in Asthma: Apoptosis, Autophagy, Pyroptosis, Ferroptosis, and Necroptosis. J Inflamm Res 2023;16:2727-54. [Crossref] [PubMed]
- Gai Y, Bai C, Zhang W, et al. Nootkatone attenuates airway inflammation in asthmatic mice through repressing ROS-induced NLRP3 inflammasome activation. Biochem Cell Biol 2023;101:513-22. [Crossref] [PubMed]
- Ornatowski W, Lu Q, Yegambaram M, et al. Complex interplay between autophagy and oxidative stress in the development of pulmonary disease. Redox Biol 2020;36:101679. [Crossref] [PubMed]
- Luo T, Jia X, Feng WD, et al. Bergapten inhibits NLRP3 inflammasome activation and pyroptosis via promoting mitophagy. Acta Pharmacol Sin 2023;44:1867-78. [Crossref] [PubMed]
- Hu Y, Wang M, Luo Y, et al. Therapeutic potency and possible mechanism of Wuhu decoction underlying asthmatic progression via Th1/Th2 imbalance. J Thorac Dis 2025;17:265-77. [Crossref] [PubMed]
- Zhang S, Wei X, Zhang H, et al. Doxorubicin downregulates autophagy to promote apoptosis-induced dilated cardiomyopathy via regulating the AMPK/mTOR pathway. Biomed Pharmacother 2023;162:114691. [Crossref] [PubMed]
- Pan Z, Huang J, Song H, et al. PLCL1 suppresses tumour progression by regulating AMPK/mTOR-mediated autophagy in renal cell carcinoma. Aging (Albany NY) 2023;15:10407-27. [Crossref] [PubMed]
- Fu W, Wu G. Targeting mTOR for Anti-Aging and Anti-Cancer Therapy. Molecules 2023;28:3157. [Crossref] [PubMed]
- Khalil MI, Ali MM, Holail J, et al. Growth or death? Control of cell destiny by mTOR and autophagy pathways. Prog Biophys Mol Biol 2023;185:39-55. [Crossref] [PubMed]
- Biasizzo M, Kopitar-Jerala N. Interplay Between NLRP3 Inflammasome and Autophagy. Front Immunol 2020;11:591803. [Crossref] [PubMed]
- Ballesteros-Álvarez J, Andersen JK. mTORC2: The other mTOR in autophagy regulation. Aging Cell 2021;20:e13431. [Crossref] [PubMed]
- Yao B, Liu JL, Wang MQ, et al. Active components and mechanism of Wuhu Decoction in intervening RSV-induced asthma based on network pharmacology and in vivo experiment. Zhongguo Zhong Yao Za Zhi 2024;49:4148-57. [Crossref] [PubMed]

