Contralateral breast metastasis from pulmonary adenocarcinoma: Two cases report and literature review
Brief Report
Contralateral breast metastasis from pulmonary adenocarcinoma: Two cases report and literature review
Fang-Fang Ji1, Peng Gao2, Ji-Gang Wang3, Jie Zhao3, Peng Zhao3
1Department of Ultrasound, the Qingdao Sanatorium, Qingdao 266071, China; 2Department of General Surgery, the Affiliated Hospital of Medical College, Qingdao University, Qingdao 266003,China; 3Department of Pathology, the Affiliated Hospital of Medical College, Qingdao University, Qingdao 266003, China
Corresponding to: Peng Zhao. Department of Pathology, the Affiliated Hospital of Medical College, Qingdao University No. 16 Jiangsu Road, Qingdao, 266003, China. Tel: +86-532-82911532; Fax: +86-532-82911533. Email: zhpeng17@hotmail.com.
Abstract
Carcinoma metastatic to breast from extra-mammary malignancy is rare and only accounts for 0.4-1.3% of all breast cancer. Two rare cases of single breast metastasis from pulmonary adenocarcinoma were reported here with a brief review of the pertinent literature. The only complaint of the these two female patients was painless breast mass found recently. Most breast metastasis previously reported are present in the upper outer quadrant, however, in our study, one case was found to be located in the lower inner quadrant and the other in the upper inner quadrant. Tumor cells from breast biopsy were immune-positive for thyroid transcription factor-1. The two patients survived 5 and 8 months, respectively, following the diagnosis of both the primary lung tumor and the breast metastasis. Breast metastasis from lung adenocarcinoma is rare but does exist. The awareness of this possibility may help to differentiate the tumor from primary breast carcinoma. Clinical history and immunohistochemical studies are essential to reach the final diagnosis.
Key words
Lung neoplasms; neoplasm metastasis; breast neoplasm
J Thorac Dis 2012;4(4):384-389. DOI: 10.3978/j.issn.2072-1439.2012.02.03
Introduction
Breast carcinoma is the most prevalent malignant tumor among women in the world. Carcinoma metastatic to breast, which is secondary to leukemia/lymphoma, melanoma, can originate from any type of malignancy (1-5). However, carcinoma metastatic to breast from extra-mammary malignancy is rare and only accounts for 0.4-1.3% of all breast cancer. To the best of our knowledge, from 1991 to 2011 only 11 metastasis were classified as adenocarcinomas in the PubMed database (Table 1). In the present report, two cases of pulmonary adenocarcinoma metastatic to the contralateral breast were described. Interestingly, the only present symptom was a painless breast mass.
   
Table 1. 11 cases of breast metastasis from pulmonary adenocarcinoma.
Author, year Age/sex Chief complaint Breast tumor size Primary tumor location FolloNot availablew-up
Verger E et al., 1992 (6) 63/male A painless, hard mass
in the left breast
4 cm ×3.5 cm Right lung Not available
Lee SH et al., 2000 (2 cases) (1) Not available Not available Not available Not available Not available
Masmoudi A et al., 2003 (7) 54/female Increasing breathlessness
and right breast swelling;
a lump in the left breast
upper quadrant without
evidence of skin or chest
wall involvement
8 cm in diameter Right lower pulmonary lobe Not available
Yeh CN, et al., 2004 (2) 44/female A tumor mass in the
medial lower quadrant
of the right breast,
superficially located at
the subcutaneous layer
without skin changes
4 cm × 3 cm Not available Not available
Komorowski AL et al., 2005 (8) 48/not available Not available Not available Not available Not available
Lee AH et al., 2007 (3) 64/female Not available Not available Not available Not available
Fulciniti F et al., 2008 (4) 59/female A poorly delimited
mass in the upper inner
quadrant of right breast,
with skin dimpling and
reddening
Not available Right lung Still alive 14 months after diagnosis
Klingen TA et al., 2009 (5) 79/female A left, subareolar tumor mass 8 cm in diameter Not available Died 1 month after diagnosis of the metastasis
Klingen TA et al., 2009 (5) 70/female A right, subareolar tumor mass 0.9 cm in diameter Not available Died 4 months after diagnosis of the metastasis
Maounis N et al., 2010 (9) 73/female A painless, poorly defined
mass, associated with
skin redness, in the upper
outer quadrant of the left
breast
4.5 cm × 3.5 cm Left lung Died 6 months after diagnosis of the metastasis
Case reports
Case 1
A 49-year-old, non-smoking, peasant woman presented to the general surgery clinic complaining a painless mass in her left breast for 3 months. Physical examination confirmed a round, firm, and non-tender mass located in the lower inner quadrant of her left breast. It was measured 3cm in diameter, mobile and no skin involvement. Axillary and cervical chain lymph nodes were not palpable. A chest computed tomography (CT) scan showed a round-shaped mass (3.2 cm × 3.1 cm) in the apicoposterior segment of her right lung, with a well-defined, lobulated edge and pleural indentation (Figure 1A). No lymphadenectasis of mediastinum was observed. One subcutaneous mass was noted in the lower inner quadrant of the left breast (Figure 1B).
A review of systems did not reveal other symptoms such as dry cough, dyspnea or tachypnea. A left breast lumpectomy was performed and biopsy confirmed a poorly differentiated adenocarcinoma. A lumbar spine magnetic resonance imaging (MRI) showed another metastasis to the 3rd lumbar vertebrae (Figure 1C). The patient refused any further treatment and died 5 months after discharge.
Figure 1. Preoperative radiology of lesion in patient case 1. A: Chest CT image of the apicoposterior segment showed a round, 3.2 cm × 3.1 cm mass in the right lung; B: CT scan also demonstrated a 3 cm-diameter subcutaneous mass in the left breast; C: MRI revealed a metastasis to the 3rd lumbar vertebrae. Arrows indicate the tumor lesion.
Case 2
A 40-year-old, non-smoking, business woman presented to the general surgery clinic with a painless, palpable mass in the right breast for 6 days. Physical examination revealed a solid, mobile, and non-tender mass (1 cm × 1 cm) in the upper inner quadrant of the right breast, with irregular border and without skin involvement. Axillary and cervical chain lymph nodes were also not palpable. The CT scan showed a soft tissue mass measured 3.7 cm × 4.2 cm × 4.4 cm located in the inferior lobe of her left lung, with a lobular border (Figure 2A). Patchy shadow, signs of bronchi blockage, and pleural displacement were also noted in the CT images. In addition, a round soft tissue mass with the size of 1cm in diameter was present in the right breast (Figure 2B), and the MRI examination of lower limbs showed a tumor mass in the right femur (Figure 2C).
Figure 2. Preoperative radiology of mass in patient case 2. A: Chest CT image disclosed a soft tissue mass (3.7 cm × 4.2 cm × 4.4 cm) in the inferior lobe of the left lung; B: A 1cm-diamete soft tissue round mass was present in the right breast; C: MRI revealed a metastasis to the right femur. Arrows indicate the tumor lesion.
The right breast lumpectomy and bone biopsy were performed, and the following pathology analysis revealed poorly differentiated adenocarcinoma of the both sites. In addition, epidermal growth factor receptor (EGFR) was detected by immunohistochemistr y staining. The patient underwent two c ycles of Gefitinib treatment but did not demonst rate any s ign of improvement. The patient passed away 8 months after the diagnosis.
The two patients received lung mass puncture biopsy after radiology examination. The lung mass puncture biopsy showed poorly differentiated adenocarcinoma of the both (Figure 3A, 4A). In case 1, the breast tumor lesion is composed of irregular, solid malignant glands which infiltrated the dense fibrohylinized stroma. Focal necrosis was seen (Figure 3B); however, the breast tumor of case 2 is composed of infiltrating cribriform glands (Figure 4B). No evidence of in situ carcinoma or elastosis was observed in both cases. The tumor cells demonstrated positive immunoreactivity for thyroid transcription factor-1 (TTF-1) (Figure 3C, 4C). Moreover, the both tumors showed negative immunolabelling for estrogen receptor (ER), progesterone receptor (PR), human epidermal growth factor receptor 2 (Her-2), gross cystic disease fluid protein 15 (GCDFP-15) and mammaglobin (Antibodies employed in the immunohistochemistr y were purchased f rom Santa Cruz, California , USA).
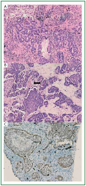
Figure 3. Histological appearance of the primary lung tumor and breast metastasis in case 1. A: The lung puncture biopsy tissue H & E staining showed poorly differentiated adenocarcinoma; B: The breast biopsy tissue H & E staining showed irregular and solid malignant glands infiltrating the dense fibrohylinized breast stroma with focal necrosis (Arrow); C: The tumor cells were TTF-1 positive. Original images were taken with the magnification of 100×.
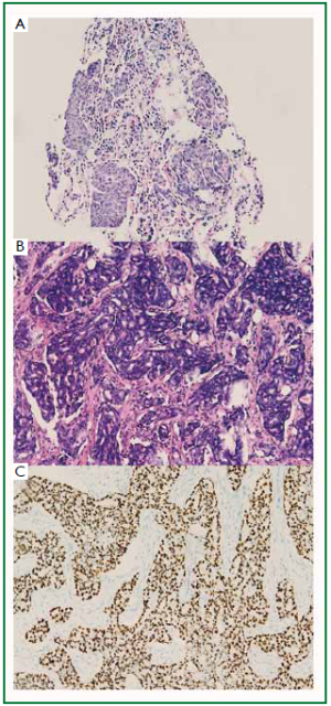
Figure 4. Histological appearance of the primary lung tumor and breast metastasis in case 2. A: The lung puncture biopsy tissue H & E staining showed poorly differentiated adenocarcinoma; B: The breast biopsy tissue H & E staining showed cribriform glands infiltrating the dense fibrohylinized stroma; C: Tumor cells were immuno-positive to TTF-1. Original images were taken with the magnification of 100×.
Discussion
Primary breast carcinoma is the most prevalent malignant tumor among women around the world. However, metastatic tumors in the breast are extremely rare. Accurate differentiation of metastasis from primary breast carcinoma is crucial in clinical practice because the treatment and prognosis are significantly different. The most common source of breast metastasis is the mammary itself (10). Recently, breast metastasis from a wide range of extramammary tumors has been described. It was reported that the breast carcinoma can originate from haematological malignancies, carcinoma of the lung, malignant melanoma, serous papillary carcinoma of the ovary, carcinoma of the prostate, kidney and stomach, and carcinoid tumors (11-16). Georgiannos group made a retrospectively review of more than 14,000 cases with breast malignancies diagnosis between 1907 and 1999 (carcinoma in situ were excluded). They found that only 60 malignancies originated from the sites other than the breast, which made up less than 0.5% of the total number of breast tumors. In addition, they found that the involvement of the breast by hematologic malignancies such as lymphoma and leukemia is more common. When the primary sites were solid organs, small cell carcinoma of the lung, poorly differentiated adenocarcinoma of the stomach, renal cell carcinoma, and cutaneous malignant melanoma were the most frequent types of source. Georgiannos group also identified several unusual sites of origin, including the thyroid, retina, endometrium, and pancreas (17). Williams et al. investigated a series of 169 cases with metastases to the breast from extra-mammary solid tumors (18). They reported that malignant melanoma and adenocarcinoma are the two most common histological types of breast metastases. Other tumor types include small cell carcinoma of the lung, sarcoma, neuroendocrine tumors, squamous cell carcinoma.
Metastasis spread to unusual sites is less frequent in non-smallcell type lung cancer (NSCLC) and the incidence of metastasis to the breast is even lower. It was reported that the major metastasis sites of NSCLC include liver (33-40%), adrenal glands (18-38%), brain (15-43%), bone (19-33%), kidney (16-23%) and abdominal lymph nodes (29%) (19). The unusual sites previously reported are stomach, pancreas, small bowel, choroid plexus, muscle, umbilicus, and the penis.
The majority of breast metastasis present as palpable, rapidly growing, well circumscribed, painless breast masses with predilection to the upper outer quadrant (2,3,17,18). However, in our two cases reported here, one case was found to be located in the lower inner quadrant and the other in the upper inner quadrant. Unlike primary tumors, the retraction of the skin or nipple is not demonstrated in the majority of the metastases, despite their superficial location (5,20). Breast metastasis is associated with an extremely poor prognosis with survival period less than one year after diagnosis (18). Our patients survived 5 and 8 months respectively following the diagnosis of both the primary lung tumor and the breast metastasis.
Because the imaging manifestations of the metastatic lesion are variable, it may be extremely difficult to distinguish a breast metastasis from a primary mammary adenocarcinoma, only based on mammographic findings (17,21). Instead, histological indicators may help to identify the secondary tumors. Elastosis is a consistent indicator of primary neoplasm but is rarely seen in secondary tumors (22). Other clues to a metastasis rather than primary origin include a sharp transition at the border of the lesion and the tumor presence in the subcutaneous, rather than parenchymal breast tissue (17). The absence of in situ carcinoma strongly supports a metastatic tumor, although it may not occur in all primary invasive carcinomas (9). Most researchers agree that calcifications are extremely rare and are seen only in the patients with metastatic papillary carcinoma with psammoma bodies (9,20,21). Three growth patterns of metastasis to the breast are described (3). The most common one is a circumscribed nodule surrounded by normal breast tissue. Infiltration around ducts and lobules is particularly associated with lymphomas, leukemia and malignant melanoma. Lymphangitis and diffuse infiltration are less common. In our cases, breast tumor lesions are composed of irregular and solid malignant glands infiltrating the dense, fibrohylinized stroma. The surrounding breast parenchyma demonstrated mild fibrocytic changes. No evidence of in situ carcinoma or elastosis was observed.
Metastasis from pulmonary adenocarcinoma might be particularly difficult to be distinguished from primary breast carcinomas. Hence, immunohistochemical studies may help to differentiate them. TTF- 1 has been reported positive in 93% of primary pulmonary small cell carcinomas, and in 63% of adenocarcinomas (23). ER is expressed in 80% and PR in 60% of breast carcinomas (24,25). Convincing expression of ER is largely restricted to carcinomas of the breast, endometrium and ovary (26). Occasionally, tumors from other organs also express ER, but usually it is weak and local (26). GCDFP-15 is expressed in 45-53% and mammaglobin in 48-72% of breast carcinoma (27-29).
In conclusion, we reported two rare cases of single breast metastasis from a contralateral pulmonary adenocarcinoma with only complaint of a painless mass in the breast. Unlike most previously reported breast metastasis which are present in the upper outer quadrant, in our study, we found one case was located in the lower inner quadrant and the other in the upper inner quadrant. We suppose that the primary tumor cells may reach breast either from thoracic cavity lymphatic spread or through thoracic duct to systemic circulation and then reached the contralateral breast. Metastasis to the breast is rare. It can mimic primary breast cancer in biological behavior. Sometimes the histological characteristic is similar to a primary breast tumor and may be difficult to be diagnosed as metastasic tumor. The treatment and prognosis differ greatly from that of primary breast cancer. Hence, the clinical history and immunohistochemical studies are essential to reach the final diagnosis.
Authors' responsibility
We confirm that we have not previously published or have not submitted the same manuscript elsewhere; we took a significant part in the work and approved the final version of the manuscript; we have complied with ethical standards; we agree Pioneer Bioscience Publishing Company, to get a license to publish the accepted article when the manuscript is accepted, and we have obtained all necessary permissions to publish any figures or tables in the manuscript, and assure that the authors will pay for any necessary charges.
References
  • Lee SH, Park JM, Kook SH, Han BK, Moon WK. Metastatic tumors to the breast: mammographic and ultrasonographic findings. J Ultrasound Med 2000;19:257-62.[LinkOut]
  • Yeh CN, Lin CH, Chen MF. Clinical and ultrasonographic characteristics of breast metastases from extramammary malignancies. Am Surg 2004;70:287-90.[LinkOut]
  • Lee AH. The histological diagnosis of metastases to the breast from extramammary malignancies. J Clin Pathol 2007;60:1333-41.[LinkOut]
  • Fulciniti F, Losito S, Botti G, Di Mattia D, La Mura A, Pisano C, et al. Metastases to the breast: role of fine needle cytology samples. Our experience with nine cases in 2 years. Ann Oncol 2008;19:682-7.[LinkOut]
  • Klingen TA, Klaasen H, Aas H, Chen Y, Akslen LA. Secondary breast cancer: a 5-year population-based study with review of the literature. APMIS 2009;117:762-7.[LinkOut]
  • Verger E, Conill C, Velasco M, Sole M. Metastasis in the male breast from a lung adenocarcinoma. Acta Oncol 1992;31:479.[LinkOut]
  • Masmoudi A, Mathieu MC, Soria JC. Breast metastasis from lung adenocarcinoma: a case report. Anticancer Res 2003;23:1825-6.[LinkOut]
  • Komorowski AL, Wysocki WM, Mitus J. Metastasis to the breast--a clinical challenge in outpatient. Acta Chir Belg 2005;105:59-61.[LinkOut]
  • Maounis N, Chorti M, Legaki S, Ellina E, Emmanouilidou A, Demonakou M, et al. Metastasis to the breast from an adenocarcinoma of the lung with extensive micropapillary component: a case report and review of the literature. Diagn Pathol 2010;5:82.[LinkOut]
  • McIntosh IH, Hooper AA, Millis RR, Greening WP. Metastatic carcinoma within the breast. Clin Oncol 1976;2:393-401.[LinkOut]
  • Alva S, Shetty-Alva N. An update of tumor metastasis to the breast data. Arch Surg 1999;134:450.[LinkOut]
  • Cangiarella J, Symmans WF, Cohen JM, Goldenberg A, Shapiro RL, Waisman J. Malignant melanoma metastatic to the breast: a report of seven cases diagnosed by fine-needle aspiration cytology. Cancer 1998;84:160-2.[LinkOut]
  • Amichetti M, Perani B, Boi S. Metastases to the Breast from Extramammary Malignancies. Oncology 1990;47:257-60.[LinkOut]
  • Topalovski M, Crisan D, Mattson JC. Lymphoma of the breast. A clinicopathologic study of primary and secondary cases. Arch Pathol Lab Med 1999;123:1208-18.[LinkOut]
  • Majeski J. Bilateral breast masses as initial presentation of widely metastatic melanoma. J Surg Oncol 1999;72:175-7.[LinkOut]
  • Wozniak TC, Naunheim KS. Bronchial carcinoid tumor metastatic to the breast. Ann Thorac Surg 1998;65:1148-9.[LinkOut]
  • Georgiannos SN, Chin J, Goode AW, Sheaff M. Secondary neoplasms of the breast: a survey of the 20th Century. Cancer 2001;92:2259-66.[LinkOut]
  • Williams SA, Ehlers RA 2nd, Hunt KK, Yi M, Kuerer HM, Singletary SE, et al. Metastases to the breast from nonbreast solid neoplasms: presentation and determinants of survival. Cancer 2007;110:731-7.[LinkOut]
  • Quint LE, Tummala S, Brisson LJ, Francis IR, Krupnick AS, Kazerooni EA, et al. Distribution of distant metastases from newly diagnosed non-small cell lung cancer. Ann Thorac Surg 1996;62:246-50.[LinkOut]
  • Vizcaíno I, Torregrosa A, Higueras V, Morote V, Cremades A, Torres V, et al. Metastasis to the breast from extramammary malignancies: a report of four cases and a review of literature. Eur Radiol 2001;11:1659-65.[LinkOut]
  • Noguera JJ, Martínez-Miravete P, Idoate F, Díaz L, Pina L, Zornoza G, et al. Metastases to the breast: a review of 33 cases. Australas Radiol 2007;51:133-8.[LinkOut]
  • Hajdu SI, Urban JA. Cancers metastatic to the breast. Cancer 1972;29:1691-6.[LinkOut]
  • Di Loreto C, Di Lauro V, Puglisi F, Damante G, Fabbro D, Beltrami CA. Immunocytochemical expression of tissue specific transcription factor-1 in lung carcinoma. J Clin Pathol 1997;50:30-2.[LinkOut]
  • Rhodes A, Jasani B, Balaton AJ, Barnes DM, Miller KD. Frequency of oestrogen and progesterone receptor positivity by immunohistochemical analysis in 7016 breast carcinomas: correlation with patient age, assay sensitivity, threshold value, and mammographic screening. J Clin Pathol 2000;53:688-96.[LinkOut]
  • Nadj i M, Gome z -Fernande z C, Ganje i-Az ar P, Mora l es AR . Immunohistochemistry of estrogen and progesterone receptors reconsidered: experience with 5,993 breast cancers. Am J Clin Pathol 2005;123:21-7.[LinkOut]
  • Dennis JL, Hvidsten TR, Wit EC, Komorowski J, Bell AK, Downie I, et al. Markers of adenocarcinoma characteristic of the site of origin: development of a diagnostic algorithm. Clin Cancer Res 2005;11:3766-72.[LinkOut]
  • Bhargava R, Beriwal S, Dabbs DJ. Mammaglobin vs GCDFP-15: an immunohistologic validation survey for sensitivity and specificity. Am J Clin Pathol 2007;127:103-13.[LinkOut]
  • Takeda Y, Tsuta K, Shibuki Y, Hoshino T, Tochigi N, Maeshima AM, et al. Analysis of expression patterns of breast cancer-specific markers (mammaglobin and gross cystic disease fluid protein 15) in lung and pleural tumors. Arch Pathol Lab Med 2008;132:239-43.[LinkOut]
  • Yang M, Nonaka D. A study of immunohistochemical differential expression in pulmonary and mammary carcinomas. Mod Pathol 2010;23:654-61.[LinkOut]
Cite this article as: Ji FF, Gao P, Wang JG, Zhao J, Zhao P. Contralateral breast metastasis from pulmonary adenocarcinoma: two cases report and literature review. J Thorac Dis 2012;4(4):384-389. doi: 10.3978/ j.issn.2072-1439.2012.02.03

Download Citation