Cryosurgery for lung cancer
Review Article
Cryosurgery for lung cancer
Lizhi Niu1,2, Kecheng Xu1,2, Feng Mu1,2
1Department of Oncology, Affiliated Fuda Hospital, Guangzhou Institutes of Biomedicine and Health, Chinese Academy of Science, No. 91-93 Judezhong Road, Haizhu District, Guangzhou 510305, China; 2Guangzhou Fuda Cancer Hospital, Jinan University School of Medicine, No. 2 Tangdexi Road, Tianhe District, Guangzhou 510305, China
Corresponding to: Lizhi Niu, MD, PhD. Guangzhou Fuda Cancer Hospital, Jinan University School of Medicine. No. 2 Tangdexi Road, Tianhe District, Guangzhou 510305, China. Email: niuboshi1966@yahoo.com.cn.
Abstract
Cryosurgery is suited for patients with lung cancer who are not considered for lung resection because of the advanced stage of the disease or the patient’s poor general condition or poor respiratory function and with tumor recurrence following radiotherapy, chemotherapy or lung resection, and those patients who have localized lung cancer but refuse to receive operative therapy. Procedures of cryosurgery for lung cancer can be performed through endobronchial, direct intrathoracic (at exploratory thoracotomy) or percutaneous routes depending upon location and size of tumor. Six hundred and twenty-five patients with Non-small cell lung cancer (NSCLC) received percutaneous cryoablation in Fuda Cancer Hospital Guangzhou, China. One hundred and fifty patients were followed-up for 12 to 38 months. Results showed that 1-, 2-, and 3-year survival rates were 64%, 45% and 32%, respectively. The adverse effects after cryosurgery of lung cancer include haemoptysis, pneumothorax, bloody thorax, pleural effusion and pulmonary infection which are generally mild, transient, and recovery with symptomatic management. In vitro studies have shown cryotherapy of lung cancer cells can improve the immune system to trigger the specific anti-tumor response. In the future, comparative studies between this modality and other therapies should be conducted for the treatment of lung cancer. In addition, more attention needs to be put on the immunomodulators that enhance the cryoimmunology.
Key words
Lung cancer; cryosurgery; cryoablation; cryotherapy; cryoimmunology
J Thorac Dis 2012;4(4):408-419. DOI: 10.3978/j.issn.2072-1439.2012.07.13
Introduction
Lung cancer is the most common cause of cancer death, with a very poor survival rate. By the time of diagnosis, most cases are at an advanced stage. In recent years, little progress has been made in improving the quality of life of patients with advanced lung cancer (1,2). This has added to the importance of alleviating symptoms and improving quality of life for patients of advanced stage, inoperable carcinoma. Where the possibility of surgery has been eliminated, other palliative measures must be considered. These treatments include radiochem therapy, laser therapy, photodynamic therapy, brachytherapy, radiofrequency ablation (RFA), and cryosurgery (3-6).
Cryosurgery is a treatment in which tumors are frozen and then left in situ to be reabsorbed. Several publications reported the results of cryosurgery for treatment of carcinoma of prostate, liver, breast and kidneys. Current long-term follow-up study showed that cryosurgery is an important option for a wide range of unresectable cancers and provides the potential for long-term survival (7-9).
For the past several years, endobronchial cryoablation has been used to treat the patients with inoperable obstructive central bronchial lung tumors and is shown to be effective in reopening obstructed airways (9-11). Direct cryoablation has recently been applied for unresectable lung tumors, showing encouraging results (10,12-14).
As advances are made in imaging guidance and the improvement of cryosurgical apparatus, percutaneous mode of cryosurgery, a less invasive procedure, has been successfully used for treatment of lung cancer, including early and advanced stage of lesion (15).
Indication
Endobronchial cryosurgery is adaptable for treatment for (10,11,16,17):
• Histologically proven carcinoma of the trachea and bronchi;
• Inoperable carcinoma based on the position of the tumor, performance status or poor respiratory function predominantly;
• Intraluminal tumors;
• Extraluminal elements of tumors which do not cause occlusion from external pressure of more than 75% of the normal diameter;
• Recurred tumor following radiotherapy, chemotherapy or lung resection.
Direct intrathoracic cryosurgery is adaptable for the patients whose cancer initially considered to be operable, but were found to have unresectable tumors at thoracotomy (10-14).
Percutaneous cryosurgery is adaptable for (15-17):
• Small and solitary lung cancer, which cannot receive operational therapy because of patient’s poor performance and respiratory function or refuse operation;
• Advanced cancer, which is considered unresectable in term of tumor size and location;
• Selected cases of centrally-located lung cancer.
For the small and solitary lung cancer, the cryosurgery’s aim can be radical; while for advanced lung cancer, the goal is debulking of tumor to improve symptoms, quality of life and survival of patient.
Technology
Endobronchial cryosurgery
The procedure is performed under short-acting intravenous general anaesthesia, using a large rigid (9.2 mm) or a flexible bronchoscope (2.4 mm) (10,11,16,17). The distal tip of the bronchoscope is placed about 5 mm above the lesion and the appropriate cryoprobe is inserted through the biopsy channel (bronchoscope) into the tumor. A Joule-Thomson type probe with argon or nitrous oxide as the cryogen is often used. A temperature of around –160˚C is achieved at the probe tip. Careful monitoring of temperature during cryosurgery is carried out. The tumor is frozen for 3 to 5 minutes and then allowed to thaw until the probe is separated from the tissue. Two cycles of freeze/thaw are often performed. Tissue samples for histological examination are taken before each cryosurgery. For the tumor covered wider areas of the bronchial tree, multiple cryoapplications are necessary during the same treatment session. Necrotic tumor material, when present, is removed after each cryo-application using a biopsy-type clamp. To treat or prevent bleeding from the site of a biopsy or cryosurgery, the epinephrine (adrenaline) 1:1,000 is locally applied.
The selection of probe diameter (2.2 or 5 mm) and shape (straight, right angled or flexible) is based on the size and position of the tumor. The 2.2-mm probe is used for peripheral, smaller tumors through the fiber optic bronchoscope. The 5-mm probe is used for larger, central tumors. The large rigid bronchoscope allows a small suction catheter to be placed to remove blood and secretions throughout the procedure.
Direct intrathoracic cryosurgery
The tumor should be precisely located, its size measured, and its relation to vital structures documented. Prior to cryoprobe insertion, needle aspiration is performed to confirm the position of major blood vessels. The cryoprobe is inserted into the tumor mass and the freezing continued until the iceball is large enough to cover the tumor and a 5 to 10 mm margin of normal lung tissue around the tumor. Two cycles of freeze/thaw are often performed. For larger tumors, multiple cryoprobes are applied with the aim to destroy all macroscopically visible tumors. Necrotic tissue that formed intra-operatively is removed mechanically. A layer of necrotic material covering the free margin of healthy-appearing lung tissue is left in situ in order to minimize the risk of air-leak (11).
Another technique used for direct cryosurgery is that used home-made liquid nitrogen fixation device to perform for the lung cancer under the direct vision thoracotomy (12,13).
Percutaneous cryosurgery
Cryoablation is performed under local or general anesthesia (15-17). In the early stage of the practice, a 21-gauge guide needle is inserted into the center of the targeted tumors under CT guidance, and when it is in the optimal position, a stainlesssteel sheath for the cryoprobe, consisting of an inner guiding sheath and an external sheath, is inserted over the needle. The external sheath for a 2-mm-diameter cryoprobe has inner and outer diameters of 2 and 3 mm, respectively, and for a 3-mm cryoprobe, these are 3 and 4 mm, respectively. After the inner sheath is removed, either a 2- or 3-mm cryoprobe is inserted through the external sheath, which is 180 mm long, equivalent to the length of the cryoprobe, and therefore the cryoprobe tip is located at the end of the sheath (16). However, with the progress of technology and experience, this procedure has been simplified instead that the direct insertion of the probe has been applied.
Under the CT guidance, the cryoprobe is inserted into the targeted tumor directly. The cryoprobe uses high-pressure argon and helium gas for freezing and thawing, respectively, on the basis of the Joule-Thompson principle. Cryoablation consists of 2 cycles of 5 minutes of freezing (cooled to around –165 ˚C) followed by slow thawing up to 20 °C and then a third cycle of 10 minutes of freezing followed by thawing. The air in the lung can interfere with the creation of iceball. When the cryoprobe is inserted into normal pulmonary parenchyma, initial freezing can make an iceball of 1 cm in diameter only because the air prevents conduction of low temperatures and there is not enough water in the parenchyma. However, after thawing, the massive intra-alveolar hemorrhage excludes the air and results in a larger iceball that forms in the following freezing. Therefore, three freeze-thaw cycles need to be performed to make an iceball of 2.5 to 3.0 cm in diameter. The 2- or 3-mm diameter cryoprobe can freeze an area of 2 cm and 3 cm in diameter, respectively, and 4 cm long after 3 cycles of freezing and thawing. Therefore, for tumors smaller than 2 cm, only 1 cryoprobe is usually inserted, and for tumors of 2 cm and more in size, 2 or more cryoprobes are used simultaneously to ensure a freezing margin. For those with metastases in both lungs, cryotherapy should be performed separately in an interval of 7 days with each one side for the safety (Figure 1) (15).
Figure 1. Cryotherapy was performed for lung cancer under CT guidance. A. Lung cancer prior to cryoablation; B. Cryoprobe (arrow) surrounded by “ice-ball” (hypodense) during cryoablation.
After procedure, the probe is gently withdrawn. Intraoperative thoracentesis will be performed if pneumothorax or haemopneumothorax is evident by CT scans. Antibiotics and haemostatics if necessary should be administered for 3 days after cryotherapy. While in the old days, after the cryoprobe is removed, fibrin glue is infused into the outer sheath, the outer sheath is removed while the inner sheath is used to push the coagulated fibrin into the cryoprobe track to reduce the risk of bleeding and pneumothorax (15,17).
Clinical data
Endobronchial cryosurgery
Endobronchial cryosurgery for the endobronchial tumors was first reported in 1986 and has since been used in over 1,000 patients, and has been proved to be a safe method for palliation of malignancies causing airway obstruction.
In 2004, Maiwand et al. (10) reported that a total of 521 consecutive patients with advanced obstructive tracheobronchial malignant tumors underwent cryosurgery. The tumor was shrunk or eradicated and lung atelectasis was improved. Hemoptysis, cough, dyspnoea and chest pain were improved by at least one class in 76.4%, 69.0%, 59.25% and 42.6% of symptomatic patients respectively, and improvement in one or more symptoms was demonstrated in 86% of patients. Median survival was 8.2 months and 1- and 2-year survival was 38.4% and 15.9%, respectively.
Asimakopoulou et al. (11) compared the efficacy between at least two sessions and one session of endobronchial cryosurgery. Group A including 172 patients with at least two sessions of endobronchial cryosurgery was compared with group B including 157 patients with one session of cryosurgery for primary or metastatic obstructive lung carcinoma. Results showed that symptoms of dyspnea, cough, and hemoptysis were significantly reduced in both groups after cryosurgery, although group A benefited more than group B. Lung function was improved significantly in group A. The mean Karnofsky performance score had a similar increase in both groups. The mean survival was 15 months (median, 11 months) for group A and 8.3 months (median, 6 months) for group B. Univariate regression analysis showed that no particular patient or tumor characteristic was associated with reduction of symptoms. Patients who had cryosurgery and external beam radiotherapy showed longer survival. Females and patients with stage IIIa and IIIb tumors achieved significantly improved Karnofsky scores.
Yu et al. (18) investigated the effect of endobronchial cryosurgery in 92 patients with central bronchial carcinoma using CO2 as the cryogen. Tumor complete remission (CR) achieved in 51 (55.4%) patients and partial remission (PR) in 31 (37.7%) patients. Cough, hemoptysis, dyspnoea, and chest pain were improved in 73.9%, 98.0%, 75.0%, and 50.0% of the patients. Obstructive pneumonia was controlled in 87.2% of the patients.
Wang (19) also used CO2 as the cryogen for cryosurgery under guidance of bronchoscope for endobronchial malignancies. His experience showed that cryoextraction could be used for large tumors, and destruction was recommended for relatively superficial lesions. The clinical outcome and complication of cryosurgery were mainly attributed to the technique and experience of surgeon, patient status and tumor characteristics. Nevetheless, cryosurgery is one of the safer and effective therapies for endobronchial obstructed lesions.
Direct cryosurgery
Liu (12) first used home-made liquid nitrogen fixation device to perform the lung cancer under the direct vision thoracotomy. The results showed 9 (24.3%) out of 37 cases of primary pulmonary cancer survived more that 5 years. Others used similar device to have direct cryotherapy under open thoracotomy (13,20,21). Chen et al. (13) treated the patients with primary and metastatic lung cancer in 34 cases. Most of the patients (32/34) turned to be operable after intraoperative cryosurgery. The 1-, 2-, and 3-year survival were 90.9%, 47.3%, and 32.5%, compared with that of 76.4%. 45.0%, and 28.0%, respectively, in surgical resection only.
Maiwand et al. (10) reported direct cryosurgery on lung cancer which was performed on 15 patients at exploratory thoracotomy. The intraoperative findings of no possibility of resection for tumor led to the decision not to perform lung resection, instead, to receive direct cryosurgery. There were no post-operative complications attributable to the application of direct cryosurgery. In particular, there were no cases of prolonged air-leak or pneumothorax post-operatively. The results showed an improvement in the respiratory function over an average followup period of 9 months. Performance status and symptoms such as cough, dyspnoea and hemoptysis were shown improvement in 77.8%, 66.7%, and 100% of symptomatic patients, respectively. Measurable reduction in tumor mass was recorded in three of the fifteen patients. The median survival from the date of surgery was 11.6 (6.8 to 18.2) months, range 1 to 84 months. Oneyear survival was 50% with 25% and 6% surviving 2 and 5 years respectively.
Zhuang et al. (14) investigated the efficacy and the safety of intraoperative cryoablation in 15 patients with inoperable lung cancer. The results showed that cough, hemoptysis, and dyspnoea were improved significantly after cryoablation and the average survival time was 11.6 months.
We also performed intrathoraxic cryotherapy for inoperable lung cancer in 36 cases before 2006. The results showed a similar benefit with the percutaneous modality (22).
Percutaneous cryosurgery
Kawamura et al. (17) reported that 35 small pulmonary malignant tumors in 20 nonsurgical patients were given percutaneous cryoablation under CT guidance with local anesthesia. Results showed that local recurrence of 7 (20%) tumors in 7 (35%) patients during a 9 to 28 months (median, 21 months) follow-up period. One-year survival according to the Kaplan-Meier method was 89.4%.
Choe et al. (23) performed percutaneous cryotherapy in 9 of 76 procedures in 65 patients with relative small lung cancer (about 2 cm), others were performed by radiofrequency ablation with tumor around 4 cm. The overall median survival was 20.8±4.7 months with 1-, 2-, and 3-year survival rates of all patients being 67%, 46% and 27%, respectively. The results showed that cryotherapy was safe with less complications compared with RFA.
Since 2000 when Wu in Shanghai performed the first CTguided percutaneous cryosurgery for lung cancer in the world (24), percutaneous cryosurgery for lung cancer has been widely performed in China (15,16,20,21,25-34).
Niu and his colleagues (15) from Fuda Cancer Hospital, Guangzhou, reported the results of a total of 840 patients with non-small cell lung cancer who underwent percutaneous cryoablation in Fuda Cancer Hospital Guangzhou, China. Based on the TNM staging, there were 122 patients with stage IIa, 462 with IIb, 160 with IIIa, 64 with IIIb and 32 with IV. A total of 1,174 procedures of cryoablation were performed for 840 patients with lung cancer. There were 140 and 66 patients who underwent additional single and two sessions of cryoablation procedure, respectively, for recurrent tumors in the lungs. There were 62 patients who underwent additional session of cryoablation for liver metastases. After cryoablation, the size of the lesions increased initially, which was corresponding to the freezing margin exceeding 1 cm beyond the limit of the tumor. The cryotreated lesions then appeared shrinking or cavitated on CT images. During the follow-up, complete remission (CR) was observed in 86 patients (14.4%), partial remission (PR) in 588 patients (70.0%). However, the tumor recurred in 47.2% of the patients during a median follow-up of 34 months (range, 4 to 63 months), in the lungs, liver, brain, and bone. The recurrence at cryosite accounted 28.3% of cases. During the follow-up, the median survival of all patients was 23 months (range, 5-61 months) with 1-, 2-, 3-, 4-, and 5-year overall survival of 68%, 52%, 34%, 26% and 17%, respectively. Zhou et al. (35) in the same hospital observed therapeutic effects of cryosurgery combined iodine-125 seeds implantation in 140 patients with advanced lung cancer. However, the combination treatment did not show much better result than the whole group above mentioned. After 6 postoperative months the patients had CR of 16.8%, PR of 70.1%, stable disease (SD) of 7.4%, and progressive disease (PD) of 5.7%. The half-year and one-year survival rates were 94.3% and 65.7% respectively. Figure 2, 3 showed two patients with complete response as proven by histology.
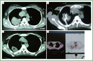
Figure 2. The CT scan of one patient with lung cancer. A. Cancer prior to cryoablation; B. Percutaneous cryoablation under CT guidance; C. CT image 8 months after cryoablation; D. PET/CT image showed the lesion no activity 12 months after cryoablation.
Figure 3. PET/CT scan of one patient with small lung cancer. A. Cancer prior to cryoablation; B. PET/CT image 12 months after cryoablation; C. CT image showed the cavitated lesion 5 years after cryoablation; D. PET/CT image showed the lesion no activity 5 years after cryoablation.
Wang et al. (16) from PLA General Navy Hospital, Beijing, reported initial experience with CT-guided percutaneous cryotherapy of primary and metastatic lung malignancies who were not surgical candidates in 187 patients. Ice formation was identified at CT as reduced attenuation values (in Hounsfield units) within soft-tissue masses, and tumor size and location were independent predictors of tumor coverage by low attenuating ice. The overall rate of pneumothorax was 12% (22 of 187 patients), and other side effects appeared to be self-limited.
Chen et al. (27) found that all the tumors shrank at one post-cryoablation month compared with one week before cryoablation, with the average size of 5.61±3.13 mm reduced to 5.15±3.00 mm, the recovery rate of 10.29% and total effective rate of 98.52%.
Feng et al. (25) from PLA General Navy Hospital, Beijing, compared the efficecy of cryosurgery combined with or without chemotherapy in 253 patients with advanced non-small cell lung cancer in a randomized study. The results demonstrated the overall survival in combination therapy group was 15.10±3.84 months compared with 10.08±1.02 months in cryosurgery group, while there was no difference between ice coverage to tumor in the two groups.
Zhang et al. (36) from Hebei Province reported 62 patients with uncontrolled nonsmall cell lung cancer after common radiotherapy and/or chemotherapy who were re-treated with therapeutic alliance of cryotherapy and interventional chemotherapy, with 1-year survival of 80.1%.
Du et al. (20) from Beijing compared cryotherapy and surgical resection in 26 and 18 patients, respectively, and results showed that the cryotherapy group had less local recurrence and distal metastases with 1-year survival (75%) and 3-year survival (33.5%) of cryoablation obviously higher than that of resection (58.3% and 0%, respectively) though this study was not randomized and groups were not well matched. A meta analysis assessed the survival rate and quality of life of patients with intermediate and advanced non-small cell lung cancer after cryoablation. Forty-four papers on treatment of intermediate and advanced NSCLC with argon-helium cryoablation were searched from “lung cancer” and “argon-helium cyroablation”. It is suggested that cyroablation can improve the quality of life in patients with intermediate and advanced NSCLC, while combination with radiotherapy and chemotherapy does not show any clinical advantages over cryoablation alone and even decreases the quality of life of such patients (30).
Luo et al. (31) of Meitan General Hospital, Beijing, reported the results of the 139 patients with unresectable nonsmall cell lung cancer patients confirmed by pathology and with follow-up from July 2006 to July 2009. Combination of multiple minimally invasive treatments was selected according to the blood supply, size and location of the lesion. Among the 139 cases, 102 cases of primary and 37 cases of metastasis to mediastinum, lung and chest wall, 71 cases with tumors abundant in blood supply were treated with the combination of superselective target artery chemotherapy, percutaneous cryoablation and radiochemotherapy with seeds implantation; 48 cases with tumors poor in blood supply were used single percutaneous cryoablation; the other 20 cases with tumors poor in blood supply used the combination of cryoablation and radiochemotheraoy with seeds implantation. The KPS score increased after the treatment. During the follow-up of 3 years, the results showed CR in 44 cases which were all treated with either cryoablation or cryoablation plus radiochemotherapy, PR in 87 cases, and the efficacy was 94.2% with median survival of 19 months (mean 16±1.5 months), and 1- and 2-year survival of 71.2% and 30.2%, respectively.
In 2007, Hu et al. (26) from Dongfang Hospital, Beijing University of Chinese Medicine, observed the clinical effect of the combined therapy with argon-based cryosurgery and Chinese herbal medicine in treating 57 NSCLC patients. The treatment was successful in all patients with mild adverse reactions. The effective rate was 83.8%, 79.6%, and 77.3% at 3, 6, and 12 months after treatment with median survival of 9 months, and the 1- and 2-year survival of 46.67% and 36.36%, respectively.
These results show that the percutaneous cryotherapy with or without other modalities is a safe and effective option for the treatment of lung cancer.
Experimental study
We evaluated (37) lung necrosis by CT-scan and histology in a porcine model using different freeze-thaw cycles during percutaneous cryosurgery under CT guidance. Three cryoprobes were inserted into both the left and right lung for each pig, respectively. For the left lung cryoablation was performed by two cycles of freezing with each 10 minutes followed by 5-minute thawing, while for the right lung, the cycles were the same as the left lung but with each 5-minute freezing and plus another (third) cycle of 10-minute freezing and 5-minute thawing. The cryolesional samples were taken at 4-hour, 3 and 7 days postoperatively. Our results showed the ice-ball grew gradually in relation to the increase in time and cycles. The size of the cryolesion became larger than the ice-ball during cryosurgery, regardless of 2 or 3 freeze-thaw cycles were performed. The area of necrosis gradually increased as time increased (Figures 4, 5, 6). It is suggested that three freeze-thaw cycles are necessary for the complete cryoablation of lung parenchyma, and “1-cm safe rim” may be not necessary during lung cryosurgery in order to avoid harming the organ and tissue close to the cancer.
Figure 4. The CT-imaging of pulmonary parenchyma after freezing and thawing. The ice-ball grew gradually in relation to the increase in time and cycles. A and A'. Five minutes after first cycle of freeze-thaw; B and B'. Five minutes after second cycle of freeze-thaw; C and C'. Five minutes after third cycle of freeze-thaw.
Figure 5. The morphological description of lungs samples at different post-cryoablative time. A. 4 hours after cryoablation; B. 3 days after cryoablation; C. 7 days after cryoablation.
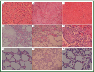
Figure 6. The pathological features of lung cryolesion. H&E staining, magnification 20×. After cryoablation, the center region was shown tissue hemorrhage and necrosis at 4 h, 3 and 7 days postoperatively (A-C). At the periphery, lung tissues showed vasodilatation, hyperemia, edema and hemorrhage 4 h after cryoablation (D), alveolar interstitial hyperemia and edema, hemorrhage and necrosis 3 days after cryoablation (E), and alveolar and bronchiolar epithelial proliferation with granulation formation 7 days after cryoablation (F); At the edge of cryolesion, alveolar structure was still maintained with mild hyperemia and hemorrhage 4 h after cryoablation (G); alveolar structure was restored normally with some hyperemia 3 days after cryoablation (H); and alveolar structure was normal with mild surrounded interstitial hyperemia and hemosiderin macrophages (I).
Lu et al. (34) have investigated tumor marker changes of 48 patients with non-small-cell lung carcinoma treated by cryosurgery only. The serum levels of 12 tumor makers were compared between one week before and 1 month after treatment by the multi-tumor marker protein chip diagnostic system. Results demonstrated the serum levels of CEA, CA199, CA125, CAl53, CA242, and Ferritin were significant decreased after treatment. It is suggested that this system could be used as effective evaluation of non-small-cell lung cancer patients after cryotherapy.
Some in vitro studies suggest cryotherapy can stimulate the immune system to trigger a specific anti-tumor effect in human lung cancer cells (38-40). Zhou et al. (38) found the levels of soluble interleukin-2 receptor (SIL2-R), IL-6 and lymphocyte transformation rate (LTR) were all significantly increased after freeze of lung cancer cells. The supernatant of frozen cells could remarkably inhibit the proliferation of the autologous lung cancer cells, indicating that cryotherapy could provoke the antitumor immunity. The bone marrow-derived dendritic cells (DCs) could efficiently process and present the antigens of freeze-thawing treated cancer cell, and subsequently activate CTLs or NK cells and induce cancer cell apoptosis. Secretion of IL-12 by DCs was enchanced when cultured with cryo-treated lung cancer cells (41-43). Cryo-treated lung cancer cells could activate DCs to secrete IL-12 as well as DCs maturity, thus to kill cancer cells specifically (39).
Li et al. (42) found tumor infiltrating lymphocytes (TIL) from lung cancer had no change after the treatment of liquid nitrogen freezing and thawing, suggesting immunologic property and cytolytic activity of TIL can be well kept after liquid nitrogen freezing.
Other studies have been focused on the enhancement of cryotherapy combined with other treatments. In a series of investigations on a lung cancer animal model, Forest et al. (43,44) founded the injection of Vinorelbine ditartrate at 15 days after cryotherpay induced much more amount of necrosis in tumors and much more important in the T/C ratio. The combination of cryotherapy and chemotherapy could enhance both necrosis and apoptosis of the tumor. Others have investigated the immunomodulators on the enhanced cryotherapy. Redondo et al. (45) documented that cryotherapy of the tumor with topical administration of imiquimod induced potent antitumor immune response and protected 60% of the animals against tumor rechallenges. den Brock et al. (46) demonstrated that local recurrence at the ablated site was reduced from 30% to 0% and cryoablation-induced immune response was enhanced when in combination with CpGoligodeoxynucleotide administration. These results confirm that cryotherapy can enhance the uptake of tumor antigens by the dendritic cells. However, there is no evidence so far this will be the same in lung cancer.
Discussion
Patients with advanced non-small-cell lung cancer have a poor outcome. No clear-cut consensus regarding the management of this disease has been established worldwide. Despite advances in treatment, the overall survival has not improved substantially during the past 30 years. The 1- and 2-year survival rate has not exceeded 20% and 10%, respectively (47).
There are few options available when lung cancer is considered unresectable. Cryosurgery is one of the promising techniques. Based on the experience with endobronchial and direct cryoablation for lung cancer (10,11) and the successful results of percutaneous cryoablation of liver and prostate carcinoma (7,9), percutaneous cryoablation technique for the treatment of lung cancer has been more and more widely applied.
Endobronchial and direct cryosurgery
The advantages of endobronchial cryosurgery are proved effective and with minimal complications. It is relatively easy to use and economical in comparison with other techniques. Patients tolerate the procedure very well and show a significant improvement in symptoms at the end of the procedure. The use of a general anaesthetic has the advantage that it allows greater head and neck mobility and makes a patient more relaxed. General anaesthetic, however, may carry some risks in frail patients. Complications with endobronchial cryotherapy seem to be acceptable. In the report of Maiwand et al. (10), 9% of the patients were with post-operative complications in which 21 cases with hemoptysis (4%), 12 cases with post-operative atrial fibrillation (2%) and 16 patients with respiratory distress and poor gas exchange that eventually resolved (3%). In addition, 7 (1.2%) patients died of respiratory failure. However others reported no serious complicatons (16-18). The reasons for this difference are not clearly defined with the possible assciation with the patients’ characteristics and surgeon’s experience.
The direct cryosurgery, which can be performed under either open thoracotomy or thoracoscope, provides a precise location and management of the tumor. The recurrence has been significantly decreased at the edge of resection when the cryoablation is employed for this area (13,20,21). It is safe also to perform the cryotherapy under open thoracotomy. There were no significant post-operative complications attributable to the application of direct cryosurgery including pneumothorax (10-14). However, it is more invasive than the following percutaneous pathway.
Percutaneous cryosurgery
Efficacy of percutaneous cryosurgery
The efficacy of cryoablation for lung cancer is much better than that of chemotherapy with or without radiation in recent reports. Our study showed a superior benefit compared with the above results in 840 patients with non-small cell lung cancer. The median survival of all patients was 5 to 61 months (mean 23). Overall 1-, 2-, 3-, 4-, and 5-year survival were 68%, 52%, 34%, 26% and 21%, respectively (15). In our late experience, i.e. from 2008, the 1-year overall survival was 66% for the whole 144 patients and 58% for stage IIIB+IV lung cancer. Two-year overall survival was 48% for the whole and 64% for the NSCLC patients of stage IIIB+IV (48). Other investigations afore described have also comfirmed the efficacy of cryosurgery for lung cancer (20,31,35).
Safety of percutaneous cryosurgery
During the percutaneous cryoablation for lung cancer, pneumothorax is a very common complication, which was seen in 25.9% in our study (15) and 12% in other report (16); pleural effusion and hemoptysis are also common, seen in 16.2% and 22.5% of our series, respectively (15), and two complications involved recurrent laryngeal nerve damage observed but the patients regained speech within 2 months (10).
Niu and his colleagues (49) from Fuda Cancer Hospital- Guangzhou, analyzed the most common complications after percutaneous cryoablation for advanced lung cancer. A total of 644 lung cancer patients had been treated with percutaneous cryoablation guided by ultrasound and/or CT scan, and showed that complications were relatively minor and generally didn't have life-threatening consequences, and were resolved spontaneously or with conservative management. No severe complications such as cryoshock and renal insufficiency, as observed during liver cryoablation (50,51), were seen in this series. The 30-day mortality was 2.6% in our study (15). Serious complications included cardiac arrest and hemopneumothorax, and thus preventative steps should be taken. Therefore, CTguided percutaneous lung cryotherapy yielded lower procedural morbidity.
Survival analysis of percutaneous lung cryotherapy
There are few investigations on the impact of pulmonary cryotherapy on long-term survival for the advanced lung cancer patients. We have studied the survival analysis in 144 patients with Cox regression model and showed that factors associated with better survival included female gender, stage (III or IV), previous treatment, chemotherapy, and cryotherapy followed by chemotherapy (48). Li et al. (52) investigated the longterm effects and risk factors of percutaneous cryosurgery for 253 patients with advanced lung cancer. In the follow-up of 6 to 55 months, the median survival time was 11.98 months and 1-, 2-year survival rate was 41.1%, 27.59%. The multivariant analysis by Cox model revealed that the tumor staging (IIIb or IV), tumor size (<3 cm or > 4cm), location (upper lobe or lower lobe) and combination chemotherapy (≥2 cycles or <2 cycles) were significantly associated with prognosis of NSCLC. Choe et al. (23) also found that the complete ablation for the tumors had been significantly associated with higher survival duration and progression free survival duration compared with the partial ablation. It is evident that further investigations based on longterm follow-up in randomized and controlled trials need to declare the precise procedrue for the treatment of patients with lung cancer.
Conclusions
Percutaneous cryoablation offers an effective therapy for patients with locally advanced non-small-cell lung cancer, without serious complications. It is especially suitable for the treatment of unresectable lung tumors (e.g., the cancer with multiple nodules, large tumor and ill-located tumor) and for the cancer patients with co-morbidity conditions considered to be poor surgical candidates. The therapeutic efficacy of the procedure is preponderate over that of routine chemotherapy and radiation. In vitro studies have shown cryotherapy of lung cancer cells can improve the immune system to trigger the specific anti-tumor response. However, this study is still a preliminary one. In the future, comparative studies between this modality and wedge resection, stereotactic radiation or other therapies should be conducted to further determine the efficacy and role of this novel approach for the treatment of lung cancer. In addition, more attention needs to be put on the immunomodulators that enhance the cryoimmunology. Nevertheless, according to the current data, percutaneous cryoablation, a feasible and miniinvasive technique, has demonstrated an encouraging efficacy in the treatment of advanced non-small-cell lung cancer.
Acknowledgements
Disclosure: The authors declare no conflict of interest.
References
  • Yang P. Epidemiology of lung cancer prognosis: quantity and quality of life. Methods Mol Biol 2009;471:469-86.
  • Stracci F. Cancer screenings, diagnostic technology evolution, and cancer control. Methods Mol Biol 2009;471:107-36.
  • Vogl TJ, Straub R, Lehnert T, et al. Percutaneous thermoablation of pulmonary metastases. Experience with the application of laser-induced thermotherapy (LITT) and radiofrequency ablation (RFA), and a literature review. Rofo 2004;176:1658-66.
  • Simon CJ, Dupuy DE. Current role of image-guided ablative therapies in lung cancer. Expert Rev Anticancer Ther 2005;5:657-66.
  • Gillams A. Lung tumour ablation - where are we now? Cancer Imaging 2008;8:116-7.
  • Roy AM, Bent C, Fotheringham T. Radiofrequency ablation of lung lesions: practical applications and tips. Curr Probl Diagn Radiol 2009;38:44-52.
  • Xu KC, Niu LZ, He WB, et al. Percutaneous cryoablation in combination with ethanol injection for unresectable hepatocellular carcinoma. World J Gastroenterol 2003;9:2686-9.
  • Mouraviev V, Polascik TJ. Update on cryotherapy for prostate cancer in 2006. Curr Opin Urol 2006;16:152-6.
  • Xu KC, Niu LZ. Cryosurgery for Cancer. In: Lung Cancer. Niu LZ, Xu KC, eds. Shanghai: Shanghai Science and Technology Education Press, 2007:106-22.
  • Maiwand MO, Asimakopoulos G. Cryosurgery for lung cancer: Clinical results and technical aspects, Technol. Cancer Res Treat 2004;3:143-50.
  • Asimakopoulos G, Beeson J, Evans J, et al. Cryosurgery for malignant endobronchial tumors: analysis of outcome. Chest 2005;127:2007-14.
  • Liu P. Pulmonary cryosurgery. Low Temp Med 1985;11:84.
  • Chen WP, Cheng YQ, Zhen Q. Clinical evaluation of intraoperative cryosurgery with liquid nitrogen for the lung cancer. Ai Zheng 1990;9:387-8.
  • Zhuang CW, Zhang ZM, Weng XQ, et al. Intraoperative Ar-He targeted cryoablation for inoperable lung cancer, Lin Chuang Jun Yi Za Zhi 2008;36:57-8.
  • Niu LZ, Xu KC, He WB, et al. Percutaneous Cryoablation for patients with advanced non-small cell lung cancer. Technol Cancer Res Treat 2007;6:451-2.
  • Wang H, Littrup PJ, Duan Y, et al. Thoracic masses treated with percutaneous cryotherapy: initial experience with more than 200 procedures. Radiology 2005;235:289-98.
  • Kawamura M, Izumi Y, Tsukada N, et al. Percutaneous cryoablation of small pulmonary malignant tumors under computed tomographic guidance with local anesthesia for nonsurgical candidates, J Thorac Cardiovasc Surg 2006; 131:1007-13.
  • Yu XY, Tang X, Liu HY, et al. Cryosurgery under bronchoscope guidance for the patients with central bronchial carcinoma. Yi Shi Jin Xiu Za Zhi (Neike) 2004;27:37-8.
  • Wang HW. Endobronchial cryosurgery under guidance of bronchoscope. Zhongguo Zuzhi Gongcheng Yan Jiu yu Lin Chuang Kang Fu 2008;12:5001-6.
  • Du XS, Chen YF, Han XD, et al. Cryotherapy and resection for primary peripheral lung cancer. Zhonghua Xiong Xin Xue Guan Wai Ke Za Zhi 2003;19:24.
  • Zhang BJ, Yang RS, Liu P, et al. Clinical study on cryosurgery in lung cancer. Journal of Cancer Prevention and Treatment 2004;11:728-9.
  • Niu LZ, He WB, He YS, et al. Clinical evaluation of cryoablaton for 508 patients with lung cancer. Zhongguo Jiao Tong Yi Xue Za Zhi 2006;20:29-30.
  • Choe YH, Kim SR, Lee KS, et al. The use of PTC and RFA as treatment alternatives with low procedural morbidity in non-small cell lung cancer. Eur J Cancer 2009;45:1773-9.
  • Zhang JR. Argon-Helium cryoablation in the treatment for cancer. Zhongguo Zhong Liu 2007;16:335-7.
  • Feng HS, Nie ZS, Duan YY, et al. Clinical study of percutaneous cryosurgery combined with chemotherapy in treatment for 253 cases with advanced nonsmall cell lung cancer. Zhongguo Zhong Liu 2007;16:898-901.
  • Hu KW, Li QW, Zuo MH, et al. Clinical observation on the combined treatment of 57 cases of non-small cell lung cancer using argon-helium cryosurgery and Chinese herbal medicine. Chin J Integr Med 2007;13:224-7.
  • Chen B, Xu J, Cao JM, et al. Therapeutic assessment of cryoablation for the treatment of lung cancer. Journal of Interventional Radiology 2009;18:510-40.
  • He ES, Luo YC, Luo FR. Clinical observation of cryotherapy for advanced lung cancer under MRI guidance. Wei Chuang Yi Xue 2009;4:251-2.
  • Wu LH, Zhao DY, Fu YM, et al. Cryotherapy of lung cancer under MRI guidance system. Zhongguo Wei Chuang Wai Ke Za Zhi 2009;9:437-8.
  • Du XF, Han BS, Li TZ. Effect of argon-helium cryoablation on intermediate and advanced non-small cell lung cancer: A meta-analysis. J. Chin. PLA Postgrad. Med. Sch 2010;31:714-7.
  • Luo L, Wang H, Ma H, et al. TACE with Ar-He cryosurgery combined minimal invasive technique for the treatment of primary NSCLC in 139 cases. Zhongguo Fei Ai Za Zhi 2010;13:60-3.
  • Bu J, Quan XY, Liang W, et al. Imaging evaluation of lung cancer after cryoablation under CT guidance. Shi Yong Yi Xue Za Zhi 2010;26:1601-3.
  • Liu YX, Liu DX, Huang HZ, et al. Low-dose CT-guided percutanous minimal invasive cryosurgical treatment of lung tumors. Modern Hosipital 2010;10:13-7.
  • Lu N, He JH, Huang JG, et al. The effects of multi-tumor marker in nonsmall lung carcinoma treated by argon-helium cryosurgery system. China Medical Engineering 2010;3:28-30.
  • Zhou H, Niu L, Zhou L, et al. Cryosurgery combined with Iodine-125 seed implantation in the treatment of unresectable lung cancer. Zhongguo Fei Ai Za Zhi 2008;11:780-3.
  • Zhang FT, Li XL, Li HJ, et al. Clinical analysis of the therapy for recurrent and intractable non-small cell lung cancer with combination of cryoablation and intervention. Journal of Interventional Radiology 2007;16:759-61.
  • Niu L, Wang J, Qiu D, et al. Imaging and pathological features of percutaneous cryosurgery on normal lung evaluated in a porcine mode. Zhongguo Fei Ai Za Zhi 2010;13:676-80.
  • Zhou P, Lu Z, Zhang G. A study on immunity enhancement of frozen human lung cancer cells in vitro. Zhongguo Fei Ai Za Zhi 1999;2:32-4.
  • Li YQ, Feng HS, Huang YZ, et al. Changes of peripheral mononuclear cell immunologic function caused by jung cancer cell treated with Ar-He freeze. ZhongguoZhongLiu 2007;16:895-7.
  • Wang, HW. Immunomodulatory effects of cryolytic lung cancer cells on bone marrow-derived dendritic cells. Zhongguo Zu Zhi Gong Cheng Yan Jiu yu Lin Chuang Kang Fu 2009;13:3560-4.
  • Feng HS, Huang YZ, Duan YY, et al. Enhancement of dendritic cell induced antitumor effect by lung cancer cell after cryotreatment. Sheng Wu Yi Xue Gong Cheng Yan Jiu, 2005;24:115-6.
  • Li GZ, Guo BQ, Kang B, et al. Observation of antitumor activity on tumor infiltrating lymphocytes from lung cancer in liquid nitrogen cryopreservation. WeifangYixueyuanXuebao 2000;22:24-5.
  • Forest V, Peoc'h M, Campos L, et al. Effects of cryotherapy or chemotherapy on apoptosis in a non-small-cell lung cancer xenografted into SCID mice. Cryobiology 2005;50:29-37.
  • Forest V, Peoc'h M, Ardiet C, et al. In vivo cryochemotherapy of a human lung cancer model. Cryobiology 2005;51:92-101.
  • Redondo P, del Olmo J, López-Diaz de Cerio A, et al. Imiquimod enhances the systemic immunity attained by local cryosurgery destruction of melanoma lesions. J Invest Dermatol 2007;127:1673-80.
  • den Brok MH, Sutmuller RP, Nierkens S, et al. Synergy between in situ cryoablation and TLR9 stimulation results in a highly effective in vivo dendritic cell vaccine. Cancer Res 2006;66:7285-92.
  • Morgensztern D, Waqar S, Subramanian J, et al. Improving survival for stage IV non-small cell lung cancer: a surveillance, epidemiology, and end results survey from 1990 to 2005. J Thorac Oncol 2009;4:1524-9.
  • Niu LZ, Xu KQ, Zhou L, et al. Impact of percutaneous cryotherapy on survival of advanced lung cancer with or without chemotherapy, Low Temp Med 2010;2:41-6.
  • Niu L, Wang J, Zhou L, et al. Complications of cryoablation in 644 lung cancer patients and its treatment. Zhongguo Fei Ai Za Zhi 2010;13:832-4.
  • Pearson AS, Izzo F, Fleming RY, et al. Intraoperative radiofrequency ablation or cryoablation for hepatic malignancies. Am J Surg 1999;178:592-9.
  • Seifert JK, Morris DL. World survey on the complications of hepatic and prostate cryotherapy. World J Surg 1999;23:109-13.
  • Li YQ, Feng HS, Nie ZS, et al. The long-term effects and risk factors analysis in 253 cases advanced non-small cell lung cancer treated with percutaneous cryosurgery. Lin Chuang Zhong Liu Xue Za Zhi 2010;15:346-9.
Cite this article as: Niu L, Xu K, Mu F. Cryosurgery for Lung Cancer. J Thorac Dis 2012;4(4):408-419. doi: 10.3978/j.issn.2072-1439.2012.07.13

Download Citation