Double wammy - mediastinal and ovarian teratoma: A rare clinical co-existence
Case Report
Double wammy - mediastinal and ovarian teratoma: A rare clinical co-existence
Leo Francis Tauro, Prathvi Shetty, Aruna Kamath, Ashok Shetty
Father Muller Medical Collage and Hospital, Mangalore, Karnataka, India

Conflict of interest:The authors declare that they have no conflicts of interest with respect to the authorship and/or publication of this article.

Corresponding to: Prathvi Shetty, MS. Department of Surgery, Father Muller Medical Collage and Hospital, Kankanady, Mangalore 575002, Karnataka, India. Tel: +91-824-2238297; Fax: 0824- 2437402/2436352. Email: prathviz@gmail.com.
Abstract
Teratomas are germ cell tumours arising as the result of abnormal development of totipotential cells. They are commonly encountered in the gonads and occasionally found in mediastinum. We report a case of asymptomatic 28 years old lady with concomitant mature cystic teratoma in her mediastinum and left ovary which was diagnosed incidentally during health check up. This case is reported because of its rare and unusual coexistence.
Key words
Mediastinal tumour; ovarian tumour; teratoma; cystic tumour
J Thorac Dis 2012;4(4):434-436. DOI: 10.3978/j.issn.2072-1439.2012.03.09
Introduction
Teratomas are germ cell tumours commonly composed of multiple cell types derived from one or more of the three germ layers. Teratomas range from benign, well-differentiated (mature) cystic lesions to those that are solid and malignant (immature) (1). Arising from totipotential cells, they can be gonadal or extra gonadal tumours occurring in midline or paraxial. The most common location is sacrococcygeal but also commonly encountered in ovary. Cystic teratomas arising from the sequestered embryonic cell rest are less frequent and seen in mediastinal, retroperitoneal, cervical, and intracranial (2). We report a rare case of 28 years old asymptomatic lady diagnosed incidentally during health check up, harbouring synchronous mature cystic teratomas in her ovary and mediastinum (3).
Case history
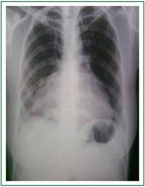
A 28 years old newly married lady during her routine medical health check up before leaving to Middle east was found to have right paracardiac shadow in her chest X-ray (Figure 1). She had no complains of breathlessness, abdominal pain, nausea, vomiting, loss of appetite or weight and bowel/bladder disturbances. She had regular menstrual cycle. A physical examination revealed a firm mobile non tender swelling in the hypo gastric region.
Figure 1. Chest X-ray showing right para cardiac shadow.
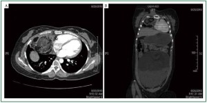
Ultrasound (USG) abdomen showed large encapsulated cystic mass lesion measuring approximately 22 cm × 20 cm × 10 cm seen in the pelvis and extending in to the abdomen. Her blood parameters were within normal limits so was her Alfa-feto protein (AFP), CA 125 and Beta-human chorionic gonadotropin (b-HCG) values. Further evaluating, Computerised Tomography of chest and abdomen (Figure 2A, 2B) revealed a well encapsulated solid-cystic mass lesion 9 cm × 6.5 cm × 6.6 cm in the anterior mediastinum in the right paracardiac region with smooth thick wall and area of focal calcification. The contents of the cystic lesion are hetrogenous with predominant fat density with no signs of chest wall or pericardial invasion suggesting of mediastinal mature teratoma and large heterogeneous, sharply marginated cystic lesion arising from the left ovary.
Figure 2. A: CT scan Axial view of chest at level of cardia showing a well defined cystic mass in right para cardia with smooth thick wall and area of focal calcification. The cystic content are heterogeneous with predominant fat density; B: Coronal section CT scan showing large cystic lesion in pelvis and lower abdomen and mass lesion in the mediastinum.
She underwent left oopherectomy with right thoracotomy with a gap of 3 weeks between the surgery. On thoracotomy a large paracardiac mass extending from thymus up to diaphragm, adherent to pericardium, right lung was found. Tumour was excised in total.
Both lesion on histopathological examination (Figure 3A, 3B) was found to be a mature cystic teratoma. Patient had an uneventful post operative period recovery. On 6 month follow up she is asymptomatic.
Figure 3. A: Microphotograph of mature teratoma showing stratified squamous epithelium, dermal adnexal structures, adipose tissue and blood vessels. [Haematoxylin & Eosin stain ×5X]; B:Another foci of the same displaying nodules of immature cartilaginous tissue, glandular tissue, adipocytes and fibrocollagenous tissue. [Haematoxylin & Eosin stain ×5X].
Discussion
Teratomas commonly are classified using the Gonzales - crussi grading system, regardless of location in the body with 0 for benign (Mature) and 3 frankly malignant (Immature). This indicates whether chemotherapy or radiation therapy may be needed in addition to surgery. They are classified as mature or immature on the basis of the presence of immature neuroectodermal elements within the tumor. The more immature elements within the tumour the more chances of them being malignant (4).
The anatomic distribution of the tumours along the lines of migration of the primordial germ cells from the yolk sac to the primitive gonads supports the parthenogenic theory hence they occur both in gonadal and extra gonadal location (1).
Sacrococcygeal teratomas are most common and seen in newborns. Mature cystic ovarian teratoma are also quite common nearly forming 20% of ovarian neoplasm usually seen in second and third decade of life while testicular benign teratomas are quite rare (5,6). The same can be said of mediastinal tumours which are rare representing 8% of all tumours of this region occurring most commonly in adults aged 20-40 years (7).
AFP and B HCG are usually within reference range in benign teratomas and elevated levels may be indicative of malignancy. Work up for cystic teratomas is largely radiographic and their appearance is similar despite varying locations. USG findings show regionally bright echos, hyper echoic lines and flat lines. CT usually reveals complex appearance with dividing septas, internal debris, fat attenuation and distinct calcification, as was in our case which leads to the diagnosis of benign mature teratoma of mediastinum and ovary (8). MRI can sufficiently differentiate lipid from other fluids also useful adjunct for diagnosis. These tests helped us differentiate it from ectopic pregnancy, benign or malignant lesion of ovary, ovarian cyst and mediastinal cyst, neurogenic tumours of the mediastinum.
Mature cystic teratomas of the ovary are often discovered as incidental findings on physical examination, during radiographic studies, or during abdominal surgery performed for other indications. Asymptomatic mature cystic teratomas of the ovaries have been reported at rates of 6-65% in various series. When symptoms are present, they may include abdominal pain, mass or swelling, and abnormal uterine bleeding. Bladder symptoms, gastrointestinal disturbances, and back pain are less frequent. Complications of ovarian teratomas include torsion, rupture, infection, hemolytic anemia, and malignant degeneration. These mature teratomas are removed by simple cystectomy and in its entirety. If immature elements are found the patient should undergo a standard staging procedure (5,6).
Mediastinal teratomas are also often asymptomatic occasionally discovered incidentally on chest radiograph (10), as had happen in our case. When symptoms are present, they relate to mechanical effects including chest pain, cough, dyspnea, or symptoms related to recurrent pneumonitis. They are cured by surgical resection alone as they do not have the metastatic potential as observed in gonadal teratoma (9,10). Complete resection results in long term cure with little chance of recurrence.
References
  • Kumar V, Abbas AK, Fausto N. Robbins and cotran pathologic basis of disease. 7th ed. Philadelphia: Elsevier Saunders;2005.
  • Comerci JT Jr, Licciardi F, Bergh PA, Gregori C, Breen JL. Mature cystic teratoma: a clinicopathologic evaluation of 517 cases and review of the literature. Obstet Gynecol 1994;84:22-8.[LinkOut]
  • Driss M, Limaiem F, Mrad K, Charfi L, Abbes I, Sassi S, et al. Malignant degeneration of benign cystic teratoma of the ovary with synchronous mediastinal teratoma. A case report. Rev Med Interne 2009;30:369-71.[LinkOut]
  • Gonzalez-Crussi F. Extragonadal Teratomas. In: Atlas of Tumor Pathology, Second Series, Fascicle 18. Washington, DC: Armed Forces Institute of patholoy;1982.
  • Stany MP, Hamilton CA. Benign disorders of the ovary. Obstet Gynecol Clin North Am 2008;35:271-84.[LinkOut]
  • Templeman CL, Fallat ME, Lam AM, Perlman SE, Hertweck SP, O'Connor DM. Managing mature cystic teratomas of the ovary. Obstet Gynecol Surv 2000;55:738-45.[LinkOut]
  • Lewis BD, Hurt RD, Payne WS, Farrow GM, Knapp RH, Muhm JR. Benign teratomas of the mediastinum. J Thorac Cardiovasc Surg 1983;86:727-31.[LinkOut]
  • Outwater EK, Siegelman ES, Hunt JL. Ovarian teratomas: tumor types and imaging characteristics. Radiographics 2001;21:475-90.[LinkOut]
  • Dulmet EM, Macchiarini P, Suc B, Verley JM. Germ cell tumors of the mediastinum. A 30-year experience. Cancer 1993;72:1894-901.[LinkOut]
  • Moran CA, Suster S. Primary germ cell tumors of the mediastinum: I. Analysis of 322 cases with special emphasis on teratomatous lesions and a proposal for histopathologic classification and clinical staging. Cancer 1997;80:681-90.[LinkOut]
Cite this article as: Tauro LF, Shetty P, Kamath A, Shetty A. Double whammy-mediastinal and ovarian teratoma: a rare clinical co-existence. J Thorac Dis 2012;4(4):434-436. DOI: 10.3978/j.issn.2072-1439.2012.03.09

Download Citation