Long-term efficacy of diaphragm plication on the pulmonary function of adult patients with diaphragm paralysis: a retrospective cohort study
Introduction
An elevated diaphragm may be due to diaphragmatic eventration or diaphragm paralysis. Diaphragm paralysis can be congenital or acquired (1). Congenital diaphragmatic paralysis is common in neonates and young infants (2). Acquired diaphragmatic paralysis is characterized by progressive muscular fiber dysplasia, atrophy, and the expansion of the dome, which result from a loss of muscle contractility (3). Adult diaphragmatic paralysis is often acquired, and its incidence is unknown, as it is not always clearly diagnosed. Diaphragmatic paralysis may be caused by injury to the phrenic nerve, such as previous cardiothoracic surgery, trauma, infection (e.g., herpes zoster, or influenza), and neuromuscular diseases (4-6). The clinical symptoms of diaphragmatic paralysis are not unique. The main symptom of diaphragm paralysis is dyspnea when engaging in intense exercise; changing to the supine position tends to increase dyspnea. Additionally, some patients are incidentally diagnosed when a computed tomography (CT) or X-ray scan is taken for other reason; thus, caution must be exercised before an inappropriate diagnosis of diaphragm paralysis is made. Diaphragm paralysis can lead to the development of respiratory failure if it is not treated properly.
The surgical treatment of diaphragm paralysis was first described in 1985 (7,8). Diaphragm plication is recommended as an effective and safe procedure for patients with symptomatic, acquired diaphragm paralysis (9). There is still controversy about the long-term outcome of surgical treatment of acquired diaphragm paralysis, Improvements in dyspnea scores and ventilation perfusions have been reported in a majority of patients and even an impressive improvement in exercise capacity has been observed (10). Freeman et al suggested that diaphragm plication could produce improvement for the vast majority of patients in pulmonary spirometry, dyspnea, and functional status that endures over long-term follow-up except for patients who are morbidly obese or who have longstanding unilateral diaphragm paralysis (11). In Versteegh’s study, surgical treatment by plication of the diaphragm can be done with excellent long-term results in patients with diaphragm paralysis, regardless of the etiology of phrenic nerve dysfunction (12). However, Calvinho et al. showed that pulmonary function was not significantly improved after diaphragm plication (13), which may be due to the lack of fluoroscopy before surgery, thus whether there was contradictory movement of diaphragm and the functional status of diaphragm were unknown. In addition, no continuous measurements of lung functions at 3 to 5 years’ follow-up have been recorded; thus, patients’ objective and dynamic improvement has not been observed.
In this study, a total of 36 diaphragm paralysis patients who underwent diaphragm plication were followed-up consistently during 1992–2016. This study sought to assess the long-term effects of diaphragm plication for non-malignant diaphragmatic paralysis patients, especially in relation to patients’ subjective and objective improvement. We present the following article in accordance with the STROBE reporting checklist (available at https://jtd.amegroups.com/article/view/10.21037/jtd-22-983/rc).
Methods
Study population
This retrospective cohort study was conducted at the Tianjin Chest Hospital, Tianjin, China. The data of 36 patients who underwent diaphragm plication by thoracotomy to treat diaphragm paralysis between 1992 and 2016 were retrospectively reviewed. The adult patients were carefully selected based on etiology (phrenic nerve palsy) and a combination of clinical manifestation, pulmonary function testing (in the supine and sitting positions), and chest imaging characteristics. The affected diaphragm was shown to be significantly raised, reaching the level of the aortic arch, with a contralateral mediastinal shift and decreased lung volume. Patients with bilateral diaphragm paralysis, malignant disease, severe chronic obstructive pulmonary disease, and chronic cardiac deficiency were excluded from the study.
All the patients underwent a standard evaluation before surgery. Preoperative elevated hemi-diaphragm and paradoxical movement were found in all patients on the chest X-ray, with lifestyle-limiting dyspnea. All 36 patients underwent diaphragmatic plication. Clinical features (clinical data, preoperative CT reports, and lung functions) were collected by review of the electronic medical record. and 8 patients were continuously followed-up for 4 years after surgery every 6 months via telephone or outpatient. Patients’ CT and lung functions (FEV1 and FVC in the supine and sitting positions) were recorded. The study was conducted in accordance with the Declaration of Helsinki (as revised in 2013). The study was approved by institutional review board of Tianjin Chest Hospital (No. 2022LW-013) and informed consent was taken from all the patients.
Surgical procedure
After general anesthesia and single lung ventilation, diaphragmatic plication was performed by posterolateral thoracotomy through the intercostal space. The diaphragm was relaxed and very thin, like a cicada’s wing. The diaphragmatic muscle was sutured with non-absorbable sutures; the number of the suture needle used was determined according to the relaxation of the diaphragm until the diaphragm had moderate tension. The uncut hemidiaphragm was plicated from the medial to lateral with a series of 6–8 parallel U sutures (2-0 polypropylene) until it became taut and flat. In addition, the diaphragmatic muscle was overlaid with Dacron patches to fortify the repair. The pleural space was drained using a single chest tube.
Statistical analysis
Descriptive analysis was performed for the main results of this paper. The continuous data are expressed as the mean [standard deviation (SD)], and the categorical variables are expressed as the number (percentage). For the repeated data, Mauchly’s test of Sphericity was used to judge whether the data complied with the condition of Huynh-Feldt, and a multi-comparative Bonferroni paired t-test of follow-up lung functions was conducted. A P value <0.05 (2-sided) was considered significant. The statistical analysis was performed using SPSS 16.0 software (SPSS Inc., Chicago, IL, USA).
Results
Basic characteristics of patients
The basic preoperative characteristics of patients are shown in Table 1. There were 19 males and 17 females. The patients had a mean age of 53.72±7.48 years, and a mean body mass index (BMI) of 26.02±2.19 kg/m2. Before the operation, 8 patients had digestive symptoms and 28 patients had dyspnea on exertion, and the mean duration of the symptoms was 52.17±54.79 months. The etiology for diaphragmatic paralysis was surgery in 5 patients, and trauma in 3 patients; the etiology of 28 patients was unknown. There were 3 right and 33 left plications. The mean FVC was 2.08±0.54, and the mean FEV1 was 1.63±0.49. Gastric volvulus was found in 4 patients.
Table 1
| Variables | Results |
|---|---|
| Age (years), mean ± SD | 53.72±7.48 |
| Gender, n (%) | |
| Male | 19 (52.78) |
| Female | 17 (47.22) |
| Symptoms, n (%) | |
| Digestive symptoms | 8 (22.22) |
| Progressive dyspnea | 28 (77.78) |
| Duration of symptom (months), mean ± SD | 52.17±54.79 |
| Etiology, n (%) | |
| None | 28 (77.78) |
| Surgery | 5 (13.89) |
| Trauma | 3 (8.33) |
| Operation, n (%) | |
| Right | 3 (8.33) |
| Left | 33 (91.67) |
| Lung functions, mean ± SD | |
| FVC | 2.08±0.54 |
| FEV1 | 1.63±0.49 |
| BMI (kg/m2), mean ± SD | 26.02±2.19 |
| Gastric volvulus, n (%) | |
| No | 32 (88.89) |
| Yes | 4 (11.11) |
SD, standard deviation; FVC, forced vital capacity; FEV1, forced expiratory volume in the 1st second; BMI, body mass index.
Operative characteristics
As Table 2 shows, diaphragmatic plication was performed through posterolateral thoracotomy. The surgery was conducted in the 5th intercostal space in 1 patient, and the 6th rib in 9 patients, the 7th rib in 9 patients, and the 8th rib in 17 patients. In 24 patients, polyester patches were used to reinforce the diaphragm. The diaphragm was incised in 15 patients. After surgery, follow-up was conducted, and massive pleural effusion was found in 2 patients and closed chest drainage was performed; 3 patients had digestive symptoms and 8 had respiratory symptoms. U diaphragm plications were performed in 26 patients, and diaphragm plications with incisions were performed in 10 patients. The mean time of tube drainage was 8.33 days (2–30 days) after surgery.
Table 2
| Variables | Results |
|---|---|
| Ribs into the chest, n (%) | |
| 5th rib | 1 (2.78) |
| 6th rib | 9 (25.00) |
| 7th rib | 9 (25.00) |
| 8th rib | 17 (47.22) |
| Medical patches, n (%) | |
| No | 12 (33.33) |
| Yes | 24 (66.67) |
| Incision, n (%) | |
| No | 21 (58.33) |
| Yes | 15 (41.67) |
| Postoperative complications, n (%) | |
| None | 23 (63.89) |
| Massive pleural effusion | 2 (5.56) |
| Digestive symptom | 3 (8.33) |
| Respiratory symptom | 8 (22.22) |
| Operation, n (%) | |
| U diaphragm plication | 26 (72.22) |
| Diaphragm plication with incision | 10 (27.78) |
| Time of tube drainage (days), mean (range) | 8.33 (2 to 30) |
Follow-up of lung functions
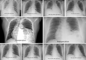
There were no deaths or hospital readmissions. The subjective symptoms of 31 patients (86.11%) improved, especially among those with preoperative digestive symptoms. The diaphragm of the operative side was found to be lower than the contralateral diaphragm on the chest X-ray within 3 months of surgery, and both sides of the diaphragm were basically at the same level after 3 months (Figure 1).
We consistently measured 8 patients’ lung functions (FEV1 and FVC) in the 1st, 3rd, 6th, 12th, and 18th months, and 2 patients’ lung functions were measured in the 24th and 48th months, respectively. As Figures 2,3 show, the improvement in lung functions was the most obvious at 6 months, with an average increase of 26.8% and 24.3% in FVC and FEV1, respectively. The results of the analysis of variance indicated that FEV1 and FVC levels differed at different time points before and after surgery. The Bonferroni paired t test was used for further comparisons. As Table 3 shows, the levels of FEV1 from 3 to 12 months were significantly higher than the preoperative level [the T value was more than the critical t value: t0.01 (7) =3.4995], the levels of FVC from 6 to 12 months were significantly higher than that of the preoperative level [the T value was more than the critical t value: t0.01 (7) =3.4995]. From the 18th month, the levels of FEV1 and FVC gradually declined to the preoperative level over time, and did not differ significantly to the preoperative levels, but patients showed significant subjective improvements in their symptoms postoperatively compared to preoperatively.
Table 3
| Variables | N | Means | SD | t value |
|---|---|---|---|---|
| FEV1 | ||||
| D Month 1 | 8 | 0.09 | 0.04 | 2.45 |
| D Month 3 | 8 | 0.17 | 0.04 | 3.84 |
| D Month 6 | 8 | 0.35 | 0.07 | 5.43 |
| D Month 12 | 8 | 0.30 | 0.08 | 3.58 |
| D Month 18 | 8 | 0.14 | 0.06 | 2.23 |
| D Month 24 | 5 | −0.002 | 0.05 | −0.04 |
| D Month 48 | 4 | −0.09 | 0.01 | −3.00 |
| FVC | ||||
| D Month 1 | 8 | 0.09 | 0.05 | 1.72 |
| D Month 3 | 8 | 0.23 | 0.07 | 3.19 |
| D Month 6 | 8 | 0.51 | 0.09 | 5.80 |
| D Month 12 | 8 | 0.45 | 0.11 | 4.07 |
| D Month 18 | 8 | 0.27 | 0.11 | 2.37 |
| D Month 24 | 5 | 0.06 | 0.07 | 0.80 |
| D Month 48 | 4 | −0.19 | 0.07 | −2.81 |
SD, standard deviation; FEV1, forced expiratory volume in the 1st second; D, date; FVC, forced vital capacity.
Discussion
Diaphragmatic paralysis is a rare thoracic disease, and its reported incidence is less than 0.05% (14). Lifestyle-limiting dyspnea and orthopnea are the most common symptoms; some patients may experience epigastric discomfort before operation (1,10,15). In this study, 28 patients had progressive dyspnea complaints and 8 patients had digestive symptoms before operation. Normally, the caudal movement of the diaphragm enables the expansion of the rib cage to ensure the ventilatory function and perfusion of the lung (14). In diaphragmatic paralysis patients, the affected diaphragm might have weakened or disappeared movement, or even paradoxical movement (12), which may lead to a reduction in lung volume, pulmonary ventilation dysfunction, and respiratory alkalosis, resulting in dyspnea and orthopnea. For some patients, due to the elevating of the diaphragm, the abdominal contents cephalad into the affected thoracic cavity. Both factors cause some non-specific gastrointestinal symptoms, such as abdominal distension and pain, nausea, hiccups, loss of appetite and indigestion. In our study, 4 patients had gastric volvulus, but no effect of gastric volvulus on postoperative recovery was observed.
Diaphragm plication can significantly improve the respiratory symptoms of patients, with little related morbidity (14,16), it was first described in 1923 (17). In relation to the mechanism, diaphragm plication is thought to allow greater lung expansion by placing the diaphragm in the maximum inspiratory position, which reduces compression on the lung parenchyma. In addition, paradoxical movement is prevented during breathing (18), and the abdominal organs are returned to their normal position. The surgical method includes thoracotomy and video-assisted thoracoscopic surgery (VATS) (19,20). VATS was reported to have similar results to thoracotomy with fewer complications (11,21,22). However, there might be a higher risk of breaking the very thin paralyzed diaphragm, and it might be a challenge to achieve the satisfactory tension of the diaphragm through VATS (18,12).
The patients in this study underwent a thoracotomy, which is a classic method for the treatment of diaphragm paralysis. Plication after a period of 1–2 years has been suggested by some authors, particularly in post-cardiotomy diaphragmatic paralysis patients (21,23,24). In our study, the mean duration of symptoms before operation was 52.17 months. Deng et al. (25) has suggested that if phrenic neuropraxia and diaphragmatic paresis is diagnosed (i.e., no paradoxical motion, and supine to upright FEV1/FVC ratios >0.8), waiting is recommended, unless there is severe dyspnea. If diaphragmatic paralysis is diagnosed (a paradoxical motion, supine to upright ratios <0.8), a waiting period of 3 months for symptoms to improve is suggested. If by that time there are no signs of recovery, surgery is recommended. Conversely, others have suggested that surgery should be performed once the diagnosis is confirmed if not for better lung mechanics then to prevent other complications (1).
Diaphragmatic plication has been reported to provide improvement in the pulmonary functions (26,27), subjective symptoms (mainly decreased dyspnea and orthopnea) (11,12,22), and quality of life (10,18) of most patients; however, for the few patients who did not realize a significant subjective improvement, morbid obesity and long-standing bilateral paralysis (11) may be the reasons for this.
In this study, 86.11% of patients had subjective symptom improvement, especially those with digestive symptoms preoperatively. The operative diaphragm was found to be lower than the contralateral diaphragm on the chest X-ray in the first 3 months after surgery, while both sides of the diaphragm were basically at the same level from the 4th month. No deaths or hospital readmissions were observed. The continuous follow-up of 8 patients showed that lung functions gradually increased over time during the first 6 months, with an average increase of 26.8% and 24.3% in FVC and FEV1, respectively. Previous research has reported 17–30% improvements in FEV1 and FVC in patients who underwent plication (11,21). The potential long-term benefits of diaphragmatic plication are still uncertain. It was reported that patients return to a more or less normal way of life with significant improvement of pulmonary function status (12). In our study, from the 18th month, the lung functions gradually declined to the preoperative level over time and there was no significant difference compared to the preoperative levels, but patients had significant subjective improvements. We suspect that the major purpose of diaphragmatic plication is to balance the position of the heart and abdominal organs, and to thus improve the symptoms of patients to a certain extent.
To our knowledge, this is the first time that follow-up data on patients’ lung functions (FEV1 and FVC) after diaphragmatic plication have continuously been collected. The improvement in lung functions was the most obvious at 6 months, and lung functions then gradually declined to the preoperative level over time from the 18th month. Published literature worldwide has noted that the positive effect of plication occurs early postoperatively (14), which we also found in our study. However, in relation to the long-term effects on lung functions, Freeman et al. (11) found that FVC, FEV1, functional residual capacity, and dyspnea score improvements remained constant during the follow-up period of 48 months. Celik et al. reported mean FVC and FEV1 improvements at late follow-up [5.4 years (range, 4–7 years)] (18). However, data on the sustainability monitoring of long-term pulmonary functions were not reported, and thus results on the dynamic trends for lung functions were not available. Consecutive follow-up is important in patients who undergo diaphragmatic plication to assess any recurrences, complications, and long-term effects. In addition, thoracoscopic surgical procedures have been used in other published articles while the traditional thoracotomy was performed in the current study; the different operation methods may explain the difference in results.
As a retrospective study, this study has the potential for information bias; thus, information completeness cannot be guaranteed. In addition, the case numbers for the continuous monitoring of pulmonary functions were limited. The aim of this study was to generate a hypothesis. Firm conclusions regarding the long-term safety and efficacy of diaphragm plication require more well-designed prospective studies and randomized clinical trials.
Conclusions
Diaphragmatic plication produced significant improvements in patients’ lung functions and subjective symptoms in the short term, but its long-term effects on lung functions requires further investigation. The major purpose of diaphragmatic plication is to balance the position of the heart and abdominal organs, and thus to improve the symptoms of patients to a certain extent.
Acknowledgments
Funding: The study was supported by grants from the National Natural Science Foundation of Tianjin (No. 21JCYBJC00260) and Tianjin Key Medical Discipline (Thoracic Surgery) Construction Project (No. TJYXZDXK-018A).
Footnote
Reporting Checklist: The authors have completed the STROBE reporting checklist. Available at https://jtd.amegroups.com/article/view/10.21037/jtd-22-983/rc
Data Sharing Statement: Available at https://jtd.amegroups.com/article/view/10.21037/jtd-22-983/dss
Conflicts of Interest: All authors have completed the ICMJE uniform disclosure form (available at https://jtd.amegroups.com/article/view/10.21037/jtd-22-983/coif). The authors have no conflicts of interest to declare.
Ethical Statement: The authors are accountable for all aspects of the work in ensuring that questions related to the accuracy or integrity of any part of the work are appropriately investigated and resolved. The study was conducted in accordance with the Declaration of Helsinki (as revised in 2013). The study was approved by institutional review board of Tianjin Chest Hospital (No. 2022LW-013) and informed consent was taken from all the patients.
Open Access Statement: This is an Open Access article distributed in accordance with the Creative Commons Attribution-NonCommercial-NoDerivs 4.0 International License (CC BY-NC-ND 4.0), which permits the non-commercial replication and distribution of the article with the strict proviso that no changes or edits are made and the original work is properly cited (including links to both the formal publication through the relevant DOI and the license). See: https://creativecommons.org/licenses/by-nc-nd/4.0/.
References
- Guzman JPS, Delos Santos NC, Baltazar EA, et al. Congenital unilateral diaphragmatic eventration in an adult: A rare case presentation. Int J Surg Case Rep 2017;35:63-7. [Crossref] [PubMed]
- Naz S, Jaiswal V, Joshi A, et al. Heart on the left, diaphragm on the right: A case of congenital diaphragmatic eventration. Clin Case Rep 2021;9:e05068. [Crossref] [PubMed]
- Shields TW. Diaphragmatic function, diaphragmatic paralysis, and eventration of the diaphragm. In: Shields TW, LoCicero III J, Ponn R, et al. editors. General Thoracic Surgery. VI edition. Philadelphia: Lippincott Williams, 2005:740-5.
- Fraser CD 3rd, Ravekes W, Thibault D, et al. Diaphragm Paralysis After Pediatric Cardiac Surgery: An STS Congenital Heart Surgery Database Study. Ann Thorac Surg 2021;112:139-46. [Crossref] [PubMed]
- P P. Case report of eventration of diaphragm due to an unknown febrile illness causing phrenic nerve palsy and other multiple nerve palsies. Ann Med Surg (Lond) 2020;54:74-8. [Crossref] [PubMed]
- Ohashi C, Uchida T, Tanaka Y, et al. Successful treatment of phrenic nerve injury with diaphragmatic plication 5 years after onset: A case report. SAGE Open Med Case Rep 2022;10:2050313X211070514.
- Wright CD, Williams JG, Ogilvie CM, et al. Results of diaphragmatic plication for unilateral diaphragmatic paralysis. J Thorac Cardiovasc Surg 1985;90:195-8. [Crossref] [PubMed]
- Graham DR, Kaplan D, Evans CC, et al. Diaphragmatic plication for unilateral diagragmatic paralysis: a ten-year experience. Ann Thorac Surg 1990;49:248-51. [Crossref] [PubMed]
- Takahashi Y, Miyajima M, Mishina T, et al. Thoracoscopic one-stage lobectomy and diaphragmatic plication for T3 lung cancer. J Cardiothorac Surg 2018;13:86. [Crossref] [PubMed]
- Declerck S, Testelmans D, Nafteux P, et al. Diaphragm plication for unilateral diaphragm paralysis: a case report and review of the literature. Acta Clin Belg 2013;68:311-5. [Crossref] [PubMed]
- Freeman RK, Van Woerkom J, Vyverberg A, et al. Long-term follow-up of the functional and physiolgic results of diaphragm plication in adults with unilateral diaphragm paralysis. Ann Thorac Surg 2009;88:1112-7. [Crossref] [PubMed]
- Versteegh MI, Braun J, Voigt PG, et al. Diaphragm plication in adult patients with diaphragm paralysis leads to long-term improvement of pulmonary function and level of dyspnea. Eur J Cardiothorac Surg 2007;32:449-56. [Crossref] [PubMed]
- Calvinho P, Bastos C, Bernardo JE, et al. Diaphragmmatic eventration: long-term follow-up and results of open-chest plicature. Eur J Cardiothorac Surg 2009;36:883-7. [Crossref] [PubMed]
- Groth SS, Andrade RS. Diaphragm plication for eventration or paralysis: a review of the literature. Ann Thorac Surg 2010;89:S2146-50. [Crossref] [PubMed]
- Groth SS, Andrade RS. Diaphragmatic eventration. Thorac Surg Clin 2009;19:511-9. [Crossref] [PubMed]
- Lampridis S, Pradeep IHDS, Billè A. Robotic-assisted diaphragmatic plication: Improving safety and effectiveness in the treatment of diaphragmatic paralysis. Int J Med Robot 2022;18:e2368. [Crossref] [PubMed]
- Morrison JMW. Eventration of the diaphragm due to unilateral phrenic nerve paralysis. Arch Radiol Electrother 1923;28:72-5.
- Celik S, Celik M, Aydemir B, et al. Long-term results of diaphragmatic plication in adults with unilateral diaphragm paralysis. J Cardiothorac Surg 2010;5:111. [Crossref] [PubMed]
- Agarwal AK, Lone NA. Diaphragm eventration. 2021. Treasure Island (FL): StatPearls Publishing, 2022.
- ElSaegh MM, Ismail N, Dunning J. VATS Diaphragm Plication. Surg Technol Int 2016;28:222-5. [PubMed]
- Gazala S, Hunt I, Bédard EL. Diaphragmatic plication offers functional improvement in dyspnoea and better pulmonary function with low morbidity. Interact Cardiovasc Thorac Surg 2012;15:505-8. [Crossref] [PubMed]
- Zhang G, Wang L, Wu Y, et al. Uniportal Video-Assisted Thoracoscopic Stapled Resection of Adult Diaphragmatic Eventration. Ann Thorac Surg 2020;110:e135-7. [Crossref] [PubMed]
- Tsakiridis K, Visouli AN, Zarogoulidis P, et al. Early hemi-diaphragmatic plication through a video assisted mini-thoracotomy in postcardiotomy phrenic nerve paresis. J Thorac Dis 2012;4:56-68. [PubMed]
- Groth SS, Rueth NM, Kast T, et al. Laparoscopic diaphragmatic plication for diaphragmatic paralysis and eventration: an objective evaluation of short-term and midterm results. J Thorac Cardiovasc Surg 2010;139:1452-6. [Crossref] [PubMed]
- Deng Y, Byth K, Paterson HS. Phrenic nerve injury associated with high free right internal mammary artery harvesting. Ann Thorac Surg 2003;76:459-63. [Crossref] [PubMed]
- Rombolá CA, Genovés Crespo M, Tárraga López PJ, et al. Is video-assisted thoracoscopic diaphragmatic plication a widespread technique for diaphragmatic hernia in adults? Review of the literature and results of a national survey. Cir Esp 2014;92:453-62. [PubMed]
- Nardini M, Jayakumar S, Migliore M, et al. Minimally Invasive Plication of the Diaphragm: A Single-Center Prospective Study. Innovations (Phila) 2021;16:343-9. [Crossref] [PubMed]
(English Language Editor: L. Huleatt)

