Rejejunostomy under local anesthesia for patients with esophageal carcinoma
Introduction
Patients with esophageal cancer often suffered from malnutrition, so jejunostomy is widely used for enteral nutrition support. However, there is a potential for a second-time placement of the jejunostomy tube, for reasons such as tube dislodgement or unexpected removal (1,2). Several approaches including endoscopic, radiologic, sonographical, and typical surgical techniques have been reported for second-time jejunostomy (1,3-6). We present a simple and effective approach using a single mini-incision under local anesthesia.
Surgical technique
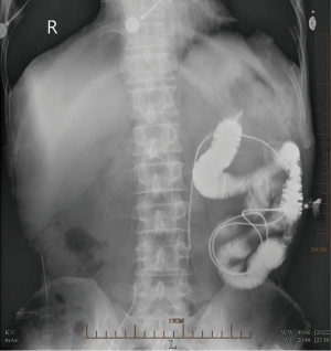
In this study, five percutaneous jejunostomy replacements were performed under local anesthesia in five patients with esophageal carcinoma, between January 2012 and October 2013. Patient characteristics are given in Table 1. With the patients in the supine position, local anesthesia using 2% lidocaine was administered with sedatives or analgesics prescribed if necessary, and a 10–20 mm transverse incision was made along the previous jejunostomy site at the left upper quarter of the abdomen (Figure 1). The jejunum was easily pulled out, due to the adhesive band formed between the abdominal wall and the jejunum by the previous jejunostomy. A needle with a 10-cc syringe was then punctured into the jejunal lumen for air inflation, and a needle catheter jejunostomy kit (Freka-FKJ, CH/FR9, Bad Homburg, Germany) was used to place the needle catheter (Figure 2). Anintroducer needle was inserted into the jejunal lumen for the introduction of a feeding tube. Intraluminal placement was confirmed by air injection, with the tube passed through the distal bowel for 20–30 cm. The introducer needle was removed and the feeding tube was firmly secured, with the jejunum, to the inner layer of abdominal wall. Finally, the abdominal wall was closed and the feeding tube was secured externally to the skin. The feeding tube within the jejunum was confirmed by radiography after jejunal injection of contrast media through the feeding tube (Figure 3). The detailed procedure was illustrated in Figure 4.
Full table
The procedures took 15.8±4.0 min (range, 10–20 min), and the mean estimated blood loss was 10 mL (range, 5–20 mL). No postoperative complications developed in any of the five patients.
Comments
Patients with esophageal cancer often suffer from malnutrition, so jejunostomy is widely adopted for enteral nutrition support. Physical and mechanical issues, such as tumor recurrence after tube removal or tube dislodgement (1,2), can lead to the potential for a second-time placement of the jejunostomy tube. The specific reason in our series is tumor recurrence causing upper gastrointestinal obstruction. Several approaches including fluoroscopic, endoscopic, ultrasonic and radiologic methods have been reported for second-time jejunostomy (1,3-6), but most of these are complex and technically demanding, due to the need for general anesthesia and other instruments. We present a simple and effective approach for second-time jejunostomy using a single mini-incision under local anesthesia. The previous jejunostomy enables the jejunum to be iatrogenically fixed to the abdominal wall, resulting in clear exposure of the jejunum via a mini-incision along the previous jejunostomy site. However, several limitations to this technique should be noted. Most important is the limited indication, as this technique is specifically for selected patients with previous jejunostomy, which causes adhesion of the jejunum to the abdominal wall. Perioperative fluoroscopy or ultrasound can be used to identify the adherent jejunum.
Overall, a novel percutaneous technique for a second feeding jejunostomy under local anesthesia is proposed. This is safe and feasible specifically for patients with previous jejunostomy. Our initial experience was encouraging, due to the simplicity of the procedure and the high successful rate.
Acknowledgements
None.
Footnote
Conflicts of Interest: The authors have no conflicts of interest to declare.
References
- Sparrow P, David E, Pugash R. Direct percutaneous jejunostomy--an underutilized interventional technique? Cardiovasc Intervent Radiol 2008;31:336-41. [Crossref] [PubMed]
- Brock MV, Venbrux AC, Heitmiller RF. Percutaneous replacement jejunostomy after esophagogastrectomy. J Gastrointest Surg 2000;4:407-10. [Crossref] [PubMed]
- Tapia J, Murguia R, Garcia G, et al. Jejunostomy: techniques, indications, and complications. World J Surg 1999;23:596-602. [Crossref] [PubMed]
- Di Domenico S, Bocci E, Rossi AM, et al. Sonographically guided jejunostomy replacement. J Ultrasound Med 2010;29:651-4. [PubMed]
- Yang ZQ, Shin JH, Song HY, et al. Fluoroscopically guided percutaneous jejunostomy: outcomes in 25 consecutive patients. Clin Radiol 2007;62:1061-5; discussion 1066-8. [Crossref] [PubMed]
- Davies RP, Kew J, West GP. Percutaneous jejunostomy using CT fluoroscopy. AJR Am J Roentgenol 2001;176:808-10. [Crossref] [PubMed]
- Ye P, Zeng L, Sun F, et al. Operative Techniques for Rejejunostomy. Asvide 2016;3:148. Available online: http://www.asvide.com/articles/903




